146号 AUTUMN 目次を見る
■目次
- ≫ はじめに
- ≫ これまでの睡眠時ブラキシズム評価
- ≫ BiteStrip®の解説
- ≫ 臨床試用の一例
- ≫ まとめ
■はじめに
歯科補綴学は欠損した歯質や歯、咀嚼機能を回復させる治療学であり、古くから生体のメカニカルストレスに対して、どのように人工の補綴物を長期にわたり機能、維持させるかが求められてきた。
生体のメカニカルストレスの最たるものは咬合力であるが、それ以外にも残存歯、補綴物の双方に影響を及ぼすものがブラキシズムである。
ブラキシズムには、日中に行われるものと就寝中に行われるものがあるが、就寝中に行われる睡眠時ブラキシズムでは、意識下での咬合力以上の筋活動が発揮されることもある。
そのため睡眠時ブラキシズムは、顎関節疾患や歯周疾患の増悪因子としてだけでなく、補綴治療の治療方針の段階からその予後までを左右する重要な因子といえる(図1、2)。

図1 48歳 女性、左側下顎臼歯部インプラント上部構造破損症例。
図2 45歳 男性、右側上下顎臼歯補綴物咬合面の破損症例。
■これまでの睡眠時ブラキシズム評価
この歯科全般に関わる睡眠時ブラキシズムは、その発現が就寝中に行われることから、これまで定量的な評価が困難であった。
従来の評価方法には起床時の顎や歯肉の違和感といった本人の自覚症状やベッドパートナーからの報告、頰粘膜や舌の圧痕、歯質の咬耗、口腔アプライアンス装着時の咬耗などがある(図3~5)。しかしながら、これらの評価法の中には妥当性に疑問が持たれているものもあり、また定量的な評価が困難であった。
その後、Electromyography(EMG)やPolysomnography(PSG)による就寝中の咀嚼筋の筋活動量を継続的に計測することにより、咀嚼筋の異常亢進の頻度、程度から睡眠時ブラキシズムの評価が行われるようになった。これらの評価方法は、Video recordingを併用することにより、その客観性かつ信頼性は非常に高くなり、現在でも評価方法の黄金律となっている(図6)。
しかしながらPSG検査を受ける場合には、被検者は睡眠研究室に入院する必要があり、携帯型のEMG検査においても種々の電極やケーブルを装着して就寝しなくてはならない。そのため、被検者の身体的、経済的負担が大きい点が弱点として挙げられている。
そのような中、2004年にイスラエルのS.L.P.社より一体型の簡易貼付型筋電図(BiteStrip®)が開発される運びとなった。このBiteStrip®は、従来のEMG検査やPSG検査と異なり、電極と解析装置が一体化されている。そのため被検者は電極やケーブルによる不快な思いをすることなく、平生の睡眠環境下である自宅にて検査を行うことができるようになった。

図3 歯列に一致した舌表面の圧痕。
図4 重度の咬耗を呈する一症例。
図5 スプリント表面の咬耗。
図6 Polysomnography(PSG)にvideo recordingを追加したブラキシズム検査風景(当科の睡眠研究室)。
■BiteStrip®の解説
●検査方法
本邦に輸入されるBiteStrip®には、本体、皮膚清拭用のアルコールパッド、木製スパチュラ、取扱説明書が梱包されている(図7)。またBiteStrip®には通電物質を含むジェルが貼付されており、その乾燥を防ぐため個別に包装されている(図8)。
まず被検者に、顔面皮膚上より左側咬筋の位置を確認してもらう(図9)。その後、付属のアルコールパッドにて咬筋部の皮膚を清拭し、乾燥させる(図10)BiteStrip®は図に示すように、CPU部、ディスプレー部と本体反対側の電極部から構成される(図11)。
使用に際して、まずアルコールパッドにてディスプレー部を清拭し(図12)、その後付属のグリーンステッカー(緑色のシール)を貼付する(図13、14)。このグリーンステッカーには通電物質が含まれており、貼付によりBiteStrip®の回路が通電し、計測が可能となる(図15)。
その後、皮膚貼付面(電極面)のシールを剥がし(図16)、電極が左側咬筋の筋繊維の走行に垂直となる位置にBiteStrip®の電極部分が一致するように貼付する。貼付位置は、上下的には、口角と耳珠下縁を結ぶ線上が望ましい(図17、18)。
貼付後、被検者には中心咬合位もしくは付属の木製スパチュラを臼歯部に介在させた状態にて3秒間、最大噛み締めでの咬合を3回程度行うよう指示する。
BiteStrip®は、この最大噛み締め時の咬筋筋活動量を記録し、その一定値を筋活動量の閾値として記録する。同時に、筋活動を感知した際には付属のLEDライトを点灯させるため、BiteStrip®が正常に機能しているか知ることもできる。
BiteStrip®は、顔面皮膚貼付30分経過後から4時間30分間の咬筋筋活動の持続的計測を行う。そのため被検者は、貼付終了後は速やかに睡眠を開始するのが望ましい。
また、計測中にBiteStrip®が剥がれた場合、特に被検者自身が無意識にBiteStrip®を剥がしてしまう場合には正確な計測結果が得られない。
起床後には、被検者に慎重にBiteStrip®を頰部皮膚より剥がすよう指示する。なおBiteStrip®は、頰部皮膚より剥離した後、約30分間経過後にディスプレー部の化学変化によりスコアを表示する。そのため、BiteStrip®を顔面から外した後、少なくとも30分間はグリーンステッカーを剥がさないよう注意を促す必要がある。もしくは、不適切な使用により貴重なデータの喪失を防止するため、被検者にはグリーンステッカーを剥がすことなく医療機関を受診させる方が良い。
●検査結果
図19にBiteStrip®の計測結果の一例を示す。検査終了後、グリーンステッカーを剥がすとディスプレー部に図のようなL、1、2、3といった表示がなされている。
「L」は、計測時間内に就寝前の最大噛み締め時の筋活動量の一定閾値を超える筋活動量を記録した回数(=ブラキシズムイベント数)が30回以下を示す。同様に、「1」は31回から60回、「2」は61回から100回、「3」は101回以上のブラキシズムイベント回数が記録されたことを示す。
なお、計測時間が短い場合、センサーの接着が不十分であった場合には、「E」が表示される。また、皮膚の特性上計測できない場合には、ディスプレー部に「―」が表示される。

図7 BiteStripの内容物。
図8 BiteStrip本体は、個別包装され有効期限が明記されている。
図9 被検者に左側の咬筋の位置を確認させる。
図10 付属のアルコールパッドにて、頰部皮膚上の皮脂を除去させる。
図11 BiteStripの内部。バッテリー、CPU、ディスプレーが一体型となっている。背面には、咬筋の筋電図を記録するための電極がある。
図12 付属のアルコールパッドで、ディスプレー部を清拭する。
図13 通電物質が含まれたグリーンステッカー(緑のシール)が付属している。
図14 付属のグリーンステッカーをディスプレー部に貼付する。
図15 グリーンステッカーを貼付した後、回路の通電がなされLEDライトが点灯する。
図16 電極面のシールを剥がす。
図17 電極が、前もって確認した咬筋の位置に一致するように、鏡を見ながらBiteStripを貼付させる。
図18 BiteStripの貼付風景。

図19 BiteStripの測定結果。
■臨床試用の一例
<症例1>
有志被検者である45歳女性を対象に10日間連続してBiteStrip®を装着し、ブラキシズムレベルを計測した。
この結果より、ブラキシズムレベルには日差変動があることが分かる(図20)。そのため、ブラキシズムレベルを計測する際には、1日(1夜)だけの検査ではなく、複数夜の計測結果から個人のブラキシズムレベルを判定するのが望ましいことがわかる。
<症例2>
53歳男性、大開口時の左側顎関節部の疼痛を主訴に来院。臨床診査、MRI撮像より左側顎関節の非復位性関節円板前方転位と診断した。
一方、デンタルX線写真より残存歯周囲に多数の垂直的骨吸収部位を認めた(図21)ため、BiteStrip®による睡眠時ブラキシズムレベルの検査を行った。その結果、2日間の検査で2日ともScore 3が示され、重度のブラキシズムを呈していることが分かった。
そのため、歯周初期治療に加え、メカニカルストレスのコントロールの目的で口腔アプライアンスを処方し使用させた。口腔アプライアンス処方直後にブラキシズムレベルを2日間計測させたところ、Score L、Score 2に減少し、顎関節部の疼痛、起床時の顎のだるさと言った自覚症状は改善した(図22)。
<症例3>
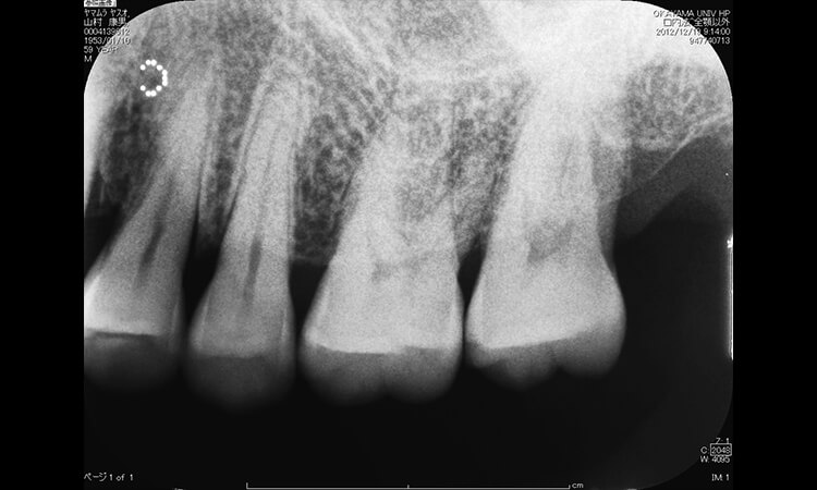
60歳男性、左側下顎大臼歯部欠損による咀嚼障害を主訴に来院。インプラントによる補綴治療を行ったところ、プロビジョナル・レストレーション装着直後より上顎左側小臼歯部に咬合時痛を自覚。デンタルX線写真からは、同部の明瞭な歯槽硬線を認めた(図23)。
同時に、咬合時に上顎左側第一小臼歯に軽度の動揺(フレミタス)を認めた(図24)。
睡眠時ブラキシズムを計測したところ、2日間の検査で共にScore 3であった。インプラント上部構造装着により主咀嚼部位が変化すること、高頻度にブラキシズムを呈す者はjiggling forceによる歯の動揺度が大きいことが報告されている。そのため本症例は、インプラント上部構造装着による習慣性咬合部位の変化ならびに重度のブラキシズムによる外傷性咬合に起因した疼痛と診断し、上顎左側第一小臼歯の咬合調整を施行した。
その後、疼痛は寛解したが、今後も継続した咬合状態の診査が必要と思われた。

図20 10日間連続して計測した結果。スコアにばらつきがあるのが分かる。
図21 初診時のデンタルX線写真。水平的骨吸収に加え、多数の原因不明の垂直的骨吸収を認める。
図22 口腔アプライアンス装着前後のBiteStripスコア。アプライアンス装着によりブラキシズム頻度が減少したことが分かる。
図23 咬合痛を訴えた左側上顎臼歯部のデンタルX線写真。小臼歯部の明瞭な歯槽硬線を認める。
図24 写真左から、安静時、早期接触時、咬合時の口腔内写真。咬合時に、上顎左側第一小臼歯部の早期接触ならびに咬合時の同歯の偏位を認めた。
■まとめ
歯ぎしりセンサー「BiteStrip®」は、本邦で雑品として2005年より正式に輸入が開始された。しかしその後、製造会社の変更により製造が中止され、本邦での販売も中止となった。
今回の本邦でのBiteStrip®再販売により、再び睡眠時ブラキシズムの簡便で客観的な評価が可能となる。
今後は、本ツールを臨床現場で活用し、睡眠時ブラキシズムによるメカニカルストレスという新たな視点を臨床に取り入れていただければ、先生方の治療法選択の客観性や妥当性が飛躍的に向上するものと確信する。
目 次
モリタ友の会会員限定記事
- 特別インタビュー 歯科用マイクロスコープが示す理想の歯科医療環境
- 特別座談会 輝く女性デンティストに聞く 使える!マイクロスコープ、ワタシ流マイクロスコープ活用法
- Clinical Report 「ライカM320」で見える歯科医療を ~患者さんと繋がる確かなコミュニケーションツールとして~
- Clinical Report 「ライカM320」によるデジタルコミュニケーションのすすめ ~「Eye-Fiカード」&「iPad」活用法~
- Clinical Report クリアフィルマジェスティESフローの臨床応用
- Clinical Report 歯ぎしりセンサーバイトストリップの臨床試用
- Clinical Report 困った時の奥の一手として強い味方 ~ボンドフィルSBの応用~
- Trend 低融点金属から高融点金属までの鋳造を幅広くサポートする高周波吸引加圧鋳造器『エアロマーズSV』
- スペースライン誕生50周年特別企画 スペースラインユーザー INTERVIEW
他の記事を探す
モリタ友の会
セミナー情報
会員登録した方のみ、
限定コンテンツ・サービスが無料で利用可能
オンラインカタログでの製品の価格チェックやすべての記事の閲覧、臨床や経営に役立つメールマガジンを受け取ることができます。
商品のモニター参加や、新製品・優良品のご提供、セミナー優待割引のある、もっとお得な有料会員サービスもあります。
























