163号 WINTER 目次を見る
開業当初は保険診療が主体でメタル修復を主に行っていたのですが、臨床を続けるなかで、二次カリエス、歯根破折といったトラブルを経験することが頻繁にありました。
このままの診療方針ではダメだと思い、CERECを導入し、できるだけ身体に負担をかけないメタルフリー、さらに予防を中心とした診療スタイルにシフトしたのが、今から10年ほど前のことです。
当院におけるCERECの位置づけは、“自由診療の一部としてのCEREC”ではなく、すべての診療において“CERECが中心の診療体系”とでも言えばいいでしょうか。
とにかく、インレー、アンレー、クラウン、ブリッジ、インプラントなど、デンチャーを除くほぼ全ての治療に必要不可欠なツールになっています。
さらに、CERECを単なるCAD/CAM装置としてではなく、患者さんに必要な情報を提供してくれる“カウンセリング装置”として捉えています。口腔内を光学印象したものをモニター上に映し出し、常に患者さんにお見せしながら説明します。
加えて、マイクロスコープから得られる実際の映像と、歯科衛生士による唾液検査、歯周病検査やカウンセリングなどをプラスして多角的に説明することで、患者さんは“まるで自分の口の中にいるような感覚”にとらわれ、私たちの言葉により真剣に耳を傾けてくれるようになります。
その結果、初診時には保険治療を希望される患者さんも、カウンセリング後には直接法のワンデイトリートメントを選択されることがほとんどです。
このように便利で有能なCERECですが、前述したようにルールを遵守することで初めてその恩恵が受けられることは肝に銘じておかなければなりません。
まず最初に大事なことは、防湿を完全に行うことです。私は、メタルを外す前、形成する前からラバーダムを装着し、治療の間もずっと付けたままにしています。このことは感染防止にもつながりますし、形成、接着の面でも有利に働くことは皆さんもご存知の通りです。
次に重要なポイントが接着材の使い分けです。この使い分けは大雑把に言うと歯肉縁上であるか縁下であるかで大きく分けられます。歯肉縁上の場合、完全な防湿により浸出液をコントロールできるので、セラミック系の上部構造ではコンポジット系レジンセメントを選択します。
問題になるのは歯肉縁下の場合で、0.5mm以上の深さになるとラバーダムは使用不可で簡易防湿しかできません。一般的なCAD/CAM冠修復はほとんどこの歯肉縁下のケースに該当すると思いますが、現在、私はこうした歯肉縁下の際の接着には「スーパーボンド」を好んで使用しています。
歯肉縁下の場合、止血剤や歯肉トリートメント剤を使用したところで、コンポジット系レジンセメントでは接着が完全でなく、以前セルフアドヒーシブ系の接着材を試したこともありましたが、しばらくして脱離するケースがよくありました。
その点、スーパーボンドは一般的な化学重合レジンとは違って、水分と接触する界面(窩壁)部分から硬化するので、乾燥の難しい歯肉縁下でも歯質との間にギャップが生まれにくく、高い接着性と封鎖性が得られ、二次う蝕の予防も期待できます。またその柔軟性は、ショックアブソーバーとしての機能を発揮するため、保険用のCAD/CAM冠のように脱離や破折のリスクがある場合にも有効とされています。事実、スーパーボンドを採用するようになってから、破折や脱離といったトラブルもほぼなくなりました。
もちろん、防湿、接着だけでなく、メタル合着の時のように少し支台歯のテーパーを立て気味に形成を行うことや、他にスーパーボンドの接着性能を100%発揮させるために守るべきルールもあるのですが、誌面の関係上、別の機会に譲りたいと思います。
私はもともと口腔外科出身なので、今後はインプラントをはじめ外科的な処置にもCERECを活用していきたいと考えています。
あとは、私たちと同じ意志をもってやってくださる同士や後継者を増やして、CERECをはじめCAD/CAM装置を用いた治療がもっとポピュラーな選択肢になるように“CERECの輪”を広げていきたいですね。輪が大きくなることで、間違った使い方も自然に淘汰され、次第に良い治療法として定着することにつながります。そうした未来に大いに期待を持ちながら、私自身さらなる精進を続けていきたいと思っています。
-

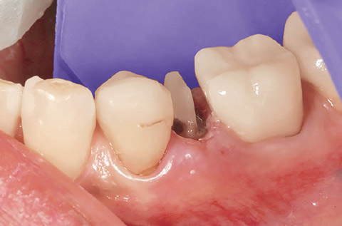
図1 二次カリエスがあったため歯肉縁上マージンの設定が難しくフェルールは何とか1mmを確保。 -

図2 ファイバーコアの部分にミニブラスター(デルデント社)を用いてサンドブラスト処理。 -

図3 バキュームに接続し使用する吸引管「Mr.Thirsty ワンステップ」(ザーク社)による簡易防湿。縁下マージンで完全な防湿ができないため、化学重合型のスーパーボンドを選択。 -

図4 CAD/CAM冠の内面をサンドブラスト処置後、スーパーボンド PZプライマーにてシランカップリング処理。 -

図5 歯質の部分にティースプライマーを塗布。出血させないように注意する。 -

図6 ファイバーコアのみにシランカップリング処理。垂れないように軽く塗布する。 -

図7 エアーブロー。 -

図8 活性化液(キャタリストV+モノマー液)を全体に塗布し、表面の濡れ性を上げる。 -

図9 スーパーボンド マイクロシリンジで混和泥を吸引してCAD/CAM冠へ移送し、装着。
目 次
モリタ友の会会員限定記事
- Trends 高濃度フッ化物配合歯磨剤時代の う蝕予防
- Trends 新型開口訓練器の開発
- Clinical Report 2級ダイレクトボンディングが上手くなりたい -マトリックスシステムの応用-
- Field Report CAD/CAM 冠などの完全防湿が困難な歯肉縁下にも有効な重合特性をもつレジンセメント
- Clinical Report 新型歯面清掃器「エアフローハンディ3.0 シリーズ」を活用する
- Clinical Hint CBCT読影 虎の巻 Part5 被曝線量とその軽減
- Field Report 矯正治療中の知覚過敏症に有用な 知覚過敏抑制材
- Close Up 超高齢社会の今、歯科医療に何が求められているのか
他の記事を探す
モリタ友の会
セミナー情報
会員登録した方のみ、
限定コンテンツ・サービスが無料で利用可能
オンラインカタログでの製品の価格チェックやすべての記事の閲覧、臨床や経営に役立つメールマガジンを受け取ることができます。
商品のモニター参加や、新製品・優良品のご提供、セミナー優待割引のある、もっとお得な有料会員サービスもあります。








