128号 SPRING 目次を見る
■目 次
- ≫ はじめに
- ≫ 歯科治療における審美性
- ≫ 上皮の構造
- ≫ 症例供覧
- ≫ おわりに
■はじめに
現在、国内で認可を受けている歯科用レーザーは、組織表面吸収型レーザーと深部吸収型レーザーとに分けられます。さらに、組織表面吸収型レーザーには、熱作用のCO2レーザーと非熱作用のEr:YAGレーザーがあり、深部吸収型レーザーには、熱作用のNd:YAGレーザーと半導体レーザーがあります(図1、2)。
組織表面吸収型レーザーは、組織の蒸散、切開や切除(Er:YAGレーザーのみ)に用いられます<『一目でわかる歯科用レーザー図鑑』加藤純二著:医歯薬出版 参照>。Er:YAGレーザーであるアーウィンアドベールの優位性としては、深部組織に影響を与えず、熱的な影響もほとんど無いため、水で洗い流すことによって、患部残留組織を少なくできることが挙げられます(図3)。そのため、軟組織、硬組織双方に使用することが可能です。
私は4年程前に、様々な症例に対応できるチップの揃ったアーウィンアドベールを導入し、日々の臨床に取り入れています(図4、5)。

図1 レーザーの波長域別特性
図2 Er:YAGレーザーは生体の表面の水分に反応
図3 Er:YAGレーザーは表面吸収型非熱的蒸散レーザー
図4 使用できる症例が多い
図5 アドベールはChipの種類が豊富
■歯科治療における審美性
今日の歯科の治療行為において、審美性は切り離せないテーマとなっています。そこで本稿では、審美性におけるレーザー治療について提案させていただきます。
硬組織を対象とした臨床では、歯冠修復において最も自然な印象を与えるメタルフリーのオールセラミックや、天然歯のためのホワイトニング、歯列矯正などにより審美性を求める方法があります。また、軟組織を対象とした臨床では、歯肉形成外科というテクニックを用い、歯牙と粘膜のバランスを保つことが可能です。さらに、メラニン色素を取り除くことにより、歯肉の色調をも変えることができるのです。
ここでは、Er:YAGによる軟組織を対象としたメラニン色素除去について、取り上げていきたいと思います。
メラニン色素除去自体は古くから行われている治療です。以前は化学的に上皮を取り除いたり、カーボランダムポイントを使用し外科的に上皮を除去していました。しかし、化学的な方法では薬物の浸透度により結果が左右されるため、確実な効果は期待できませんでした。また外科的な方法では麻酔下で治療を行うため、術中から術後にかけて患者さんに不快感が残ってしまいます。
一方、レーザーによる上皮除去は、無麻酔下で処置が行えるので、術者と患者さん双方にとって、少ないストレスでの治療が可能です。
■上皮の構造
上皮は、角化層、顆粒層、有棘層、基底層からなり、重層扁平上皮と呼ばれています(図6)。メラニン色素はその中の基底細胞上に存在しています。つまり、上皮の最も奥にあるメラニン色素を確実に除去しなければならないのです。
角化層の細胞は、基底細胞に由来し約28日間かけてターンオーバーしていきます<『ペリオのインテリジェンスを高めるレビュー・ザ・ペリオ』山本浩正監著:クインテッセンス出版 参照>。つまり、一つの層(細胞)は約1週間で分化していくのです。
上皮の再生は細胞分裂によるものと、出血を伴うものがあります。細胞分裂のみによる再生は、その組織のもつ芽細胞が分化し再生していくため、短期間で済みます。一方、出血を伴う再生は、組織の損傷の治癒過程も伴うために、再生に時間がかかるのです。
メラニン色素除去において、再生を速やかに行うには、結合組織(真皮)を傷付けることなくメラニンを除去していくことが必要です。レーザーを用いて、結合組織にダメージを与えずにメラニンを除去することができれば、基底細胞の分化が起こり、短期間の組織再生が可能となります。

図6 上皮の構造
■症例供覧
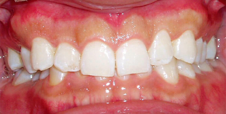
<症例1> ヘビースモーカーの29歳、男性(図7)
口腔内を綺麗にし、何とか煙草を止めるきっかけにしたいとのことで来院されました。そこで、口腔内の軟組織、いわゆる粘膜のメラニン除去を促すことにしました。
Chip:C800Fを使用し、70mj/10ppsで上皮歯肉を蒸散しました(図8)。
メラニンを取り除くだけでも歯の色が明るく見え、審美的要因が非常に大きいことが分かります(図9)。
Chipのあて方として(図10)、非接触法では距離感が難しく、深さに均一性がありませんでしたが、Chipを接触させて角度をかえることにより、容易に深さをコントロールすることが可能になり、簡単・確実に除去ができました。

図7 症例1 ヘビースモーカー29歳、男性 初診時
図8 術後
図9 口腔内様相の変化 左:術前 右:術後
図10 Chipのあて方
<症例2> 35歳、女性(図11)
以前から歯肉の色調に不満を感じておられました。歯肉が厚く、感受性も鈍い方でしたので、Chip:C800Fを使用し、60mj/20ppsで照射していきました(図12)。
歯肉がかなり肥厚しているので、1回ではメラノサイトを取りきれず、残っている部分に再照射しました。
当初、患者さんは上顎右側犬歯から左側犬歯までの処置を希望しておられましたが、色調が変わっていくにつれ、綺麗にしたいという意欲が増し、上顎右側第二小臼歯から左側第二小臼歯まで処置を希望されるようになりました。
最終的には、上顎の処置だけでは物足らず、下顎のメラニン色素も除去して欲しいとの要望があり、施術することになりました(図13)。

図11 症例2 35歳、女性 初診時
図12 上顎メラニン除去 上段:1回目 下段:2回目
図13 下顎のメラニンも除去 上段:術前 下段:術後
<症例3> 29歳、男性(図14、15)
結婚前に、口腔内を綺麗にしたいとのことで来院されました。最近は審美性を求めている男性も増えているように感じます。この患者さんもそういった意識の高い方でした。硬組織は白い方でしたので、余計に軟組織のメラニンを気にしておられました。レーザーで簡単に取り除くことができることを説明し、Chip:C800Fを使用し、60mj/20ppsで除去しました。
バキュームの位置は図16のようにします。水が全体に行き渡らないと効率が悪くなり、痛みがでてくる場合があるので、特に注意します。
最終的には、患者さんの希望もあり、ホワイトコートを塗布しました(図17)。
口腔内を明るくすることは、患者さんの審美に対するモチベーションを高く維持するために十分な効果が期待できると言えるでしょう。

図14 症例3 29歳、男性 術前
図15 照射直後
図16 バキュームの位置
図17 メラニン除去後、ホワイトコート塗布
<症例4> 26歳、女性(図18)
前歯の歯頸部にある点状(ゴマ状)のメラニンを気にして来院されました。
この症例こそレーザー無しではできません。歯頸部にあるゴマ状のメラニンは、化学的処置や麻酔下における外科的処置では辺縁を傷つけてしまう恐れがあるのです。
ところが、Er:YAGレーザーであれば深部組織を傷つけることなく、照射部で的確な除去を行えるため、綺麗に処置ができます(図19)。

図18 症例4 26歳、女性 歯頸部の点状メラニン
図19 術後
<症例5> 40歳代、女性(図20)
この患者さんは、初診時に硬組織の審美性を求めて来院されました。上顎は全てインプラントを行い(インプラントのメンテナンスにもレーザーは応用できます)、次に、下顎の審美的治療へと移っていきました。
まず、大臼歯と小臼歯にはメタルボンドを、側切歯にはオールセラミックを装着し、残りの硬組織にはホワイトニングを行いました。硬組織が綺麗に整ってくると、気になるのが軟組織、いわゆる粘膜の部分です。そこでレーザーによるメラニン色素除去を行いました。彼女は現在もかなりのヘビースモーカーですが、1年以上もこの状態が続いています(図21)。
口腔内を綺麗にすることにより、デンタルIQが高まり、月に一度はメンテナンスに来られるようになりました。

図20 症例5 40歳、女性 術前
図21 術後
■おわりに
メラニン色素除去治療にレーザーを取り入れることによる利点として、上記に挙げたこと以外にも、次の三つがあります。
・術中にほとんど出血がみられない。
・術後に疼痛が少なく、ブラッシング等での擦過傷も少ない。
・醤油などの刺激物もあまりしみない。
基底細胞上にあるメラニンを確実に除去し、結合組織再生を速やかにするためには、結合組織に損傷を与えないように、レーザーを利用することが重要だと思います。
目 次
モリタ友の会会員限定記事
- CLINICAL REPORT 「歯科漂白材ピレーネ」の臨床活用の実際
- TRENDS 歯科用常温重合レジン「プロビスタ」について
- TRENDS 支台築造用ファイバーポスト・コア「i-TFCシステム」Wセットと 支台築造用ファイバーポスト「i-TFCファイバー」について
- 私の臨床 クリアフィルSAルーティング 簡便・確実・スピーディ!前処理不要のレジンセメント
- 私の臨床 クリアフィルSAルーティング 余剰セメントを一塊で除去できる高品質レジンセメント
- CLINICAL REPORT EndoWave All-ranges version 医療法人とみなが歯科医院(徳島県鳴門市)
- CLINICAL REPORT 審美的治療におけるレーザーの有用性
他の記事を探す
モリタ友の会
セミナー情報
会員登録した方のみ、
限定コンテンツ・サービスが無料で利用可能
オンラインカタログでの製品の価格チェックやすべての記事の閲覧、臨床や経営に役立つメールマガジンを受け取ることができます。
商品のモニター参加や、新製品・優良品のご提供、セミナー優待割引のある、もっとお得な有料会員サービスもあります。




















