
スーパーボンドのキャタリストV、クイックモノマー液、
モノマー液が共通で使えます。

歯質にはセルフエッチングプライマーの「ティースプライマー」、
修復物にはすべての素材に使える「M&Cプライマー」を使用することで、前処理がよりシンプルになりました。
水洗歯質用のセルフエッチングプライマー
ウシ歯に対する接着強さ(37℃水中浸漬24hr)
自社測定データ:条件により数値は異なります
NEWすべての修復物に使えるマルチプライマー
④⑦は#600研磨、①②③⑤⑥は#600研磨後サンドブラスト処理
スーパーボンドEXは処理後、M&Cプライマーを塗布し、乾燥(⑦のみ塗布30秒後、乾燥)
スーパーボンドは処理後、①②はV−プライマーを塗布し、乾燥。③〜⑦はスーパーボンド PZプライマーを塗布し、乾燥。
自社測定データ:条件により数値は異なります
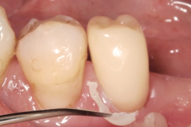
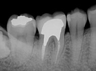
〈 こんな症例におすすめ!〉
液なじみの良いポリマー粉末なので、ポリマー玉の採取が容易です。
一度で大きなポリマー玉が採取できるため、筆積回数を減らすことも可能です。
クイックモノマー液とキャタリストVを混合してから5分以内に使用を終了してください。
筆積操作後、咬合調整ができるまでの目安時間です。
| 硬化待ち時間 | 37℃ | 約5分 |
〈 こんな症例におすすめ!〉

23℃の室温であれば、混和後約30秒で適度なとろみ(ゆるい泥状)になるため、冠に移送しやすくなりました。
流動性の低いEXティースカラーは単冠やインレー(アンレー)の装着に、流動性の高い混和ティースカラーはポストコアや連結冠の装着におすすめです。被膜厚さはどちらも約20〜30µmです。
※クイックモノマー液を使用
▲混和40秒後、垂直に立て5秒後に撮影。
とろみがある状態(ゆるい泥状)で使用すると、余剰セメントが粘膜表面や歯肉溝内へ垂れすぎずに留まるため、除去がしやすくなります。
モノマー成分に含まれる4-METAが歯質に浸透して拡散し、良質な樹脂含浸層とレジンタグを形成します。
標準比率よりもクイックモノマー液を1滴増やすことで、操作可能時間が延長できます。
| 粉液比 | 操作可能時間※1 | 硬化待ち時間※2 | ||||
|---|---|---|---|---|---|---|
| クイックモノマー液 | キャタリストV | ポリマー粉末 | 21℃ | 23℃ | 25℃ | 37℃ |
| 4滴(標準比率) | 1滴 | Standard(1.0) 1杯 |
約100秒 | 約80秒 | 約70秒 | 約7分 |
| 5滴 ダッペンの冷却不要! |
約160秒 | 約100秒 | 約90秒 | 約10分 | ||
※1.操作可能時間は周辺の温度環境により異なります。
※2.硬化待ち時間は、修復物装着後、咬合調整ができるまでの目安時間です。
歯質にはセルフエッチングプライマーの「ティースプライマー」、
修復物にはすべての素材に使える「M&Cプライマー」を使用することで、前処理がよりシンプルになりました。
3g
3g
5g
0.7mL
10mL
10mL
10本
10本
10本
10本
10本
1本
1本
1本
1本
1本
1本
1個
40枚
1個
1個
3mL
A液 1本(5mL) B液 1本(5mL)
A液/B液 各5mL
歯科接着用レジンセメント
スーパーボンドEX (管理医療機器)
医療機器認証番号 303AKBZX00055000
歯科接着用レジンセメント
スーパーボンド (管理医療機器)
医療機器認証番号 221AABZX00115000
歯面処理材
ティースプライマー (管理医療機器)
医療機器認証番号 222AFBZX00100000
歯科セラミックス用接着材料
M&Cプライマー (管理医療機器)
医療機器認証番号 231AFBZX00022000
歯科用エッチング材
表面処理材レッド (管理医療機器)
医療機器認証番号 21600BZZ00588000
歯科用エッチング材
表面処理材グリーン (管理医療機器)
医療機器認証番号 21600BZZ00589000
歯科セラミックス用接着材料
スーパーボンド PZプライマー (管理医療機器)
医療機器認証番号 224AFBZX00102000
歯科金属用接着材料
V−プライマー (管理医療機器)
医療機器認証番号 20600BZZ00452000
「TBB catalyst」は水分や空気中の酸素が存在する環境下においても高い反応性を示す重合開始剤です。
「4-META monomer」は、良質な樹脂含浸層を形成する接着促進モノマーです。スーパーボンド®をはじめ多くの製品に採用しています。
Morita Global Site: www.morita.com
More Infos about Products: www.dental-plaza.com