133号 SUMMER 目次を見る
■目 次
■1. はじめに
2003年に米国製ファイバーポストが日本国内で薬事認可を受けて以来、ファイバーポスト併用レジン支台築造がその有用性の高さから臨床に多く用いられるようになった。現在では、国内外のメーカー9社がファイバーポストを発売している。
2007年6月に発売された「i‑TFCシステム」(サンメディカル)は、ファイバーポストにスリーブを装着して機械的強度を向上させ、ファイバーポスト中心部に再根管治療時のアクセスガイドになるステンレスワイヤーを内蔵したシステムである(図1)。すでに筆者が、本誌2008, Autumn (vol.126)にその技工術式と技工の要点を紹介した。
今回紹介する2010年1月に新しく発売された「i‑TFCファイバー 光ファイバーポスト」(以下、「i‑TFC光ファイバーポスト」と略す)は、ファイバーポスト中心部に光ファイバーを内蔵することで光の届きにくいポスト孔先端部の確実な重合を目的として開発された製品である(図2)。
そのi‑TFCシステムの製品構成の一つとして、従来のワイヤー入りファイバーポストに加え、「i‑TFC光ファイバーポスト」が新しい選択肢としてラインナップされた。
本稿では「i‑TFC光ファイバーポスト」の特長と間接法によるファイバーポスト併用レジン支台築造の製作の要点について紹介する。

図1 2007年6月発売の「i‑TFCシステム」(左上)と追加発売された長さ90mmサイズの「i‑TFCファイバー(ワイヤー入り)」(右下)。必要量を切断して使えるため経済的である。
図2 新しく発売された「i‑TFCファイバー 光ファイバーポスト」。ファイバーポストの中心部に「光ファイバー」を内蔵したことでポスト孔先端の重合性が向上した。
■2.「i‑TFC光ファイバーポスト」の誕生
i‑TFCシステムに用いられる専用のポストレジンはデュアルキュアタイプではなく操作時間にゆとりのある光重合方式が採用されている。そのため、ポスト孔先端部やブラインド部分にまで照射光が到達しやすいように半透明の色調を採用している。
筆者はi‑TFCシステム発売以来、間接法によりワイヤー付きファイバーポストの症例を多く経験しているが、硬化が不十分であったことはない。しかし、ユーザーの一部から間接法で長く細いポスト孔の症例ではポスト孔最深部における重合不足の懸念があるという声があったようである。
確実な重合硬化を得るには光照射器の性能、照射角度などの諸条件がある。この「i‑TFC光ファイバーポスト」は光透過性に優れた光ファイバーを内蔵することで、より確実で安定した重合硬化が得られるように開発されたファイバーポストである。
■3.「i‑TFC光ファイバーポスト」の特長
1)光透過性と光硬化性
長さ20mmの各ファイバーポストの断端の一方向から光照射したところ、「i‑TFC光ファイバーポスト」のみが先端部まで安定した照射光が行き届いている。この画像を見れば光ファイバーの効果が明らかである(図3)。
黒ゴム板に「i‑TFC光ファイバーポスト」と同径の穴に同ポストを固定したものを、ポストレジンを満たした中に挿入し光照射したところ、他社製ファイバーポストでは認められないポスト先端部周辺のポストレジンの重合硬化が認められた(図4)。
また、「i‑TFC光ファイバーポスト」と同径のポストレジンを満たした筒を先端に装着し、ポスト断端から光照射したところ、ハンディライトLED重合器ペンキュアー(モリタ製作所)30秒間の照射では長さ20mmの「i‑TFC光ファイバーポスト」先端よりさらに6mm先までポストレジンが重合硬化した(図5)。
2)機械的強度
「i‑TFC光ファイバーポスト」の曲げ強度は635MPaであり「ワイヤー入りファイバーポスト」の曲げ強度450MPaと比べ約40%高い。
曲げ弾性率では「i‑TFC光ファイバーポスト」が34GPaに対し「ワイヤー入りファイバーポスト」が37GPaで、ほぼ同等の値となっている。
「i‑TFC光ファイバーポスト」の曲げ強度が向上した理由は、中心に位置する光ファイバーを繊維束で包み込む技術とその網目構造の改良によるものである。
3)保存治療に対するコンセプト
このi‑TFCシステムの基本コンセプトであるステンレスワイヤーが再根管治療時のアクセスガイドになるという要素も光ファイバーがその役割を果たしている。
再根管治療が必要となった場合は、0.7mmの既製根管ポスト用ドリルを用いて光ファイバーをアクセスガイドとして拡大することができる。

図3 A:光透過性に優れた「i‑TFC光ファイバーポスト」。照射光が先端までむらなく行き届いている。B:i‑TFCファイバーポスト(ワイヤー入り)。C,D,E:他社製ポスト。-

図4 「i‑TFC光ファイバーポスト」断面から光照射するとその高い光透過性により同ポスト先端部周辺のポストレジンが重合硬化している。(A~D:図3表示に同じ) -

図5 「i‑TFC光ファイバーポスト」と同径の筒を先端に装着し、ポスト断面から光照射したところポストレジンの光重合深度は先端部よりさらに6mmまで重合が確認された。
■4.「i‑TFC光ファイバーポスト」を用いた技工上の要点
「i‑TFC光ファイバーポスト」の技工は従来のi‑TFCシステムと、その術式に基本的な変更はない。i‑TFCシステムに関する概要については本誌vol.126を参考にされたい。
本稿でも一連の技工術式を図示するが、本文中では特に接着技工の操作にポイントをおいて解説する。
1)「i‑TFC光ファイバーポスト」とスリーブの試適と被着面処理
「i‑TFC光ファイバーポスト」とワイヤー付きファイバーポストおよびスリーブは修正しないでそのまま使用できる場合には特に被着面処理は必要としない。
それぞれの編み込み繊維束にはポストレジンとの接着に有効なレジンが含浸されているため、表面に付着した汚れや油脂分の除去のみで高い接着強度を得ることができる。
しかし、ファイバーポストを試適する際、ポスト孔先端まで挿入してゆくとファイバーポスト先端の側面がリリーフワックスに接触しポスト孔先端まで入りきらない場合がある。その時は、ファイバーポスト先端部にわずかにテーパーを付与して用いる。
スリーブに関してもポスト孔内にできるだけ深く挿入してファイバーポストと二重構造としたほうが機械的強度が高くなるため、ポスト孔に接触する場合は先端部を斜めに成形して用いる。
修正を加えた場合には、その表面に繊維束のグラスファイバーが露出するため、エッチング処理(表面処理材レッド/サンメディカル)後、シランカップリング剤(ポーセレンライナーM/サンメディカル)を塗布する必要がある(図6~12)。
2)「i‑TFC光ファイバーポスト」の固定とポストレジン
コアレジンに比較して機械的強度と弾性係数が異なるポストレジンが外表面に露出することによる築造体部の強度の低下を避けなければならない。
そこで、ポスト孔内にポストレジンを注入する際は、ファイバーポストとスリーブを挿入することを前提にポスト孔開口部より控え目に注入することが大切なポイントとなる。
「i‑TFC光ファイバーポスト」の位置決定後、技工用光重合器αライトⅡN(モリタ東京製作所)を用いて3分間光照射する。
照射光が「i‑TFC光ファイバーポスト」の断面から効率的に入射するように光軸方向と光ファイバーの軸が一致するように作業用模型の角度を修正してターンテーブル上に置くとよい(図13、14)。
コアレジンで築造体部を成形する場合も、圧接前にファイバーポストとスリーブの表面に薄く一層ポストレジンをコーティング重合しておくことでコアレジンとの馴染みがよくなり、圧接の際に気泡の発生もなく「i‑TFC光ファイバーポスト」との強固な接着が可能となる(図15~19)。
3)被着面処理と口腔内接着
完成した「i‑TFC光ファイバーポスト」併用レジン支台築造のポスト部は弱圧でアルミナサンドブラスト処理とスチーム洗浄を行い、表面に付着した汚れや油脂分を除去しておく(図20~22)。
口腔内試適後、再度スチーム洗浄もしくはアルコールによる清拭をして清浄な被着面とし、ポスト部に表面処理材レッドを用いてエッチング処理後、ポーセレンライナーMによるシラン処理を行う。
口腔内のポスト孔内壁は根管ブラシにアルミナパウダーを併用して清掃後、表面処理材グリーンでエッチング処理を行いスーパーボンド・混和ラジオペーク(サンメディカル)を用いて接着した(図23、24)。

図6 築造窩洞形成された支台歯。ファイバーポストにスリーブを併用する技工指示の症例。作業用模型は光照射時の反射率を高めるため白色の超硬石膏を用いるとよい。-

図7 修復部位の歯冠形態を回復し、シリコーンコアを採得した後、コアを参考に築造体部のワックスアップを行う。 -

図8 築造体部の両隣接面を含むシリコーンコアを採得する。次に「i‑TFC光ファイバーポスト」の位置を決定するためのガイドグルーブを形成する。 -

図9 ポスト内のアンダーカットの塡塞と口腔内接着時のボンディング材のスペース確保のためポスト孔を一層リリーフした後、「i‑TFC光ファイバーポスト」とスリーブを試適する。 
図10 作業用模型には分離材としてプライムセップを塗布する。「i‑TFC光ファイバーポスト」をスチーム洗浄し、確実な接着を得るために表面に付着した油脂分等を除去する。-

図11 スリーブ内にポストレジンを注入後、「i‑TFC光ファイバーポスト」をゆっくりと回転挿入する。 -

図12 ポスト孔内にテーパーがある症例でスリーブをより深く挿入したい場合には先端を斜めに成形する。修正を加えた場合にはエッチング処理後、シラン処理をする必要がある。 -

図13 ニードルチップ先端をポスト孔先端まで挿入し、ポストレジンを押し出しながら引き上げてポスト内を満たした後、「i‑TFC光ファイバーポスト」とスリーブを挿入する。 
図14 シリコーンコアを用いて位置を決定した後、光照射する。αライトⅡNは重合槽内上部から光照射するため光ファイバーの軸を光軸方向に合わせるとよい。-

図15 「i‑TFC光ファイバーポスト」とスリーブにポストレジンを1層コーティングする。ポスト、スリーブ共に編み込み繊維構造のためポストレジンが入り込み、高い接着効果を生む。 -

図16 コアレジンを盛り付けておいたシリコーンコアを作業用模型に適合させる。ファイバーポストとスリーブにコーティングしたポストレジンの影響で良好な馴染みを示す。 -

図17 光照射後、シリコーンコアを撤去すると築造体部がほぼ完成している。フリーハンドで築盛するより短時間で形態を付与することができる。 
図18 「i‑TFC光ファイバーポスト」の高い光透過性とポストレジンの半透明色の相乗効果によりポスト先端まで重合硬化しているが、再度ポスト側に光照射して確実な重合を目指す。-

図19 ダイヤモンドディスクでファイバーポストを切断すれば繊維束の表面が荒れることもない。カーボランダムポイントで表層の未重合層を削除すれば短時間で完成する。 -

図20 形態修正完了後、シリコーンコアを用いてスペースの確認を行う。 -

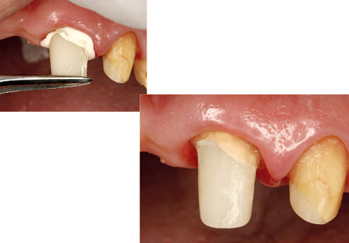
図21 完成した「i‑TFC光ファイバーポスト」を用いたレジン支台築造体。築造体切縁に光ファイバーポストが正確に位置しポスト内にはスリーブが透過して認められる。 
図22 レジン築造体のポスト部に弱圧でアルミナサンドブラスト処理とスチーム洗浄を行う。高い接着効果を得るために被着面の油脂分等の除去を常に念頭におくべきである。-

図23 歯面処理後、築造体ポスト部にはエッチング処理とポーセレンライナーMによるシラン処理を行い、スーパーボンドを用いて接着し再形成を行った。 -

図24 プロビスタ(サンメディカル)を用いて製作したプロビジョナルクラウン。現在、患者の要望に沿うように形態修正を加えている。
■5. おわりに
光ファイバーを内蔵した「i‑TFC光ファイバーポスト」の登場により、長く細いポスト孔先端まで確実に光が届くようになり安定した重合硬化が期待できるようになった。
また、技術開発から生まれた光ファイバーを包み込む新しい繊維構造により曲げ強度も数段向上した。間接法のみならず直接法においても光重合深度と機械的強度の向上によるメリットは大きい。
優れた特長をもつ「i‑TFC光ファイバーポスト」であるが、レジン支台築造の基本は階段を一段ずつ上がるような接着技法の確実性にあり、接着技法の基本を遵守して臨床に応用していただければと思う。
稿を終えるにあたり、協力をいただいたサンメディカル社に深謝いたします。
邑田歳幸:テクニカルヒント「支台築造用ファイバーポスト・コア『i‑TFCシステム』を用いたレジン支台築造の製作術式と技工上の要点」.デンタルマガジン,126 Autumn,64‑66, 2008.
他の記事を探す
モリタ友の会
セミナー情報
会員登録した方のみ、
限定コンテンツ・サービスが無料で利用可能
オンラインカタログでの製品の価格チェックやすべての記事の閲覧、臨床や経営に役立つメールマガジンを受け取ることができます。
商品のモニター参加や、新製品・優良品のご提供、セミナー優待割引のある、もっとお得な有料会員サービスもあります。























