135号 WINTER 目次を見る
■目 次
- ≫ 調和
- ≫ ノリタケカタナを用いて長期的予後を考慮したPFZ
- ≫ ポーセレンラミネートべニアとノリタケカタナジルコニアクラウンの同時製作を可能にする一考察
- ≫ 口腔内の既存補綴物に準ずる
- ≫ ノリタケカタナジルコニアフレームの特性を生かした審美修復

■調和
株式会社鹿児島ミリングセンター
﨑田 竜仁
鹿児島県薩摩川内市大小路町13-17-2F
TEL 0996-29-3988
- 患 者
- 年齢24歳 女性
- 修復箇所
- 2のジルコニアセラミック
- 主 訴
- 自然な歯にしてほしい
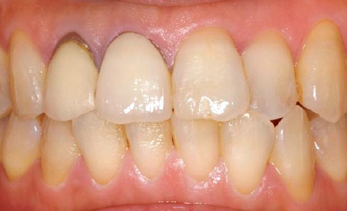
若年の切縁の透明感をセラビアンZRのTXや各種インサイザルを使用して再現した。

術 前
-

術 後
技工ステップ

01シェードテイキング。
-

02セラプロ(モリタ)等を用いてマージンアジャスト。

03ペインティングインスツルメント KY 型を使用してシェードベース築盛。
-

04デンティンエナメル築盛。

05インターナルステイン、ラスターポーセレン等築盛、焼成後コンタクト調整。
-

06口腔内装着。
■カタナジルコニアフレーム臨床上の優位ポイント
株式会社カスプデンタルサプライ/カナレテクニカルセンター
小野 耕平鬼頭 寛之
名古屋市天白区梅が丘2丁目1319
TEL 052-807-69801
- 患 者
- 年齢22代 女性
- 修復箇所
- 1
- 主 訴
- 「前歯をきれいにしたい」1の審美的改善を主訴に来院
口腔内において、長期的に補綴物を維持できる要件にはコーピングの適合、強度(デザイン)および咬合が挙げられる。今回は、ノリタケカタナシステムを用いてコーピングの設計に絞って紹介したい。

術 前
-

術 後
技工ステップ

01ノリタケカタナコーピングスキャニング模型。
-

02支台歯、切縁部の厚みが1.0mm以上あることを確認する(ノリタケカタナ ミリングバーの直径)。

03ワックスアップ(デザインスキャン)。
-

04コーピング強度を保つためベニヤタイプの設計を行う。

05本ケースではマージンポーセレン採用のため、PC上で点線のように設定し、コーピングの適合性を向上させる。
-

06スキャニング終了。
-
07・08ラボサイドに届いた状態(ワックスアップと同様で、マージンポーセレン部のセメントスペーサー分が無いのがわかる)。
-

09セラビアンZR築盛・焼成後、模型上完成。
株式会社シーディーシー
CAD-CAM 担当
丸岡 美紗子
大阪市東成区東小橋 1-14-12
TEL 06-6978-2345
-

臨床写提提供 品川デンタルアリニック(梅田院)
担当歯科医師:松岡千恵子先生-

担当歯科医師:柿野統史先生
ケース1 松岡千恵子先生
患者は 40 代女性で、2の失活歯の変色・ 2の不良補綴物の改善・正中のズレ・前突・開咬の改善を目的にノリタケカタナジルコニアフレーム & セラビアンZRにて補綴した。

術 前
-

術 後
2―2 ジルコニアクラウン。
ケース2 柿野統史先生
患者は70代女性で、過蓋咬合の改善・歯列の矯正・シェードの改善を目的に下顎はメタルセラミック・上顎はノリタケカタナジルコニアフレーム & セラビアンZRにて補綴した。

術 前
-

術 後
7―7 ジルコニアクラウン。
ケース3CAD(3 Shape 社)が最新バージョンに更新され、デザイン機能・適合精度がさらに向上した。
ケース4貴金属価格の高騰により、ジルコニアがインプラントの上部構造に多用され始めている。適合精度はアバットメントがミリング加工してあるため、貴金属に劣らない。(ジルコニア・アバットメントは他社製)
ノリタケカタナジルコニアフレーム & セラビアンZR の組み合わせにより、システム導入以来(2009 年 9 月)フレームの破損による再製は無く、セラミックのチッピングや破折による再製率は1%未満である。
■ポーセレンラミネートべニアとノリタケカタナジルコニアクラウンの同時製作を可能にする一考察
Dental Lab. SCALA(スカーラ)
南沢 英樹
名古屋市中川区十番4丁目9番地
アソシエビル 5F
TEL 052-653-1987

臨床写真提供 カトレヤ歯科&Pure
担当歯科医師:服部智哉先生
- 患 者
- 年齢60歳 女性
- 修復箇所
- 上顎2 2
21 2ラミネートべニア
1ノリタケカタナ&ジルコニアクラウン - 主 訴
- 前歯の変色を治してほしい
臨床上ポーセレンラミネートべニア(以下P.L.V.)とジルコニアクラウン(以下Zr.Cr.)の同時製作を余儀なくされることがあるが、ある条件下において可能であると思う。それは、リダクション量を少なく、0.3ミリ程度のスペースで患者自身の歯質の色調を積極的に生かすP.L.V.であり、セット後の色調イメージが的確に把握できる場合である。
今回の症例においてその条件を満たし、同時製作を可能にすることができたことをここに報告する。

術 前
ホワイトニング後4前歯の修復を行う。
-

術 後
セット後約 1ヵ月。P. L. V. の色調を患者自身の歯質に近い色調に設定できる症例のみ同時製作を可能にする。
技工ステップ
-
01P.L.V.の場合患者自身の歯質の色調をどの程度生かすのかが重要なカギを握るため的確なリダクション量を診断ワックスアップより導き出す。
-
02本ケースの歯質の色調よりA1より若干明るいゴールを設定することで確実にP.L.V.の色調をイメージできる。患者がそれ以外の色調を希望する場合は同時製作することは容易ではない。なぜならP.L.V.の厚みが増し明度コントロールを複雑にするためである。
-
03ノリタケカタナZr.Cr.はA1より若干明るいベースを作るためKT11を使用し内部ステイン、オペ―シャスデンティンでコントロールし、ノリベストジルコニアを使用することで同時製作を可能にする。
-
-
04セラビアンZRを使用し、P. L. V. はNW0.5BとA1Bを1:1の割合で、ノリタケカタナZr. Cr.はA1B単体を築盛し、それぞれにE2を築盛する。
-
05内部ステインにて明度コントール、マメロンの表現をする。
-
064前歯セット直後。
■口腔内の既存補綴物に準ずる
株式会社デンタルアクト
担当セラミスト
山口 一郎
神奈川県大和市中央5-6-10
TEL 046-263-2007

臨床写真提供 小栗歯科医院
担当歯科医師:小栗先生
- 患 者
- 年齢60歳 女性
- 修復箇所
- 321 12
- 主 訴
- カリエス、CR充塡痕の着色の審美修復
症例に関するコメント
ノリタケカタナジルコニアフレームによるオールセラミッククラウンにて補綴。シェードは 3 にセットされている既存のメタルボンドに合わせることが希望であるのでA2 を基本色とした。
2 の支台歯に金属コアがセットしてあるので透過による色の違いを多少心配したが、少量のシェードベース陶材を使用することのみで対応できた。
唇側の厚みはフレームを含み約 1mm 程だが、フレーム自体がシェードにマッチしているので臨床上の有利さを感じた。
正中のエンブレジャーの空きが少し気になるが、今後の回復を期待したい。
何故カタナを選んだのか
ノリタケは陶磁器等では誰もが知る有名ブランドであるが、歯科業界においてもAAA(トリプル A)をはじめ、多くのセラミックス製品を製造している会社であり、歯科でのジルコニアに関しては唯一の純日本製という信頼感も大きい。

術 前
-

術 後
技工ステップ

01作業模型。
-

02トリミング・ガム模型作製。

03マージンラインの確認。
-

04フレームデザイン終了。

05
-

06グレーズ終了・完成。

07プレパレーション。

08本社屋。
■ノリタケカタナジルコニアフレームの特性を生かした審美修復
株式会社フィールデンタルラボラトリー
東京都文京区本郷1-11-4 朝陽ビル1F
TEL 03-5913-7708
http://www.feal-dental.com/

デザイン風景。
専任オペレーターによるジルコニアフレームデザイン。-

削りだされたジルコニアフレーム。 
ポーセレン焼成後、グレーズ焼成まで終了した状態。
症例1 臨床写真提供 Y歯科医院 Y先生

術 前
21をノリタケカタナで修復希望。-

術後1
口腔内セット後。 -

術後2
側方面観。天然歯との調和が得られた。
天然歯の特徴ある色調をインターナルステインテクニックで表現するため、発色の良いホワイトジルコニア(KT10)を選択。
症例2 臨床写真提供 ユニゾンデンタルオフィス 麻生 昌秀先生

術 前
21 12 をノリタケカタナで修復希望。-

術後1
口腔内セット後。 -

術後2
側方面観。患者の主訴である自然感を再現できた。
比較的単純な色調であるため、カラージルコニア(KT13)を選択し、深みのある色調表現を心がけた。
他の記事を探す
モリタ友の会
セミナー情報
会員登録した方のみ、
限定コンテンツ・サービスが無料で利用可能
オンラインカタログでの製品の価格チェックやすべての記事の閲覧、臨床や経営に役立つメールマガジンを受け取ることができます。
商品のモニター参加や、新製品・優良品のご提供、セミナー優待割引のある、もっとお得な有料会員サービスもあります。
































































