151号 WINTER 目次を見る
■目 次
- ≫ はじめに
- ≫ アバットメントデザイナーを用いたデザイン操作
- ≫ まとめ
■はじめに
ノリタケデンタルスキャナーSC-5(以下SC-5)とはデンマークに本社を構える3Shape社が製造する歯科用模型計測器の最上位機種D900である(図1、2)。
現在の歯科業界における非接触式計測器としては、精度・機能ともに高い水準を備える機種であるだけでなく、機器の性能向上に伴い、付帯するCADソフトウェアも改善・改良され、より作業性・機能性を効率化したトータル歯科CADソリューションであると考えられる。
SC-5における機能面での特徴は以下に示される項目が挙げられる。
- ●青色LEDの採用
- ●高解像度化されたカメラ(5メガピクセル)4台による高精度スキャンが可能(図3)
- ● マルチダイスキャン:多数支台模型の連続計測(図4)
- ●Real Color™テクノロジー:模型上に描かれた設計線と色調の読み取り(図5)
これらの機能が備わったことにより、従来品と比較して、高精度で高機能な歯科用補綴物の作製が要求される歯科技工作業の一部を、より確実にサポートし得る機種であると考える。

図1 ノリタケデンタルスキャナーSC-5
図2 D900仕様(3Shape社情報より)
図3 5メガピクセルのカメラ4台と青色LEDを使用し、高精度のスキャンが可能となっている。
図4 マルチダイスキャンに使用するフィクスチャー。
図5 Real ColorTM テクノロジーにより、模型上に記された設計線、色調が読み取れる。
■アバットメントデザイナーを用いたデザイン操作
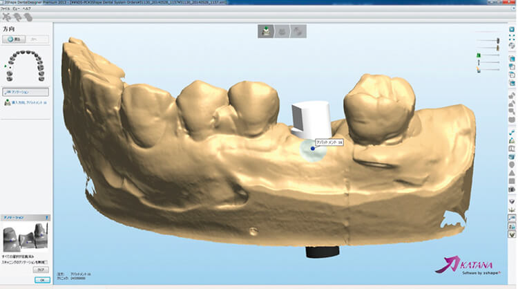
本稿では、SC-5を用いて、歯科用インプラントに適合するカスタムアバットメントのデータ作製ができるCADソフト「アバットメントデザイナー」を紹介したい。
従来の歯科技工作業の場合、カスタムアバットメントは歯科医院から送られてきた印象をもとに模型を作製し、歯科技工士の手によって作製されてきた。
しかし、CAD/CAMの進歩とともに、模型作製の直後にCADを用いアバットメントをデジタルデザインし、チタン材料の機械加工を行うことが可能となり、これまでの方法と比較して技工作業と治療時間の短縮が期待されている。
ここでは3Shape社のCADソフトであるアバットメントデザイナーを使用したカタナ<sup>®</sup>チタンアバットメントのデザイン操作について紹介する。
まず、スキャンを行うためにはカタナ<sup>®</sup>アバットメント専用データベースおよび専用のスキャンアダプターが必要となる(図6)。このスキャンアダプターを模型上に埋覆された技工用アナログに取り付け、スキャンを行う(図7)。
スキャンアダプターは高い精度で作製されているため、僅かな誤差があると埋覆されているインプラント体の高さや方向が狂ってしまう。そのため精度の高いスキャンが求められるが、SC-5を用いることで、より正確性の高いデータを取得することができる。これもSC-5を使用するメリットであると考えられる。
その後、スキャンされたスキャンアダプターとデータベース上のスキャンアダプター情報を合成し、模型上のアナログの方向、傾きを読み取る(図8)。
さらに歯肉(ガム)部にもスキャンを行い、歯肉縁下の情報を読み取る(図9)。こうして適正な埋覆方向の決定とデザイン作業が可能になる(図10)。
デザインには多種多様な方法があるが、通法のフレームワークデザイン、クラウンデザインと同じ感覚で操作できるため、既にCADを導入されているユーザーには抵抗を感じることなく使用することができると考えられる。
また、初めて使用するユーザーにとっても、日本語表記を採用しているだけでなく、操作面で複雑な作業も少なく、ユーザーフレンドリーなインターフェースである。さらに、歯科技工士が設計・製作したレジンアップもしくはワックスアップ形状を読み取ることで、その形状をコピーしデザインを行うこともできる(図11)。
今回、「ロボティックアバットメント」、「カスタムアバットメント」、「バーインターフェイス」のうち、「ロボティックアバットメント」を用いたデザイン方法について説明を行う。
デザインツールを使うことで自由自在に形状を変化させることができる。各ポイントをドラッグ(つまみながら)しながら変形させたり、トップキャップ部を左右に傾けることもできる(図12)。
傾きについては設定上、アクセスホールの中心軸に20度以上は傾けることができないよう制御されているが、その範囲内であれば自由に設計を行うことができる(図13)。
CADでのデザインの最大のメリットとして、アバットメントのデザインと同時に上部構造で使用できるジルコニアフレーム、ジルコニアクラウン、テンポラリークラウン、ワックスフレームのデザインを同時に行うことができることも挙げられる。
この際、デザインされたアバットメント上でデザインを行うため、スキャンによるデータの誤差がなく、通法の模型を用いたスキャンでデザイン作業を行う場合より、高精度な上部構造体を作ることができる(図14)。
様々な方法によって設計されたデザインデータはカタナプロダクションセンター(以下KPC)に自動送信された後、専用5軸加工機によって加工される。この専用加工機は表面の再現性にこだわった装置であり、ラボ内でミリングされた面に近い状態を再現できるように設定されている。
またKPCではデータの受付に加え、スキャナーを所有していないユーザーのために、模型送付型のセンター方式も開始し、インプラントやCADの経験が豊富なKPC内のオペレーター(歯科技工士)がデザインを行う。
この際には、まずユーザーは模型を送付し、デザインが終了した時点でデザインデータが模型データとともにユーザーに返送される。ユーザーは自分のパソコン(OS:Windowsのみ)に当社より配布するデザインデータビュワーをインストールすることで模型データ、デザインデータを目視で確認することができる。
KPC内のCAMソフトは表面再現性、機械制御にすぐれたデルキャム社専用ソフトを用いて計算され、多種多様な工具を駆使して切削されたあと、適正な検査を行い納品される(図15)

図6 スキャンアダプター
図7 スキャンアダプターを模型に装着したところ。埋覆されているインプラントアナログの位置関係を読み取るために使用する。
図8 データベースのスキャンアダプターとスキャンされたスキャンアダプターのデータ合成を行う。
図9 歯肉模型のデータとスキャンアダプターつきの模型データを合成する。
図10 デザイン 唇側、頰側を決定する。
図11 Dスキャンを行いデザインした場合。
図12 アバットメント形状をデザイン。ポイントをつまんだり、ドラッグしたりすることでデザインを調整できる。
図13 傾きのデザイン。最大20度までの角度が付けられる。
図14 完成したチタン製カスタムアバットメント。
図15 アバットメントと同時にデザインしたクラウン。
■まとめ
SC-5を用いることによりCADのデータはますます高精度になり、またソフトウェアの進化とともに歯科におけるCAD/CAMの役割は多岐に渡ってきていると考えられる。
しかしながら、歯科技工士、歯科医による歯科診療、治療、補綴物製作のすべてを置き換えるのではなく、あくまでCAD/CAMは、Computer Aided Design(コンピュータによるデザインの補助)/Computer Aided Manufacturing(コンピュータによる製造の補助)であり、それらをうまく取り入れることで、新たな材料、診療、補綴に役立ていければと願う。
歯科におけるCAD/CAMの担う責任と可能性は大きく、今後さらに発展するとともに、重要度も増していくと考えられる。
同じ筆者の記事を探す【 クラレノリタケデンタル株式会社 】
モリタ友の会会員限定記事
- 177号 Trends 「クリアフィル® マジェスティ® ESフロー」 ユニバーサルシェードの特長-使いやすさはそのままに、シェード選択、在庫管理の手間を軽減-
- 168号 Trends フレーム用ジルコニアディスク「ノリタケカタナ® ジルコニア」HTおよび新製品LTについて
- 168号 Trends プライマー不要、シラン処理ができるレジンセメント「SA ルーティング® Multi」について
- 166号 Trends 接着も簡便性も妥協しない「クリアフィル® ユニバーサルボンド Quick ER」について
- 165号 Trends 歯科切削加工用CAD/CAMレジン材料 「カタナ® アベンシア® Pブロック」 について
目 次
モリタ友の会会員限定記事
- Dental Talk CAD/CAM メタルフリー修復の新たな展開~デジタルデンティストリーの発展~
- TREND 歯科切削加工用CAD/CAMレジン材料「カタナ アベンシア ブロック」について
- CLINICAL REPORT オステルISQ アナライザを用いたインプラント安定度の評価
- TREND 新しい「デンタポート」のモジュールとその特長について
- CLINICAL REPORT 新しいう蝕除去用バー 切れ味がよく、錆びないステンレスバー
- CLINICAL HINT 歯科衛生士ができるお口の健康づくりシリーズその1知っておきたいお口の筋肉の生理や働きの基礎知識
- TREND ノリタケデンタルスキャナーSC-5を使用した CADでのアバットメントデザイン
- TECHNICAL REPORT カタナチタンを使用した カスタムアバットメントサービス について
他の記事を探す
モリタ友の会
セミナー情報
会員登録した方のみ、
限定コンテンツ・サービスが無料で利用可能
オンラインカタログでの製品の価格チェックやすべての記事の閲覧、臨床や経営に役立つメールマガジンを受け取ることができます。
商品のモニター参加や、新製品・優良品のご提供、セミナー優待割引のある、もっとお得な有料会員サービスもあります。














