160号 SPRING 目次を見る
私の診療スタイルはとにかく“患者さん本位”。どうすれば患者さんのためになるか、そのことを常に最優先に考えながら診療を行っています。
勉強は昔からあまり好きではありませんが、セミナーや勉強会に参加して新しい知識や情報を吸収することは大好きです。なぜなら、知識やテクニックを身につけることで仕事がもっと楽しくなりますから…。
セミナーの講師をしていると、若い歯科衛生士の皆さんから「どうすればリコール率を上げることができますか?」といった質問をいただくことがありますが、私は決まって「まず、あなた自身が楽しそうに仕事することが大事。そうすれば患者さんは『またあなたの笑顔が見たい』ときっと思うから」と伝えています。これは私が長年患者さんとお付き合いしてきた経験から培ったまぎれもない事実です。
歯科用ルーペは、2003年にアメリカで歯科衛生士研修を受けた際に初めて目にしました。当時日本ではマイクロスコープやルーペの存在を知る人も少なかったと思います。それをドクターではなく歯科衛生士が日常的に使っていることにさらに衝撃を受けました。「ルーペって何?虫眼鏡のこと?」と思いながら帰国したことを覚えています。帰国後、ルーペについて調べてみて、ようやく使用用途について理解したのですが、とにかく当時は高価でとても歯科衛生士に買える金額ではありませんでした。ただ、「ルーペを使えばどれだけ見えるんだろう。今よりももっと見えたら面白いだろうな」と持ち前の好奇心が頭をもたげ、試しにいろいろなメーカーのルーペを覗かせてもらいました。そんな折、勤務先の院長先生がマイクロスコープとルーペをお持ちで、その先生から、「まず自宅でルーペのトレーニングをしてごらん」ということでお借りすることができました。
最初は距離感がうまく掴めず大変でしたが、慣れるにしたがって新聞の文字が読めるようになり、そのうち裁縫で針に糸を通すこともできるようになってきました。私の場合は、右と左で視力に極端な差があったので、特に距離感が取りづらくトレーニングに時間がかかりました。実際の診療で使うようになったのは2008年頃だったと思います。
保険診療がメインですので、時間の制約もあって全ての患者さんにという訳にはいきませんが、例えば普段海外に在住されていて、年に数回帰国する方などは、丁寧にメインテナンスしてあげなければなりません。「よし、今日はしっかり見てちゃんとキレイにするぞ」といつもより気合いが入る瞬間で、そんな時に頼りになるのが歯科用ルーペです。ルーペを使用する以前は、キチンと取ったつもりでも仕上げ研磨の際に取り残しを見つけてがっかりすることもありましたが、今はそうした罪の意識を持つことはなく、常に達成感を感じながら処置を行うことができています。
ただ、ルーペを使うと見え過ぎてしまって通常より集中して作業することや、歯石の除去方法を考えるエネルギーも必要になって、結構疲労してしまうことがあります。特に私の場合、メガネをかけていますから、メガネのない人に比べるとそのストレスも大きいと思います。その点で、キーラー社のルーペはメガネをかけたまま装着できるのでとても気に入っています。新たに発売された「ワイナビューフレームFルーペ」はフレーム自体も軽くて掛け心地も良く、カラーも豊富に揃っていてオシャレですから、付けていて楽しい気分になってきます。
以前、ルーペを全く使わない歯科衛生士にその理由を聞いたところ、「装着が面倒だし、今のままで十分見えているので必要ありません」という返事。気持ちはよく分かりますが、「一度でも覗いてごらん。今までいかに見えてなかったかに気付かされるから…」と言ってとにかく試してみるように薦めています。ただ、ルーペを使えばすぐ精度が上げられるかと言えばそれはムリで、ある程度のトレーニングは必要です。でもせっかく歯科衛生士という職業を選んだ以上、プロフェッショナルとして自分の仕事の精度を上げる努力は惜しまないでほしいというのが私の願いです。
私の目標は“生涯現役”。70歳を過ぎても歯科衛生士を続けたい。また、この仕事がどれだけ楽しくて、社会のため、自分のためになる仕事なのかをもっともっと伝えていきたいと思っています。

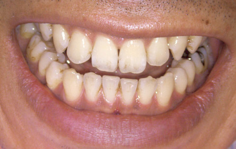
図1 術前。着色や歯石が見られる。

図2 超音波スケーラーを用いて歯石を除去。

図3 同、下顎右側頰側部分。

図4 同、下顎右側舌側部分。

図5 同、上顎前歯舌側部分。

図6 かなり除去することができたが、まだ少しステインが残っている。

図7 ハンディジェットパウダーPMTCを用いて歯間部、歯肉縁周辺を清掃。

図8 歯面もツルツルになり、以降の着色や歯石も付着しにくくなる。

図9 PMTC終了。

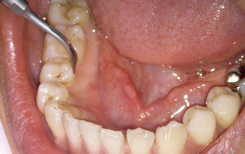
図10 仕上げに最終チェックし、気になる部分を清掃。ルーペを使用すると取り残しがよく見える。

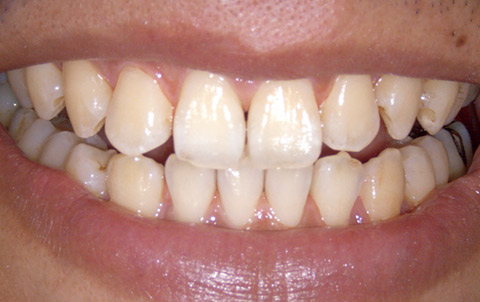
図11 術後の正面観

図12 同、右側頰面観。
同じ筆者の記事を探す【 沢口 由美子 】
モリタ友の会会員限定記事
- 180号 Field Report 外周の毛束がポケット深くまで届いて汚れを落とす、新感覚のブラシヘッド
- 177号 My Recommendation リピーター続出! 患者さんの満足度を上げる歯面清掃用器
目 次
モリタ友の会会員限定記事
- Clinical Report 歯間部のプラークコントロールを再考する! デンタルフロスの役割 「Floss or Die」から「Floss and Survive」へ
- Clinical Hint CBCT読影虎の巻Part2 CBCTのアーチファクトとその画像障害
- Field Report 領域にあわせてサイズ変更が可能 被曝量が少なく様々な症例で有効な歯科用CT
- Clinical Report 心のユニバーサルデザイン 歯科用ポジショニングクッション開発ストーリー
- Field Report フュージョンウェッジをラインナップ より精度の高い歯牙形態を再現する3Dマトリックスシステム
- Field Report もっと見たい! 取り残しがあってもよく見える歯科用ルーペ
- Technical Hint ノリタケスーパーポーセレンAAA 発売30周年特別連載 スーパーポーセレンAAA発売30周年によせて
- Technical Hint ノリタケスーパーポーセレンAAA 発売30周年特別連載 スーパーポーセレンAAA発売30周年を振り返って
他の記事を探す
モリタ友の会
セミナー情報
会員登録した方のみ、
限定コンテンツ・サービスが無料で利用可能
オンラインカタログでの製品の価格チェックやすべての記事の閲覧、臨床や経営に役立つメールマガジンを受け取ることができます。
商品のモニター参加や、新製品・優良品のご提供、セミナー優待割引のある、もっとお得な有料会員サービスもあります。











