145号 SUMMER 目次を見る
■目次
■1. フロアブルレジンの臨床応用の拡大
コンポジットレジン修復のエポックメーキングとしては、1960年代にbis‑GMAが登場することでモノマー組成が大きく変更され、1970年代に登場した光重合技術によって臨床使用が飛躍的に容易になったことが挙げられる。その後、1980年代からはフィラーの微細化と高密度充填に開発努力が傾注され、ナノサイズあるいは機能性フィラーを含有する製品が市販されるようになった。
このように、コンポジットレジンを用いた直接修復への期待の高まりは、審美性の向上を求めて良好な研磨性や光拡散性を求めることにつながった。また、コンポジットレジンの開発方向のひとつとして、レジンペーストの操作性を従来の製品とは一線を画すまで変更したレジン製品群としてフロアブルレジンが登場した。
フロアブルレジンは、ペーストの“流れる”という特性に着目し、この性質を意図的に製品の臨床使用における特長とした製品である。しかも、かつてのフロアブルレジンが機械的性質に劣り、臼歯部咬合面への応用が困難であったというイメージを払拭するクリアフィル マジェスティESフローが市販された(図1)。
手になじむ適度な大きさのシリンジという製品形態で供給され、充填に際してはニードルタイプのアプリケータを用いるため、ペーストを直接窩洞に填塞することも可能である。臨床使用の簡便さ、あるいは適応症の多様化を可能にするものでもあり、その臨床使用頻度は高いものと考えられる。
もちろん、簡便操作でありながら確実な歯質接着性が得られるクリアフィル ボンドSE ONE(図2)が大きな支援になっており、これらの併用が、今後のフロアブルレジンを用いた臨床に大きな変革をもたらすものと期待される。

図1 クリアフィル マジェスティESフロー
図2 クリアフィル ボンド SE ONE
■2. フィラー技術による機械的性質の向上
フロアブルレジンの適応症を考える上で、その機械的性質は重要な考慮事項となる。開発当初のフロアブルレジンでは、レジンペーストの流動性付与のために、フィラー含有量を低くするとともに希釈モノマーを増加させていた。しかし、フィラー含有量の低下は、機械的性質の低下につながるとともに、重合収縮が問題となるところから、C‑ファクターが大きな窩洞ではライニングとして用いるに留める必要があった。一方、相対的にレジン成分が多いために、逆に重合収縮応力が比較的小さくなり、窩壁への応力集中が少なくなるという利点も論じられた。その後、フロアブルレジンの臨床応用の拡大によって、流れるという特性は残しながらも、フィラーの微細化とともにこれを高密度充填するように、製品の開発方向が設定されるようになり、各メーカーがその技術力を発揮するところとなっている。
クリアフィル マジェスティESフローは、サブミクロンサイズの極めて微細なフィラーを採用するとともに、独自の技術でクラスター化した球状フィラーを混合することによって、機械的強度、操作性、光沢性そして色調適合性など、これまでのフロアブルレジンでは実現が困難であった性質を叶えるものとなっている(図3)。
他の市販製品と比較しても、微細なフィラー形状とともにクラスターフィラーの充填が、いかに緻密かが理解できる(図4、5)。
さらに、フロアブルレジンの曲げ強さは100MPaを超える製品が多くなり、これはセミハイブリッドタイプとして分類されているユニバーサルタイプのコンポジットレジンとほぼ同等あるいはそれ以上の値である(表1)。
クリアフィル マジェスティESフローは、ユニバーサルタイプのコンポジットレジンと比較しても、その機械的強度はトップクラスに位置づけられ、幅広い臨床応用にも耐えうると期待される。臨床的には、経時的な表面劣化として問題となる耐摩耗性が気になるところである。この点においても、クリアフィル マジェスティESフローは、高密度充填されているフィラーとその形状とを考えると、現在市販されているコンポジットレジンの中でもトップクラスの性能を示すものと考えられる。

表1 フロアブルレジンの機械的性質(曲げ強さ、曲げ弾性率)
図3 機械的強度にとどまらず、臨床で要求されるあらゆる性質を兼ね備えたフロアブルレジンといえる。
図4 クリアフィル マジェスティESフローでは、極めて微細な無機フィラーを採用するとともに、クラスター化したフィラーを用いることで、ペーストの操作性が向上するとともに研磨性と色調適合性という審美性をも両立することが可能となった。
図5 クリアフィル マジェスティESフローのフィラーは、他社製品と比較しても極めて微細であるとともに、ユニークな発想から構成されていることがわかる。これが、クラレノリタケデンタルの技術力である。
■3. 流動性で異なる臨床操作性
フロアブルレジンは、シリンジあるいはコンピュールのいずれかで供給され、金属あるいはプラスチックチップを用いて充填される。したがって、器具到達が難しい舌側面窩洞あるいは比較的小さい窩洞などの充填に適している。しかし、ここで注意しなくてはいけないのが、同じフロアブルレジンであっても、製品によってその流動性(フロー)には大きな違いがあるという点である。また、そのフローの程度は、これが充填される窩洞環境としての温度あるいは窩洞への充填に先立って行われているボンディング処理の影響も受ける。したがって、臨床使用にあたっては自身の使用する製品の特性を理解することも大切である。
臨床的には、押出しが軽く、しかもその後の“キレ”が良いレジンペーストが望まれる。クリアフィル マジェスティESフローは、窩洞に充填したときには、窩洞内の目的の部分にペーストが留まっているので、窩洞外に洩出する心配が無く、操作に余裕を持つことができる。また、探針状の充填器でペーストを賦形しようとすると、思い描いたイメージでペーストが流動する。このように、充填した窩洞に留まるとともに、器具操作によって適度な流動性を示す性質は、臨床的観点からは極めて望ましい性質であり、解剖学的形態の付与に生かされるものである。
■4. クリアフィル マジェスティESフローの臨床
<症例1>歯頸部修復
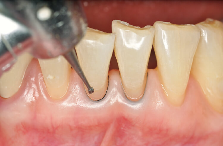
フロアブルレジンの適応を考えると、やはり歯頸部欠損症例が思い浮かぶであろう。確かに、これまでのユニバーサルタイプのレジンペーストとは異なり、フロアブルレジンの使用感には優れたものがある。とはいうものの、充填の前準備としての歯肉圧排、アドヒーシブ塗布後のエアブローや光照射など、確実に行うべきステップがある(図6~11)。
とくに、アドヒーシブ塗布後のエアブローに関しては、確実な歯質接着性を獲得するためにも十分留意すべき点といえる。
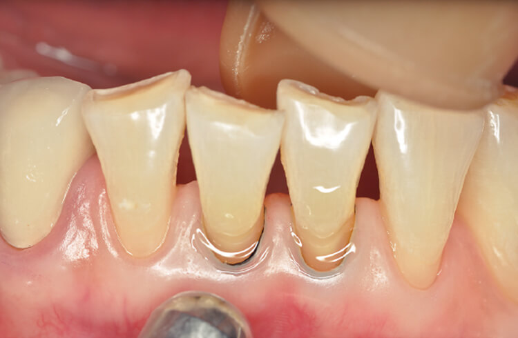
次いで、フロアブルレジンの填塞操作に移るのであるが、この時のチップ先端の位置づけが臨床的には重要になる。チップ先端は、切縁寄りの窩縁に位置づけてレジンペーストを填塞するようにするのがコツである(図12)。そうすれば、レジンペーストが自然なカウンターを持ちながら窩洞になじむはずである。
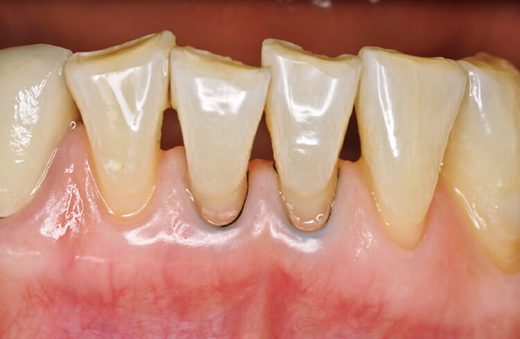
このように修復操作を行えば、その後の形態修正や研磨操作は、極めて短時間で終了するはずである(図13~15)。

図6 歯頸部楔状欠損症例。
図7 歯肉圧排コードをポケットに挿入することで、欠損部を明視化するとともに歯肉溝浸出液の洩出を防止する。
図8 歯面を一層削除する。
図9 窩洞形成を終了する。
図10 十分な量のアドヒーシブを塗布する。
図11 エアブローを行うが、この際エアの反対側でバキュームをあてがう。その後、光照射を行う。
図12 レジンペーストの填塞時には、アプリケーターチップ先端を切縁寄りの窩壁に沿わせるように行う。
図13 光線照射は窩洞に可及的に近接させて行う。
図14 形態修正および研磨を行う。
図15 クリアフィル マジェスティESフローのフィラー特性によって、容易に光沢感を得ることができる。
<症例2>臼歯部修復
クリアフィル マジェスティESフローは、臼歯部修復でその威力を間違いなく発揮する。とくに、MIを意識した修復では、ペーストの操作性はこれを支援する最大のものといえる。
冷水痛を主訴としているこの症例では、旧修復物を除去しクリアフィル ボンドSE ONEでの処理後に(図16~21)、マジェスティESフローを窩洞の部位ごとに填塞している(図22~27)。
一見すると、填塞する回数が多く感じられるかもしれないが、逆にこの手法を用いることで、いとも簡単に臼歯部の咬合面形態を整えることができる。

図16 旧修復物周囲に褐線が認められるとともに、一部で体部破折している。
図17 径の小さなダイヤモンドポイントを用いて窩洞形成を行う。
図18 歯質切削は、最小限にとどめるように心がける。
図19 ボンドSE ONEは、シングルステップのセルフエッチングシステムの中でも、安定した歯質接着性に定評がある。
図20 アドヒーシブを窩洞に塗布し、10秒間放置した後にエアブローを行う。
図21 アドヒーシブへの光線照射も、確実な接着性獲得には重要なステップである。
図22 クリアフィル マジェスティESフローを、窩洞の近心部に填塞し、探針状の充填器(MMステインアプリケータなど)を用いて裂溝部をなぞる。
図23 中心窩付近にレジンペーストを填塞し、同様に賦形する。
図24 窩洞の遠心部分にレジンペーストを填塞していく。
図25 レジンペーストを填塞した後に、主溝に沿って充填器を動かすことで賦形する。
図26 咬合面の研磨は、ブラシ状の研磨材などを用いると便利である。
図27 咬合調整はほとんど必要とせず、極めて短時間で修復を終了することができる。
■5. おわりに
フロアブルレジンは、現在の歯科治療における基本的概念であるMinimal Interventionを支える修復材のひとつであると捉えられる。これまでの充填器を用いては対処できない窩洞も、フロアブルレジンの流れる性質を応用することで容易に修復できる。さらに、その操作性とともに機械的性質がきわめて良好なところから、臼歯部咬合面窩洞への応用も可能となっている。今後の歯冠修復歯治療に、大きな変革をもたらす製品となることであろう。
「クリアフィル マジェスティ ESフロー」を用いた症例の動画がご覧頂けます。パソコンからの方は下記アドレスにアクセスして下さい。
デンタルプラザ ビデオライブラリー
https://movie.dental-plaza.com/promotion/165/
目 次
モリタ友の会会員限定記事
- Trends 歯科充填用コンポジットレジン「クリアフィル マジェスティ ES フロー」について
- Clinical Report 診療効率の高い新感覚フロアブルレジン「クリアフィル マジェスティ ESフロー」の特長とその臨床応用について
- Clinical Report 多目的超音波治療器ソルフィーFの臨床応用
- Clinical Report 新しいセルフエッチング接着性レジン系シーラー -メタシール Softの特徴と臨床応用-
- Clinical Report 「ジーニー」を用いた前歯部審美症例と部分床義歯症例
- 私の臨床 Z-カットダイヤダイヤモンド微粒子の切削力と耐久性フルジルコニアクラウンの咬合調整に有用なジルコニア切削用ダイヤモンドバー
- 誌上カタログ システムキャビネット Varie(ヴァリエ)ザーク製品を使ったヴァリエの収納例をご紹介しています
他の記事を探す
モリタ友の会
セミナー情報
会員登録した方のみ、
限定コンテンツ・サービスが無料で利用可能
オンラインカタログでの製品の価格チェックやすべての記事の閲覧、臨床や経営に役立つメールマガジンを受け取ることができます。
商品のモニター参加や、新製品・優良品のご提供、セミナー優待割引のある、もっとお得な有料会員サービスもあります。



























