137号 SUMMER 目次を見る
目 次
1. はじめに
歯科疾患の診査において、肉眼でよく観察することは正しい診断の第一歩です。口腔内の観察では、無影灯の光の届きにくい部位などに補助的な照明があると、非常に観察しやすくなります。
また、歯を構成するエナメル質や象牙質は半透明であることから、透過光線を用いた観察法は内部の異常を知る良い手段です。
今般、モリタより発売されたマイクロラックス トランスイルミネーター(米国AdDent社製)(図1)は、高輝度LEDライトを装したハンディータイプの汎用歯科用照明器で、局所を集中的に照明するのに適していて、歯科臨床の様々な状況で応用できると考えられます。
本稿では、透過光線を用いたう蝕の診査について解説いたします。
2. 本体の構成と性能
本製品の標準キットは、高輝度白色LED(色温度 約7,000ケルビン)を装したマイクロラックス トランスイルミネーター ハンドピース、グラスライトガイド スタンダード(先端径3mm)、単5電池(3個)、保護カバー(ディスポ)、そしてポケットクリップから構成されています。
ライトガイドはハンドピースの先端に差し込み、着脱が可能です。電池は本体後部の蓋を反時計回りに回して開けて装着します。照明のスイッチは、後部の蓋を時計回りに回すか、もしくは本体後部の黒色ボタンを押し続けます。
本照明器の照度は、光源のLEDが約30,000ルクス。標準で付属するライトガイドで約5,300ルクス、別売りの2mm径のグラスライトガイド マイクロで約3,200ルクス、1mm径のファイバーライトガイドで約530ルクスです。
-

図1 マイクロラックス トランスイルミネーター標準キット。
-

図2 透過光線を用いた前歯隣接面う蝕の診査法(透照診)の模式図。
-

図3 本製品を用いた前歯部の透照診
ライトガイド先端を唇側歯頸部に当て、舌側にミラーを置いて観察する。
-

図4 症例1:術前写真 唇面観(2010/05/10)。45歳女性。主訴は臼歯部の充塡物脱落。上顎中切歯部に異常は感じていない。
の近心にCR充塡があり、
近心に変色が見られる。
-

図5 症例1:術前写真 舌側面観。
近心に変色が見られる。ミラー像。
-

図6 症例1:X線写真。
近心はX線造影性のあるCRが充塡されており、
近心は象牙質内に及ぶ透過像が明瞭に観察される。
-

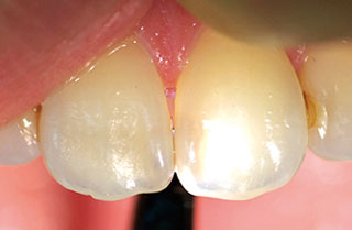
図7 症例1:透照診。
近心舌側にライトガイドを当てた。CR充塡は光を透過するために明るく見える。
セメント裏層はないと思われる。
-

図8 症例1:透照診。
近心舌側にライトガイドを当てた。光が透過せず、黒い影が観察される。患者さんには、この状態を見せてう蝕があることを説明した。
-

図9 症例1:窩洞形成後。
-

図10 症例1:CR充塡後。メガボンドFA、マジェスティLV(XL)、エステライト(A1)。
-

図11 症例1:透照診。
近心舌側にライトガイドを当てた。CR充塡は光を透過するために明るく見える。
-

図12 本製品を用いた臼歯部の透照診の模式図
ライトガイド先端を頰側もしくは舌側(口蓋側)歯頸部に当て、咬合面にミラーを置いて観察する。歯頸部から入射した光は明るく歯質内を照明するが、う蝕の部分は黒い影として観察される。
3. 透過光線を用いたう蝕の診査について
1)前歯部の場合
象牙質う蝕の診断は、う窩が明瞭でない場合は必ずしも容易ではありません。
前歯部の隣接面う蝕では、無影灯の光を透過させて舌側からミラーで観察する「透過光線を用いた診査法(透照診、transillumination test)」が有効です(図2)1、2)。
これは、健全なエナメル質や象牙質は半透明であり、ある程度光を透過する性質があることから、う蝕に罹患した部分が、結晶構造の破壊により光が乱反射して光透過性が減少するため、暗い影として観察されます。
ただ、無影灯の光では、照射方向に限界があり、臼歯部に応用することはできません。光重合レジン硬化用の光照射器を用いることも考えられますが、光量が強すぎるのと、先端径が大きすぎて実用的ではありません。
マイクロラックス トランスイルミネーターは、ライトガイド先端径が3mmと小さく、ここから高輝度のLED光が照射されるため、透照診に用いるのに非常に有効です。
前歯部の場合は、ライトガイド先端を前歯の唇側歯頸部に当て、光の透過具合を舌側にミラーを置いて観察します(図3)。舌側にライトガイド先端を当てて唇側から観察することも可能です。
う蝕に罹患した部分は、黒い影として観察され、深部内への広がりも観察できます。ただし、セメント裏層の施されているレジン充塡や、着色の強い象牙質が窩洞内に存在する場合も、黒い影として観察されますから、歯質や充塡物の色調、X線写真などと併せて判断することが必要です。
症例を示します(図4~11)。
また、患者さんから『前歯の歯の間が黒いが、虫歯ではないか?』という質問を受けることがよくあります。
このような場合、表面のみの着色であれば、内部は光を通しますから、内部に及ぶ暗い影は見られません。
内部にう蝕が進んでいれば、暗い影が見えますから、さらにX線写真で確認しても良いでしょう。
2)臼歯部の場合
臼歯部では、頰舌幅径が前歯に比べて大きいため、透照診は必ずしも容易ではありません。
ただ、試してみる価値はあります。その場合の方法は、トランスイルミネーターのライトガイド先端を頰側もしくは舌側(口蓋側)歯頸部に当て、咬合面方向からミラーで観察します。
照明光は歯質内部を明るく照らしますが、う蝕がある部分では光が透過せず、暗い影として観察されます(図12)。
症例を示します(図13~18)。
4. その他の応用方法
歯冠部の亀裂では、亀裂部で入射光線が屈折して直進できないため、暗い線として観察されるようです。
また、根管治療において根管口を発見する一助となります。髄腔開拡後、頰側歯頸部にトランスイルミネーターのライトガイド先端を当てて照明をすると、髄床底が明るく照明され、根管口が暗い影として観察されるようです(図19)。
歯根破折が疑われる場合、根管治療時の歯であれば、ファイバーライトガイドをポケット内に挿入して照明することで、亀裂の発見が可能な場合もあるようです(図20)。
本製品は照明器具であり、その光強度は、光重合型コンポジットレジンをしっかり硬化させるほど強いものではありません。したがって、光重合型材料の硬化には使用できません。ただ、長時間照射すると表面が少し硬化します。
-

図13 症例2:術前写真 透照診(2011/01/13)。33歳女性。主訴は他の部位の歯痛。この部位の異常は感じていない。
遠心の不良充塡物。CRは光を通すので明るく見えるが、周囲歯質が黒く観察される(矢印)。二次う蝕の可能性がある。 -

図14 症例2:透照診。
近心に黒い影が見える(矢印)。
-

図15 症例2:透照診。
近心に黒い影が見える(矢印)。
-

図16 症例2:X線写真。
の近心隣接面に透過像が見られる。
-

図17 症例2:窩洞形成後。
近心のう蝕に対して窩洞形成を行い、隔壁を装着した。コンポジタイトシルバープラス使用。ミラー像を反転。
-

図18 症例2:充塡後。メガボンドFA、マジェスティLV(シェードXL)、AP‑X(XL) 。ミラー像を反転。
-

図19 応用例:根管口の明示。
-

図20 応用例:歯根破折の発見。
5. 別売りアクセサリー(図21)
- ①グラスライトガイド マイクロ(先端径2mm)
- ②スタンダードミラー
-
③マイクロミラー
(エンドドンティック マイクロサージェリー用)
- ④ファイバーライトガイド(先端径1mm)キット
- ⑤ファイバーライトガイド(1mm)補充用(25本入)
- ⑥保護カバー(ディスポ)
-

図21 別売りアクセサリー
6. おわりに
筆者が本製品を使用し始めたのは、2004年10月頃からです。香川県で開業されている真鍋顕先生から、根管治療時などで照明が届きにくい部位を明るく照らすのに最適の製品として強く勧められました。
当時、ある商社が輸入販売しており、早速購入して使い始めました。すでに6年間以上が経過していますが、現在でもまったく問題なく使用できています(電池は数回替えました)。
その後、もう一セット購入しようと思いましたが、その時には輸入は中止されていました。
今般、モリタが本製品を輸入販売すると知り、非常にありがたく思っています。今回の製品は、LEDがより性能の高いものになっているためか、照明光が筆者のものより明らかに強くなっています。
筆者は、本製品をう蝕の診査や患者さんに歯の状態を説明するのに用いていますが、臨床の先生方のアイデアで、いろいろな応用法が可能と思われます。本製品が、先生方の診療に役立つことは請け合いと思います。
- 1)日本歯科保存学会編:MIを理念としたエビデンスとコンセンサスに基づく齲蝕治療ガイドライン. P16‑22. 永末書店. 京都. 2009.
- 2)冨士谷盛興:MIを理念としたエビデンスとコンセンサスに基づく「齲蝕治療ガイドライン」. JICD, 41:64‑69. 2010.
他の記事を探す
モリタ友の会
セミナー情報
会員登録した方のみ、
限定コンテンツ・サービスが無料で利用可能
オンラインカタログでの製品の価格チェックやすべての記事の閲覧、臨床や経営に役立つメールマガジンを受け取ることができます。
商品のモニター参加や、新製品・優良品のご提供、セミナー優待割引のある、もっとお得な有料会員サービスもあります。