ココロのECO
1.説明がわかりやすくなります
情報の80%は視覚から得ていると言われています。時間をかけて口頭で説明するより、
大きな画像で見てもらうことが理解を促すための近道です。
デジタルX線撮影画像で画面いっぱいに表示できる
画像が大きく表示でき、先生はより説明しやすく、また患者さんにはよりわかりやすい「インフォームドコンセント」が実現します。
2.診断精度が大きく向上します
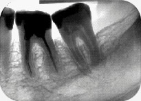
このような状態のフィルムにおぼえはありませんか?
これでは精度の高い診断は難しいかもしれません。
現像・定着液の温度が高い場合やX線の線量が高い場合、写真は濃くなります。この例では歯槽骨のラインが消えています。
現像・定着液の温度が低い場合や液が古い場合、あるいはX線の線量が低い場合は写真が薄くなります。この例では根尖を確認することができません。
フィルタリング機能で、ぐっと見やすく、診断が容易に!
オリジナル
白黒反転
エンボス
シャドウ
3.増収につながります
保険点数の加算例
材料費の削減
撮影済みフィルム保管費用
デジタル化することで、トータルで見れば増収につながります!
4.管理業務から解放されます
管理対象
現像液
未使用フィルム
撮影済みフィルム
デジタル化で
管理にかかる
労力も費用も時間も
デジタル化することで、スタッフの能力を他の業務に活かせます!
5.ストレスから解放されます
X線撮影に欠かせないX線量の調整や現像作業は、スタッフの技量によって左右されます。
失敗すると・・
再撮影は
患者さんにとって
ストレスに
不鮮明な画像は
先生の診断の
ストレスに
撮影のできばえは
スタッフにとって
大きなストレス!
スタッフの技量に左右されず、
鮮明な写真が得られるデジタル機器なら、
X線撮影に関わるスタッフのストレスを
大きく軽減してくれます。