143号 WINTER 目次を見る
■目次
- ≫ ■1. はじめに
- ≫ ■2. ボンドフィルSBの特徴
- ≫ ■3. ボンドフィルSBの新シェード
- ≫ ■4. ボンドフィルSBを使用した臨床例
- ≫ ■5. 使用上のポイント
- ≫ ■6. 機械的物性について
- ≫ ■7. 表面性状について
- ≫ ■8. 最後に
■1. はじめに
歯頸部におこる楔状欠損は、パラファンクションをはじめとする咬合が関与していると考えられている(図1)。また、硬質レジン前装冠の前装部は咬合接触していなくても金属のわずかなたわみにより剥離するケースもあり、特に過去に一度リペアされた部位に起こりやすい。このような直接的な力の要因と離れた部位におこる欠損に対し、従来は必要に応じて各々の被着体にあった接着処理をし、コンポジットレジン(以下、CR)充填処置が行われていた。それにより、審美性の回復、知覚過敏症の改善、欠損の拡大予防およびう蝕予防の効果があるとされていた。
しかし、比較的早い時期に修復物の脱離を引き起こしてしまうケースも散見する。複合的な要因による欠損だけに、長期的に機能させるためには材料の性質に依存する部分も大きい。そこで近年、TBB系接着充填材料であるボンドフィルSB(サンメディカル株式会社)が開発・発売された(図2)。
本稿では、ボンドフィルSBの特徴、臨床応用短期経過症例および、2012年10月に新しく追加発売された新色の臨床例を呈示したい。

図1 楔状欠損は直接咬合接触していない部位に起こるが、原因は咬合に関与しているとされている。
図2 2011年2月に発売されたTBB系接着充填材料であるボンドフィルSB。
■2. ボンドフィルSBの特徴
ボンドフィルSBは空気や水分の存在下でも重合する唯一の重合開始剤であるTBBにより、歯質への高い接着性と辺縁封鎖性を有する化学重合型の接着型充填用アクリルレジンである。アクリル系特有のしなやかな物性を有しており、複雑な外部応力を吸収、緩和するStress Buffer機能を兼ね備えている(図3)。
また、金属やポーセレンに対して高い接着性を示すことも確認されており、歯にかかる応力歪みが要因の一つと考えられているくさび状欠損や前装冠破損のリペアなどに威力を発揮する。さらに、反応性有機質複合フィラーを配合することにより適度な耐摩耗性を示すため、必要十分な研磨性と、ブラッシングに対する耐摩耗性を併せ持っている。

図3 3点曲げ試験により、Stress Buffer機能を示している。
■3. ボンドフィルSBの新シェード
ボンドフィルSBは粉材に「ライト」と「ミディアム」の2色のみがラインナップされていたが、審美領域における良好な経過に伴い、新しく「サービカル」「オペーシャス」の2色の粉材が追加発売された(図4)。
「サービカル」は歯頸部の色調に合うようA4に近い色目に、また「オペーシャス」は下層の色をある程度遮蔽でき、単独でも充填できるよう透過性を落としたA3に近い色目になっている。これにより審美性の獲得のためのバリエーションが増え、より多くの症例に用いることが可能となった。

図4 2012年10月に追加新発売された新色「サービカル」と「オペーシャス」。
■4. ボンドフィルSBを使用した臨床例
<症例1>
1 1 失活歯の頰側にCRがダイレクトボンドされており、堅いものを噛んだら割れてしまったとのこと(図5)。
患者が部分的な充填治療を強く希望されており、前方ガイドには関わっていないため、応力吸収をしてくれるボンドフィルSBを「ライト」にて充填し、ダイヤモンドポイントのスーパーファインと最終仕上げ用シリコンポイントにて研磨を行った(図6)。
充填直後はまわりのCRに色調がマッチしていたが、1年6ヵ月経過後は透明感と光沢感が増し、逆に隣接した天然歯のほうに色調がマッチするようになった(図7)。これは、硬化体表面が歯ブラシの摩耗によってきれいに研磨されたためと思われ、経年的に光沢感が低下しやすいCRに対する利点であると思われる。
脱落、チッピングは起こっておらず、硬化体への着色も認められなかった。硬化体の着色が少ないのは、重合触媒にTBBを用いているために硬化体自体の変色が少なく、さらに液材に疎水性多官能メタクリレートを用いることで、従来のスーパーボンドに比べ、より着色しにくい組成になっていることが理由だと思われる。
<症例2>
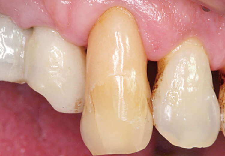
1 3 失活歯、変色に加え歯頸部に楔状欠損が認められる(図8)。審美障害を訴えたため、ウォーキングブリーチ法によるホワイトニングを施術後に、欠損部にボンドフィルSBを「ミディアム」にて充填を行った(図9)。
機能的には問題なく経過していたが、患者自身が審美的な不満を訴えたため、術後1年6ヵ月後に新色である「サービカル」にて再充填を行った(図10)。より歯頸部色に近い「サービカル」により、歯頸部の色調適合性が上がり、患者の満足する結果となった。
この症例では歯頸部に掛かる応力と長期の審美性を考慮して、辺縁の無切削エナメル質を5~10秒程度、表面処理材高粘度レッドで処理し、その後窩洞全体をティースプライマーで再処理した。
ボンドフィルSBのセット構成品である歯面処理材「ティースプライマー」は、水洗不要でエナメル質と象牙質の一括処理が可能なセルフエッチングプライマーである。比較的高いpH3.0でも高い接着強さを発揮する特徴を有するが(図11)、長期的に審美性を確保したい場合や、応力が強く掛かる部位では必要に応じてより脱灰能力の高い表面処理材レッドと併用することが望ましいと考える(図12)。
<症例3>
21、22、23、24の歯頸部で、歯肉退縮に伴う欠損が認められる(図13)。Millerの歯肉退縮の分類だとclass 1であるため、根面被覆の適応でもあるが、患者が外科的な処置を嫌がったため、ボンドフィルSB充填にて対応することとした。それぞれ色調が異なるため、正中から順に「ライト」「ライト」「サービカル」「ミディアム」を充填した。色調の適合性も良好といえる(図14)。
<症例4>
ロングスパンブリッジの支台歯前装部が破折を起こしたため、前方ガイドさせないようにCR充填を行ったが、1ヵ月以内に脱離し、その都度再充填を行っていた(図15)。しかし短期間に脱離が3回続いたため、金属フレームの歪み等の間接的な応力が働いていると疑い、ボンドフィルSBの発売に伴い充填を行った。
金属面をスーパーボンドのラジオペークで遮蔽することも考慮したが、同一材料にて充填したかったこと、また材料自体に厚みがとれたことから、金属部分にはVプライマー、硬質レジン部分にはポーセレンライナーMにて前処理を行い、「ライト」単独で充填を行った(図16)。
充填より1年6ヵ月経過後、CRのように短期間で脱離することなく正常に機能した(図17)。目立った変色も無く、リペア直後より光沢感、透明感が増したが、これにより逆に金属色がやや目立ってきてしまった。そのため患者から金属色が少し気になるとの訴えがあり、新色である「オペーシャス」で裏層し(図18)、表層を「ミディアム」にて充填することで金属色の遮蔽を行った(図19)。
他の症例から考えると、本症例も今後光沢感を増すことが予想される。
<症例5>
約1年前に硬質レジン前装冠の前装部を「ミディアム」にてリペアを行った。機能的に問題はないが、硬質レジン部の厚みが薄いため金属色が透けており、患者が審美的な不満を訴え来院(図20)。
硬質レジン前装部の厚みが薄いため、「ライト」もしくは「ミディアム」では金属色の遮蔽は困難であると判断し(図21)、金属部は「オペーシャス」にて遮蔽した(図22)。表層部はもともとの硬質レジンと隣接歯との色調を考慮し、歯頸側には「サービカル」、歯冠側には「ミディアム」を積層充填した。前装部の厚みが薄くても、「オペーシャス」を裏層することにより金属色はしっかりと遮蔽されている。また、歯頸部と歯冠部のグラデーション効果による隣在歯との色調の調和もできている(図23)

図5 症例1:2011年2月 初診時の正面観 63歳男性。
図6 患者の強い希望により、充填治療を選択。「ライト」にて充填直後。
図7 術後1年6ヵ月経過 脱落、チッピング、着色なし。光沢感と透明感が増した。
図8 症例2:2011年2月 初診時術前の正面観 患者は73歳男性 喫煙者。
図9 ホワイトニング後に「ミディアム」で充填し、2ヵ月経過。辺縁に少し着色。
図10 「サービカル」で再充填。色調適合性が向上した。
図11 ティースプライマーで処理した際の接着強さ。エッチングを行うより若干低いが、有意差は無い。
図12 表面処理材およびティースプライマー処理後のSEM写真。応力の掛かる部位では表面処理材レッドとの併用も行っている。
図13 症例3:2012年8月 術前の正面観 患者は54歳男性。
図14 正中から順に「ライト」「ライト」「サービカル」「ミディアム」を充填。
図15 症例4:2011年2月 術前の正面観 CRによる充填を行ったが、短期間に脱離を3回繰り返した。
図16 「ライト」単独で充填したが、金属色は気にならない。
図17 脱離することなく1年6ヵ月経過。歯ブラシ研磨により表面の光沢がでることで、金属色が透けてきた。
図18 色調改善のため、再度リペアを行う。金属部分を「オペーシャス」にて遮蔽。
図19 表層を「ミディアム」にて積層充填。適度なオペーク効果で白浮きも無い。
図20 症例5:1年前に「ミディアム」単独で充填。前装部の厚みが薄いため、金属色を遮蔽しきれていない。
図21 充填前。破折した硬質レジンの厚みが薄い。
図22 「オペーシャス」にて金属色の遮蔽を行う。
図23 歯頸部に「サービカル」歯冠部には「ミディアム」を積層充填。
■5. 使用上のポイント
(1)築盛について
従来のスーパーボンドに比べ、筆積性は大幅にアップしているので、筆積での築盛は意外に難しくない。
築盛の際はスーパーボンド同様に、活性化液(キャタリストVと液材の混合液)を先に窩洞に塗布してから筆積で築盛すると接着力がアップする。
(2)硬化時間と研磨のタイミングについて
硬化時間は5分で研磨に入れるが、ストレスなく軽快に研磨を行いたい場合はもう5分(トータル10分程度)待つことをお奨めする。もし硬化時間を短縮したい場合は、充填後数分経過してから温めた寒天印象材で覆うと、温度と寒天中の水分により7~8分で軽快に研磨できる(図24)。
(3)研磨について
最終仕上げ用のカーバイドバーやダイヤモンドポイントで形態修整し(図25)、同じく最終仕上げ用のシリコンポイントで最終研磨を行う。レジン系の表面滑沢材を塗布することも有用である。

図24 半硬化してから寒天印象材で覆うと、硬化時間が2~3分短縮される。
図25 最終仕上げ用カーバイドバー(30枚刃タイプ)で形態修正を行うと、非常に軽快な切削を行うことができる。
■6. 機械的物性について
耐摩耗性等や機械的強度に関しては従来のフロアブルCRとスーパーボンドの中間に位置する。そのため直接咬合が強く関与する症例に関しては、耐摩耗性を考慮して適用する必要がある(図26)。
例えば、もともとの咬合力が少ない人や、対合歯があまり加圧因子とならない義歯などの症例は、その粘り強い物性から、使用してみる価値は十分にあると考えている。また咬耗しても簡単に追加築盛ができる点は、ボンドフィルSBに有ってCRに無い大きな特徴である。

図26 耐摩耗性は、フロアブルCRとスーパーボンドの中間を示している。咬合面に用いる場合は症例を選択している。
■7. 表面性状について
特筆すべきは着色、変色が少ないとともに、経時的に光沢感が増すという点である。大抵のCRが徐々にその光沢感を失ってしまうなか、逆に審美性が増していくことを示している。これは前歯部審美領域の充填処置を行うには大きな利点と考えられる。
■8. 最後に
ボンドフィルSBはCRに比べ、色調、研磨性や操作性は若干劣る傾向にある。しかしボンドフィルSB最大の特徴は、従来のCR充填では短期間で脱離を起こしやすかった症例でも長期的な機能が期待できるところであり、臨床経過が重要であると考えている。
発売されてまだ2年であるため、長期予後は今後も継続観察する予定だが、短期の経過からでも従来のCRではできなかった機能維持が期待できるということが見て取れた。また追加築盛が容易であることから、リペアしながらの長期機能維持も可能であると思われる。今回の経過症例からボンドフィルSBは、従来のCR修復では対処の難しかった症例で威力を発揮する、まさに「Stress Buffer充填材」として非常に有効であると考えられた。
- 1) 大槻昌幸ほか:くさび状欠損についての考え方と治療方針;the Quintessence. Vol.14 No.3,683‑694,1995.
- 2) 若松尚吾ほか:新規充填型4‑META/MMA‑TBBレジンの材料特性について;Adhes Dent. Vol.28 No.4 234,2010.
- 3) 茅田義明ほか:新しいTBB系接着材料のユニークな特性を応用した新規臨床使用法;歯界展望 Vol.119 No.3 515‑523,2012‑3.
同じ筆者の記事を探す【 若松 尚吾 】
モリタ友の会会員限定記事
同じ筆者の記事を探す【 高橋 英登 】
モリタ友の会会員限定記事
目 次
モリタ友の会会員限定記事
他の記事を探す
モリタ友の会
セミナー情報
会員登録した方のみ、
限定コンテンツ・サービスが無料で利用可能
オンラインカタログでの製品の価格チェックやすべての記事の閲覧、臨床や経営に役立つメールマガジンを受け取ることができます。
商品のモニター参加や、新製品・優良品のご提供、セミナー優待割引のある、もっとお得な有料会員サービスもあります。

























