142号 AUTUMN 目次を見る
目 次
操作がシンプルで人体に無害
生体親和性と耐久性に優れた知覚過敏抑制材
大阪市北区 南歯科医院 院長南 昌宏
私の医院でよく見られる知覚過敏のケースは、「虫歯なのか知覚過敏なのか分からないけど冷水を飲んだ時などにしみるので診てください」と言ってこられる方や、メンテンス中の患者さんとの会話の中で「ちょっとここがしみるんです」と言われて判明することが多いです。その場合、歯科衛生士からまず私のところに報告がきます。そして歯科衛生士によるカリエスチェックで問題が見られない場合、私が精査し、最終的に知覚過敏と判断しています。
その治療方法についてはいくつか考えられますが、歯頸部の露出が少なく、その範囲が小さい場合には、知覚過敏抑制材(以下、抑制材)を使って、露出した象牙質表面を被覆する方法や、象牙細管を閉塞させることにより刺激を遮断する方法が一般的です。こうした抑制材はこれまで各社から販売されていて、私の医院でもいろいろ試してみましたが、効能、操作性ともに満足できる製品はなかったのが実情でした。
知覚過敏は歯頸部や歯間部に多く見られる症状ですから、抑制材を使用する場合に、歯肉への接触はどうしても避けることができません。しかし、これまでの抑制材は歯肉もしくは歯質に対して侵襲性があるため、特に歯肉への接触を避けるためには完全な防湿処置が欠かせませんでした。知覚過敏の場合、他の治療やメンテナンスの合間に処置するケースも多く、どうしても急ぎの処置になりがちです。その際に完全にシーリングするにはそれなりの時間が必要で、もっと手軽で扱いやすく簡便な方法がないものかと常々感じていました。
また、光重合型レジンにより象牙質を被覆するタイプの抑制材では、光照射が必要になるなど、操作ステップも多く、コーティングすることで発生する厚みも気になっていました。さらにある抑制材では、コーティングすると表面が粗く分厚い層になっていまい、プラークの停滞が懸念されるものもありました。
そして何よりどの材料も即効性、耐久性が低く、再発のリスクを常に留意しなければなりませんでした。
そうした状況のなか、この度クラレノリタケデンタルより新発売になった「ティースメイト ディセンシタイザー」について、私が最も素晴らしいと感じるのは、人体に対して無害な材料で生成されている点です。リン酸カルシウム系粉材と専用液材を混和することで、歯や骨の主成分となるハイドロキシアパタイト(HAp)を生成し、それが象牙細管を封鎖することで、知覚過敏を抑制します。
リン酸カルシウムは生体親和性に優れ、歯肉、歯質を傷つけることがないので、厳密な意味での防湿も必要がなく、忙しい診療の中でも手軽に処置を行うことができるのです。操作ステップは、粉材と液材を混和皿の上に採取し、マイクロブラシを使って15秒以上混和し、直接歯質にすり込むシンプルな術式で、おかげでチェアタイムも短くなりました。使い始めた当初は、“こんな簡単で大丈夫かな?”と半信半疑に感じるほどでしたが、効果については、ほとんど1、2回こすり塗るだけですぐに患者さんから「しみなくなった」とのお声をいただき、その後4、5ヵ月経過しても再発の訴えがありませんから、効能が引き続き持続しているようです。
とにかくテクニックセンシティブなこともなく、忙しい診療の中でも確実に効果を得やすいので、私の指示で歯科衛生士に処置をさせ、最後のチェックをするだけで済むということもよくあります。
今後積極的にアプローチしていきたい症例として、例えば補綴修復等の場合、セットや試適の際に患者さんから「しみる」と言われて困っておられる先生も多いと思いますが、セットする前に「ティースメイト ディセンシタイザー」をこすり塗りすることで、セット後の刺激を抑制することが期待できます。この場合、「クリアフィル エステティックセメント」等のレジンセメントを使用しますが、その前処置として「ティースメイト ディセンシタイザー」をこすり塗りしても接着強さには影響を及ぼさないという研究結果も出ています。また被膜厚さがほとんどないためセメントの厚みに影響しないこともメリットです。さらに人体に対して全く無害ですから、患者さんから訴えがなくても予防的な感覚で積極的に活用していけるのではないでしょうか。
以上のように色々な面で優れた特長をもつ「ティースメイト ディセンシタイザー」ですが、私がこの製品の存在を耳にした時、最も衝撃的だったことは、リン酸カルシウム(無機化合物)の技術を導入して開発したということでした。私はこれまで多くのクラレメディカル製品を愛用してきましたが、その材料はレジン系をはじめ全てが有機質のものでしたから、当初はとても意外に感じました。しかし同時に全く新しい分野にチャレンジし、今まで無かった材料を開発し、製品化を実現したメーカーの情熱と意気込みを強く感じています。
2012年4月からクラレノリタケデンタルとして生まれ変わりましたが、新たな市場でさらに存在感を発揮してくれることを期待しています。

図1 既存の充填物を除去し、ポーセレンインレーの形成を行った。
図2 形成直後にまず象牙細管を閉塞させるためにティースメイト ディセンシタイザーを塗布する。
図3 完成されたポーセレンインレー。エステティックセメントを用いて接着させる。
図4 セット当日にもティースメイト ディセンシタイザーを塗布。その後水を含んだ綿球で拭い取るようにする。
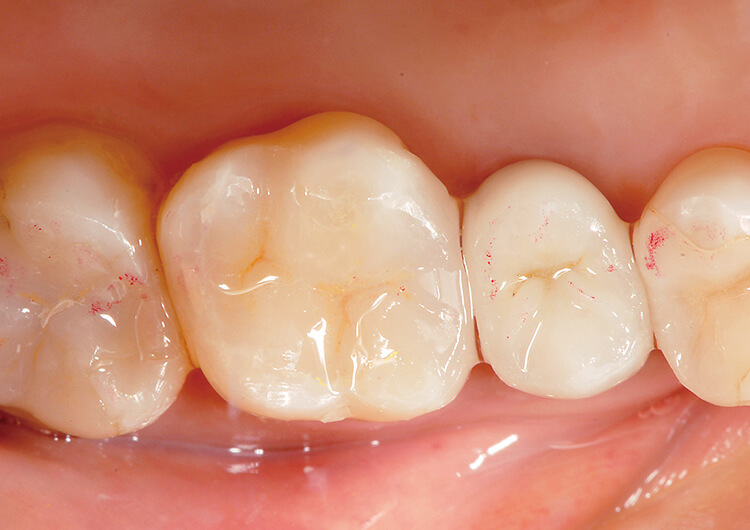
図5 ポーセレンインレーが接着、咬合調整された(当日)。
図6 後日チェックを行う。冷水痛などの不快症状はない。
SRP処置後や知覚過敏の予防に有効
臭いや味がなく患者さんにも好評
南歯科医院 チーフハイジニスト貴島 佐和子
知覚過敏の症状は、特にSRP処置後やメンテナンス中に発生することが多く、それを防ぐためにオーバーインスツルメンテーションをできるだけ避け、歯肉を退縮させないようにしなくてはなりません。しかし、どうしても歯肉が退縮して根面が露出してしまうケースなど、知覚過敏の症状が発生することがあります。
知覚過敏抑制処置の方法としては、チェアサイドで知覚過敏抑制材を使用する場合と、患者さんが自宅で行える歯磨剤タイプの抑制材が考えられますが、歯磨剤タイプの場合、効果が現れるまでに時間がかかりますし、効果の度合いも弱く、患者さんからの評判もあまり良くありませんでした。
チェアサイドで抑制材を使用する場合は院長の指導下で行いますが、これまで使用してきた抑制材は、歯肉との接触を避けるために完全な防湿が必要であるなど、歯科衛生士が単独で使用することは困難でした。さらに塗ったあとの刺激が強く、患者さんから「臭いや味が気になる」と指摘されることもありました。
「ティースメイト ディセンシタイザー」は、歯肉に接触しても刺激がなく安全ですし、臭いや味もないので防湿も簡易なものでかまいません。塗る時に特別なテクニックも必要なく、サルカス(歯肉溝)の中でも気にせず処置していくことができます。また、人体に対して無害ですから、これまでの経験から「塗っておいた方がいいかな」と感じる患者さんにも積極的に使っています。例えば、歯周病が進行し歯周ポケットが深くなっている患者さんの場合、デブライドメントして歯肉が引き締まることで象牙質面が露出し、しみるなどの症状が発現する場合があります。このような場合、次第におさまっていくことがほとんどなのですが、「ティースメイト ディセンシタイザー」を塗布することで、より早く症状を軽減することができるのです。
こすり塗りする回数はこれまでほぼ1回で効果が感じられ、かなり重篤な患者さんの場合でも2回塗りすることで、「しみなくなった」と喜んでいただいています。

CASE1‑1 初診時。粘液性唾液、歯頸部に落としきれないプラークが層をなしている。右下3、5番抜歯。
CASE1‑2 抜歯SRP終了。唾液の性状は改善され、プラークコントロールも良好。右下2番、左下2番に知覚過敏の症状が強く現れた。飲食にも支障があるような状況。
CASE1‑3 クリーニング時にインスツルメントをあてるのが困難なため、歯ブラシ、歯間ブラシ、エアースケーラーブラシでクリーニング後、ディセンシタイザーを塗布。症状が改善し「楽になった」と喜んでおられる。
CASE2‑1 術前。プロービング値全顎3mm以下。咬合力が強くメンテナンス中に知覚過敏が発現。
CASE2‑2 術中。歯肉についても刺激がなく、サルカス内でも積極的に塗り込んでいける。
CASE2‑3 塗布直後の様子。知覚過敏の症状はおさまり、歯肉の白変もみられない。
目 次
モリタ友の会会員限定記事
- Trends 知覚過敏抑制材「ティースメイト ディセンシタイザー」について
- Clinical Report 期待できる知覚過敏抑制材が開発された ―発想の転換から生まれたリン酸カルシウム系知覚過敏抑制材―
- 私の臨床 操作がシンプルで人体に無害生体親和性と耐久性に優れた知覚過敏抑制材
- 私の臨床 象牙質表面の改質を簡便な操作で実現する新しいコンセプトの知覚過敏抑制材
- Topics マイクロスコープを活かす診療システムとしてpd診療の優位性を日本顕微鏡歯科学会でアピール
- Technical Hint 「i-TFCシステム 光ファイバーポスト」を用いたレジン支台築造 ~臨床家から聞こえた疑問とその対策 及び 応用例を紹介する~
他の記事を探す
モリタ友の会
セミナー情報
会員登録した方のみ、
限定コンテンツ・サービスが無料で利用可能
オンラインカタログでの製品の価格チェックやすべての記事の閲覧、臨床や経営に役立つメールマガジンを受け取ることができます。
商品のモニター参加や、新製品・優良品のご提供、セミナー優待割引のある、もっとお得な有料会員サービスもあります。











