143号 WINTER 目次を見る
■目次
- ≫ コンポジットレジンは低侵襲の修復システム
- ≫ 「私はコンポジットレジンの重要性を多くの人に広めたいと思っています。」
- ≫ コンポジットレジン製品を選択するポイント
- ≫ 「コンポジットレジンを選択することで、治療の幅がさらに広がっていくということですね。」
- ≫ 審美的効果を得るために必要なポイントと新製品「クリアフィル マジェスティ ES‑2」
- ≫ 「高い接着性による歯質との一体化無くして長期的なコンポジットレジン修復は成立しません。」
- ≫ CR審美修復には歯質との高い接着性が不可欠
- ≫ 米国におけるCR普及のバックグラウンド
- ≫ ダイレクトコンポジットレジン修復は歯と体にやさしい歯科治療法

マイケル・モーガン 先生イリノイ州シカゴ開業
田上順次 先生東京医科歯科大学大学院 医歯学総合研究科 教授
田代浩史 先生静岡県浜松市開業
コンポジットレジンは低侵襲の修復システム
田上 本日は、イリノイ州シカゴご開業で米国の歯科界におけるオピニオンリーダーの1人であるマイケル・モーガン先生(Dr. Michael Morgan)と、浜松市でご開業の田代浩史先生をお迎えし、ダイレクトコンポジットレジン修復についてお話をうかがいたいと思います。患者さんはいつも審美的な修復を望みますから、歯科医師は常にその成果を求められています。現在、審美歯科修復を行う場合、選択肢として多くの歯科治療材料と治療法が存在するなか、モーガン先生はどのような理由からダイレクトコンポジットレジン修復を採用されたのでしょうか?
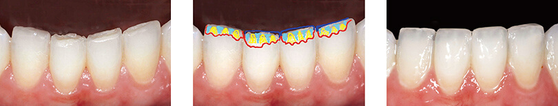
モーガン 私の場合は、その修復法が最小侵襲治療法であるという考え方からです。つまり、失われたり損傷した歯質を象牙質やエナメル質を削らずにコンポジットレジン(以下CR)に置き換え、審美修復を行えるということです(写真①)。現在利用できるCR材料の多くは使いやすく、優れた結果が得られ、長期的性能も大変良好です。
田上 私は、米国では多くの人が「素晴らしい笑顔が手に入れられるなら、顔全体を新しいものに取り換えてもらっても構わない」という考えを持っているという印象があるのですが、実際にはいかがでしょうか。
モーガン おそらくそうでしょうね。しかし最近では人工的に見える真っ白な審美修復よりも、自然に見える歯を望む人が増えてきていますし、それ以上に、歯質を削る量を最小限にする歯科治療が多くの患者さんに望まれています。つまり、患者さんは歯をあまり削られたくないと思っていますが、同時にきれいで自然な笑顔も手に入れたいと望んでいます。さらに低侵襲の治療法をCMで多く目にするようになってから、どんな選択肢があるのかをインターネットでしっかり調べるようになってきています。CR修復は、患者さんのニーズに対し、極めてコストパフォーマンスの高い選択肢ともなっています。
田上 田代先生はいかがですか。先生の診療所でもダイレクトコンポジットレジン修復を受けたいという患者さんが増えていると思いますが、その治療を行うようになられたのはなぜでしょうか?
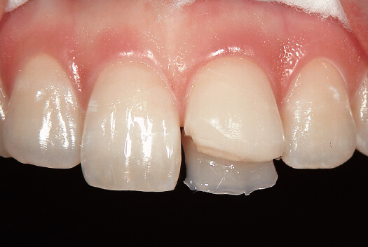
田代 以前、モーガン先生がセミナーで発表された破折歯への修復症例で、前歯部歯列への全体的な治療介入をせず、破折部分のみを復元して修復完了された症例に強い印象を受けました(写真②)。田上先生が先ほどお話しされたように、我々がイメージする米国の審美歯科治療を考えた場合、モーガン先生が単に歯科医師の立場からのみ審美性を追求されたのなら、歯冠形態や歯列にまで介入して前歯部全体に人工的に完成された補綴処置を行われたかもしれません。しかし先生は、個々の歯牙・歯列の形態を、破折前の状態に復元することに治療目標をおかれました。患者さんの個性を尊重する先生の修復処置における考え方に深い感銘を受けると同時に、この処置はCR修復によって初めて可能になったのだと感じました。つまり、このような症例で、歯の形態や色調を変化させることなく、残存歯質の延長として審美修復を行えるのは、CR修復だけであるということです。このような症例に対し、ポーセレンによるラミネートベニアや全部被覆冠での修復が行われた場合、歯肉からの歯牙の立ち上がりは非常に人工的なものになっていたことでしょう。そして時間が経てば、それはさらに顕著になっていただろうと思います。もし極めて自然な表現ができるとしても、過剰な歯質切削が伴うことは明らかです。しかしCR修復では、歯頸部歯質は温存され、健全歯牙を切削することなく破折した切端付近のみをCRで容易に再現することが可能です。
田上 近年、インプラントは優れた治療法として広く受け入れられていますが、自分の歯をいかに残してゆくかということも重要です。その中で、CRを選択することで治療の幅がさらに広がっていくということですね。

写真① コンポジットレジン修復を選ぶ理由は最小侵襲治療法であるため。<モーガン先生症例>
写真② 破折歯以外は必要以上に手を加えることなく修復された症例。<モーガン先生症例>
「私はコンポジットレジンの重要性を多くの人に広めたいと思っています。」
イリノイ州シカゴ開業 マイケル・モーガン 先生
コンポジットレジン製品を選択するポイント
田上 市場には多くのCR製品があります。先生方は製品を選択するうえで、どのような点を考慮されているのでしょうか?
モーガン 私は、通常はこれまでの臨床経験に基づいて選択しています。また学術誌、展示会、オピニオンリーダーのレクチャーも新材料についての情報源となります。最近では、院内ラボで材料を評価して最も良い材料を選んでいます。また現在では、歯科材料のほとんどについてin vitroとin vivoでの成績に関する文献が手に入るので、これも自分の診療にベストな材料選択を行うのに役立っています。
田上 歯科医師がCR製品を選ぶ場合、通常は臨床試験と非臨床試験の結果を頼りにすると思います。もちろん長期的臨床試験の結果は最も信頼性のあるもので、とても重要ですが、その報告が出てくるまで待っていては新材料は使えません。
モーガン さまざまな試験で新材料の一般的特性が確認されれば、その材料が有益かどうかはわかります。その材料の信頼性が確かめられたなら、ぜひ使ってみるべきだと思います。また、実際の臨床的挙動は若干違うかもしれませんが、加速度試験による優れたin vitro試験があり、そのデータを使って材料を比較することもできます。そしてさらに、CRはリペアできます。より優れた物理的または審美的特性を持つ新材料が利用できるようになれば、以前の修復部にそれをプラスすることが可能なのです。
田上 CR製品を選ばれるときに、考慮される一番重要なポイントは何でしょうか?
モーガン 私は実際に患者さんに使う前に、院内ラボで試してみます。例えば流動性はどうか、不透明度や透明度はどうか、重ね方、適切な研磨の方法はどうかといった点です。そうすることで新材料による治療で起こりがちな問題を避けたり、治療時間の短縮にも役立ちます。
田代 私の場合、さまざまなメーカー、シェードや流動特性の製品を実際の臨床で幅広く試してみます。幸い日本では、CRの使用は多くが保険適用となっており、幅広い患者さんに使うことができます。多くの場合、ある材料を短期間使ってみれば、その材料の性能をある程度評価することが可能です。1週間後に確認してCRのシェードが安定しており、周囲の天然歯と適合する場合、そのCRは1~2年後にもそのシェードを保つだろうと考えられます。したがって、短期間使ってみて、その結果が良好であれば、その後もその材料を使うことが多いです。
「コンポジットレジンを選択することで、治療の幅がさらに広がっていくということですね。」
東京医科歯科大学大学院 医歯学総合研究科 教授 田上順次 先生
審美的効果を得るために必要なポイントと新製品「クリアフィル マジェスティ ES‑2」
田上 では、その材料を使って適切な審美的成果を得るのに重要なポイントは何でしょうか。また色合わせについてはいかがでしょうか。
モーガン 患者さんを治療する際には時間をかけることを方針としています。そして良好な色合わせの結果を確実に得るためには、実際のCRについて自作のシェードガイドを作ることもあります。これにより、特に半透明性など、その材料が持つ色の特長を理解するのに役立ちます。また象牙質とエナメル質に重ねて、各材料の最終的な色、明度を調べます。
田代 私は適切に明度をコントロールできる性能が重要と考えています。例えば、象牙質に及ぶ比較的深い窩洞にCRを使う場合、私は第1層目にフロアブルレジンを、第2層目に象牙質シェードを、第3層目にエナメル質シェードを使います。象牙質シェードについては明度をコントロールしやすいCRをよく使います。エナメル質シェードについてはカメレオン効果、つまり天然歯質との色合わせを試みます。
田上 各シェードは製品によって色が異なりませんか?
田代 ええ、異なりますね。だからモーガン先生はご自分でシェードガイドを作られるのですね。
モーガン 自作のシェードガイドは修復対象の歯に対する実際のCRのシェード選択を評価する上で唯一の方法です。製品に同梱されているシェードガイドの多くはプラスチック製だったりして、CR自体の光学特性を正確には反映していません。その点で、今回発売されたクリアフィルマジェスティES‑2(クラレノリタケデンタル)のシェードガイドは、実際のペーストを硬化させて作製されており、大変すばらしいことだと思っています。(写真③)
田代 私の場合は、修復の審美性を事前にチェックするために、接着操作を行わずに、窩洞にレジンをテスト充填します。クリアフィルマジェスティES‑2の特長の一つである重合前後の色調変化が少ない点は、この手法を取る際に非常にメリットが大きいと感じています。(写真④)
田上 CRは半透明であるため、その下の歯や背景の色に影響を受けます。つまり、CRのシェードは、窩洞に充填した場合の見え方と異なる場合があります。治療の前後での見え方の違いをどのように解決するのでしょうか?
モーガン 歯が乾燥し始める前にシェードを選び、それを写真撮影します。これには30秒ほどしかかかりません。
色合わせをした後は、その判断に従うことが重要です。治療が進むにつれ、隣在歯が乾燥して明るくなるので、それらをガイドにして最終的なシェードを得ることはできません。最終のCR修復を終える時に隣在歯より明度を若干低くするようにします。
田上 審美歯科治療では、明度の他に歯の解剖学的形態を回復させることで、良好な審美的結果が得られるコツがあるかと思います。
モーガン 上顎歯は標準的な形態を第一に考えます。しかし歯の解剖学的な表面構造については自分で判断します。また、必ず湿潤状態と乾燥状態とで、修復すべき歯のマクロ的な解剖学的形態とミクロ的な解剖学的形態とを評価します。
田上 ミクロ的な表面構造の問題は大変複雑かと思います。田代先生はどのようにお考えですか?
田代 高度な審美性を得るうえで、私にとっての優先順位は接着、輪郭、最後に色合わせとなります。審美性を考慮する場合、ミクロ的な構造よりもマクロ的な形態を優先します。しかし、歯は口腔内にあることから、直接観察して正しい評価を行うことが難しいことが多いため、頻繁に臨床写真を取ります。
田上 では次に色についてですが、色合わせには3つの主要な要素、明度、彩度、色相があるといわれます。もちろん、それぞれに重要なのですが、審美歯科治療においては特にどの部分を重視されますか?
モーガン 明度が最も重要な要素だと思います。というのも修復部分とそれ以外の歯の違いは、明らかに明度にかかっているからです。シェードを適切に選択しても、明度が不適切であればその差はすぐにわかってしまいます。
田代 私も明度が何より重要だと思います。彩度と色相は治療後の段階でも変更することができますが、明度を変えることは困難です。もし明度を変える必要がある場合、修復を最初からやり直すべきです。特に象牙質を被覆する場合は明度を正しくコントロールしたCRで覆って、修復を8~9割完成させた時点で審美性を確認することをお勧めします。クリアフィルマジェスティES‑2は明度を軸としたVITAApproved Shade Conceptを採用しており、理にかなった製品だと感じています。また他にもCRの選択基準として優先すべき要素をカバーした扱い易い製品と捉えています。

写真③ マジェスティES‑2 シェードガイド。実際のペーストを硬化させて作製されている。
写真④ 重合前後の透明性変化、色調変化の低減。重合前後において透明性の変化、および色調の変化がほとんどないことがわかる。
「高い接着性による歯質との一体化無くして長期的なコンポジットレジン修復は成立しません。」
静岡県浜松市開業 田代浩史 先生
CR審美修復には歯質との高い接着性が不可欠
田上 お二人とも審美歯科治療において接着が基本的要素であるとおっしゃっておられます。田代先生は、どのような種類の接着材をご使用ですか?
田代 高い接着性による歯質との一体化無くして長期的なCR修復は成立しません。その条件を満たす接着材として、私はクリアフィル メガボンド(クラレノリタケデンタル)を使っています。セルフエッチングのみで十分なエッチングが得られない場合、私はメガボンドとともにエナメル質部分にKエッチャントGEL(クラレノリタケデンタル)を使います。象牙質の治療にはメガボンドのみを使います。これらの知識は、全て田上先生から学んだものです。(写真⑤)
モーガン 私の場合は、臼歯部修復には接着材としてSE Protect<日本名:クリアフィル メガボンドFA(クラレノリタケデンタル)>を使っています。この接着材が象牙質に対する接着強度にとても耐久性があることには確信を持っています。修復範囲が広い場合には、エナメル質の辺縁を選択してエッチングすることもあります。前歯部修復の接着材としては、よりよい接着を得ながら切端部分の染色を抑える目的でリン酸を用いてエナメル質表面をエッチングします。
田上 日本ではエナメル質を含んだ接着の場合、セルフエッチング材で十分なエッチング効果が得られるので、臨床的に問題はないと報告されています。しかし、特に前歯部に対してはスメア層を確実に除去するために、リン酸を用いたエッチングを追加的に行うべきという考え方もあります。この問題については明確な答えがまだないように思いますが、私は臨床的に調べる時期に来ていると思っています。
田代 これからは、すでにCR充填を施された窩洞について、審美的な再仕上げを行うことが、ますます審美修復の重要なテーマになってくると思います。このような症例では、接着はCRとCR、またエナメル質とCRの組合せの治療が多くなってくるでしょう。したがって、修復部とエナメル質との窩壁適合性を確保することが非常に重要であると私は考えています。
- 写真⑤ <田代浩史先生症例>

1.シリコン印象材を用いて口蓋側形態の印象
2.旧充填物の除去
3. 1 の近心部の形態を修正。 1 頰面エナメル質に厚めのベベル付与
4. KエッチャントGELを用いてエナメル質のエッチング処理
5. クリアフィル メガボンドFA プライマー、ボンドの順で歯面処理
6. シリコンガイドを用い、マジェスティLV:OA2で舌側に充填
7. 光重合後、シリコンガイドを除去
8. ストリップス装着、隣接面の充填
9. ストリップス除去
10. クリアフィル マジェスティES‑2 Premium:A2D、A2Eを積層充填
11. ダイヤモンドバーを用い、形態修正
12. ニッシン プラスチック ストリップス#600を用いて隣接面の研磨
13. 仕上げ研磨
14. 術前
15. 術後
米国におけるCR普及のバックグラウンド
田上 では、その材料を使って適切な審美的成果を得るのに重要なポイントは何でしょうか。また色合わせについてはいかがでしょうか。
田上 ところで、米国ではCRを採用する歯科医師が増えていると聞きます。CR修復が治療法として非常に高品質であり、治療費に見合うものであることを歯科医師は患者さんにどのように説得しているのでしょうか?
モーガン 先ほどもお話しましたように、最近の患者さんは診療所を訪れる前にインターネットで治療の選択肢を調べて来られます。さらに、よく患者さんから、自分の治療結果を計る意味から、私たちが他の患者さんで行った治療例を見せるように依頼されます。例えば、「修復にポーセレンを使った場合は、結果はこのようになります」といった具合です。CRを使うか使わないかは、患者さんの希望、チェアタイム、予算にどれだけ見合うかにかかっています。
田上 患者さんに対し、最小侵襲的なアプローチの利点をどのように強調されますか?
モーガン インターネットで得られた情報に基づく患者さんが望む治療法は必ずしもその患者さんの症例に適したものではありません。そのような場合、歯質削除をできる限り抑えられるほうがよいと説明します。
田代 そのあたりが今日モーガン先生に伺いたかったことです。日本では、ほとんどの歯科治療が保険対象であるという、特殊事情があります。保険で可能な最小侵襲的なCR修復と、審美的かつ比較的侵襲的要素の強いポーセレン修復とを単純に比較することができません。歯質保存的でかつ審美的なCR修復は、チェアータイムが長く歯科医師の高い診療技術を必要とするにもかかわらず、費用設定は保険制度によって定められています。一方のポーセレン修復は自費治療です。しかし米国では歯科治療の多くは自費ですので、治療法の選択に患者さんとして費用的要素はあまり関与しません。純粋に患者さんの望む最善の治療法を、歯科医師の最新の知識に基づいて提案することになり、症例によってはCR修復がポーセレン修復よりも大きなメリットがあることを費用面も含めて説明しやすい環境ではないかと考えています。米国の歯科教育システムにおいて、CR修復法の優位性についての教育を受ける環境は整備されているのでしょうか?
モーガン 米国では歯科教育はまだそのレベルに達していません。このレベルの治療を教える卒後プログラムは米国にもいくつかありますが、ほとんどの一般歯科医師は、そのような情報に触れることもありません。
田上 日本に来られる米国の歯科医師の多くは、モーガン先生を含め高い技術をお持ちで、また自らのスタイルを確立されていることから、私たちは米国の歯科医師はみなモーガン先生のような感じなのだろうと考えがちです。
モーガン お褒めいただきありがとうございます。学校では基本的な教育を行うだけです。米国では、学生は臨床経験を通じて多くのことを学びます。私が審美歯科学とCRについて学んだことの約95%は、大学卒業後に学んだものなのです。
田上 おそらく多くの患者さんは、日本でも、米国でも、歯科治療の詳細についてあまり知らないのだろうと思います。このため、歯科医師が患者さんとの間にしっかりした関係を築ければ、歯科医師は最善と考える治療法を提供することができます。
田代 患者さんがCRやダイレクトコンポジットレジン修復について詳しく説明を受ければ、従来の侵襲的な治療法よりも、そのような治療法を選択する可能性が高いと思います。先ほどのモーガン先生の破折歯の症例を例にとると、患者さんが侵襲的形成後のポーセレン修復とダイレクトコンポジットレジン修復という2つの選択肢を説明されたら、もし費用が同じで来院数が少なく、歯の切削量も少なければ、当然CR治療を選ぶでしょう。残る問題は歯科医師がよい結果を患者さんに保証できるかどうかだけです。
ダイレクトコンポジットレジン修復は歯と体にやさしい歯科治療法
田上 では、その材料を使って適切な審美的成果を得るのに重要なポイントは何でしょうか。また色合わせについてはいかがでしょうか。
田上 お二人は、CRを用いたダイレクトコンポジットレジン修復が選択すべき治療法であると考えておられるようですね。この治療法の信頼性についてお二人が非常に確信を持っておられるので、治療法に対するその信念が患者さんにも伝わり、患者さんと良好な関係を築き、優れた歯科治療を行うことが可能になるのでしょう。
田代 おそらくそうだと思います。
田上 「体にやさしい」とか「人にやさしい」など、この種のキャッチフレーズは日本ではよく聞かれます。ダイレクトコンポジットレジン修復は、「歯にやさしく、体にもやさしい」歯科治療ということができます。そして、良い審美的結果をもたらします。そのうえ、私たち歯科医師にとって、この治療法は実は楽しいものでもあるのです。この治療法に習熟すればするほど、さらに施術を楽しめるようになります。今朝、私はある患者さんの治療をうまく終えてきました(笑)。患者さんに鏡を見せ、「この治療法の結果は患者さんによって仕上がりが違いますが、今日の結果は最高でした」と言うと、患者さんは大変満足されていました。
モーガン CR修復はまだ適切に評価されてはいません。私は歯科治療におけるCRの重要性をこれからも多くの人に広めていきたいと思っています。
田上 米国はチャレンジ精神、パイオニア精神にあふれた国です。先生が成功を収められることを祈っております。
同じ筆者の記事を探す【 田代 浩史 】
モリタ友の会会員限定記事
- 196号 Interview 開業・改装を目指す先生方へのヒントに(1) 院内システム構築の際に最優先で取り組むべきポイントとは
- 189号 Dental Talk 世代の異なる3名の臨床家が語る「 II級コンポジットレジン修復」の現在と未来
- 183号 Clinical Report コンポジットレジン2級修復の長期予後とリペア
- 179号 Clinical Report 2級コンポジットレジン修復の成功に繋がる6つの心掛け-後編-
- 178号 Clinical Report 2級コンポジットレジン修復の成功に繋がる6つの心掛け-前編-
同じ筆者の記事を探す【 田上 順次 】
モリタ友の会会員限定記事
- 195号 Topics 有機と無機の技術シナジー クラレノリタケデンタル、唯一無二の挑戦
- 139号 特集3 低濃度フッ素およびPOs-Ca配合ガム咀嚼による初期う蝕への効果
- 139号 特集1 新しい接着システム「クリアフィルボンドSE-ONE」と『クリアフィルDCコア オートミックスONE』の特長 その材料学的特性と臨床応用について
- 114号 TRENDS クリアフィルトライエスボンドの特徴
- 114号 TALK 1ステップボンドの特徴と臨床応用 -クリアフィルトライエスボンドによる最新の接着修復-
目 次
モリタ友の会会員限定記事
他の記事を探す
モリタ友の会
セミナー情報
会員登録した方のみ、
限定コンテンツ・サービスが無料で利用可能
オンラインカタログでの製品の価格チェックやすべての記事の閲覧、臨床や経営に役立つメールマガジンを受け取ることができます。
商品のモニター参加や、新製品・優良品のご提供、セミナー優待割引のある、もっとお得な有料会員サービスもあります。





















