160号 SPRING 目次を見る
患者さんの口腔内の現状がなぜそうなったのか思考を凝らし推察すると、過去の状況が見えてきます。その過去から現在までの変化を観察することで、未来をある程度イメージできます。その未来を良いものに変えていくお手伝いができればと思い、診療を行っています。
具体的には、治療前に基礎資料としてX線・口腔内写真撮影や歯周病検査をし、同時に顔貌写真撮影も行っています。口腔内の病変は局所的な事象で、顔貌を確認することで、骨格の状態や根本的なリスクが見えてくることもあります。例えば、患者さんに「なぜここに虫歯ができたと思いますか?」と尋ねると、ほとんどの方は「歯磨きをサボってしまったから…」とおっしゃいますが、骨格や歯列などの条件が悪いことから、当該歯に不適切な力が加わり、結果的に虫歯になった可能性も考えられます。このように、局所だけを見て削って詰めて治せばいいのではなく、根本的な部分からアプローチしたうえで、治療の必要性について理解してもらうことも大事だと考えています。
初診の患者さんで銀歯が入っていることがあるのですが、二次う蝕になっていたり、銀歯自体の適合性に問題があることがよくあります。銀歯の場合、保持・抵抗・便宜形態を十分に確保しなければなりませんから、必然的に切削量は多くなります。その点でCRによる直接修復だと基本的には患部のみを削ってそこを補えばいいわけですから、生体にとっては一番害が少ない治療方法だと考えています。特に近年は接着技術も向上し、二次う蝕のリスクもかなり少なくなっていると感じています。
ただ、日常的に遭遇する二級窩洞の修復は一見簡単そうに見えますが、隣接面を作る部分は意外と難しく、ある程度のテクニックが必要です。当院では月に20本ほど自費によるCR修復を行いますが、そのうち15本くらいはマトリックスシステムを使って修復を行っています。これまでいろいろな器具や方法を試してきて、現状で100点満点とはいきませんが、ある程度のところまでは回復できるようになりました。
最近はギャリソンのコンポジタイト3Dシリーズを使うことが多いです。歯冠部のマトリックスの適合部分までしっかりサポートしてくれるので、充填後の形態修正が少なくて済みます。また、リングの離開力が強いのも特徴の一つです。辺縁隆線とコンタクトポイントを再現する際、リングの離開力はとても重要で、歯と歯の間をリングで一度グッと広げた状態で充填を行い、充填後に歯と歯が押し合うような形を作ることが理想なのですが、コンポジタイトを使用することでそのようなタイトなコンタクトポイントを保つことができます。
また、ギャリソンの3Dリテーナーならリング脚部の隙間からウェッジをより大きいタイプにチェンジすることで、歯とマトリックスを再度圧接できるように調整することも可能です。
窩洞が大きいケースや隣接面を回復する量が多い場合だと、窩洞の中にリングの脚が入ってしまうので、適応症としては、歯牙の形態がある程度残っていることが条件になるでしょう。通常の二級窩洞では問題ありませんが、咬頭がない場合などは、3Dではないスタンダードタイプを工夫して使うことで対応することもあります。
マトリックスバンドは複雑な形状の修復を除いてはメタル素材のスリックバンドを使用しています。この製品の利点は厚みと賦形性です。3D形状が歯冠の形と近似していることが多いので扱いやすいですし、適度なコシもあります。また、表面がコーティング加工されているためエアーをかけただけでボンディング材がスッと飛んでいってくれます。
さらに、新しくラインナップとして追加されたフュージョンウェッジもとても使い勝手が良いですね。表面のフィンがウェッジの戻りを防止して、マトリックスをしっかり押さえてくれています。また、ウェッジごとリングで圧接する時に適度に分散して圧接してくれるのでとても重宝しています。
こうしたマトリックスの応用に躊躇される先生方もおられるようですが、現在の歯科診療においてはCR修復が患者・術者の双方にとって最もメリットのある治療法だと思います。そうなればマトリックスを使わない手はありません。ぜひチャレンジして診療の幅を広げると同時に精度も高めていただきたいと思います。

症例1-1 54のメタルインレー下に二次カリエスを認めた。間接法と直接法による修復のメリットとデメリットを説明し、患者はカリエス除去後に直接法によるCR修復を選択した。

症例1-2 メタルインレーを除去すると、二次カリエスを認めることが多くの場合に見受けられる。う蝕検知液等を用い、カリエスを確実に除去する。その際、可及的に歯質の保存を図る。

症例1-3 コンタクトエリアや隣在歯とのバランスを考えながら、綿球等でスリックバンドの位置を調節する。このバンドのカーブは再現性の高い歯牙形態を付与でき、フュージョンウェッジは歯との密着性を格段に向上させる。

症例1-4 5の形態を作成し、ある程度の研磨まで行う(ラバーダム装着時には咬合できないため除去後再度の調整が必要)。

症例1-5 続いて4の形態を構築していく。コンポジタイトを用い、タイトなコンタクトを付与する。隣在歯と離開しているため適切なサイズのフュージョンウェッジを選択する。

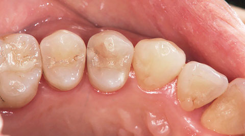
症例1-6 天然歯の形態を模倣しCRを充填する。その後、咬合調整を行い適切な咬合関係を構築後、研磨を行う。半年後二次カリエス、着色も認めず良好な経過を保っている。

症例2-1 4遠心隣接面にカリエスを認め、カリエス除去後にCRにて修復することとした。

症例2-2 カリエスを除去したところ、歯髄近くまで進行していた。遠心のエナメル質は象牙質の裏打ちがない状態ではあったが可及的に温存する。この状態でボンディング操作を行うため、シールテープにより5を保護する。

症例2-3 残存したエナメル質の高さまでクリアフィルマジェスティESフローを充填し、エナメル質の裏打ちを行う。このことにより、この後のウェッジ操作やリングの装着時にエナメル質が破折することを防止する。

症例2-4 スリックバンド、コンポジタイト3Dリテ−ナ−スモールを使用し、適切な隣接面形態を構築する。

症例2-5 スリックバンド、フュージョンウェッジ、コンポジタイト3D リテーナースモールの組み合わせにより、CRを圧接するだけで自動的に自然な隣接面形態となる。

症例2-6 充填して数ヵ月経過時であるが、良好な経過をたどっている
同じテーマの記事を探す【 マトリックスシステム 】
モリタ友の会会員限定記事
- 174号 Clinical Report 歯肉縁下マージンの対応で変わる 光学印象の精度
- 171号 Clinical Report 大型2 級窩洞のコンポジットレジン修復を極める~実力につながる臨床解説編~
- 170号 Clinical Report 臼歯部2級窩洞コンポジットレジン充填修復のコツ~セクショナルマトリックスシステムを用いた隣接面へのアプローチ~
- 169号 Clinical Report 前歯部における隣接面歯冠形態回復へのアプローチ
- 168号 Clinical Report ストレス軽減に繋がるチェアサイドCAD/CAMの重要アイテム
目 次
モリタ友の会会員限定記事
- Clinical Report 歯間部のプラークコントロールを再考する! デンタルフロスの役割 「Floss or Die」から「Floss and Survive」へ
- Clinical Hint CBCT読影虎の巻Part2 CBCTのアーチファクトとその画像障害
- Field Report 領域にあわせてサイズ変更が可能 被曝量が少なく様々な症例で有効な歯科用CT
- Clinical Report 心のユニバーサルデザイン 歯科用ポジショニングクッション開発ストーリー
- Field Report フュージョンウェッジをラインナップ より精度の高い歯牙形態を再現する3Dマトリックスシステム
- Field Report もっと見たい! 取り残しがあってもよく見える歯科用ルーペ
- Technical Hint ノリタケスーパーポーセレンAAA 発売30周年特別連載 スーパーポーセレンAAA発売30周年によせて
- Technical Hint ノリタケスーパーポーセレンAAA 発売30周年特別連載 スーパーポーセレンAAA発売30周年を振り返って
他の記事を探す
モリタ友の会
セミナー情報
会員登録した方のみ、
限定コンテンツ・サービスが無料で利用可能
オンラインカタログでの製品の価格チェックやすべての記事の閲覧、臨床や経営に役立つメールマガジンを受け取ることができます。
商品のモニター参加や、新製品・優良品のご提供、セミナー優待割引のある、もっとお得な有料会員サービスもあります。











