189号 SUMMER 目次を見る
Clinical Report
新規骨補填材ボナーク®を用いたインプラント治療
キーワード:骨補填材/サイナスリフト/ソケットプリザベーション
目 次
- ≫ はじめに
- ≫ ボナークの基礎と臨床(治験症例)
- ≫ 症例の概要 サイナスリフト
- ≫ 症例の概要 サイナスリフト待時埋入
- ≫ 症例の概要 ソケットプリザベーション
- ≫ 処置および経過
- ≫ まとめ
はじめに
インプラント治療は、欠損補綴治療における選択肢として、満足度やニーズを含めて近年さらに高まっている。しかし、インプラント治療を希望されても、顎堤萎縮により治療がより複雑になるケースも多く、骨造成を併用したインプラント治療が必要とされる場合も多く存在する。そのため、これまで様々な移植材が臨床応用され、インプラント埋入に必要な骨形成やオッセオインテグレーションに関する研究・開発がなされている。
骨造成に用いられる移植材として、自家骨がもっとも古くから用いられている。しかし、自家骨の採取による手術侵襲により患者の身体的な負担が大きくなる。そのため、自家骨代替材料として、これまで多くの骨補填材が開発され、様々な骨造成に用いられてきた。β-TCP、HA、牛骨由来HAは良好な骨形成をみとめるものの適応外使用として用いられてきた背景がある。
近年、サイナスリフトに用いる骨補填材として、OCP/Collagen(ボナーク)が薬事承認され、インプラント治療を前提とした既承認の骨補填材による骨造成手術への応用が可能となっている。
ボナークの基礎と臨床(治験症例)
ボナークとは、リン酸オクタカルシウム・コラーゲン複合体(OCP/Collagen)で、顎裂部、囊胞摘出腔への骨再生に対して、東北大学の鈴木治教授らのグループが開発し、コラーゲン使用人工骨として、2019年薬事承認され、2022年東洋紡株式会社より上市された(図1)。ボナークの成分であるOCPは骨芽細胞から骨細胞への分化を促進させることが報告されている1、2)。骨形成の主成分であるOCPは粉末状のため、Collagenとのハイブリット化により、新生骨が多く形成されるスポンジ体の吸収性骨補填材である。ボナークは、X線透過性で経時的に不透過像を示す、抜歯窩モデルではコントロールと比較し、本材埋入後3か月でX線不透過性を得ることが報告され、ソケットプリザベーションなどのインプラント埋入前の治療に有用である3)。
ボナークには、1000μmのOCP顆粒/ブタ真皮由来病原体不活化コラーゲン複合体として、直径9mmで厚さ1.5mmのディスク体と直径9mmで厚さ10mmのロッド体がある。血液などの体液に浸漬すると軟らかくなり、変形してくれるため、形の異なる抜歯窩やサイナスリフト部へ容易に挿入可能である (図2、3)。
治験症例では、上顎洞底挙上術1回法(サイナスリフト同時埋入)で7例、上顎洞底挙上術2回法(サイナスリフト待時埋入)で32例、ソケットプリザベーションで8例、嚢胞摘出症例で5例、顎裂症例で8例に用いられ、安全性とともに自家骨に置換する骨補填材であることが報告されている2、3)。
これらの報告では、上顎洞底挙上術1回法は、術前既存骨は4.7mm、術後3か月14.6mm、術後6か月13.8mm、術後1年13.7mmに挙上、上顎洞底挙上術2回法では、術前既存骨は3.4mm、術後3か月16.8mm、術後6か月14.4mm、術後1年14.3mmであった4)。また、CT値(HU)では、上顎洞底挙上術1回法、2回法ともに、術後3か月で204.6~231.6HU、術後6か月で234~294.4HU、術後1年では369.1~406.7HUと報告され、良好な骨形成がなされている(図4)5)。
![[写真] OCP/Collagen ボナーク添付文書](/academic/dentalmagazine/wp-content/uploads/sites/2/2024/06/189-9_photo01.png)
図1 OCP/Collagen ボナーク添付文書![[写真] OCP/Collagen ボナークの特徴](/academic/dentalmagazine/wp-content/uploads/sites/2/2024/06/189-9_photo02.jpg)
図2 OCP/Collagen ボナークの特徴![[写真] OCP/Collagen ボナークの形状](/academic/dentalmagazine/wp-content/uploads/sites/2/2024/06/189-9_photo03.jpg)
図3 OCP/Collagen ボナークの形状![[写真] サイナスリフトの骨補填材 ボナーク骨高径とCT値および病理組織像](/academic/dentalmagazine/wp-content/uploads/sites/2/2024/06/189-9_photo04.jpg)
図4 サイナスリフトの骨補填材 ボナーク骨高径とCT値および病理組織像(文献5 引用改変)
症例の概要 サイナスリフト
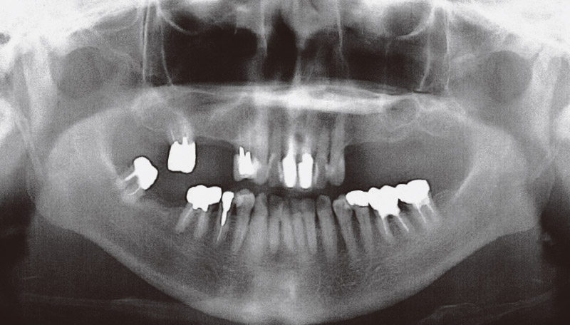
患者は60代女性で、両側上顎臼歯部欠損のため、義歯を使用されていたが、違和感が強く、インプラント治療目的に当科紹介受診した。既往歴に特記事項なく、パノラマX線およびCT像では、両側上顎臼歯部に上顎洞底が拡大し、相対的顎堤萎縮を認めた (図5、6)。
術前シミュレーションとして、デジタルワックスアップを行い、埋入位置を確認し、埋入部既存骨が2~3mmであったため、治療計画として、ボナークを用いた両側サイナスリフト後、待時埋入としてインプラント体を埋入する予定とした。さらに、右側サイナスリフト6か月後にインプラント埋入と同時に左側サイナスリフトを計画していたが、患者希望もあり、右側はサイナスリフト12か月後で左側はサイナスリフト6か月後でインプラント体を埋入することとなった。
静脈内鎮静法および局所麻酔下に、歯肉を切開剥離、粘膜骨膜弁を作成し、ラウンドバーを用いて側方アプローチによるサイナスリフトを行った(図7、8)。上顎洞粘膜は比較的容易に剥離、挙上できた(図9)。
骨窓形成終了後の上顎洞粘膜挙上中に同時進行で、静脈血3cc程度採血を行い、ボナークのディスク体をシャーレに移し、血液に浸漬させた(図10)。上顎洞粘膜の挙上部に口蓋側、近心側、遠心側の順で、ボナークを填入し、スペースメイキングを行った後、最後にボナークを骨窓部周囲に填入した(図11、12)。
最終的にディスク35枚のボナークを使用した。開洞部骨片を復位し、GBR用吸収性メンブレンで被覆後に閉創した。サイナスリフト直後のパノラマX線、CT像では上顎洞粘膜の穿孔によるボナークの漏出などは認めなかった。術後6か月のパノラマX線、CT像では、右側上顎洞底が挙上され、挙上部に皮質骨様の不透過像が確認され、内部も骨髄と同様の不透過像であった。左側も同様にサイナスリフトを施行した。両側サイナスリフト後、感染などの徴候もなく良好に経過した。
右側は12か月後、左側は6か月後のパノラマX線、CT像では、骨高および骨幅ともに十分で、右側12か月の経過で、骨形成がさらに進んだと思われ、上顎洞底部は皮質骨様構造が確認され、内部は骨髄様の不透過性が亢進していた(図13~15)。
サイナスリフト術直後の挙上は20~21mmで 術後1年で15~16mmと骨高が減少し、術直後に対する骨高の維持率は、78%であった。診断シミュレーションソフトSimplantにおける仮想CT画素値では、サイナスリフト術直後画素値が120~140、6か月で350、12か月では420であった。良好な骨形成がなされており、インプラント体を埋入することとした。
![[写真] 術前パノラマX線写真](/academic/dentalmagazine/wp-content/uploads/sites/2/2024/06/189-9_photo05.jpg)
図5 術前パノラマX線写真![[写真] 術前CT像](/academic/dentalmagazine/wp-content/uploads/sites/2/2024/06/189-9_photo06.jpg)
図6 術前CT像(株式会社モリタ製作所 Veraview X800にて撮影)![[写真] 歯肉を切開](/academic/dentalmagazine/wp-content/uploads/sites/2/2024/06/189-9_photo07.jpg)
図7 歯肉を切開![[写真] 埋剥離側方アプローチによる骨窓形成](/academic/dentalmagazine/wp-content/uploads/sites/2/2024/06/189-9_photo08.jpg)
図8 埋剥離側方アプローチによる骨窓形成![[写真] 剥離子を用いて上顎洞粘膜を挙上](/academic/dentalmagazine/wp-content/uploads/sites/2/2024/06/189-9_photo09.jpg)
図9 剥離子を用いて上顎洞粘膜を挙上![[写真] 血液にボナークを浸漬](/academic/dentalmagazine/wp-content/uploads/sites/2/2024/06/189-9_photo10.jpg)
図10 血液にボナークを浸漬![[写真] 上顎洞粘膜挙上部にボナークを填入](/academic/dentalmagazine/wp-content/uploads/sites/2/2024/06/189-9_photo11.jpg)
図11 上顎洞粘膜挙上部にボナークを填入![[写真] 上顎洞粘膜挙上部にボナークを填入終了時](/academic/dentalmagazine/wp-content/uploads/sites/2/2024/06/189-9_photo12.jpg)
図12 上顎洞粘膜挙上部にボナークを填入終了時-
![[写真] 術前パノラマX線写真(右側:術後6か月](/academic/dentalmagazine/wp-content/uploads/sites/2/2024/06/189-9_photo13.jpg)
図13 術前パノラマX線写真(右側:術後6か月 左側:術直後)![[写真] 術前パノラマX線写真(右側:術後12か月](/academic/dentalmagazine/wp-content/uploads/sites/2/2024/06/189-9_photo14.jpg)
図14 術前パノラマX線写真(右側:術後12か月 左側:術後6か月)
![[写真] CT像経過](/academic/dentalmagazine/wp-content/uploads/sites/2/2024/06/189-9_photo15.jpg)
図15 CT像経過
この記事はモリタ友の会会員限定です。登録すると続きをお読みいただけます。
残り 2477 文字
目 次
モリタ友の会会員限定記事
- Dental Talk 世代の異なる3名の臨床家が語る「 II級コンポジットレジン修復」の現在と未来
- Clinical Report これからの直接法II級CR修復 新ストラテジー -ストラタG システムとコンポジタイト3D システムの活用法-
- Case Report 効率アップを目指そう!「適合性の優れた隔壁」がII級コンポジットレジン修復にもたらすメリット
- Trend Watching 歯科大学教育におけるMIに基づいたII級窩洞コンポジットレジン修復の現在
- Interview 現在、II級コンポジットレジン修復は日々の臨床に欠かせない術式になっています
- Field Report II級窩洞に対するMIに則った治療プランの提案事例
- Clinical Report 義歯のキレイをキープする-「キレイキープTM」の効果を有効に発揮させるために-
- Clinical Report Er:YAGレーザーを用いた歯周治療の有用性-患者の利益を最優先に考えた治療の実践-
- Clinical Report 新規骨補填材ボナーク®を用いたインプラント治療
- Clinical Report SPIイニセルインプラントを用いた審美エリアにおける抜歯後即時インプラント埋入
- Field Report あるべき下顎の位置を導き出し理想的な咬合を実現するために欠かせない「K7エバリュエーションシステムEX Black」
- Technical Report セラビアン®ZRにおけるオパシティコントロールの1提案
- Field Report 歯間部に溜まった食渣やプラークを水の力で除去する口腔洗浄器
- Field Report 口腔機能発達不全症への取り組みとガムを用いた口腔機能トレーニング
- Interview 「ご家族以外に口腔ケアに関心を持つ人を増やしたい」という思いから訪問歯科診療を実践
- Topics 「感動を持ち帰る」そんな歯医者さんに通いたい 歯科におけるコミュニケーションについて考える。
他の記事を探す
モリタ友の会
セミナー情報
会員登録した方のみ、
限定コンテンツ・サービスが無料で利用可能
オンラインカタログでの製品の価格チェックやすべての記事の閲覧、臨床や経営に役立つメールマガジンを受け取ることができます。
商品のモニター参加や、新製品・優良品のご提供、セミナー優待割引のある、もっとお得な有料会員サービスもあります。