138号 AUTUMN 目次を見る
■目次
- ≫ はじめに
- ≫ 1. ファイバーポストコア支台築造の問題点
- ≫ 2. 予知性が高い「i‑TFCシステム」とは
- ≫ 3. ファイバーアレンジメントと築造方法の選択
- ≫ 4. Pre‑Impregnation Technique
- ≫ 5. 支台築造形成に関して
- ≫ 6. 作成上の注意点
- ≫ 7. セット時の注意点
- ≫ 8. 臨床例(図12~23)
- ≫ おわりに
■はじめに
支台築造は、カリエスや根管治療で失った歯質を回復し歯冠補綴が可能な状態にするために必要不可欠な処置である。築造前処置として適切なカリエス除去と根管治療が行われている必要があり、築造はコロナルリーケージ防止のために、また築造体と歯根を一体化させるために象牙質接着技術を応用するべきだと考えている。また、装着する補綴物も含めた予知性を高めるためには、これらに加えフェルール効果を得るための歯肉縁上歯質や健康な歯周組織の獲得が不可欠であり、このような状態をもって歯そのものの基礎的修復が完了すると考えている。
本稿では歯根とファイバーポスト併用レジン支台築造体(以下、FPCと略記)のいずれもが破折しにくく、予知性の高い支台築造ができる「i‑TFCシステム」(図1)を用いた症例を、考察と共に供覧させていただきたいと思う。

図1 2011年5月に発売されたi‑TFCシステム光ファイバーポスト&レジンセット。
■1. ファイバーポストコア支台築造の問題点
2003年に我が国でも支台築造用ファイバーポストが流通するようになったことに伴い、従来から行われてきた鋳造支台築造や既製金属ポスト併用レジン支台築造に加え、新たにFPCというオプションが我々の臨床に加わった。
FPCは従来型の支台築造に比べ、審美性や垂直性歯根破折の危険性の軽減など優れた点も多い。
しかし、従来使用されてきた金属とグラスファイバーで補強したコンポジットレジンは単純に置き換えられるものではない。力学的観点からすれば全く別のものとして捉える必要があるが、このような考え方が浸透しているとは言い難い。
そのため従来の金属を使用した支台築造理論の延長線上でFPC支台築造が行われ、結果として歯根は守られても、FPC築造体が水平性破折してしまう症例も散見される(図2)。

図2 FPC装着歯におけるFPC築造体水平性破折の例。ファイバーアレンジメントが十分ではない。
■2. 予知性が高い「i‑TFCシステム」とは
「i‑TFCシステム」は2007年に発売されて以降、年々ラインナップの拡充がなされ、2011年5月には新たに「光ファイバーポスト&レジンセット」(図1)が追加された。
現時点で他のシステムにはない下記のような特長を持つ。
①光ファイバーポスト
導光性に優れた光ファイバーを中芯に、周囲をグラスファイバーで編み込みポストに成形してある(図3)。現在各社より様々なファイバーポストが発売されているが、確実に根尖方向に導光できる唯一のポストである(図4)。また0.9mmφ光ファイバーポストの登場により、下顎切歯のような細い根管でもより適応がしやすくなった。
②スリーブ
グラスファイバーを外径2mmのチューブ状に編み込み成形したものである。高い引っ張り強さを持つグラスファイバーによりコンポジットを補強する場合、その配置はできる限り外周であることが望ましい1)。築造体の中心にファイバーポストを、その周囲にスリーブを設置すると、自動的にグラスファイバーが外周に配置される(図5)。これにより繊維強化材の力学に沿った高い補強効果が期待できる。
③ポストレジンおよびコアレジン
コア部分とポスト部分に求められる物性は異なる。コア部分は象牙質に近似した曲げ弾性率よりも高い曲げ強さが要求されるのに対し、ポスト部分はより象牙質に近似した物性であることが求められる。それぞれの部分に使う材料をわけたことにより、適材適所を実現している。また、ファイバーポストおよびスリーブの設置位置を十分に吟味するためには、操作時間が限定されるデュアルキュアでなく、ライトキュアの方が適していると考えている。

図3 ポストとスリーブの断面図。0.9mmφ光ファイバーポストの追加で、細い根管でもファイバーアレンジメントが可能となった。(サンメディカル提供)
図4 光ファイバーにより確実に根尖部分のレジンが重合でき、光重合レジンでの確実な支台築造が可能となった。(サンメディカル提供)
図5 i‑TFCシステムではスリーブが必ずポストの外周に配置される設計となっている。
■3. ファイバーアレンジメントと築造方法の選択
前述の通り、高い補強効果を得るためにはファイバーの配置が非常に重要になる。その配置について考察を行うことを真鍋らは「ファイバーアレンジメント」2)と名付けている。しかし、口腔内で十分なアレンジメントを行うことは難しく、特に漏斗状根管など残存歯質が非常に少ない場合、ポストスペースは広くなるためファイバーの挿入パターンは何通りも考えられる(図6)。そのような場合は、より高い補強効果を得るためにも間接法が適していると考えている。

図6 ファイバーアレンジメントの例。様々なアレンジメントパターンが考えられる。
■4. Pre‑Impregnation Technique
ファイバーポストとポストレジンを接着させる際、通常は接着前処理としてシランカップリング処理が行われているが、その効果を最大限に発揮させようとすると加熱処理等を追加する必要がある。しかし、操作が煩雑となるため敬遠されがちで、これが接着の破綻の遠因になることも考えられる。また、前述のファイバーアレンジメントにより複数本のファイバーポストを使用することになれば、当然それぞれに前処理が必要となり、操作に必要な労力は莫大なものとなる。
そこで筆者は真鍋の提唱する1)光重合モノマーにファイバーポストを一週間程度浸漬してモノマーを拡散させ、ポストレジンとの「ぬれ」を改善すると共に、浸透拡散したモノマーの機械的勘合によって接着耐久性を向上させるという手法を採っている。
筆者はこの手法を便宜的にPre‑Impregnation Techniqueと呼び、市販の光重合滑沢材を満たした遮光瓶に、ファイバーカッター(YDM社)(図7)を用いてカットしたポストやスリーブを浸漬保存し、必要なときにすぐ使用できるようにしている(図8)。この方法であれば、複数本のファイバーポストを使用する場合や、その形状から表面処理のし難いスリーブを使用する場合でも、安定した接着力を得ることができる(表1)。
また、モノマーが浸漬したスリーブは非常に柔らかくなるため、ポストの形状に応じて切り込み等を入れる必要がある場合も、抜糸に使うような細いはさみで簡単に加工を行うことができる(図9)。

図7 専用に開発されたファイバーカッター(YDM社)。きれいに切断でき非常に便利である。
図8 Pre‑Impregnation Technique。遮光瓶の中で光重合モノマーに浸漬し、遮光ケースに入れてサイズごとに分けて保存している。
表1 ファイバーポストとポストレジンの接着試験市販の光重合滑沢材に浸漬処理することで、市販のボンディング材処理と同等の接着力が獲得できる。
(サンメディカル提供)
図9 浸漬したファイバーは柔らかいので自由に加工できる。スリーブを板状にすることも可能。
■5. 支台築造形成に関して
メタルポストコアにおいては、ポスト形成時に守るべきクライテリアが存在する。しかしながら、未だFPCに関しては存在しない。そのため、現在筆者はメタルポストコアのものを準用している。ただし、ポストの太さに関しては、材料の物性を考えると歯根1/3の太さを超えても問題ないと考えている。
FPCは歯根破折を起こしにくいが、反面歯肉縁で水平性破折が発生しやすい。これは補強しているとはいえ、メタルに比べて曲げ強さが低いことに起因している。これを防止するために歯肉縁上歯質の獲得は非常に重要となる。この部分は咬合力を負担する役割を担っており、またフェルール効果を得るために必要だと考えられているためである。過去に発表された様々な文献をまとめると、少なくとも幅1mm、高さ1mm程度は必要と考えられ、その獲得のためにエクストルージョンや外科的歯冠長延長術などのオプションを持つことが重要である(図10、11)。

図10 エクストルージョンを応用した例。隣在歯と調和のとれた生理的な歯周組織を獲得するために歯周外科処置の併用が必要となる場合が多い。
図11 歯冠長延長術と遊離歯肉移植術を同時に行った例。このケースでは新たに2mmの歯肉縁上歯質と質の高い歯周環境を獲得できた。
■6. 作成上の注意点
i‑TFCシステムは直接法、間接法のどちらにも対応可能であるが、前述の通りファイバーアレンジメントを十分に行うために、筆者は間接法を推奨している。
作成時の主なポイントとして以下が挙げられる。
- ・光の透過性をあげるために白い超硬石膏を使用する
- ・模型を可能な限りトリミングし、光の透過性をあげる
- ・分離材は水溶性の「スーパーボンドセップ」を使用する
- ・ファイバーはなるべく多く、また可及的に外周配置できるような工夫をする
- ・十分に光照射を行う
- ・築造体の破損を防ぐために、模型を分割して取り出す
■7. セット時の注意点
間接法の場合、完成した築造体は試適を行った後、通法に従いシランカップリング処理を行い、「スーパーボンド」を用いてセットしている。その際のポリマー粉末は、混和法での操作時間が長い「混和ラジオペーク」を使用している。
支台築造時の接着対象である根管象牙質は、管周象牙質よりもコラーゲンが多いため接着に不向きな管間象牙質が占める面積が多いという解剖学的特徴を持つ。それゆえ歯冠象牙質に比べて接着強さは有意に低くなる傾向がある。また、ポスト形状は重合収縮応力を解放するために必要な自由面積が非常に少なく、これもまた接着に不利に働く。
このようにもともと不利な状況の上、ポストコアのセットにライトキュアやデュアルキュアのセメントを使用すると、重合に必要な光エネルギーを十分に与えることができない可能性があることに加え、急減な重合収縮由来で発生する応力によって接着が破綻する危険性、また化学重合の不安定さも相まって、望ましい結果が得られない可能性もある。
その点、スーパーボンドは自己完結型化学重合であり、その緩やかな重合スピードは収縮応力による接着の破綻を起こしにくい。また、水の存在で初期重合速度が上昇するという重合開始剤TBB(キャタリストの主成分)の存在、さらにスラリー状で使用できるためセット時に築造体が浮き上がるリスクが低いなど、ポストコアの接着に適しているのでは、と考えている。
よく「スーパーボンドはすぐ糸を引くから使いづらい」ということを耳にするが、これは主成分であるMMAが26℃を超えると急激に重合速度が速まる傾向があることによる。25℃以下の室温で操作できる混和用粉材を選択した場合でも十分な操作時間を獲得するために、ミキシングステーションの併用を推奨する。
■8. 臨床例(図12~23)
今まで述べたことを踏まえた臨床例を供覧する。

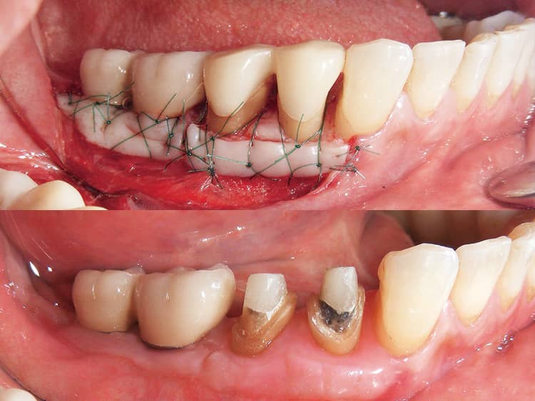
図12 62歳男性。全顎的処置の一環として5に支台築造を行うことになった。形成後の状態を示す。
図13 シリコン印象の状態。変形防止のためにラジアルピンを併用している。
図14 石膏模型。白の超硬石膏が望ましい。光の透過性をあげるためにギリギリまでトリミングを行う。
図15 分離材の被膜が水洗で簡単に除去できるので、敢えて水溶性のスーパーボンドセップを使用している。
図16 本症例で使用したスリーブ。チューブ状のものと半切したものを挿入することで、さらなる外周配置を狙う。
図17 模型内とスリーブ内にi‑TFCポストレジンを塡入する。20Gニードルスーパーロングの使用で深い根管にも対応が可能。
図18 チューブ状スリーブの外周に半切スリーブを挿入し、最外周にファイバーを配置するようにする。
図19 十分に光照射を行う。トリミングがしてあると右図のように石膏越しに重合させることもできる。
図20 i‑TFCコアレジンを築盛後、模型を分割してFPCを取り出す。
図21 完成したFPCとそのレントゲン写真。ファイバーの挿入状態が確認できる。
図22 スーパーボンドを用いてセット。ポリマー粉末は混和ラジオペークを使用した。
図23 形成後の状態とレントゲン写真。高い適合状態が確認できる。
■おわりに
鋳造支台築造や既製金属ポスト併用レジン支台築造に比べ、ファイバーポスト併用レジン支台築造は数々の優れた点を持つが、決して「夢と魔法の築造法」ではない。様々な文献を通して守るべきルールが明らかになりつつあるが、高い予知性を獲得するためには少なくとも「接着」と「ファイバーアレンジメント」を抜きにしては語れない。
本稿がi‑TFCシステムを上手く臨床に取り入れていただく参考になれば幸いである。
- 1) 真鍋顕:臨床理工講座/「i‑TFCシステム」による新しい概念の支台築造, 日本歯科評論, 67(7):99‑104, 2007.
- 2) 真坂信夫ら:新しい接着支台築造の提案/i‑TFCシステムの臨床, 74‑78,(株)ヒョーロンパブリッシャーズ, 東京, 2009.
目 次
モリタ友の会会員限定記事
- Clinical Report ソニックサージオン300を用いたサイナスリフト骨開窓テクニック
- Clinical Report EndoWave Express version
- Clinical Report 知覚過敏抑制材料「MSコート F」新登場 -MSコートONEにフッ化物が入ってパワーアップ-
- Clinical Report プロビスタスーパークイック液材を使用した臨床応用
- 私の臨床 患者さんにも術者にもやさしいLEDが診療部位を明るく照射無影効果の高いルナビューEL
- DOC-5発売30周年記念特別インタビュー 世代を超えて選ばれ続けるDOC-5
- Trends EX.3プレスの特長と製作手順
- Clinical Report i-TFCシステムを用いた予知性の高い支台築造
他の記事を探す
モリタ友の会
セミナー情報
会員登録した方のみ、
限定コンテンツ・サービスが無料で利用可能
オンラインカタログでの製品の価格チェックやすべての記事の閲覧、臨床や経営に役立つメールマガジンを受け取ることができます。
商品のモニター参加や、新製品・優良品のご提供、セミナー優待割引のある、もっとお得な有料会員サービスもあります。























