144号 SPRING 目次を見る
■目 次
2007年に開業してから5年間、大きなテーマとして、「常に繊細であること、患者さんに感動を与える治療」を肝に銘じながら診療に取り組んできました。最近は、低侵襲な、負担の少ない治療を強く意識しているのですが、その際にレーザー治療というものが、頭をよぎりました。
最近のレーザー治療技術の革新や歯科用レーザーの普及は目を見張るほどですが、当院でインプラント治療と矯正治療を担当している伊藤哲治先生にアドバイスをもらうまでは、歯科用レーザーの知識や経験も乏しかったため、その種別やメーカーなどに、特にこだわりがあったわけではありません。
しかし、診療の合間や診療後にレーザー治療のキャリアもスキルも豊富な伊藤先生から、CO2レーザー、Nd:YAGレーザー、Er:YAGレーザー、半導体レーザーなどの歯科用レーザーの種類・用途の違いやレーザー治療の有用性を聞けば聞くほど、レーザー治療への興味や期待感を抑えられなくなったのです。
とりわけ私が注目したのはEr:YAGレーザーでした。早速、モリタからアーウィン アドベール Evoのデモ機を借りてしばらく試用し、2012年8月に導入に踏み切りました。
アーウィン アドベール Evoは、硬組織・軟組織の炭化層を形成しない、すぐれた低侵襲性を備えており、しかもほぼ無麻酔下の処置が可能なので、小児治療にも多大な恩恵があることを知ったことは、私にとっては大きな収穫でした。もちろん、硬組織治療への汎用性、スメア層を形成しない窩洞形成、レーザーエッチングによる接着力の向上だけでなく、歯内療法、歯周病治療、インプラントの2次オペ、歯根端切除、歯肉のメラニン除去、CR充填時の止血が実に簡便・迅速に行えるほか、チップの多彩さや耐久性、エビデンス蓄積の信頼性、スイングアームの軽快さ・使いやすさ、軽量・コンパクトなデザイン、見やすく操作が楽なタッチディスプレイなど、そのメリットを数え上げれば枚挙にいとまがないほどです。
伊藤先生と私の2人3脚で取り組んでいるレーザー治療ですが、アーウィン アドベール Evoの有用性と治療のバリエーションの豊富さに驚かされています。
たとえば、インプラント治療で抜歯即時埋入のケースでは、抜歯窩は不良肉芽を徹底的に除去しなければなりません。抜歯・埋入にはそれぞれ5分ぐらいしかかからなくても、埋入窩の形成、不良肉芽の除去に約30分かかり、ティッシュダイヤバーとピエゾサージェリーを併用しても、ときにオーバートリートメントになる恐れもあり、組織に侵襲を及ぼさない除去機序はないかと考えていました。
ところが、アーウィン アドベール Evoなら、確実なデブライトメント(歯肉縁下のプラーク、歯石、汚染歯根面の清掃、不良肉芽組織の除去)が不良肉芽除去モードでできるだけでなく、組織の無毒化も併せて行えるので、とても安心です。インプラント2次オペ後の印象採得時も、細いチップで歯肉切除ができますし、電気メスの切除よりも予後がきわめて良好です。
また、矯正治療では、矯正装置の装着直後にセルフライゲ
ーションのフック部で口内炎を発症するケースが少なくありませんが、アーウィン アドベール Evoを無麻酔で照射すると、その瞬間に痛みが消失しますので、治療期間が長い矯正治療での患者さんとの信頼関係の構築にも大いに役立っています。やはり口内炎の痛みの消失は患者さんへのアピール度が強いと感じます。その他、小児の小帯切除や萌出術もほぼ無麻酔で行えますし、小児の歯肉嚢胞もきれいに完治しました。
立ち上がりが穏やかで、スムーズな照射ができる。高い蒸散能力、独自のシステムで発熱を抑え、痛みを少なく、ストレスを軽く、オペ時間を短縮する。組織への侵襲を最小限に抑えたEr:YAGレーザー、アーウィン アドベール Evoが発揮する限りないポテンシャリティに、多いに信頼を寄せています。
■症例1

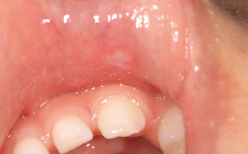
図1 4歳女児、口唇部、粘液嚢胞。
図2 1週間後。
図3 S600T、25pps、40mj。局所麻酔、注水下で除去。
図4 オペ1週間後。
図5 オペ3週間後。
図6 拡大。
■症例2

図7 39歳男性、インプラント2次オペ。S600T、25pps、30mj。局所麻酔、注水。
図8 2次オペ10日後、アバットメントをセット。
図9 1セラミッククラウン、セット後。
■症例3

図10 42歳女性、頰部粘液嚢胞。
図11 S600T、25pps、40mj。局所麻酔、注水下で切除。
図12 オペ2週間後。
目 次
モリタ友の会会員限定記事
- Trends 接着性根管充填用シーラー「メタシール Soft」について
- 私の臨床 トライオートmini2本を駆使した「Double Sword Technique」が構築する再現性の高い根管形成
- Clinical Report 再根管治療の成功率を高める“GR(ガッタパーチャ)リムーバースピアー”の有効性
- Clinical Report 知覚過敏抑制材「ティースメイト®ディセンシタイザー」 -ハイドロキシアパタイトによる象牙細管の封鎖が実現した-
- Clinical Report マニーダイヤバー ショートシャンクの有効性
- Clinical Report 電動式歯科用ファイルMANI GPR(ガッタパーチャリムーバー)「GPRの有用性」
- 私の臨床 スムーズ&フレキシブル&スマート 高い蒸散能力、水とエアーで発熱を抑え、組織への侵襲が少ないEr:YAGレーザー
他の記事を探す
モリタ友の会
セミナー情報
会員登録した方のみ、
限定コンテンツ・サービスが無料で利用可能
オンラインカタログでの製品の価格チェックやすべての記事の閲覧、臨床や経営に役立つメールマガジンを受け取ることができます。
商品のモニター参加や、新製品・優良品のご提供、セミナー優待割引のある、もっとお得な有料会員サービスもあります。











