
田上 順次
東京医科歯科大学名誉教授
医療法人徳真会
クオーツデンタルクリニック
(東京都渋谷区)
宮崎 MI(Minimal Intervention)コンセプトは、2002年のFDI(国際歯科連盟)での声明に端を発し、その後モディファイを重ねながら現在に至っています。そのなかで、当時東京医科歯科大学の総山孝雄教授が上梓された『無痛修復』、『新保存修復術』(ともにクインテッセンス出版)で述べられた概念が、まさにその時代の先端を走るMIだったと感じます。
田上 私が総山教室に入局した頃に、クラレ(現在のクラレノリタケデンタル)から歯質に対して化学的接着力を有する「クリアフィル」というシステムが誕生しました。それまでの修復は接着性のない材料を用いるため、機械的保持力を考慮したG.V. Blackの理論による「メカニカル」なアプローチによるものでした。総山先生は、検知液を開発し、う蝕象牙質外層のみを除去してクリアフィルを用いて修復を行う、「バイオロジカル」な歯質保存的う蝕治療法を確立されました。当時は革命的な治療法として国際的な評価を得て、その後のFDI によるMIの声明につながったと考えています。
宮崎 田代先生は、その総山先生の愛弟子とも言える田上先生に多大な薫陶を受けてこられたわけですね。
個々のMI修復の捉え方
田代 私は大学院時代に田上教室で接着修復の臨床と研究について学ばせていただき、開業後は「歯を削ってほしくない」という多くの患者さんの願いを目の当たりにしました。そこで、かつて田上教室で学んだCR修復を中心としたMI的アプローチでの治療法を提案したところ、とても歓迎される印象を受けたのです。当時CR修復を様々な大規模修復症例に適応することは、新たなチャレンジでもありましたが、その後は患者さんにも徐々に浸透し、現在では当院での治療手段の主軸になっていると感じています。

宮崎 真至
日本大学 歯学部
歯科保存学第Ⅰ講座 教授
宮崎 脇先生はマルチディシプリナリーなアプローチで診療を行っておられるとお見受けしますが、そのなかでMIをどのように捉えておられるのでしょう。
脇 私は一般臨床家ひとすじの道を歩んできましたから、大学の諸先生方の研究成果や、メーカーが新たに開発した製品をもとに、その概念や製品を臨床のなかでいかに具現化するかということに注力してきました。そのなかで、歯髄を失ったり修復処置を行った歯は、長持ちしないというケースを多くの臨床で経験しました。そうした経験から「歯科医療として何を提供すればいいのか」を考えたとき、「患者さんの財産でもある健全歯質をいかに残存させるか」を追及していくことで、長期予後を望める確率が非常に高くなると考え、今まで臨床に向き合ってきました。
宮崎 私はこれまで田上先生の様々な症例を拝見するなかで「ここまで歯質を残せるのか」と驚かされることが多くありました。それは多くの臨床家の先生や大学研究者にとっても大きな衝撃だったと思います。田上先生の臨床には常にMIのコンセプトが根差されていると感じます。
田上 日々患者さんに向き合っていると、教科書的には修復の対象外と思える歯に遭遇します。その場合、患者さんから「できるだけ残して欲しい」と言われることが多く、「何とか残せないものか」と試行錯誤するようになりました。前例がない手段でも「接着とCRがあればなんとかできるのでは」という思いで、まずはチャレンジしてみて経過を見ながら考える、というトライ&エラーの繰り返しでした。その結果、「残せない」と思っていた歯が意外に予後が良いこともあって、徐々にそうした症例を増やしていったのです。
材料の進化がMIに及ぼした影響
宮崎 材料の進歩をはじめ、現在では様々な接着システムやCAD/CAMシステムなども導入され、MIは新たな局面を迎えつつあるのかもしれません。田代先生はご自身の診療を省みてどんな見解をお持ちですか。

田代 浩史
DRC.Hamamatsu
田代歯科医院(静岡県浜松市)
田代 私が歯科医師になった1999年、偶然ですが同じ年に「クリアフィルR メガボンド」(クラレノリタケデンタル)がリリースされました。当時、田上先生は「メガボンド」という2ステップタイプのセルフエッチングシステムに対しての信頼感に基づいた臨床を展開されていた印象を持っています。大学院生としてその臨床を目の前で見せていただき、自身の開業後は田上先生と同じ材料を使いながら、少しずつ大規模な症例にもチャレンジしていきました。開業から20年が経過し、その当時は大規模なチャレンジだと思っていた症例が、今振り返ってみると、結果的には良い臨床経過を辿ってくれていると感じています。
宮崎 ところで、脇先生はセミナーの講師などをされた際、Ⅱ級修復に関して、「補綴を行うのか、それとも直接CR充填を行うのか」と問われた場合、どのように回答されるのでしょうか。
脇 現在は、高い接着性能や強度を持ったボンドと耐摩耗性などに優れた物性をもつCR(ペースト、フロアブル)が非常に進化してきたことによって、直接法の適応範囲が広がってきていると感じています。確かにテクニックセンシティブなスキルを獲得する必要はありますが、私はその流れを尊重したいので、「第一選択は直接法で」とお伝えするようにしています。
宮崎 それは材料や補助器具の進歩により、MIが一般臨床の中に確実に落とし込まれているということですね。
田代 そうですね。特に臨床で適応症拡大がなされた最大の要因はフロアブルCRの充実だと思っています。近年では様々なタイプのマトリックスや、ガイドなどの補助器具が登場し、フロアブルCRを使用することで可能になる症例が増えていると感じています。現在、当院ではCRを使用する全窩洞の中でおよそ7、8割がフロアブルCRです。最終形態の仕上げとしてペーストを使うこともありますが、高性能なフロアブルCRなくしては、おそらく現在の診療体制は確立できなかったと感じています。
宮崎 MIの概念が明確化して、それを支える材料や周辺機器が揃うことで治療法が変わってきたということですね。さらに、その中でもっとも重要なキーワードが「接着」ではないでしょうか。ここからは、接着修復の第一人者とも言える田上先生に進行をバトンタッチし、ディスカッションを続けたいと思います。
MI修復のカギを握る「接着」

脇 宗弘
脇歯科医院(大阪市阿倍野区)田上 接着の流れを振り返ると、1970年代後半に修復用の接着性レジン材料が国内で初めて販売されました。当時として恐らく世界最高の性能を誇っていたと思いますが、もちろん現在の製品と比較するとまだまだでした。ただ、その時期からモノマーがPhenyl-Pから10-MDPに変わったり、光重合になったり、プライマーが開発されたりと大きく進化しました。三人の先生方はおそらく最初からセルフエッチングの時代で臨床をスタートされ、「レジンは接着するもの」という前提があると思います。
脇 私が臨床をスタートした頃は、臼歯部においてはアマルガム修復が多い時代でした。ただ、色調やメタルゆえの物性の問題もあり、徐々にCRを使うようになり、見た目の改善はもちろん、その後のボンドやCRの進化によって、審美性だけでなく機能面でも明らかにメタルに比べてメリットが出てきました。私はその過渡期をリアルタイムに体感してきた世代なので、「CRなしでは修復治療はできない」というのが正直な見解です。
宮崎 今や多くの先生方がCRをお使いですが、近年の材料の急激な進歩には目を見張るものがありますね。
田上 1ステップやユニバーサルタイプなど選択の幅が広がってきました。ケースによって使い分けていくのか、あるいは材料を絞って単純化して臨床を行っていくのか、そのあたり開業医の先生のお考えはいかがでしょうか。
田代 「メーカーが推奨するステップを守れば、誰でもうまく接着する」、それが2ステップが高く信頼される理由だと思います。歯質に特化して、かつ術式にきちんと注意を払えば、1ステップもかなり良くなってきていると思います。ただ、歯質を主な接着対象とし、比較的大規模な修復にアプローチしていく際には、臨床の95%を2ステップのセルフエッチングで一本化しています。
脇 私はある程度のテクニカルセンシティブな部分を理解しながら上手に使えば、現在の第8世代といわれる1ステップタイプはとても良くなっているという実感がありますし、実際に臨床でも信頼を置いて使っています。
田上 私は大学ではいろんな材料を使う立場にありましたが、現在、市中のクリニックで診療を始めてみると、毎年新しい助手さんや歯科衛生士さんが入ってきます。そのなかでボンドが何種類もあるととても混乱されます。それを考えると、やはり単純化は必要で、高品質な2ステップと1ステップさえあれば、大きな問題なくこなせるといったところでしょうか。
田代 そう思います。
田上 では、ここからは脇先生と田代先生に症例を提示していただきながら、MI修復の実際の取り組みとその可能性についてディスカッションをしていきたいと思います。
症例供覧:MI修復の実際と可能性
脇 近年、とくに窩洞へのアダプテーションを考えた時、フロアブルCRの有用性を日々の臨床で実感しています。現在では、High、Low、Super Low という、3つのflowタイプをレイヤリングすることによって、CRが持っている重合収縮や色調、形態の改善などのネガティブな要素に対してアプローチしています。プライマーは2ステップのセルフエッチングタイプが第一選択ですが、エナメル質には選択的にリン酸エッチングを行うセレクティブエッチングを行っています。また、1ステップのボンディング材「クリアフィルR ユニバーサルボンドQuick ER」(クラレノリタケデンタル)も臨床で頻繁に使用しています。今回はユニバーサルシェードのCRを用いた症例をご供覧いただきます。症例1は従来どおりのボックスプレパレーションを行った症例です。さらに、臼歯部でもできるだけ健全残存歯質を残した方が良いと考えていますが、エビデンスとしてどうなのかという問題提起として症例2を提示しました。症例3では、前歯部においてユニバーサルシェードの有用性を感じたケースをご覧いただきます。症例4では、ダイレクトCRによる、インジェクションテクニックのケースを提示しました。この4症例により、高性能なボンドとCRが選べる現在の環境だからこそMinimal Interventionな直接修復治療が日常臨床でも行える時代になって来ているということが伺えるのではないでしょうか。
田上 ありがとうございます。症例ごとにとても様々なテクニックを駆使して素晴らしい結果を出しておられますね。
田代 CR修復を前提とした窩洞形成が行われている部分が素晴らしいと感じました。特に症例2のトンネリング窩洞の症例は、辺縁隆線に大きな力がかかると破折するリスクも考えられますが、その部分を高強度の接着性能を活かしつつ、さらにC-factor に配慮した積層充填を行い、辺縁隆線部分が残せたことで、この歯の寿命も確実に長くなってくれると思います。MIの概念が明らかに臨床における窩洞形態に変革を起こしている結果だと感じました。
宮崎 確かに、従来のトンネルプレパレーションはグラスアイオノマーセメントを充填して、上だけをCRで蓋をするような方法でしたが、長期臨床成績を見ると、エナメル質が破折してしまう。グラスアイオノマーセメントは良い材料ですが、辺縁隆線の部分を支えることができません。それを考えるとフロアブルCRと高強度接着によって歯質が守られ、構造が強化される、そのことが如実に表れた症例だと思います。
田上 現在は、グラスアイオノマーが必要だった以前の状況とはかなり違ってきていて、耐久性のある接着と強度の高いCRで修復が可能になったということかと思います。それでは田代先生の症例を拝見させていただきましょう。
田代 私が提示する症例は、約12年前から継続的にメインテナンスに通っておられる患者さんで、その時々で口腔内の環境が徐々に変わりながら、CR修復がどのような形で温存され、機能しているのかを見ていただきたいと思います。本来なら抜歯や歯周基本治療を行い、必要に応じて歯列矯正と臼歯部の欠損回復、最終段階として前歯部の補綴治療という流れで進むのが通常の全顎的な治療のアプローチだと思います。しかし今回の治療の流れはまったく逆で、まず前歯部の審美改善からスタートして治療へのモチベーションを高めていただき、その後に歯周基本治療、さらには臼歯部の欠損回復、そして維持管理のためのメインテナンスと必要に応じた補修修復を繰り返していく、という対応を選択しました。CR修復で対応できる症例には限界があるとは思いますが、可能な限り患者さんの口腔内の残存歯を温存し、機能的かつ審美的な治療結果を提供していきたいと考えています。
田上 一人の患者さんに対して様々な修復があって、それを10年間の期間でメインテナンスも行いながら、少しずつ変化させていく大変興味深いケースでした。とくに一度使ったシリコンのコアを保管しておくというのは驚きました。
脇 とても感銘を受けました。補綴主導の治療計画の場合、健全歯がこれだけ残っているのにフルマウスリハビリテーションの全顎補綴の状況になりかねない症例だったと思います。しかし、基本治療を行い患者さんのモチベーションを上げたうえで、広いスパンのポンティックの部分にはインプラントを埋入して咬合支持を確立され、患者さん固有の咬合を大きく変革させることなく、欠損部分にダイレクトCRを選択されています。健全歯質を残すことがいかに有用性が高いかを実感することができました。さらに長期経過まで見ることができて素晴らしいと思います。
宮崎 CR修復というと、1歯をきれいに仕上げたところで完結してしまいそうですが、本来は総合的な治療計画が重要で、それを具現化するための材料がCRやボンディング材だと思います。その結果、抜歯を避けることができ、歯質切削も少なくできる。何より患者さんがもっとも喜ばれるわけです。これこそ、今後MIが目指すべきところだと強く感じました。
現在の環境だからこそ可能になったMinimal Intervention な直接修復治療 症例提供:脇 宗弘先生
症例1:Class Ⅱ Box Preparation
図1:咬合面観。第一大臼歯は咬合面から、小臼歯遠心は側方からアプローチして、できるだけ健全歯質を温存することにした。
図2:検知液の染色部分を除去した状態。
図3:歯髄保護を行った上でセクショナルマトリックスを使用。ライニングはHigh フロー、中間層はLow フロー、最表層にはSuper Low を用いて咬合面形態の回復を図る。
図4:審美性がそれほど要求されない大臼歯などには、現在ではユニバーサルシェードを使うことが多くなっている。
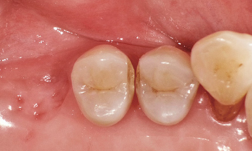
症例2:Class Ⅱ Tunneling Preparation
図1:咬合面観。第一大臼歯部の近心にう蝕が認められる。第一大臼歯は咬合面から、小臼歯遠心は側方からアプローチして、できるだけ健全歯質を温存することにした。
図2:健全歯質をできるだけ残すことを念頭に、感染歯質には検知液を用いて丁寧にアプローチすることで、かなり厚みを持った辺縁隆線を残すことができた。
図3:一度に重合させるCRの体積を考慮しながら、フロアブルCRが持つ利点を最大限に活かしてレイヤリングする充填方法を選択。
図4:側方から見てもユニバーサルシェードが持つ特性が非常に有効と感じる。
症例3:Diastema Closer
図1:正中離開が主訴で審美的な改善を求めて来院。直接CR修復を提案し承諾いただいた。
図2:圧排操作の後にフロアブルCRを填入。ユニバーサルシェードは、実際に歯の表面で重合させた状態で歯の色調と比較しながら選択した(左)。ノンプレパレーションの状態からリン酸エッチング(中)。ユニバーサルオペークでバックホールを、明度の高いユニバーサルホワイトを用いて表層を作成(右)。
図3:患者さん本来の歯の色調には左右されるが、エナメル質と象牙質の色差のないケースであれば、前歯部においてもユニバーサルシェードの有用性を感じる。
現在の環境だからこそ可能になったMinimal Interventionな直接修復治療 症例提供:脇 宗弘先生
症例4:Flowable Composite Injection Technique
図1:前歯部審美傷害が主訴で来院。失活歯で変色しており大きな窩洞形成も見られ、配列にも歪みがある。
図2:根管治療時にインターナルブリーチを行い、あらかじめ歯の色調コントロールを行った。
図3:2の近心と遠心のⅢ級う蝕に対してアプローチしていく。セレクティブエッチングを行いプライミング、ボンディング、さらにプレカーブの付いたマトリックスを装着。
図4:いかに歯冠外形を回復するかを考えながら、フロアブルCRを充填して側切歯から修復。
図5:残る3本はワックスアップを用いて最終的な歯冠形態を具現化した上で、クリアのシリコンインデックスを採得。
図6:インジェクションテクニックを使って、歯冠形態と審美性の回復を行った。色調は事前にある程度改善しているので、感染歯質と古いCRを除去した。
図7:象牙質とう蝕の深い部分をCRでリベースして、隣在歯はテフロンできちっと隔離した状態でマトリックスを戻してユニバーサルHighフローで充填した。
図8:微妙な形態修正と研磨によって、ほぼダイレクトのクラウンに近いベニアが完成。
図9:従来なら360度削る必要があるケースだが、プレパレーションがかなり難しいケースでもあり、ダイレクトCRによるインジェクションテクニックが適していたと考えている。
卒後研修と大学教育の変化
田上 臨床家の先生方が「これから直接修復をやっていきたい」となれば、セミナーなどで学んでいくことになると思いますが、脇先生はそうした卒後研修の在り方について変化を感じますか。
脇 今の若い先生方は、大学教育で既に確立された接着システムを学んでおられますから、私たちの世代とは違って「接着ありき」の考え方がベースになっていると思います。私はモリタが主催する「Morita Practice Course」という勉強会の講師を長年勤めさせていただくなかで、多くの若い先生方とお話しさせていただくのですが、彼らはインプラント治療や歯周治療のような症例も身近に多く、熱心に聞いてくださる印象があります。ただ、そのなかでもそれぞれの先生方が持っておられるクリニックのスタイルがありますので、その部分にも配慮しながら、接着修復治療がMinimal Intervention で将来を見据えながら行っていくことにより、患者さんにも歯科医師にもいかにメリットがあるかということを中心にお話をさせていただいています。
田上 宮崎先生も多くのセミナー講師をされていますが、受講される先生方の変化を感じることはありますか。
宮崎 若く熱心な先生が増えている印象があります。費用もかかりますし大変だと思いますが、それでも知識と技術を学んでいきたいという意志を強く感じます。そこで、モリタのような企業がそういう学びの機会をつくってくださることは、受講した先生が今後の新しい歯科界の考え方を広げていく一つの核になっていくという意味でとても有意義なことと感じています。
田代 私も約10年前から静岡県浜松市で、田上先生の教室で行われてきた様々な研究内容を、臨床の場でいかに活用すべきかをお伝えする場として、「JT Concept Master Course」という勉強会を開催しています。受講いただく先生方の年齢は様々ですが、MI修復、すなわちCR修復を中心とした接着修復に大きな関心を持ってご参加いただくことが多く、実際の臨床での注意点、各種修復関連材料のパフォーマンスを最大限に引き出すためのポイントなど、大学の研究成果とリンクした臨床情報を共有することが重要だと考えています。
私は開業医という立場ではありますが、現役の大学の先生方、さらに田上先生はじめ長年研究に携わっておられた先生方に研究成果と臨床との橋渡しをしていただくようなプログラムを準備しています。また、受講される方の多くは開業医の先生ですので、MI修復が患者さんに喜んでいただける治療内容であることはもちろん、医院経営にも良い効果をもたらすことについても関心をお持ちです。当院では、自費診療でCR修復を活用するケースが多いので、受講される先生方に私自身の取り組みを共有していただくことで、それぞれのクリニックでも応用可能なMI治療と医院経営の両立を目指せるようにしています。
田上 最近では、国家試験でもMI修復をはじめ接着修復の適応症などについて出題されるようになりましたが、宮崎先生は学生教育の面で変化を感じることはありますか。
宮崎 これまで窩洞形成、鋳造修復、その後にCR修復という流れで教えてきましたが、2、3年ほど前からは、窩洞を教えた後にCR修復というように学ぶ順番を変えて、インパクトを与えながらCR修復の重要性を教育するようになってきました。
田上 確かにCRを駆使して様々な症例に対応できることを学生に見せると、「今まで教わってきた臨床とは違うな」と感じると思います。最近は全国的に保存修復の人気が上がっているようですが、いかがでしょうか。
宮崎 そうですね。たしかに以前は「補綴」が歯科臨床のトップというイメージでしたから…。もちろん現在も補綴は重要で、歯内療法はじめ他の分野も同様ですが、もっとベーシックな部分で「保存修復」そのものが見直されてきていると感じます。
MIのさらなる広がりに必要な視点とは
田上 患者さんが納得されることはもちろん大事ですが、一般的には、「そんな治療法は想像もつかない」という患者さんが多いなかで、私たちがどう伝えていくかも難しいところだと思います。
田代 今回のDMR のように、モリタのような企業が様々な企画の中で「MI治療」の分野をクローズアップしてくれることはとても大切なことだと思っています。「接着」に対してあまり信頼を置いておられない世代の先生方もいらっしゃいますから、そうした先生方にも正確な情報が伝達される機会がないと、より多くの患者さんへの臨床応用にまでたどり着かないように思います。私は田上先生の臨床を間近に拝見し、宮崎先生のハンズオンセミナーにも参加できたことで、自身の臨床に取り入れることができました。やはりそういう機会をこれからもたくさん作っていただくことが、歯科の中で「MI治療」が広がっていくためには必要なのではないでしょうか。
脇 私も同感です。これまでと違って、患者さんのニーズが大きく変わってきていると思います。保険でもCAD/CAMのクラウンやインレーが適用されるようになってきて、アンチメタルの風潮も出てきています。さらに、大学の先生方が研究してくださった成果がエビデンスとして蓄積されていますし、メーカーも常に新しく高性能な材料や機器を私たちに提供してくださり、術式も確立されています。世の中の期待やニーズも整っているのですから、あとは私たち歯科医療従事者が気概を持って取り組むだけなんです。あと一息でムーブメントに火がつけば、大きく変わっていくと私は大いに期待しています。
田上 しかし、どれだけ良い治療であっても、保険の範囲内で提供するには限界があります。そのあたりはどのようにお考えですか。
脇 日本社会が成熟しているのと同じく、患者さんご自身の健康への要求度というのも大きく変わってきています。保険診療ですべてをこなそうという発想を転換して、きちんと情報を提供し、それを実現できるだけのスキルを持っていれば、経営的な部分でもCR修復が良い効果を創出してくれると思います。インプラントより精神的なストレスも少なく、低侵襲であることを考えれば、自由診療としてCR修復や接着修復治療に積極的に取り組んでいくことで、患者さん、歯科医院にとってWin-Win の良い関係が保つことができる。CR修復はそういう一つの術式ではないかという認識を持っています。
田上 MIは、「歯を削らない」ということではなくて、「歯科医療全体のなかで、患者さんの身体的、心理的な負担を減らしていくもの」ですが、伝わりにくいところもあります。日本の歯科保存学を背負っておられる、名前もまさに“MI”の宮崎先生(笑)、今後のMIの理想形について、メッセージをいただけますか。
宮崎 皆さんとお話ししていく中で、メーカーは試行錯誤を重ね「まさにこの製品だ」といえる材料を提供してくれていることを実感しました。そのうえで臨床家として、患者さんのために様々な治療を行ってきました。その過程で生じている疑問や改良点に対しアセスメントしていくのが私たち大学研究者であって、その研究結果を新たな材料として反映していくためにメーカーとディスカッションしていく、そのサイクルがしっかり回っていくことが大切で、その中心には必ず患者さんの存在がある。それが理想の治療であり、その根底にある概念がMIだと感じています。
田上 私も「患者さん中心の歯科医療」はまさにMIに通じるところだと思います。本日は限られた時間ではありましたが、とても有意義な、また新鮮な症例や意見も伺うことができ、私自身とても楽しく過ごすことができました。ありがとうございました。