105号 SPRING 目次を見る
目 次
はじめに
これまで様々なオールセラミックスのシステムが紹介されてきたが、その殆どが優れた一面をもつ反面、いくつかの弱点も併せ持っていたため、総合的な評価はあまり高いものではなかった。それ故、話題を提供するにとどまり、臨床の末端まで浸透し普及するというレベルには到らなかった。それは歯科医、歯科技工士、患者の三者すべてに受け入れられる審美性・操作性・耐久性が満たされていなかったためである。
しかし最近、これらの要項を満たすオールセラミックス・システムとしてプロセラが登場した。スウェーデン生まれのプロセラシステムは、1994年にノーベル・バイオケア社から紹介されて以来、欧米では40カ国、200万本以上の臨床実績を持ち、金属焼付けポーセレンにかわる術式として注目をされてきたが、いよいよ日本にも上陸することになった。
このプロセラシステムは前述の三つの要項を見事にクリアした画期的なオールセラミックス・システムで、特に最も獲得が困難とされた強度において、他の製品の追従を許さない優位性を持っている。欧米ではこのようなオールセラミックスに対する強度的な不信感を払拭したばかりではなく、その製作システムも最新のコンピュ-タ・テクノロジーを駆使した革新的なものであり、直接的には熱、粉塵、CO2などのガスを排出しないことや集中的な製作工程によるエネルギー効率の高さから人と地球環境にやさしいシステムとして評価されている。簡略にその特徴とシステムを説明すると、まず、支台歯形成された印象模型(ダイ)を専用スキャナーで解析し、そのデータを電話・ファックス回線で送信する。情報を受信したスウェーデンの工場では、そのデータをもとにアルミナを圧縮形成、焼成してコーピングを製作する。数日後、日本に送られたアルミナ・コーピング上にポーセレンを築盛し、オールセラミックス・クラウンを完成させる。
このように従来のメタルセラミックス製作工程のワックス操作・鋳造・適合調整等の作業が省略され非常に簡便で、なおかつオールセラミックスの持つ審美性の向上が図られた画期的なシステムといえる。
![[写真] プロセラシステム](https://cdn01.dental-plaza.com/pdf/sites/2/2002/04/105-3_photo01.jpg)
プロセラシステム
プロセラオールセラムクラウンの臨床手順
①支台歯形成
支台歯形成においては従来の手法と何ら変わるところはなく、通法に従い、連続性を持った明瞭なフィニッシュラインを形成し、形成面全体に鋭利な個所がないスムーズな仕上げをする。マージン部は強度保持および審美性の確保のため0.6mm以上のシャンファー形成が望ましく、咬合に関与する機能咬頭頂寄り1/3の軸面や咬合面は構造力学的耐用性と審美性を得るため2mm前後のクリアランスが必要となる。
これら支台歯形成時の要件はプロセラオールセラムクラウン固有の必要条件ではなく、通常の審美修復時の支台歯形成に準じたものである。
②印象および模型製作
印象採得も支台歯形成同様、特別な要件はなく、通法による変形のない明瞭な印象面が条件となる。このように精密に採得された印象に注入する石膏は耐摩耗性、強度などを考慮し超硬石膏とする。この後、トリミングに関してはスキャナーによる計測にからんで多少の注意点が必要なので、ラボサイドに委ねることを奨める。
③コーピングの調整とポーセレン築盛
スキャニングされたデータは瞬時に電話・ファックス回線でスウェーデンに送信され、通常、中2~3日で半透明色のコーピングが送られてくる。
その上に専用のポーセレンパウダーを築盛し、焼成すれば、プロセラオールセラムクラウンの完成である。ただ現在、コ-ピングに築盛可能な市販のパウダーはノリタケ・セラビアンおよびビタ・アルファーと限定されたものだけとなっている。なお、より高い審美性と適合を望む場合、当院ではコーピングの唇騁側をカットバックし、ポーセレンマージンにしている。
④仮着とセメンテーション
プロセラオールセラムクラウンは試適仮着が可能であるが仮着材にはテンプボンド、プロパック等、維持力があまり強くないものの使用が望ましい。
なお、仮着されたクラウンをはずす時は先端にラバーが付与された鉗子状のリムーバーでしっかり把持して左右前後に軽く回転させ上方に引き上げることで容易にはずすことができる。
最終セメンテーションではいかなる種類のセメント(レジン系セメント、グラスアイオノマー系セメント、リン酸亜鉛セメント、これらの複合セメント等)も使用可能となっており、特定の指定セメントはない。
おわりに
プロセラオールセラムクラウンは強度、耐用性、審美性等、従来のオールセラミックス・システムでは不備であった点、あるいは欠如していた点をあらゆる面においてクリアした、21世紀にふさわしい、有望で無限の可能性を秘めたマテリアルであると確信している。
症例1
![[写真] プロセラコーピングと焼成されたプロセラオールセラムクラウン](https://cdn01.dental-plaza.com/pdf/sites/2/2002/04/105-3_photo02.jpg)
図1 プロセラコーピングと焼成されたプロセラオールセラムクラウン。-
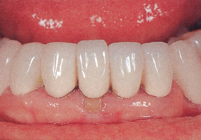
![[写真] 装着された6前歯のプロセラオールセラムクラウン](https://cdn01.dental-plaza.com/pdf/sites/2/2002/04/105-3_photo03.jpg)
図2 装着された6前歯のプロセラオールセラムクラウン。 -
-
![[写真] プロセラオールセラムクラウンによるオクルーザルリハビリテーション](https://cdn01.dental-plaza.com/pdf/sites/2/2002/04/105-3_photo04.jpg)
図3 -
![[写真] プロセラオールセラムクラウンによるオクルーザルリハビリテーション](https://cdn01.dental-plaza.com/pdf/sites/2/2002/04/105-3_photo05.jpg)
図4 -
![[写真] プロセラオールセラムクラウンによるオクルーザルリハビリテーション](https://cdn01.dental-plaza.com/pdf/sites/2/2002/04/105-3_photo06.jpg)
図5
-
症例2
![[写真] 審美性に問題があるメタルセラミックス](https://cdn01.dental-plaza.com/pdf/sites/2/2002/04/105-3_photo07.jpg)
図6 審美性に問題があるメタルセラミックス。-
-
![[写真] 装着されたプロセラオールセラムクラウン](https://cdn01.dental-plaza.com/pdf/sites/2/2002/04/105-3_photo08.jpg)
図7 -
![[写真] 装着されたプロセラオールセラムクラウン](https://cdn01.dental-plaza.com/pdf/sites/2/2002/04/105-3_photo09.jpg)
図8 -
![[写真] 装着されたプロセラオールセラムクラウン](https://cdn01.dental-plaza.com/pdf/sites/2/2002/04/105-3_photo10.jpg)
図9
-
症例3
![[写真] 術前の口腔内](https://cdn01.dental-plaza.com/pdf/sites/2/2002/04/105-3_photo11.jpg)
図10 術前の口腔内。著しい変色がある。-
-
![[写真] はポーセレンベニア](https://cdn01.dental-plaza.com/pdf/sites/2/2002/04/105-3_photo12.jpg)
図11 -
![[写真] プロセラオールセラムクラウン](https://cdn01.dental-plaza.com/pdf/sites/2/2002/04/105-3_photo13.jpg)
図12 -
![[写真] プロセラオールセラムクラウン](https://cdn01.dental-plaza.com/pdf/sites/2/2002/04/105-3_photo14.jpg)
図13
-
症例4
![[写真] 不透明性が高いメタルセラミックスが装着された術前の口腔内](https://cdn01.dental-plaza.com/pdf/sites/2/2002/04/105-3_photo15.jpg)
図14 不透明性が高いメタルセラミックスが装着された術前の口腔内。-
![[写真] 同一患者の下顎術前](https://cdn01.dental-plaza.com/pdf/sites/2/2002/04/105-3_photo16.jpg)
図15 同一患者の下顎術前。上顎と同様、不透明性が高く、形態に問題がある -
-
![[写真] プロセラオールセラムクラウンにより修復された術後](https://cdn01.dental-plaza.com/pdf/sites/2/2002/04/105-3_photo17.jpg)
図16 -
![[写真] プロセラオールセラムクラウンにより修復された術後](https://cdn01.dental-plaza.com/pdf/sites/2/2002/04/105-3_photo18.jpg)
図17 -
![[写真] プロセラオールセラムクラウンにより修復された術後](https://cdn01.dental-plaza.com/pdf/sites/2/2002/04/105-3_photo19.jpg)
図18
-
-
-
![[写真] プロセラオールセラムクラウンによる修復](https://cdn01.dental-plaza.com/pdf/sites/2/2002/04/105-3_photo20.jpg)
図19 -
![[写真] プロセラオールセラムクラウンによる修復](https://cdn01.dental-plaza.com/pdf/sites/2/2002/04/105-3_photo21.jpg)
図20 -
![[写真] プロセラオールセラムクラウンによる修復](https://cdn01.dental-plaza.com/pdf/sites/2/2002/04/105-3_photo22.jpg)
図21
-
-
![[写真] 修復後 上下感](https://cdn01.dental-plaza.com/pdf/sites/2/2002/04/105-3_photo23.jpg)
図22 修復後 上下感。 -
![[写真] 修復後 顔貌](https://cdn01.dental-plaza.com/pdf/sites/2/2002/04/105-3_photo24.jpg)
図23 修復後 顔貌。
他の記事を探す
モリタ友の会
セミナー情報
会員登録した方のみ、
限定コンテンツ・サービスが無料で利用可能
オンラインカタログでの製品の価格チェックやすべての記事の閲覧、臨床や経営に役立つメールマガジンを受け取ることができます。
商品のモニター参加や、新製品・優良品のご提供、セミナー優待割引のある、もっとお得な有料会員サービスもあります。