157号 SUMMER 目次を見る
目 次
- ≫ はじめに
- ≫ セメントVS スクリュー
- ≫ 症例概要
- ≫ まとめ
はじめに
今回、複数歯欠損症例に対するインプラント上部構造に対応したヴァリオマルチアバットメントが発売となり、今まで不可能だったアバットメントを介したスクリューリテインの上部構造が製作可能となった。
一歯欠損にそれぞれ一本のインプラントで対応する場合においては、問題のなかったシステムではあったが、複数本のインプラント上部構造を連結する場合、特に従来法の鋳造およびロー着では適合精度を出すことは困難であった。
ヴァリオマルチアバットメントは、ノーベルバイオケア社のマルチユニットアバットメントと互換性を有し、プロセラによるCAD/CAM Implant Bridgeに対応した。
そこで今回は、精度の高いCAD/CAMImplant Bridge作製において、ヴァリオマルチアバットメントを用いたケースリポートを報告させていただく。
セメントVS スクリュー
インプラントは歯根膜を持たないため、衝撃吸収能力が天然歯のそれに劣ることから上部構造の前装部破折が頻繁に見られる1)。また、経年摩耗や、フレームの疲労破折、臨在歯の喪失、天然歯の移動による隣接部空隙、頭蓋骨のエイジングに伴う歯列の不揃い2)など、長期的観点から上部構造の修理や改変は必ず必要となる(図4〜7)。
さらに、インプラント周囲粘膜病変の予防および治療の際の粘膜貫通部立ち上がりや隣接鼓形空隙拡大に伴う形態修正もメンテナンス中にしばしば行われる。このような場合には、スクリュー固定様式が最も簡単にそして確実に着脱することができる。
また、セメントリテインでは、外したい時に外せず、外れて欲しくない時外れることや、余剰セメントによるインプラント周囲炎がスクリューリテインのそれより多いという報告3)もあり、そのためか、インプラント上部構造の固定様式が、セメント固定からスクリュー固定へとシフトしてきているという。特に審美に厳しい北米でその傾向が高いと言われている。
しかし、筆者は複数本のインプラント埋入症例やポンティックのあるインプラントブリッジ症例においては、リペアビリティやメンテナビリティの観点からだけでなく、コンポーネントの保護の観点から、連結することを推奨している(図2)。
インプラントを単独で一歯に一本インプラント埋入することで、上部構造の適合性は容易になる。しかし、一歯ずつのコンタクト調整の必要性や、アバットメントや補綴スクリューの緩みや破折といったコンポーネントの保護が困難になる。
一方で、インプラント連結またはブリッジで上部構造を作製する場合、フレーム適合が困難になりフロスでの清掃は困難になるが、コンポーネントの保護とインプラント体の埋入本数を低減できる利点があるといえる(図3)。
-

図1-a、b 6 単独歯欠損に一本のφ5×11mmのSPIインプラント埋入した症例
上部構造はチタンベースにスクリューアクセスホールを開けたフルジルコニアクラウンをレジン接着し、スクリューリテインとした。SPIシステムのアバットメントスクリューの直径は世界最小クラスであるため、咬合面アクセスホールは非常に小さい。そのため、審美性やポーセレンなどの築盛部の強度、仮封部の摩耗の観点からもたいへんに有利となる。
-

図2 セメント固定vs スクリュー固定
-

図3 単独か連結か?
-

図4 人工歯の経年摩耗
-

図5 ポーセレンの破折
-

図6 メタルフレームの破折
症例概要
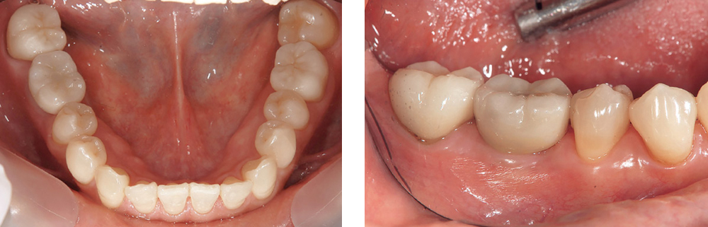
下顎大臼歯2歯欠損に対し、2本のSPIインプラントで欠損修復を行った症例を紹介する(図9〜15)。
初診時年齢67歳男性、 6 7欠損による咀嚼障害を主訴に来院された。
義歯は使用したくないとのことで、本症例は 6 7 部に2本のSPIインプラントの埋入を行い、免荷期間経過後、プロビジョナル作製、再評価後に最終補綴物を作製・装着してメンテナンスへ移行する治療計画とした。
前医によれば、欠損歯の喪失原因は、失活歯の歯根破折によるとのことで、初診時口腔内の摩耗やファセットから咬合力が強いことが示唆された。そのため、上部構造は、インプラント体やコンポーネントの保護とメンテナンス性の観点から、アバットメントを介して連結されるスクリュー固定の上部構造を選択することとした。
埋入に十分な骨量と歯槽頂に6mm以上の角化粘膜が存在し、CTおよびパノラマX線写真から、良好な骨質が推測されたため、一回法による2本のSPIインプラントの埋入手術を行った(図9、10)。
免荷期間経過3ヵ月後、ジンジバルフォーマーからヴァリオマルチアバットメントに交換し、X線写真で適合確認後、25Ncmにて締結した(図11)。互換性のあるノーベルバイオケア社のマルチユニットアバットメント用印象コーピングを使用し、プロビジョナルの作製と装着を行った。
また同時に、このときプロビジョナル作製に用いられた作業模型上でヴェリフィケーションインデックス採得用鋳造フレームを作製しておく。 プロビジョナルにて、咬合および清掃性を確認後、最終補綴物の精密印象を行うこととした。最終印象時にプロビジョナルを外し、印象用コーピングが適合するアバットメントの接合面を、界面活性剤入り含嗽剤を含ませた綿球にて清拭し、汚れや異物のないことを確認してから、X線写真にてコーピングの適合を確認する。
通法に従って付加重合型シリコーン印象材を用いて個人トレーによる全顎印象採得後、ガム付き作業模型を作製する。
予め作製しておいたヴェリフィケーションインデックス採取用鋳造フレームと印象用コーピングを、重合収縮が最小限の固定用即重レジンにて固定し、最小限の石膏量でインデックスモデルも作製しておく(図12)。
CAD/CAMによるインプラントブリッジフレーム作製時、このインデックスモデルにスキャンボディを装着し、アバットメントレプリカの正確な位置関係をモデルスキャナーにて読み取る。また、完成フレームの適合確認用模型としても使用する。
完成メタルフレーム試適時の適合確認は、複数の方法で行うのがより正確である。
まずは、可能であれば各々のアバットメント部位でそれぞれ位置を変えて、一個ずつスクリュー締結時の感覚を確認しておく(図8)。
その上で、メタルフレームを正規の位置に装着し、スクリュー締結時の、初期抵抗を感じてからの、規定トルク値に達するまでの回転角が30度以下であることを確認する。
この時、各々では問題がなかったのに対し、正規の位置ではどこかのスクリューが初期抵抗を感じてから締結するまでに60度以上回る場合は不適合と判断し、フレーム再製となる。
鋳造フレームでは、ロー着によって不適合を修正していたが、現在のCAD/CAMフレームにおいては、再製作になることが多い。したがって、インデックス採得が今日のCAD/CAMフレームにおいては要となる。
次に、複数本のインプラントブリッジの一番端の補綴スクリューだけを締結し、ワンスクリューテストにて反対側の適合をX線写真で確認する。これで問題がなければ、ポーセレンなどの前装部の築盛を行い完成となる(図13)。
本症例では、CAD/CAM Co-Cr フレームを作製し、ポーセレンを築盛したPFMによる上部構造を装着した(図14)。
-

図7 天然歯の近心移動に伴う隣接空隙
-

図8 別の症例であるが、5 、6 、7 とそれぞれ単独でスクリュー締結を行ってチェックする。
-

図9 初診時口腔内写真およびパノラマX線写真
④⑤⑥⑦のブリッジを装着していたが、歯根破折のため抜歯になりインプラント希望で当院に紹介。骨幅・骨高径および角化粘膜ともに十分にあるため、同部位に2本のSPIインプラントを一回法で埋入することとした。
-

図10 一回法 1st OPE
67 部にフラップデザインは遠心頰側と頰側全層弁に骨膜減張切開を加えたAdvanced Sliding Flapとし、一回法にて埋入手術が完了した。いずれも初期固定は良好でジンジバルフォーマーを連結し縫合したが、フラップには緊張がなく、かつ過不足のない縫合により閉鎖された。
-

図11 アバットメント交換・印象
3ヵ月の免荷期間後ジンジバルフォーマーを外しφ4.0用の高さ0.8mmヴァリオマルチアバットメントを手用ドライバーで連結し、X線写真で適合確認後25Ncmでアバットメントの締結を行った。
-

図12 プロビジョナルSet&インデックス採得
同時に、ノーベルバイオケア社のマルチユニットアバットメント用印象用コーピングをヴァリオマルチアバットメントに連結し適合確認後、個人トレーを用いシリコーン印象材によるプロビジョナル印象を行い、プロビジョナルの作製および口腔内装着を行った。またプロビジョナル作製に用いた模型から、ヴェリフィケーションインデックス採取用鋳造フレームを作製し、収縮が最小限のレジンにて、そのフレームと印象用コーピングを固定し、最小限の量の低膨張超硬石膏にてインデックスモデルを作製する。これはCAD/CAMによるインプラントブリッジ作製時のスキャン用として、また完成フレームの適合確認用として用いる。
-

図13 CAD/CAMメタルフレーム試適
ワンスクリューテストで適合の確認を行う(図8参照)。
-

図14 最終補綴装着時の口腔内写真およびパノラマX線写真
本症例では、CAD/CAM Co-Cr フレームを作製し、ポーセレンを築盛したPFMによる上部構造を装着した。
-

図15 1年経過後
まとめ
今回紹介した、SPIインプラントにヴァリオマルチアバットメントを応用することで、ノーベルバイオケア社のプロセラによるCAD/CAMフレームワークが作製可能となり、高精度・高剛性のスクリュー固定様式の上部構造を選択可能になったことは、非常に喜ばしいことである。
今後、様々な技術革新によって、CAD/CAMインプラントブリッジのさらなる精度の向上が推察されるが、インプラント補綴を手掛ける歯科医師にとって朗報である。
- 1)Retrospective analysis of porcelain failuresof metal ceramic crowns and fixed partialdentures supported by 729 implants in 152patients: Patient-specific and implant-specificpredictors of ceramic failure Richard P. Kinsel,DDS,a and Dongming Lin, DDS, MS,MPHb, J Prosthet Dent 2009;101:388-394.
- 2)Lifelong Craniofacial Growth and the Implicationsfor Osseointegrated Implants Daftary,DDS,MSD/Ramin Mahallati, DDS/OdedBahat, BDS, MSD, FACD / Richard M.Sullivan,DDS, JOMI January/February 2013 Volume28, Issue 1.
- 3)Does residual cement around implantsupportedrestorations cause peri-implantdisease? A retrospective case analysis. LinkeviciusT, Puisys A, Vindasiute E, LinkevicieneL, Apse P. Clinical Oral Implant Research November2013,Vol. 24, Issue. 11, Pages 1179-1184.
目 次
モリタ友の会会員限定記事
- Clinical Report 日常臨床における唾液検査の有効な活用法 ~応用編~
- Clinical Report 日常臨床に接着を活かす -支台築造の接着を考える-
- Clinical Report -総義歯3つのエッセンス- 下顎総義歯を吸着させる印象採得
- Clinical Report SPIシステム ヴァリオマルチアバットメントを用いたCAD/CAM Implant Bridge
- Clinical Hint X線画像読影虎の巻Part3 歯周病の読み方
- Field Report 幅広い診療を実現する高画質の歯科用CT
- Field Report ラミネートベニア修復の仕上げにも有効な歯科研削用メタルストリップ
- Close Up 歯科口腔外科部門新設への取り組みと可搬式歯科用ユニットの有用性
他の記事を探す
モリタ友の会
セミナー情報
会員登録した方のみ、
限定コンテンツ・サービスが無料で利用可能
オンラインカタログでの製品の価格チェックやすべての記事の閲覧、臨床や経営に役立つメールマガジンを受け取ることができます。
商品のモニター参加や、新製品・優良品のご提供、セミナー優待割引のある、もっとお得な有料会員サービスもあります。














