163号 WINTER 目次を見る
目 次
- ≫ ハンディジェットとの出会い
- ≫ エアフローハンディ3.0シリーズ
- ≫ ペリオフローハンドピース(縁下用のペリオフローノズル)
- ≫ 清掃ポジションについて
- ≫ エアフローハンディ3.0 シリーズの臨床応用例
- ≫ 定期検診時のクリーニングの実際
- ≫ エアフローハンディ3.0 シリーズの使用上の注意
- ≫ 今後の展望
ハンディジェットとの出会い
私の仕事の1日の大半はリコール患者さんのメインテナンス業務です。その時になくてはならない器材のひとつに歯面清掃器があります。
歯面清掃器ハンディジェット(図1)の1台目を使い始めたのが2010年でした。
ハンディジェットのパウダーはミント(炭酸水素ナトリウム/平均粒子径65μm)とリコール(グリシン/平均粒子径65μm)、PMTC(グリシン/平均粒子径25μm)の3種類ですが、私が利用しているのはリコールとPMTCの2種類です。炭酸水素ナトリウムは歯面を傷つけやすく、最終研磨をしなければ使用後一時的に歯牙の艶がなくなる(図2、3)ので使用していません。
購入当初はステインの沈着具合によりパウダーを選択し、パウダーを移し替えながら使用していました。1台で2種類のパウダーを使用するということはパウダーの交換がとても面倒です。
使用頻度から考えてもう1台あった方が仕事の効率が上がると考え2台目を購入し、リコール専用器、PMTC専用器としてハンディジェットを使用するようになりました。
ハンディジェットを導入する前はステイン除去を超音波スケーラーやポリッシングペーストをつけたラバーカップかロビンソンブラシで行っていました。
図4、5の下顎の前歯部のステイン除去はラバーカップやロビンソンブラシで行うと5分以上かかっていましたが、ハンディジェットを使うことで1分以内で終えることができました。仕事効率が上がることでチェアタイムが短くなり患者さんも術者も楽ができますね
-

図1 7年間使用しているハンディジェット。リコールパウダーとPMTCパウダーのそれぞれに1台使用。
-

図2 炭酸水素ナトリウムでのステイン除去(術前)。
-

図3 炭酸水素ナトリウムでのステイン除去(術後)。一時的に艶がなくなる。
-

図4 PMTCパウダーでステイン除去(術前)。
-

図5 PMTCパウダーでステイン除去(術後)。所要時間は約1分。
-

図6 エアフローハンディ3.0 Plus
エアフローハンディ3.0シリーズ
エアフローハンディ3.0 Plus を使わせていただきました。エアフローハンディ3.0 Plus は、PMTCパウダー専用器で2種類のハンドピースを接続することができます。
縁上にはエアフローハンドピースPlus、縁下にはペリオフローハンドピース(別売)を用います(図6)。
また、エアフローハンディ3.0(図7)は、縁上の歯面清掃に用い、ミントパウダーとリコールパウダーを使用することができます。
今までのハンディジェットは3種類のパウダーを同機種で使用できましたが、エアフローハンディ3.0 シリーズは機器により、パウダーを使い分けます。
チャンバー部の形状が変わり、把持はハンディジェットより安定感があり操作しやすくなりました。
ハンディジェットと比べてみるとパウダーの噴出量が格段に安定しました。ハンディジェットはチャンバー内のパウダーが少なくなると噴出量も比例して少なくなりましたが、エアフローハンディ3.0 シリーズはチャンバー内のパウダーがなくなるまで噴出量が安定しています。
パウダーもチャンバー内に多く入るようになり、5分間の使用時間延長が可能になりました。そしてメインテナンス方法が容易になり、毎日使いましたが一度も粉詰まりすることがありませんでした。
ペリオフローハンドピース(縁下用のペリオフローノズル)(図8)
注目の縁下用のペリオフローノズルはディスポーサブルで衛生的です。これは縁下がルーズに開いているケースに利用できます。
図9~12のインプラント周囲粘膜炎のケースではペリオフローノズルで縁下をクリーニングし、DENT.EX Implant-Care TR(ライオン歯科材)をセルフケアで使用してもらい、2週間後の来院時には歯肉は引き締まり出血がなくなっていました。
インプラント周囲粘膜炎を早期に発見してインプラント周囲炎になる前に治すことが大切です。
図13は上顎第一大臼歯の近心頰側根と口蓋根の間の根分岐部病変のケースです。プロービング値が深くても幅が狭かったり、歯肉がタイトに引き締まっていたりすると使うことはできませんのでペリオフローノズルを使うことができるケースは限られます。
-

図7 エアフローハンディ3.0
-

図8 ペリオフローハンドピースにペリオフローノズルを装着。パウダー3:水1の噴射口で縁下部分を優しく洗浄。
-

図9 6インプラント。BOP(+)のためX-Ray 撮影。
-

図10 インプラント周囲粘膜炎(プロービング値6mm)をペリオフローで洗浄。
-

図11 DENT.EX ImplantCare TRでセルフケアを行う。
-

図12 ペリオフロー洗浄2週間後。BOP(−)歯肉は引き締まっている。
清掃ポジションについて(図14~16)
エアフローハンディ3.0 Plus は噴射口を歯肉辺縁に向けて使用でき、歯肉辺縁のバイオフィルムが除去できますが、エアフローハンディ3.0 はリコールパウダー、ミントパウダー専用器なので歯肉溝に向けては使用できません。
エアフローハンディ3.0 シリーズの臨床応用例
- ①縁上縁下のバイオフィルムの除去(図17~19)
- ②インプラント周囲のバイオフィルムの除去(図20~22)
- ③ステインの除去
- ④シーラント施術前の小窩裂溝の清掃(図23~25)
- ⑤矯正装置周囲の清掃(図26、27)。
-

図13 6近心頰側根と口蓋根の間の根分岐部(プロービング値8mm)をペリオフローで洗浄。
-

図14 エアフローハンディ3.0 Plus の清掃ポジション。ノズルの位置は歯肉から5mm離し、30~60°の角度をつける。
-

図15 エアフローハンディ3.0 の清掃ポジション。ノズルの位置は歯肉から3~5mm離し、30~60°の角度をつける。
-

図16 エアフローハンディ3.0 Plus 、ペリオフローハンドピース・ペリオフローノズル使用イメージ。
-

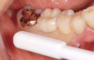
図17 縁上縁下のバイオフィルムおよびステインをエアフローハンディ3.0 Plus で除去(術前)。
-

図18 縁上縁下のバイオフィルムおよびステインをエアフローハンディ3.0 Plus ・PMTCパウダーを使用して除去(術中)。
-

図19 縁上縁下のバイオフィルムおよびステインをエアフローハンディ3.0 Plus で除去(術後)。
-

図20 インプラント補綴部のステイン、縁下のバイオフィルムをエアフローハンディ3.0 Plus で除去(術前)。
-

図21 インプラント補綴部のステイン、縁下のバイオフィルムをエアフローハンディ3.0 Plus で除去(術中)。
定期検診時のクリーニングの実際
-
①術者磨き
染め出しして歯磨剤を歯ブラシにつけ術者磨きをします。染め出しの第一目的が磨き残しを指導するためではなく、クリーニングするためなので患者さんに与えるプレッシャーが少なくなります。心地の良い術者磨きを施すことで患者さんがそれを真似するようになり、患者さんのプラークコントロール能力が自然と上がります。 -
②エアフローハンディ3.0 でバイオフィルムやステインの除去
通常粉はエアフローハンディ3.0Plus とPMTCパウダーを使用しますが、それで除去できない時はエアフローハンディ3.0 とリコールパウダーを使用します。 -
③超音波スケーラーで歯肉縁上縁下の歯石とバイオフィルムの除去
知覚過敏がある部位は超音波スケーラーを使用せずハンドスケーリングをします。 -
④縁下の沈着物および付着物の最終確認と除去(図28)
探針で歯肉溝内を探知し、歯石やバイオフィルムをハンドスケーラーで完全に除去します。
エアフローハンディ3.0 シリーズの使用上の注意
・PMTCパウダーは歯肉辺縁に向けて使用することができますが、角化歯肉がない部位に使用すると歯肉が傷つき出血しますので注意が必要です(図29)。
・舌にパウダーを吹き付けてしまうと傷つき出血しますので、誤って舌にパウダーを当てないように気をつけましょう。
・皮膚にグリシンパウダーがかかると痒みがでることがあります。特にアトピー性皮膚炎のある患者さんは著明に痒みがでます。フェイスカバーをして、皮膚にパウダーがかからない工夫が必要です。
今後の展望
エアフローハンディ3.0 シリーズを用いた歯面清掃は圧倒的スピードとバイオフィルム除去効率の高さが魅力です。縁上においての操作性は完成されていますが、縁下用のペリオフローノズルの操作性の向上が今後の課題だと思います。
現在、試行錯誤で行われているインプラント周囲炎のケアがもっと柔軟にエアフローハンディ3.0 Plus で対応できるようになることを期待します。
そしてパウダーの種類ですが、今ある3種類に加えて新たなパウダーの登場も待ち遠しいところです。
歯科衛生士の三種の神器の一つとしてあげられているエアフローハンディ3.0 シリーズは近未来においてプロフェッショナルケアの中心になる可能性は十分にあると確信しています。
-

図22 インプラント補綴部のステイン、縁下のバイオフィルムをエアフローハンディ3.0 Plus で除去(術後)。
-

図23 咬合面の小窩裂溝のプラークをエアフローハンディ3.0 Plus で清掃(術前)。
-

図24 咬合面の小窩裂溝のプラークをエアフローハンディ3.0 Plus で清掃(術中)。
-

図25 咬合面の小窩裂溝のプラークをエアフローハンディ3.0 Plus で清掃(術後)。
-

図26 矯正装置の周囲のプラークをエアフローハンディ3.0 Plus で清掃(術中)。
-

図27 矯正装置の周囲のプラークをエアフローハンディ3.0 Plus で清掃(術後)。
-

図28 探針を使って縁下の沈着物および付着物の有無の最終確認。
-

図29 45のインプラント部には角化歯肉がないので歯面清掃器を使うことを控えた方が良い。
同じ筆者の記事を探す【 牧江 寿子 】
モリタ友の会会員限定記事
- 182号 Clinical Hint SRPを極めよう
- 169号 Field Report 私たち歯科衛生士の付加価値を高めてくれるテーラーメイド型電動歯ブラシ
- 141号 Clinical Hint ダイアグノデント ペン活用法
目 次
モリタ友の会会員限定記事
- Trends 高濃度フッ化物配合歯磨剤時代の う蝕予防
- Trends 新型開口訓練器の開発
- Clinical Report 2級ダイレクトボンディングが上手くなりたい -マトリックスシステムの応用-
- Field Report CAD/CAM 冠などの完全防湿が困難な歯肉縁下にも有効な重合特性をもつレジンセメント
- Clinical Report 新型歯面清掃器「エアフローハンディ3.0 シリーズ」を活用する
- Clinical Hint CBCT読影 虎の巻 Part5 被曝線量とその軽減
- Field Report 矯正治療中の知覚過敏症に有用な 知覚過敏抑制材
- Close Up 超高齢社会の今、歯科医療に何が求められているのか
他の記事を探す
モリタ友の会
セミナー情報
会員登録した方のみ、
限定コンテンツ・サービスが無料で利用可能
オンラインカタログでの製品の価格チェックやすべての記事の閲覧、臨床や経営に役立つメールマガジンを受け取ることができます。
商品のモニター参加や、新製品・優良品のご提供、セミナー優待割引のある、もっとお得な有料会員サービスもあります。




























