164号 SPRING 目次を見る
目 次
はじめに
日々の診療の様々な場面において、歯面のバイオフィルム除去は必須である。しかし、限りある診療時間の中でその作業に費やす時間配分や、清掃器具の使い方によっては歯面清掃が不十分になってしまうこと、補綴修復物に傷をつけてしまうことなどが問題となってくる。
特に歯周ポケット内に停滞しているバイオフィルムやインプラント周囲に付着しているバイオフィルムは、支持組織に炎症をもたらす要因となりうるため、歯面だけでなく根面・補綴物・インプラントに対して侵襲の少ない歯面清掃器具を用いて除去することが必要となってくる。
今回リニューアルしたエアフローハンディ3.0 Plusには、縁下にアクセスできる「ペリオフローノズル」が新しく導入された(図1〜3)。歯周基本治療終了後のメインテナンスやインプラントメインテナンスにも対応できるようになり、歯科衛生士業務だけでなく全ての臨床に対して応用できる歯面清掃器具である。
-

図1 エアフローハンディ3.0PlusにエアフローハンドピースPlusを装着。
-

図2 エアフローハンディ3.0PlusにエアフローハンドピースPlusを装着し噴射。
-

図3 エアフローハンディ3.0Plusにペリオフローハンドピース、ペリオフローノズルを装着。
短時間で侵襲の少ないバイオフィルム除去
普段の臨床においては、歯面と歯肉溝周囲のバイオフィルム除去を目的とする「ハンディパウダーPMTC」(図4)の使用用途が多い。
セルフケアで上手くブラッシングできているように見える歯列不正患者の場合でも、プラーク染色液で染め出しをすると隣接面周囲に厚みのあるバイオフィルムが残存していることが窺える(図5〜7)。
歯肉溝周囲の清掃に使用する際は、ノズル先端を歯肉溝に対して直角に向けないように注意することが必要である。歯肉溝とノズル先端には30〜60°の角度をつけ、歯肉溝から3〜5mm離した状態で清掃する(図8)。
縁下4mm程度までを清掃できるため、歯肉炎の箇所には術後多少出血を伴ったが、1時間後には鎮静した(図9、10)。
「ハンディパウダーPMTC」は石灰化していないバイオフィルムであれば、短時間で容易に除去することが可能であると言える。また、矯正治療中の患者のブラケットやワイヤー、バンド周囲などのPTCに使用しても装置を傷付けることなく清掃できる。パウダーの作用でPTC後の歯面への舌感も良いようである(図11、12)。
コンポジットレジン修復の窩洞形成前処置、補綴物装着前処置、シーラント填塞前処置など臨床におけるバイオフィルム除去への使用など用途は多岐にわたる(図13)。
補綴修復物が装着されたケースや、インプラント上部構造周囲にも使用できるため、歯科衛生士が行うメインテナンスにおいても、歯面・歯肉溝へのノズル先端の角度と使用するパウダーを適切に選択することで侵襲の少ないバイオフィルム除去を行うことができる。また、タービンホース直結で使用するため器材の準備・収納が容易であり、軽量であることで手指の疲労感も少ないと感じる(図14)。
-

図4 ハンディパウダーPMTC
-

図5 歯列不正患者の口腔内。
-

図6 染め出しをした状態。
-

図7 下顎前歯部の状態
-

図8 ノズルの当て方を模型上にて解説。歯肉溝とノズル先端には30〜60°の角度をつけ、歯肉溝から3〜5mm離した状態で清掃する。
-

図9 エアフローハンディ3.0Plusを用いて清掃後。
-

図10 清掃後1時間後の状態。
-

図11 矯正治療中の患者の口腔内。
-

図12 矯正装置の清掃。バイオフィルムの付着状況からPMTCパウダーを選択した。
-

図13 小窩裂溝の清掃
-

図14 エアフローハンディ3.0Plusをタービンホースに接続。
インプラントメインテナンスにおける有効性
メインテナンス来院時に、患者自身がセルフケアで使用している歯ブラシ・歯間ブラシ・ワンタフトブラシ・フロスなどを用いてプロフェッショナルケアを行うことは、正しいブラッシング圧やストローク、磨き癖などを患者自身に再認識してもらうことができる。
しかし、インプラント上部構造に付着したバイオフィルムとともに沈着した石灰化物や着色を除去する必要がある場合、何かしらの機械的歯面清掃器具を用いることになる。
プロフェッショナルケアにおいて頻繁に使用する機械的歯面清掃器具として、エアスケーラー、PMTCコントラがあげられる。これらの器具とエアフローハンディ3.0の特徴を理解することが必要となってくる。
タービン回路に接続して使用するエアスケーラーのブラシチップは空気圧によって振動するため、補綴物や歯肉溝、チタン表面に対しても為害作用は少ない。注水下で水流と振動の音波効果によってバイオフィルムを破壊し洗い流す。しかし、厚みのあるバイオフィルム除去には多少の時間を費やす。
PMTC用コントラとラバーカップを用いた接触型回転式歯面清掃器具は、インプラント上部構造に使用する際は研磨効果を期待することよりも、バイオフィルム再形成の遅延化を目的として使用している。
歯頸部や歯肉縁下にも入る軟らかいラバーカップやコーンを上部構造形態に合わせて選択し、低速回転で使用する。その際使用する歯面研磨剤においては、以前は研磨粒子の細かいRDA5〜15のものを使用し上部構造に傷をつけないように考慮していたが、現在筆者はインプラント専用ペーストや、研磨剤・発泡剤・フッ化物無配合のジェルを用いている。
非接触型歯面清掃器具のエアフローハンディ3.0 Plusは、インプラントメインテナンスに充分対応できると思われる。上部構造やチタン表面への為害作用が少なく、縁上と縁下のバイオフィルムを短時間で除去することが可能である。
また、今回新たに導入された「ペリオフローノズル」を用いることで、縁下4mm以上のインプラント周囲粘膜炎やインプラント周囲炎にも対応できるようになった(図15〜17)。
-

図15 インプラントを埋入したX線写真。
-

図16 図15の口腔内写真。
-

図17 歯頸部清掃中の様子。
縁下のバイオフィルム除去
エアフローハンディ3.0 Plusはノズルからの水流とパウダー噴出によって、歯肉縁上のバイオフィルムとともに歯肉溝周辺(縁下3mm程度)のバイオフィルム除去が可能であったが、「ペリオフローノズル」は縁下4mm以上に対応できるため、インプラントメインテナンスや歯周基本治療終了後のSPTなどにも応用できるようになった。
歯周基本治療後、残存した歯周ポケットに対してデブライドメントを行う際、使用する器材のひとつとして超音波スケーラーのデブライドメントチップがあげられる。
デブライドメントチップを用いて、超音波スケーラーのパワーを考慮しながらポケット内バイオフィルムを除去するのだが、その口腔内には補綴物が装着されている場合も多い。
チップの使い方を誤り過剰に根面に当ててしまうことや、パワーコントロールがオーバーになれば容易に根面や補綴物に細かい傷が入ることになってしまう。その傷がプラークリテンションファクターとなってしまうため、術者側の手技の熟練度が必要ともなってくる。
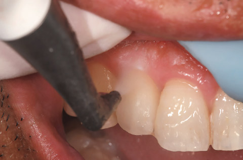
根面、補綴物、歯周組織などを損傷することなく、縁下バイオフィルムを除去できるのが「ペリオフローノズル」の特徴である。
「ペリオフローノズル」の先端は軟らかく、歯牙の形態に沿って操作できる。プローブと同じ角度でポケット内に挿入できるため、隣接面へのアクセスも容易である(図18、19)。
「ペリオフローノズル」の先端を見ると、水流が噴出される部分とパウダーが噴出される部分が分かれており、チップ先端から根尖方向には水流だけが、チップ側面からはエアーとパウダーが噴出するようになっている(図20)。
歯周基本治療が終了し、残存した6〜7mm程度の縁下に対して使用することが多いが、1歯5秒以内でゆっくり細かく往復運動するようにデブラーキングすることにより、根面やインプラント周囲のバイオフィルムを除去していく(図21〜23)。
エアフローハンディ3.0は以前のように、歯面や歯肉溝周囲のバイオフィルムとステイン除去を目的とした使い方だけではなく、SPTやインプラントメインテナンスにおいても応用できるようになった。
歯周ポケット内のデブライドメントオプションのひとつとして、パウダーメインテナンスの導入は必要であると考える。
-

図18 縁下にプローブを挿入
-

図19 プローブと同じようにペリオフローノズルを縁下に挿入。
-

図20 ペリオフローノズルから噴射している様子。
-

図21 歯周治療中のX線写真
-

図22 図21の口腔内。プロービング値6〜7mm。
-

図23 ペリオフローノズルにて清掃。
考察とまとめ
歯周治療後やインプラント治療、矯正治療後の患者は長期にわたって経過を診ていく必要がある。
メインテナンスにおいて、歯周炎の再発やインプラント周囲炎の発症を避けるためにもバイオフィルム除去は必須となってくる。
患者自身のセルフケア技術を向上させることはもちろんであるが、我々医療従事者がプロフェッショナルケアを行う際、動的治療中は「病気を治すため」に、そしてメインテナンスに入ってからは「健康を守るため」にバイオフィルムを除去する、という考え方で様々な清掃器具を使い分けることも必要であると考える。
- 1)和智貴紀・牧平清超・松井孝道:インプラントケアのノウハウ〜インプラントの特性に応じたメインテナンス時の“選択”,〜歯界展望別冊,Vol.128,No.2,2016-8.
- 2)武内博朗・富沢利予・横溝明子・土光宜行:PMTCに代わる歯面清掃器ハンディジェットの有効性,歯科衛生士,Vol.33,No.12,2009.
目 次
モリタ友の会会員限定記事
- Trends 障害者(児)・高齢者のための新しい1-day 補綴治療
- Clinical Report 装着時の誤飲・誤嚥を防ぎ、安全性を高めるキッズクラウンwithリング
- Clinical Report 新型開口訓練器「ヤセック開口訓練器」の臨床応用
- Trends 3Dプリンター「カタナ® 3DプリンターDWS-020D」について
- Clinical Report 窩洞の大きさで異なる2級修復のガイダンス −マトリックスシステムの選択方法−
- Field Report メタルフリーを実現するCAD/CAM技術の方向性と合致した接着テクノロジー
- Field Report クオリティの高いダイレクトボンディングを実現するコンポジットレジンとそれをアシストする充填器
- Close Up 食べられる口づくりの実践と患者に寄り添う口腔ケア・口腔リハビリ
- Clinical Report エアフローハンディ3.0Plusを用いたメインテナンスについて
他の記事を探す
モリタ友の会
セミナー情報
会員登録した方のみ、
限定コンテンツ・サービスが無料で利用可能
オンラインカタログでの製品の価格チェックやすべての記事の閲覧、臨床や経営に役立つメールマガジンを受け取ることができます。
商品のモニター参加や、新製品・優良品のご提供、セミナー優待割引のある、もっとお得な有料会員サービスもあります。






















