135号 WINTER 目次を見る
■目 次
■はじめに
インプラント治療は、欠損補綴治療の第一選択となっていることは、もはや否めない。
最近のとある訴訟の判決において、裁判所がブリッジよりもインプラント補綴の方が、患者にとって最善の治療であるとしたことも興味深い。
インプラント治療は、インターネット等の情報から患者の治療結果への期待がかなり高まっており、永続的かつ機能的にはもちろん審美的にも十分期待を満たす治療が必要になってきているため、術者の責任もかなり重大となってきている。
そこで、シンプルでかつ精密さに秀でるSPIシステムは、機能的にも審美的にもかなりレベルの高い治療を行うことができるため、今回、審美的にかなり困難である前歯部1歯欠損でさらに待時埋入症例において、SPIシステムの有用性を考察したい。
■術前診査
患者は、35歳、女性。前歯部の審美障害を主訴に来院した。家族歴、全身的既往歴、歯科的既往歴も特記事項はなく、現病歴については、全顎的に口腔衛生処置が必要であった。
レントゲン診査は、コーンビームCTの代表格であるモリタ3DX FPD8にて行った。 1 は、根尖部に大きな透過像があり、クラックも存在するため、抜歯を計画した。そして、インプラント治療のメリット・デメリットを説明し、インフォームドコンセントを十分に行った。
患者は、ブリッジよりもインプラント治療を選択したため、インプラント治療を含めた一口腔単位の治療計画を提示した。根尖病巣による感染を防ぐために、8週間の治癒期間をおくこととし、その間は、接着性のテンポラリークラウンを装着することとした。
■治療内容
埋入前前処置
1の抜歯について唇側の骨を傷つけないように慎重に行い、抜歯窩を十分に掻爬し、骨補塡材をスペースメイキングとして緊密に充塡した。抜歯後8週後のCT画像には唇側の骨が吸収されずに写っているのが確認された。この結果から、Socket preservationは成功したといえる。
埋入前計画
私が特に重要に考えているのは、「最終補綴のマージンの位置と歯冠形態の整合性」と、「最終補綴の残存天然歯、歯列との調和」である。そのため、最終補綴の形態のワックスアップを作業模型上に行い、まわりの天然歯との調和を確認し、最終補綴のゴールのイメージを明確にしてからオペの治療計画を立てるようにしている。
サージカルステントの作製は最終イメージをラボサ
イドと共有するためにも作製することが重要である。
実際のオペ内容
審美性を追求すると治癒時の瘢痕はかなりのデメリットになってしまうので必ず避けなければならない。必要なのは、瘢痕が残らないような切開ラインをつくることにある。
一般に、インプラント埋入時の切開ラインは、歯肉の厚みや術者のティッシュマネージメント力によって切開ラインの位置を変えなければいけない。
本症例は比較的薄い歯肉であったため、術部が大きくなってしまうが、上顎両側犬歯の遠心部に縦切開を入れてマージン部は歯肉溝切開で対応し、各乳頭部は温存するように工夫した。
剥離は剥離子と骨が常に90度に保たれるように丁寧に行うことが必要である。埋入は、エレメント(トーメンメディカル社)φ3.5×12.5mmを選択した。
2008年に表面性状が大きく改良され、HAでないにも関わらず、HA並の早期の骨とのインテグレーションが可能となったのと、さらにアバットメントとの接合部のフィット感はさすがスイス製という感じである。
サージカルステントを使用し、ベクトパイロットドリルとベクトツイストドリルにてドリリングを行い、20Nにてラチェットレンチで初期固定を得た。その際、注意すべきことは、ヒーリングキャップの厚みが1mmあるのでその分深く埋入しなければならない。
縫合時にはテンションがかからないように歯肉を戻すが、butt jointで閉鎖できずに少しでも2次治癒になってしまう恐れがあれば、迷わず減張切開を行うことが大切である。減張切開は、私の場合は、深さは1mm以内でとどめるよう意識している。
最後に縫合であるが、縫合と結紮を混同すると歯肉に瘢痕が残る可能性が高くなるので、あくまでも結紮でなく縫合でとどめる意識をもちたい。
粘膜治癒後、3ヵ月
私が、SPIをみなさんにお勧めする一番の理由はテンポラリーアバットメントの存在である。
粘膜をパンチアウトし、SIQ値に問題がなければ、テンポラリークラウンを作製していくのだが、SPIのテンポラリーアバットメントは大変操作性に優れている。
私は、大臼歯部や小臼歯部においてはジンジバルフォーマーのみでティッシュスカルプティングを行うこともあるが、前歯部においては必ずチェアサイドでテンポラリーアバットメントの調整を行うようにしている。その際、気を付けていることは、遊離歯肉状態になっている歯肉に対して圧を決してかけすぎないようにすることである。
さらに、気を付けていることは、1歯欠損の場合、反対側同名歯のマージンの位置よりも1mm弱程度歯肉が高い状態で歯肉を安定させておくことである。
この時点では適切な歯冠形態の付与はもちろんのことであるが、この時期にもう一度患者と最終ゴールのイメージを共有しておきたいところである。
-

図1 初診来院時口腔内写真。35歳、女性。主訴 は、前歯部の審美障害。最終的な補綴をイメージしておくことは大変重要である。遠心部が重なるケースなので注意が必要である。 -

図2 初診来院時口腔内写真。 -

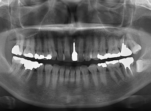
図3 初診来院時パノラマX線写真。 -

図4 ワックスアップを行い、具体的にイメージをつかむことが大切である。 -

図5 唇側の骨を破壊しないようにしながら抜歯を行った。 -

図6 骨補塡材を緊密に充塡し縫合を行い、Socketpreservationをはかる。 -

図7 3DX FPD8のサジタル像。唇側の骨吸収はみられない。Socket preservationは成功したといえる。 -

図8 粘膜の治癒後の正面像。 -

図9 唇側の歯肉の吸収はみられないので現時点で最終補綴が成功する可能性は高いといえる。 -

図10 乳頭を温存して切開線に工夫をしている。 -

図11 エレメントφ3.5mm×12.5mmを埋入したところ。 -

図12 5‑0を用いテンションフリー・butt jointの縫合を心がけた。
■いよいよ補綴へ
まず、用意すべきものを列挙したい。
①個人トレー+接着材
②シリコン印象材
③寒天印象材(ブロックアウトに使用)
④印象コーピング
(クローズドトレー用orオープントレー用)
⑤ラボアナログ
⑥シリコンバイト
⑦フェイスボウトランスファー
いよいよ、印象採得に入るが、SPIの場合、印象コーピングとフィクスチャーとの適合もかなり精密なために、中間歯1歯欠損の場合、クローズでもオープンでも問題ないと言い切れる。
そして、超硬石膏にて作業模型を作製し、ここからが重要なラボサイドワークとなる。
歯肉縁下に最終補綴物を何mm入れるか、すなわち縁下マージン部をどこに設定するかは歯科医師が責任を持って技工士に伝えるべきであると思う。私は、症例によって異なるが、だいたい0.5mm~1.0mm程度と考えている。
本症例の場合、ヴァリオアバットメントを使用し、補綴物はラボにスキャナーがある関係からプロセラのジルコニアフレームを使用し、陶材はノリタケ セラビアンZRを使用している。
最近は、アバットメントもジルコニアで作製されたものも登場しているが、最終補綴物がオールセラミックであれば歯肉が非常に薄い場合以外は、アバットメントはメタルでも十分なのではないかと考えている。
-

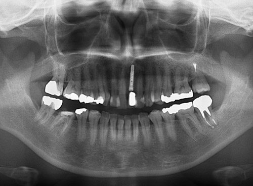
図13 埋入直後パノラマX線像。 -

図14 免荷期間を3ヵ月おいて2次オペを行う。 -

図15 カスタムアバットメントのワックス試適。歯冠回復をして想定する形態をおこしてからワックスミリングをしている。隣在歯との歯頸ラインに特に注意をしている。 -

図16 カスタムアバットメントのワックス試適(咬合面観)。 -

図17 シェードテイキング時。現時点での粘膜の高さは反対同名歯のマージン位置よりも高い位置である。シェードの切端の透明感、透明色のポジショニングとデンチンのバランスが重要である。 -

図18 ジルコニアクラウンの試適。アバットメントは、歯肉に調和する形態を意識した。歯肉を圧迫しすぎてはいけない。 -

図19 最終補綴の調整後の口腔写真。ジルコニアフレームが白いのでそのまま陶材を盛ると明度が高くなるためマージン付近に内部ステインを入れている。 -

図20 術前・術後の状態。患者の満足を得ることができた。陶材を築盛する前にフレームの明度調整と彩度バランスを内部ステインで調整している。 -

図21 細かいことを言えば、最終補綴の歯軸の傾斜と近遠心の歯肉の立ち上がり部のジルコニアクラウンの豊隆を天然歯と揃えて欲しかったが妥協してしまった。 -

図22 上部構造装着試適時にデンタルX線を撮影し、問題がないことを確認した。 -

図23 最終補綴装着後のパノラマX線写真。 -

図24 最終補綴装着時正面観。シェード・形態とも十分に満足できるものである。今後とも歯科技工士と共に研鑽を積み、患者・術者ともに満足できる治療を行っていきたい。
<歯科技工担当:中谷秀喜氏(ユニデンタル)>
■まとめ
複雑になりすぎる傾向にあるインプラントコンポーネントにおいてSPIシステムは、あくまでもシンプルに行うことができる。そして、十分な審美性を追求するための知識と技術を駆使して、さらなる研鑽を絶えず積む覚悟があればSPIシステムは必要十分条件を満たしてくれる。
もう一点言わせていただければ、インプラント治療の成否は、腕のいい技工士と仕事ができるかどうかにかかっていると思う。いくら、歯科医師が謙虚に努力を積み上げて頑張っても、実力の伴わない空気の読めない技工士をパートナーにもった場合は、インプラント治療は行わない方がよいのかもしれない。
私は、技工士専門学校の講師も務めさせていただいているが、技工士という職業は、どのようなことでも依頼されたことをパーフェクトにこなそうと考える柔軟性がないと大成しないと考え、常に柔軟性を養うよう授業に工夫を持たせている。
若い歯科医師が、自信をもってインプラント治療にあたれるよう腕の良い技工士が増えてくれることを望んでいる。
■おわりに
今回、SPIシステムにおける難易度の高い前歯部1歯欠損待時埋入の症例を紹介させていただいた。
患者の口腔衛生状態がインプラント治療の成否を左右する第一条件となるということは今や常識となっている。さらに第二条件を挙げるとするとテンポラリークラウンを含めた補綴をいかに煩雑でなくシンプルに作製できるかどうかということで、さらに第三条件を挙げるとすればパートナーとなる歯科技工士の人間性を含めた力量が大変重要であると考えている。
今後、自らの研鑽も絶えず行い、技工士の育成にも力を注いでいきたいと考える。
他の記事を探す
モリタ友の会
セミナー情報
会員登録した方のみ、
限定コンテンツ・サービスが無料で利用可能
オンラインカタログでの製品の価格チェックやすべての記事の閲覧、臨床や経営に役立つメールマガジンを受け取ることができます。
商品のモニター参加や、新製品・優良品のご提供、セミナー優待割引のある、もっとお得な有料会員サービスもあります。























