165号 SUMMER 目次を見る
■目 次
- ≫ はじめに
- ≫ 今までの歯面清掃器
- ≫ エアフローハンディ3.0Plus
- ≫ 補綴物に対してのPMTC
- ≫ 症例1:GBTにエアフローハンディ3.0Plusを用いた例
- ≫ 症例2:エアフローハンディ3.0Plusペリオフローノズルを用いSPTを実施した例
- ≫ 患者さんの声と今後の展望
■はじめに
日本の歯科医療は超高齢化や残存歯数の増加、インプラントや補綴材料を含めた補綴治療の進歩などにより、患者さんの口腔内は非常に多様な状況となり、その管理やメインテナンスの方法も難しくなってきています。
そういった現状の中、近年注目されているGuided Biofilm Therapy(以下GBT)を中心に、エアフローハンディ3.0Plusの有用性に関してレポートします。
■今までの歯面清掃器
歯科医院で行われる専門家による徹底した歯面清掃をProfessional MechanicalTooth Cleaning(以下PMTC)といい、現在PMTCに適した機器はたくさんの種類が販売されています。その中でもパウダー噴出型の歯面清掃器の改良はめざましく、GBTのシステムに沿った管理に移行していく中で必要不可欠なアイテムとなっています。
普段高頻度で使用する機器には、患者の快適性や安全性はもちろんのこと、時間効率とそれに対する効果、誰が施術しても同じように最善の治療を提供できる均質化と正確性が求められます。
10年以上前に主流であった歯面清掃器といえば、縁上歯面に付着しているステインを除去することが主な目的であり、パウダーは炭酸水素ナトリウムで粒子が粗く必ずと言っていいほど回転式器具での仕上げ研磨が必要でした(図1)。またナトリウム摂取制限を必要とする患者さん(高ナトリウム血症・浮腫・妊娠中毒症など)に使用するのは禁忌であり、すべての方へのPMTCには使用できませんでした。
現在ではグリシンを使用したものも多くなりそのような制限を受けることなく使用しやすくなりました。
回転式器具や超音波スケーラーによるバイオフィルム除去も一般的に行われているプロフェッショナルケアではありますが、場合によっては歯面や修復物の表面形状に影響を及ぼす可能性もあります(図2)。
私たちが行うプロフェッショナルケアによりプラークリテンションファクターを作り出さないためにも、パウダー噴出型の歯面清掃器を用いたPMTCが予防や治療のための第一選択肢となってくると思います。

図1 従来の方法であるPMTC。
図2 6 FMC、超音波スケーラーによって表面に傷がついてしまったケース。
■エアフローハンディ3.0Plus
エアフローハンディ3.0PlusではエアフローハンドピースPlusとペリオフローハンドピース(別売)の2種類のハンドピースが装着でき(図3)、それに使用できるハンディパウダーPMTCは直径25μmのグリシンで水に溶けやすく歯肉縁上・縁下ともに使用できます(図4)。歯肉縁上や辺縁の軽微なステインであれば、除去できます(図5、6)。
また回転式器具では除去が困難である小窩裂溝に入り込んでしまった着色、また歯列不正によりロビンソンブラシやラバーカップなどの器具が到達しにくい部分などもエアフローハンディ3.0Plusだと容易に清掃ができます。
回転式器具でバイオフィルムを除去した場合とエアフローハンディ3.0Plusで除去した場合では、同じ時間をかけて施術をしても差がでやすく、短時間でよりバイオフィルムの除去効果が高いことがわかります(図7〜9)。
ペリオフローハンドピースにペリオフローノズルを接続すれば歯肉縁下のデブライトメントにも有効です。
ペリオフローの適応は、プロービング値が4〜9mmであること、根尖から歯槽骨長までの高さが3mm以上あることを確認したうえで使用する必要があります。また、1歯あたり5秒以上使用することはできません。
ペリオフローノズルにはわかりやすいゲージが付いており(図10、11)、フレキシブルな樹脂製ノズルのため根面に添わせながら深さ9mmまでの縁下に使用することが可能です(図12)。
またディスポーザブルのため衛生的に使用することができます。図13のようにパウダー3方向、水1方向へと噴射されるので、ポケット底にパウダーを直接噴射することなく縁下をやさしく洗浄できる構造になっています。
一度SRPを行った根面に対して、SPTのたびに超音波スケーラーを用いてのデブライトメントやキュレット操作を行うとオーバートリートメントになり、セメント質や根面を無駄に傷つけてしまう恐れがあります。
歯肉縁下のコントロールでは状況に応じペリオフローノズルを使用することで、知覚過敏を引き起こすことなくバイオフィルムを除去し、上皮性付着に必要なセメント質を温存させることができます。
そして今後のインプラントメインテナンスではエアフローハンディによるバイオフィルム除去が低侵襲な方法であると言えます。
インプラント周囲粘膜炎の予防や治療に活用できるのもエアフローハンディ3.0Plusが選ばれる理由の一つです(図14、15)。

図3 左:エアフローハンディ3.0Plus。右:別売のペリオフローハンドピース(ペリオフローノズルを装着)。
図4 歯肉から5mmはなし、30〜60度角度をつけ歯肉縁下に向かって噴射する。
図5 ハンディパウダーPMTCでステイン除去する前。
図6 ハンディパウダーPMTCでステイン除去した後。
図7 PMTCをする前に染め出しを行った。
図8 123はラバーカップでの研磨を行い、321はハンディパウダーPMTCにて清掃をした。
図9 123もハンディパウダーPMTCで清掃を行った。
図10 ペリオフローノズル。歯周ポケット長がわかりやすいゲージ付き。
図11 フレキシブルな樹脂製ノズル。
図12 根面に添わせながら深いポケットまで到達することが可能。
図13 パウダー3方向、水1方向へと噴射されるので、ポケット底にパウダーを直接噴射することなく縁下をやさしく洗浄できる構造。
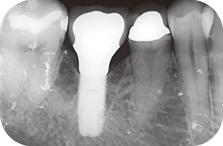
図14 6インプラントが埋入されている部位へのPMTC。
図15 6インプラント部位のデンタルX線画像。
■補綴物に対してのPMTC
長年使用しているレジンなどにステインがついてしまうケースは臨床の現場で少なくありません(図16)。
写真のように歯間部にステインが多くついてしまっている場合はPMTCが難しく、また回転式清掃用具や研磨ペーストを用いて清掃してもレジン表面に傷がついてしまう恐れがあります。
器具が到達せず綺麗にステイン除去ができない場合で、患者さんがステイン除去を希望されている場合は超音波スケーラーを用いPMTCを行わざるを得ないケースもあるでしょう。
しかし冒頭でもお伝えした通りそれによって表面性状が変化してしまい、さらにプラークやステインが付着しやすい状況を作り出してしまっているかもしれません。
エアフローハンディ3.0Plus専用のハンディパウダーPMTCを使えばそのような心配もなく、清掃が可能となります(図17)。

図16
硬質レジン前装冠のステイン 
図17 エアフローハンディでPMTCを行った(術後)。
■症例1:GBTにエアフローハンディ3.0Plusを用いた例
SPTにてサポートしている患者さんの症例です。6の近心、根分岐部の歯牙形態上プラークコントロールが難しいですが、患者さん自身そのような口腔状態を理解しセルフケアを工夫されています。肉眼で見ると厚いプラークの付着は見受けられませんが、染め出しを行うとやはり完全にバイオフィルムを除去できていないことがわかります(図18)。
歯間ブラシを用いた清掃でも、このように凹凸がある歯面のバイオフィルムはなかなか完全に除去できていないことが染め出しによって明らかです。
そこでエアフローハンディを用い清掃を行いました。今までの回転式器具では先端を施術部位にあてることが困難な場合、バイオフィルムの除去に時間がかかっていましたが、エアフローハンディを用いたPMTCでは1分もかからずバイオフィルムの除去ができました(図19)。
一番大切であるのは、患者さんのセルフケアの徹底により病状を進行させないことです。しかしながら実際はSPT の中で定期的なプロフェッショナルの介入は必要不可欠です。
患者さん自身のモチベーションの維持、また病状を進行させない口腔内を維持するためにもエアフローハンディ3.0PlusによるPMTCは効果が高いと実感しています。

図18 7〜4に対して染め出しを行った(術前)。
図19 エアフローハンディにてPMTCを行った(術後)。
■症例2:エアフローハンディ3.0Plusペリオフローノズルを用いSPTを実施した例
患者さんは大型の補綴物を有し、重度の歯周病のため当院にて定期的にポケット内のクリーニングを超音波スケーラーを用いたSPTによってフォローを行っていました。
これをエアフローハンディ3.0Plusによるクリーニングに変更しました。
大型補綴物を有しているためポンティックなどの器具の到達性が悪い部分も多数存在する口腔内ですが(図20)、エアフローハンディ3.0Plusを用いることで素早くバイオフィルムの除去、着色の除去を行うことができ、歯石になってしまっている部分などの判断が容易にでき、効率的な歯肉縁上のコントロールを行うことができました。
深いポケットが残存している部分に関しては、ペリオフローノズルを用いた清掃を行い、前述の通りやさしく洗浄でき、従来の超音波スケーラーではチップを確実に根面に当てなければならないため難しかった歯肉縁下の洗浄も比較的容易に行うことができました。
また最も深いポケットの残存している部分の口腔内細菌検査を実施すると、従来の方法では、ポケット内の細菌は多く残存していることがわかりました。これをエアフローハンディ3.0Plusに変更すると、クリーニング直後のポケット内の細菌数がかなり減少しているのがわかります(図21、22)。その後、時間の経過とともに細菌数は増加していき、約1ヵ月後にはP.g.は元の細菌数と同程度まで増加しました。しかし、これを1ヵ月間隔で同様にポケット内のクリーニングを行っていくと、徐々にポケット内の細菌数を減少させることができました(図23、24)。
もちろん、重度に罹患した歯周炎では歯周外科を含めた積極的な治療を行う必要性がありますが、様々な事情によりそれが達成できないことがあることも事実なので、そのような場合の非常に有効な管理方法として用いることができると思います。

図20 パノラマX線画像。大型の補綴物があり、歯周病の進行も認める。
図21 ペリオチップを用いた深いポケット内の洗浄前後の細菌数の変化。(表の数値は実数値)
図22 ペリオチップを用いた深いポケット内の洗浄前後の細菌数の変化。
図23 1ヵ月おきに洗浄を行っていった場合の細菌数の変化。(表の数値は実数値)
図24 1ヵ月おきに洗浄を行っていった場合の細菌数の変化。エアフローハンディの使用のたびに細菌数が減少している。
■患者さんの声と今後の展望
エアフローハンディ3.0Plusを用いてPMTCを実施している患者さん自身も、以前の超音波スケーラーや回転式器具を用いていた頃より、着色やプラークの付着感が減少してきているなど、その効果を実感しています。また歯面を舌で触った感じがツルツルしていて、バイオフィルム特有のぬめり感もなくなったととても喜んでくれています。
生涯継続していく必要があるSPTやメインテナンスは、患者さんにとって苦痛を伴わず行えることは最低条件です。ただ痛くない、辛くないではなく、歯面がキレイになった、気持ちが良かったなど患者さんにとってポジティブなメインテナンスの効果を実感していただき、また、よりよい口腔状態を維持したいと思えることが患者さん自身のデンタルIQの向上に直結していると考えます。実際に当院でもエアフローでのメインテナンス後にホワイトニングを希望される方や、ノンメタル診療を選択される方も増えてきています。
このように自分自身の口腔健康の価値を見出していただけることは、私たち歯科医療従事者にとっても喜ばしいことでありますし、また最新の知識・技術を取り入れ、最良の歯科機器を選択し患者さんに提供することはプロフェッショナルとしてあるべき姿だと考えます。
目 次
モリタ友の会会員限定記事
- Clinical Report スポーツマウスガードの臨床
- Trends 歯科切削加工用CAD/CAMレジン材料 「カタナ® アベンシア® Pブロック」 について
- Clinical Report 歯周病ケア用歯ブラシの進化型 「Systema AX」(システマエーエックス)
- Clinical Hint デンタルガムを臨床に活かす 歯科だからできる“ガムの運動療法” 〜ガムは歯科衛生士の最新のツールです〜
- Clinical Report ダイアグノデントペンを活用したう蝕診断と患者説明
- Clinical Report エアフローハンディ3.0Plusの活用
- Clinical Report 日常臨床に接着を活かす −失敗しない暫間固定−
他の記事を探す
モリタ友の会
セミナー情報
会員登録した方のみ、
限定コンテンツ・サービスが無料で利用可能
オンラインカタログでの製品の価格チェックやすべての記事の閲覧、臨床や経営に役立つメールマガジンを受け取ることができます。
商品のモニター参加や、新製品・優良品のご提供、セミナー優待割引のある、もっとお得な有料会員サービスもあります。























