165号 SUMMER 目次を見る
■目 次
- ≫ 外傷予防だけではない…マウスガードの有効性
- ≫ マウスガードの装着が義務づけられている競技
- ≫ カスタムメイド・マウスガードの重要性
- ≫ マウスガードを製作する時のポイント
- ≫ スポーツ歯科医学の専門資格とマウスガード
■外傷予防だけではない…マウスガードの有効性
スポーツ歯科においてマウスガードと言えば外傷予防、そんな印象を持っている方は多いと思う。元々、マウスガードの起源はボクサー用マウスピースにあるし、アメリカンフットボールなどコンタクトスポーツにおいて、マウスガードは口腔外傷からアスリートを守り、「安心・安全」を確保するための重要なアイテムの一つであることは言うまでもない。
2008年ストックホルムで開催されたFDI総会で、マウスガードに関する声明文が採択された。その前文では、ノンコンタクトスポーツや日常の運動でも口腔外傷が発生する可能性があること、またマウスガード未装着者のスポーツ時の口腔外傷リスクは装着者の1.6〜1.9倍であることが述べられ、マウスガードの普及が訴えられた1)。さらに2016年ポズナンでは、スポーツ歯科医学が「スポーツ競技もしくは日常の運動に関連して起こる口腔外傷や疾患の予防と治療を取り扱うスポーツ医学の一分野である」と定義されるとともに、カスタムメイド・マウスガードの重要性が強調された2)。
このように口腔外傷の予防効果がクローズアップされることも多いが、マウスガード装着の効果はそれだけに留まらない3)(表1)。スポーツクレンチングと言われる強い噛みしめから歯を守り、咬耗や破折など歯の劣化を防止する。また、下顎に加わった衝撃力を分散して、顎骨や顎関節を保護する。そして自分の歯がマウスガードで保護されていれば、相手選手にケガを負わせることがないのも容易に理解できよう。脳震盪など頭頸部への影響についての研究4)によれば、サッカーのヘディング時には、良好に適合したカスタムメイド・マウスガードを装着した上で噛みしめを行うことで、衝撃が加わった時の頭部の動きを抑えられることが示唆されている。スポーツパフォーマンスの維持・向上については、その効果が明確にされてはいないが、自身が持つ競技能力を最大限に引き出すことに貢献できると述べておきたい。心理的な効果として、マウスガードを装着していることで安心してプレーに集中できるし、外傷を抑制できれば、治療のための時間的・金銭的な損失がなくなるという経済的な効果が得られることも大きい。

表1 マウスガード装着により期待される効果
■マウスガードの装着が義務づけられている競技
マウスガードは、基本的にコンタクトスポーツに参加するアスリートには装着が推奨されるが、今のところ競技によって取り扱いが様々である(表2)。
日本国内のラクロス競技においては2017年から、すでに義務化されていた女子に続いて、男子もマウスガード装着が義務化された。色に関しては「白と透明以外の、一見して着用がわかるものが望ましい」とされている。アメリカンフットボール、ボクシング、空手なども義務化されており、ラグビー、アイスホッケーなどは年齢・カテゴリーによって一部義務化されている。競技によっては、マウスガードの色の規定がある場合や、日本の国内ルールと国際ルールが違う場合もあるので、各競技団体のホームページ等で確認していただきたい。
一方で、ホッケーやモータースポーツのように、推奨されてはいるものの義務化されていない競技もある。野球(白または透明)やバスケットボール(透明のみ)などのように、色を制限して許可されている競技もある。これまでマウスガードの使用が禁止されていた柔道でも、「大会におけるマウスピースの使用を可とする」通達が2017年に出された。ただし、「マウスピースは白または透明なもの」となっている。それ以外にも、サッカー、スキー、水球、レスリングなど、もっと積極的にマウスガードの使用を推奨すべき競技は多い。

表2 マウスガード装着の競技別ルール
■カスタムメイド・マウスガードの重要性
マウスガードには、スポーツ用品店などで入手できる簡易な市販品と、歯科医師や歯科技工士がアスリートの歯列模型を用いて製作するカスタムメイド・マウスガードがある(表3)。マウスガードがその効果を発揮するためには具備すべき要件があり(表4)、カスタムメイド・マウスガードによってそれが実現される5)。
カスタムメイド・マウスガードが口腔外傷を軽減あるいは予防する効果については、これまでに多数報告されてきた6、7)。しかしながら、手軽さやコストなどの面から、未だに市販品を使用しているアスリートも少なくない。ただこれら市販品の多くは、適合性や咬合、発音などの点で劣り、試合中に脱落して外傷を受けることになったり、装着していてもプレーに集中できなかったりといった弊害もある。一方で、カスタムメイド・マウスガードであっても、脳震盪の重症度を軽減もしくは予防する効果については、それを支持する明確なエビデンスは未だにない。今後、大規模なコホート研究等によって、その効果がより明確になっていくことを期待したい8)。
日本スポーツ歯科医学会では、2013年からカスタムメイド・マウスガードに関するワーキンググループを組織し、文献検索やディスカッションを通して、学会としてのコンセンサス形成を目指してきた9)。その結果、2015年に「日本スポーツ歯科医学会が提唱する標準的で適切に製作されたマウスガードのコンセンサス」が、学会ホームページ上にPDFとして公開された10〜13)。是非参考にしていただきたい。

表3 マウスガードの種類

表4 マウスガードの具備すべき要件
■マウスガードを製作する時のポイント
マウスガードを製作する場合、重要なポイントは①適合②外形③咬合である。既製品のマウスガードなどは論外であるが、カスタムメイド・マウスガードと称しながら、これらの重要点を実現できていないマウスガードも散見される(図1〜3)。
良質なカスタムメイド・マウスガードを製作するためには当然、綿密な作業工程が求められる。ミニスターS Scanの後継機種として登場した同機S ScanⅡでは、精度の高いマウスガードの製作が行える。主にスキャン部とコントロールパネルが改良され、バーコードスキャンにより加熱・加圧・冷却時間の設定が行える機能(図4)に加えて、コントロールパネルから数字でのコード入力が可能(図5)となっており、従来型(図6)よりもさらに操作性が向上した。また、デジタル表示部に作業時間や作業圧などの情報が表示(図7)されるため誤操作が生じにくい。従来型同様4.0 barで加圧でき、適合精度が高い(図8、9)。
マウスガード製作の基本的な流れは以下の通りであり、それぞれの段階での注意点について述べる。
1)診査
欠損歯の有無、咬合状態、歯周組織や顎関節の状態などをチェックしておく。
2)印象および咬合採得
基本的にアルジネート印象と既製トレーを用いる。残存歯が全て含まれ、唇頰側は可及的に歯肉頰移行部まで印象採得し、小帯の付着を明確にする。また、咬合採得はできる限り、競技姿勢に近い状態で行う。
3)作業用模型の製作
通常、硬石膏を使用して、模型の通気性を確保するため真空練和は行わない。ミニスターSのような加圧式成型器の場合には、模型の強度を考慮して超硬石膏を用いることも多い。また、模型は十分に乾燥させて、室温に保っておく。
4)外形線のデザイン
唇頰側は歯肉頰移行部より浅め、もしくは歯頸部から4mm程度の位置で、小帯は十分に避ける。口蓋側は歯頸線上、もしくは歯頸部から2mm程度口蓋側に離れた位置の間で調整する。後縁は最低限第一大臼歯までを被覆する(図10、11)。
5)成型
①模型の設置
成型器に模型を設置する際、中切歯唇面と成型器の水平基準面のなす角を90°より小さくすることで、一番重要なマウスガード唇側の厚みが薄くなることを防ぐことができる(図12)。また、ミニスターS ScanⅡでは成型したプレートの厚みが左右均一となるように模型の前歯は右側もしくは左側のいずれかに向ける。模型表面の必要な部分には分離材を塗布しておくこともある。その場合にはワックス系以外のものを用いる。
②加熱および加圧
チャンバーにプレートを設置した後、赤外線ヒーター部をプレートの上までスライドさせると加熱が始まる(図13)。加熱終了とともに、チャンバーを180°回転させ、模型上に被せる(図14)。ミニスターS ScanⅡでは従来から加熱した面を模型に圧接する構造となっており、精度を高める工夫がなされている。ロッキングハンドルをスライドしてロックすると電磁弁が自動的に開き加圧が始まる(図15)。
③排気と模型の取り出し
加圧、冷却時間が終了したら、airボタンを押して排気する(図16)。ロッキングハンドルを後方に戻した後、ロッキングリングを解除して模型を取り出す(図17)。
6)模型からの撤去・トリミング
シート材が室温になるまで十分に放冷し、ハサミもしくはメス等を用いて、シート材に応力が生じないように注意しながら撤去する。その後、外形線に沿って軟性材料専用のカッティングバーなど、切削能力が高く発熱が少ないものを使用してトリミングを行う。
7)咬合調整
咬合採得した高さで咬合器上に模型を付着して咬合調整を行う。両側臼歯部に均等な咬合を与え、展開角を大きくしたくぼみを付与する程度とする(図18)。
8)研磨
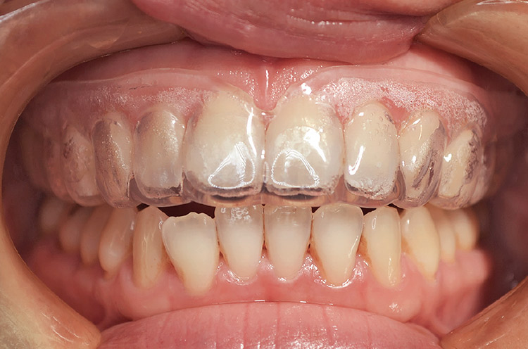
研磨においても、シート材の温度をできる限り上昇させないように注意する。特に艶出しに専用バーナーを用いる場合には、素早い操作を心がける。マウスガードフィニッシャーなどの薬液を用いても、ある程度の艶出しは可能である。研磨後のマウスガードの状態(図19)と口腔内への装着状態(図20)を示す。

図1 良くないカスタムメイド・マウスガードの例(適合不良)。

図2 良くないカスタムメイド・マウスガードの例(変形・破れ)。

図3 良くないカスタムメイド・マウスガードの例(咬合不適)。

図4 バーコードスキャンによる加熱・加圧・冷却時間の設定。

図5 コード入力可能となったコントロールパネル。

図6 従来型のデジタル表示部。

図7 デジタル表示部で成形工程の情報を確認可能。

図8 不十分な例。成形圧が不足すると、適合がやや不十分となりやすい。

図9 ミニスターS ScanⅡによる例。成形圧は十分で、マウスガードの適合は良好である。

図10 マウスガードの外形線(側面観・要説スポーツ歯科医学より引用)。

図11 マウスガードの外形線(咬合面観・要説スポーツ歯科医学より引用)。

図12 成形器上への模型の設置。

図13 赤外線ヒーターをプレート上にスライドさせると加熱が始まる。操作は簡単である。

図14 加熱終了とともにチャンバーを180°回転させて模型に被せる。加熱した面が模型に圧接できるので適合精度が高くなる。

図15 ロッキングハンドルによりロックすると自動的に加圧が始まる。一連の操作を素早く行うように心がける。

図16 加圧、冷却が終了するとアラームが鳴り、airボタンがブルーに点滅するので、ボタンを押して排気する。デジタル表示部にも必要な指示が表示される。

図17 ロッキングハンドルを後方に戻した後、ロッキングリングを解除して、チャンバーを元に戻す。これですべての成形工程が終了である。

図18 咬合調整・研磨が終了したマウスガード(臼歯部咬合面の状態)。

図19 咬合調整・研磨が終了したマウスガード(咬合面観)。

図20 口腔内に装着したマウスガード(正面観)。
■スポーツ歯科医学の専門資格とマウスガード
マウスガードを製作する場合には、日本スポーツ歯科医学会認定医(歯科医師)や同学会の認定マウスガードテクニカルインストラクター(歯科医師もしくは歯科技工士)、あるいは日本体育協会公認スポーツデンティスト(歯科医師)など、良質なマウスガードを製作するための教育を受けた専門資格を有する者に相談するとよい。これらの有資格者は、日本スポーツ歯科医学会または日本体育協会のホームページで検索可能である。
- 1) FDI World Dental Federation:FDI policy statement;Sports Mouthguards. 2008
- 2) FDI World Dental Federation:FDI policy statement;Sports Dentistry. 2016
- 3) 要説スポーツ歯科医学医学情報社:東京, 2015
- 4) Kazunori Nakajima, et al.:Effects of Mouthguardon Concussion Reduction or Prevention.Int J Sports Med, 10(1):47-49, 2017
- 5) 実践スポーツマウスガード−製作・調整と競技別サポート− 医学情報社:東京, 2014
- 6) 安井利一・他:マウスガードの外傷予防効果に関する大規模調査について−中間報告—.スポーツ歯学, 17(1):9-13, 2013
- 7) 安井利一・他:マウスガードに関する文献(1986年から2012年)の調査結果から.スポーツ歯学, 17(2):53-71, 2014
- 8) Toshikazu Yasui, et al.:Do Mouthguards Preventor Reduce Oral Injuries and Concussionduring Sports Events? Int J Sports Med, 10(1):7-11, 2017
- 9) 安井利一・他:2014年度日本スポーツ歯科医学会が提唱する標準的で適切に製作されたマウスガードのコンセンサス−コンセンサス形成の背景とその過程—.スポーツ歯学, 18(2):70-71,2015
- 10) 安藤貴則・他:2014年度日本スポーツ歯科医学会が提唱する標準的で適切に製作されたマウスガードのコンセンサス−ワーキンググループ1:マウスガードの印象,模型製作,デザイン(外形線,厚み,スポーツの種類)—.スポーツ歯学,18(2):72-76, 2015
- 11) 田中佑人・他:2014年度日本スポーツ歯科医学会が提唱する標準的で適切に製作されたマウスガードのコンセンサス−ワーキンググループ2:成型,模型からの撤去,トリミング—.スポーツ歯学, 18(2):77-78, 2015
- 12) 吉野仙峰・他:2014年度日本スポーツ歯科医学会が提唱する標準的で適切に製作されたマウスガードのコンセンサス−ワーキンググループ3:咬合(スポーツの種類にも関連),調整—.スポーツ歯学, 18(2):79-80, 2015
- 13) 権田知也・他:2014年度日本スポーツ歯科医学会が提唱する標準的で適切に製作されたマウスガードのコンセンサス−ワーキンググループ4:清掃,保管,修理,再製—.スポーツ歯学,18(2):81-82, 2015
目 次
モリタ友の会会員限定記事
- Clinical Report スポーツマウスガードの臨床
- Trends 歯科切削加工用CAD/CAMレジン材料 「カタナ® アベンシア® Pブロック」 について
- Clinical Report 歯周病ケア用歯ブラシの進化型 「Systema AX」(システマエーエックス)
- Clinical Hint デンタルガムを臨床に活かす 歯科だからできる“ガムの運動療法” 〜ガムは歯科衛生士の最新のツールです〜
- Clinical Report ダイアグノデントペンを活用したう蝕診断と患者説明
- Clinical Report エアフローハンディ3.0Plusの活用
- Clinical Report 日常臨床に接着を活かす −失敗しない暫間固定−
他の記事を探す
モリタ友の会
セミナー情報
会員登録した方のみ、
限定コンテンツ・サービスが無料で利用可能
オンラインカタログでの製品の価格チェックやすべての記事の閲覧、臨床や経営に役立つメールマガジンを受け取ることができます。
商品のモニター参加や、新製品・優良品のご提供、セミナー優待割引のある、もっとお得な有料会員サービスもあります。























