191号 WINTER 目次を見る
Case Report
ボナークを用いた歯周再生療法に対する臨床評価
キーワード:歯周再生療法/骨補填材
目 次
1. はじめに
昨今のインプラントを用いた補綴治療の発展は目覚ましいものがあり、様々な治療法や材料が開発され臨床応用されている。その一方で、自身の歯をなるべく残したい、自分の歯で噛みたいという患者のニーズは高まるばかりである。
また、歯周病は歯を失う原因第1位の疾患で、かつ非常に罹患率の高い疾患であり、現在に至るまで歯周病からいかに歯を守るかが研究、臨床の両分野での課題とされてきた。
その中で、再生材料を用いた歯周再生治療の登場は画期的なものであり、特に1995年から使用されているエムドゲインを用いた再生療法は、フラップ手術に代表される切除療法よりも良好な臨床結果が報告されてきた。また、2016年に日本で認可された歯周再生療法材料であるリグロスは医療保険内での使用が可能なこともあり、現在では歯周再生療法自体が以前より患者、歯科医師にとっても身近なものになっていることは疑念の余地がないであろう。
しかし、この2つの代表的な歯周材料であるエムドゲインとリグロスはゲル状製品であり、3壁性の垂直型骨欠損などでは単味での使用も有効であるが、2壁性骨欠損などに応用する際は足場として骨補填材を併用する必要がある。
現在の治療において骨補填材は異種骨や人工骨また、国産や外国産、インプラント治療と併用できるものなど様々な選択肢があり、先生方に骨補填材を選択する際の参考として、今回は新たにモリタから発売されているボナークを使用して歯周再生療法を行った症例を報告させていただきたい。
2. 症例1
初診時2020年5月、50歳女性。歯肉の違和感を主訴に来院。プロービング最大値8mm、動揺度最大値2、ステージⅢ、グレードC広汎型切歯パターンの歯周炎だった。
歯周基本治療、口腔機能回復治療終了後SPTにより経過観察していたが、連結冠である₁~₃の動揺度0から2へと悪化し、プロービング値も4から7へと悪化したため、2023年11月にボナークと歯周組織再生剤を併用した歯周再生療法を施行した。
通法のウィッドマン改良法による全層弁剥離、掻爬後、歯周組織再生剤とボナークディスクタイプを併用し骨欠損部に補填し、単純縫合で全層弁を閉鎖した。術前、掻爬後補填前、補填後、縫合後の画像を図1~5に示す。
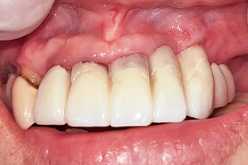
3週間後に抜糸し、経過観察していたが、2mm程度の歯肉退縮を起こし患者が審美障害を訴えたため2024年2月に暫間修復として歯頸部レジンインレーを作製し装着した(図6)。
現在のところ当該歯の動揺は改善し、歯周組織、歯とも良好な状態を保っている(図7)。
![[写真] 術前](/academic/dentalmagazine/wp-content/uploads/sites/2/2024/12/191-6_photo01.jpg)
図1 症例1:術前![[写真] 術前パノラマX線画像](/academic/dentalmagazine/wp-content/uploads/sites/2/2024/12/191-6_photo02.jpg)
図2 症例1:術前パノラマX線画像![[写真] 掻爬後。填入直前](/academic/dentalmagazine/wp-content/uploads/sites/2/2024/12/191-6_photo03.jpg)
図3 症例1:掻爬後。填入直前![[写真] 填入直後](/academic/dentalmagazine/wp-content/uploads/sites/2/2024/12/191-6_photo04.jpg)
図4 症例1:填入直後![[写真] 縫合後](/academic/dentalmagazine/wp-content/uploads/sites/2/2024/12/191-6_photo05.jpg)
図5 症例1:縫合後![[写真] 暫間修復として歯頸部レジンインレーを作製し装着](/academic/dentalmagazine/wp-content/uploads/sites/2/2024/12/191-6_photo06.jpg)
図6 症例1:暫間修復として歯頸部レジンインレーを作製し装着![[写真] 術後CT画像](/academic/dentalmagazine/wp-content/uploads/sites/2/2024/12/191-6_photo07.jpg)
図7 症例1:術後CT画像
((株)ヨシダ社製 トロフィーパン スマート3Dにて撮影)
3. 症例2
初診時2023年8月、49歳女性。歯肉の違和感を主訴に来院。プロービング最大値6mm、動揺度最大値2、ステージⅢ、グレードC広汎型大臼歯パターンの歯周炎だった。
初診時の₅のX線画像(図8)の全顎パノラマ画像(図9)に示す。この後₆は予後不良のため早期に抜歯となった。
歯周基本治療終了後、₅₄連結プロビジョナルレストレーションを作製し経過観察していたが、2023年11月に₅が自然脱落したため、緊急でボナークと歯周組織再生剤を併用した歯周再生療法を施行した。
通法のウィッドマン改良法による全層弁剥離、掻爬後、歯周組織再生剤とボナークディスクタイプを併用し骨欠損部に補填し、単純縫合で全層弁を閉鎖した。
3週間後に抜糸し、引き続きプロビジョナルにて経過観察していたが、₅の動揺が単独でも0と劇的に改善し、歯、歯周組織とも良好なため2024年5月に₅~₂支台歯の₆ポンティックの延長ブリッジを装着しSPTへ移行した(図10)。術後CT画像(図11)と術後3か月のX線画像(図12)を示す。
当症例が今回諸先生方に提示させていただいた症例の中でいちばん良好な結果が得られたので、記録が少ないのが大変惜しまれる。
![[写真] 初診時X線画像](/academic/dentalmagazine/wp-content/uploads/sites/2/2024/12/191-6_photo08.jpg)
図8 症例2:初診時X線画像![[写真] 術前パノラマX線画像](/academic/dentalmagazine/wp-content/uploads/sites/2/2024/12/191-6_photo09.jpg)
図9 症例2:術前パノラマX線画像![[写真] SPTへ移行](/academic/dentalmagazine/wp-content/uploads/sites/2/2024/12/191-6_photo10.jpg)
図10 症例2:SPTへ移行![[写真] 術後CT画像](/academic/dentalmagazine/wp-content/uploads/sites/2/2024/12/191-6_photo11.jpg)
図11 症例2:術後CT画像![[写真] 術後3か月のX線画像](/academic/dentalmagazine/wp-content/uploads/sites/2/2024/12/191-6_photo12.jpg)
図12 症例2:術後3か月のX線画像
4. 症例3
初診時2023年5月、52歳女性、歯 周病の治療を希望し来院。プロービン グ最大値8mm、動揺度最大値1、ス テージⅣ、グレードC広汎型切歯パ ターンの歯周炎だった。
歯周基本治療終了後、①2③のブ リッジの支台歯である₁の動揺度が0 から2へと悪化し、プロービング値も 8から10へと悪化したため、2024年 5月にボナークと歯周組織再生剤を併 用した歯周再生療法を施行した。
通法のウィッドマン改良法による全 層弁剥離、掻爬後、歯周組織再生剤とボナークディスクタイプを併用し骨欠損部に補填し、単純縫合で全層弁を閉鎖した。術前、掻爬後補填前、補填後、縫合後の画像を図13~16に示す。
3週間後に抜糸し、経過観察中(図17)であるが、現時点では当該歯の動揺は改善し、歯周組織、歯とも良好な状態を保っている。また、術前のCT画像も図18に示す。
![[写真] 術前](/academic/dentalmagazine/wp-content/uploads/sites/2/2024/12/191-6_photo13.jpg)
図13 症例3:術前![[写真] 填入直前](/academic/dentalmagazine/wp-content/uploads/sites/2/2024/12/191-6_photo14.jpg)
図14 症例3:填入直前![[写真] 填入直後](/academic/dentalmagazine/wp-content/uploads/sites/2/2024/12/191-6_photo15.jpg)
図15 症例3:填入直後![[写真] 縫合後](/academic/dentalmagazine/wp-content/uploads/sites/2/2024/12/191-6_photo16.jpg)
図16 症例3:縫合後![[写真] 3週間後に抜糸し、経過観察中](/academic/dentalmagazine/wp-content/uploads/sites/2/2024/12/191-6_photo17.jpg)
図17 症例3:3週間後に抜糸し、経過観察中![[写真] 術前CT画像](/academic/dentalmagazine/wp-content/uploads/sites/2/2024/12/191-6_photo17.jpg)
図18 症例3:術前CT画像
この記事はモリタ友の会会員限定です。登録すると続きをお読みいただけます。
残り 1041 文字
目 次
モリタ友の会会員限定記事
- Special スペースライン発売60周年特別企画 スペースライン開発担当者の素顔に迫る!
- Interview スペースライン発売60周年特別企画 「ヘルスケアゼロ(HC-0)」を目標に掲げ、その達成に必要な診療環境を構築
- Clinical Report 柔軟性を併せ持った接着充填材の有効活用術 ~「ボンドフィルSB®II」の特性を活かした臨床~
- Clinical Report 高周波を用いた根管治療機器「RootZX3」の有用性
- Case Report ボナークを用いた歯周再生療法に対する臨床評価
- Topics SPI研修旅行記第一弾 SPIインプラント工場見学とDr.Grunderのハンズオンを受けて
- Interview 3Dプリンターを用いたデジタルデンチャーを成功に導くポイントとは
- Field Report デジタルデンチャーに3Dプリンターを活用することでワークフローが大きく改善
- Field Report デジタル印象採得装置「iTeroエレメント」のさまざまな活用法
- Close Up 歯科と医科、2つの視点から見た医科歯科連携の重要性と今後求められる歯科の役割について
- Trends 根面う蝕予防に向けた技術アプローチ ~フッ化物高滞留化技術 F-Ca-Pとコラーゲン保護成分 DL – ピロリドンカルボン酸ナトリウム( PCA)の活用~
- Interview プラークコントロール改善を目指して 当院のCheck-Up 歯ブラシ提案方法
- Interview 100点満点を目指さず目的別にツールを使い分けるのが私の口腔ケアスタイル
- YouTube 萬田久美子先生、口腔戦士デンタマン 九州デンタルショー2024の会場にて「X型水流」を熱く語る!
- Interview 個人開業では経験できない多種多様な診療科との協業にチャレンジ
- Topics 「固定観念でデザインすると心地良くなくなってしまう」幅広い世代から親しまれる歯科医院のつくり方
他の記事を探す
モリタ友の会
セミナー情報
会員登録した方のみ、
限定コンテンツ・サービスが無料で利用可能
オンラインカタログでの製品の価格チェックやすべての記事の閲覧、臨床や経営に役立つメールマガジンを受け取ることができます。
商品のモニター参加や、新製品・優良品のご提供、セミナー優待割引のある、もっとお得な有料会員サービスもあります。