144号 SPRING 目次を見る
目 次
- ≫ はじめに
- ≫ GPはなかなか除去できない
- ≫ 拡大視野での治療
- ≫ GPリムーバー スピアー(spear)の有効性
- ≫ 実際の臨床使用例
- ≫ まとめ
はじめに
現在、我々が行っている歯内療法の7~8割は既存の根管治療のやり直しだと言われているが、そのほとんどはガッタパーチャ(guttapercha:以下GP)で根管充填されている。ご存知の通りGPとは天然ゴム(樹脂)性の根管充填材で、根管充填の際、最も頻繁に使用されている歯科用材料である。
メーカーにより多少の差があるが、以下のような成分で構成されている。
・ガッタパーチャ : 18~20%
・酸化亜鉛 :61~75%
・ワックスおよびレジン :1~4%
・重金属硫酸塩 :2~17%
改めて成分構成を確認するとGP単体ではなく、様々な物質で構成されていることに驚かされる。
ここで、根管治療の目的を考えてみると、根管内の感染源の除去と再感染防止のための緊密な根管充填処置に尽きるが、再根管治療の成功のためには既存のGPや起炎物質の確実な除去が要求されてくる。
GPはなかなか除去できない
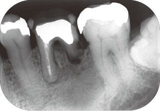
このGPという根管充填材料はなかなかの曲者で、緊密に充填されて、根管壁にへばりついていると除去が難しく、再根管治療で頭を悩ませることの一つになる(図1)。
大まかに除去するのは比較的簡単だが、イスムスや根尖孔付近に付着したものは容易には除去できない。
それ以外にも根管の内部は複雑な凹凸があり陥凹部などに付着した感染源となる起炎物質やGPはファイル操作だけでは取り切れていないのが現状である(図2)。
拡大視野での治療
以前、裸眼や拡大鏡では根管内部が明視できないため、内部の状況を正確に把握することができなかった。しかし、マイクロスコープ(図3)を使用することで明るく鮮明に根管内を観察することが可能となり、否が応でもGPの取り残しや根管内の汚染状況を目にすることになってきた。そこで視野を妨げず、的確に除去する器具の必要性が急速に高まってきた(図4~6)。
-

図1 根管内部は様々なもので汚染されている
-

図2 根尖部にはGPが残存し、根管壁の陥凹部にも汚染歯質が付着している(マイクロスコープ画像)
-

図3 Leica M320 F12 for Dentistry
-

図4 初診時レントゲン像
-

図5 治療開始時の根管内部(GPや感染歯質などが付着している)
-

図6 根管治療後1Y後のレントゲン像
-

図7 GPリムーバー スピアー構成例(ポイント部とハンドル部で構成され図8 φ0.3mmのシングル刃図9 φ0.5mmのダブル刃ている)
-

図8 φ0.3mmのシングル刃
-

図9 φ0.5mmのダブル刃
-

図10 GPを上から剥がし、その後GPを掻き上げる感じで使用すると除去が容易である。
GPリムーバー スピアー(spear)の有効性
スピアー(spear)とは「先の尖った槍」というような意味であるが、その形状はまさしく先端が鋭く尖った銛(もり)のようである。
刃部は消耗品のためポイント式となっており、専用のハンドルに取り付けて使用する(図7)。
刃部のバリエーションとしては先端径の大きさでφ0.3mmのシングル刃(図8)、φ0.5mmのダブル刃(図9)、φ0.7mmダブル刃の3種類で、それぞれが21mmと28mmと作業部の長さの違う2種類が用意されている。
マイクロスコープ使用時はφ0.3mmとφ0.5mm、ルーペまたは裸眼時はφ0.7mmが使いやすい。
使い方はいたって簡単で、先端部は360°の刃部なので根管内のどの方向に対してもアクセスできるため持ちかえる必要もなく、根管壁にへばりついたGPを上からはがして掻き上げて除去することが可能である(図10)。
もちろん、GPの除去のみでなく、根管内陥凹部の感染源除去に対しても有効なことは言うまでもない。
また、刃部はポイント式のため消耗したときにはその部分だけ交換すればよいので経済的である。
実際の臨床使用例
患者64歳、男性。某病院口腔外科より紹介で来院した。患歯は左下第一大臼歯、遠心根に数年前歯根端切除手術を受けている。
今回、その部位の違和感および全体的治療を主訴に来院した。
ヘミセクション後、近心根の根管治療を行ったがレントゲンからもわかるように、GPは緊密に根充されていなかったため、GPリムーバー スピアーを用いながら根管壁からGPを剥がすようにして掻きあげたら一塊として除去できた。
その後もGPリムーバー スピアーを用いて根管内の陥凹部の汚染物を除去したが、根管内の清掃時間を大幅に短縮することができた(図11~16)。
-

図11 初診時レントゲン像
-

図12 保存不可能な遠心根を抜歯(ペンスコープ画像)
-

図13 GPリムーバー スピアーを使用し、根管内を清掃(マイクロスコープ画像)
-

図14 一塊で除去できたGP(ペンスコープ画像)
-

図15 根管内の清掃が終了した状態(ペンスコープ画像)
-

図16 根管充填後のレントゲン像
まとめ
GP除去器具は数社より様々な形状のものが製品化されているが、GPリムーバー スピアーは安価で、しかも先端の刃部が円錐状をしているため1本でどの壁面に対しても処置でき、術式がシンプルで使用する本数が圧倒的に少ない。
また、ネック部分の角度はどの歯に対しても扱いやすく設定されており、適度な硬さとしなりを有し、刃部は切れ味も良い。
GPリムーバー スピアーの特徴を生かし、根管治療に的確に応用することでGPおよび汚染物質等の高い除去効果が期待でき、根管治療の成功率を確実に高めてくれる。間違いなく、これからのマイクロスコープを使用した根管治療になくてはならないアイテムの一つになるであろう。
目 次
モリタ友の会会員限定記事
- Trends 接着性根管充填用シーラー「メタシール Soft」について
- 私の臨床 トライオートmini2本を駆使した「Double Sword Technique」が構築する再現性の高い根管形成
- Clinical Report 再根管治療の成功率を高める“GR(ガッタパーチャ)リムーバースピアー”の有効性
- Clinical Report 知覚過敏抑制材「ティースメイト®ディセンシタイザー」 -ハイドロキシアパタイトによる象牙細管の封鎖が実現した-
- Clinical Report マニーダイヤバー ショートシャンクの有効性
- Clinical Report 電動式歯科用ファイルMANI GPR(ガッタパーチャリムーバー)「GPRの有用性」
- 私の臨床 スムーズ&フレキシブル&スマート 高い蒸散能力、水とエアーで発熱を抑え、組織への侵襲が少ないEr:YAGレーザー
他の記事を探す
モリタ友の会
セミナー情報
会員登録した方のみ、
限定コンテンツ・サービスが無料で利用可能
オンラインカタログでの製品の価格チェックやすべての記事の閲覧、臨床や経営に役立つメールマガジンを受け取ることができます。
商品のモニター参加や、新製品・優良品のご提供、セミナー優待割引のある、もっとお得な有料会員サービスもあります。