154号 AUTUMN 目次を見る
目 次
新規ペースト型リン酸カルシウム系材料
「ティースメイトAPペースト」(以下APペースト、図1)は、2012年に発売された粉液型の「ティースメイトディセンシタイザー」(以下TMD、図2)の基本技術を活用し、操作性と汎用性を向上させてペースト化に成功した知覚過敏抑制材料である。
APペーストはPMTCペーストのような歯科研削材料に分類されるクラスⅠの一般医療機器とは異なり、より高いレベルの管理を求められるクラスⅡの認証を取得した管理医療機器である。TMDと同様にハイドロキシアパタイト(HAp)を生成して象牙細管やエナメルクラックを封鎖するため安全性が高く、なおかつ混和不要の1ペーストタイプであることから、操作が容易でテクニックに左右されにくい画期的な知覚過敏抑制材料といえる。また、知覚過敏抑制の目的だけでなく、これまで筆者が提唱してきたプロフェッショナルケア(DMR No.223参照)における効果をより使いやすくサポートすることができる製品である。
そこで本稿では、この新しいカテゴリーの材料の特性について解説し、天然歯質を守るための新たな付加価値を生み出すことができるであろうAPペーストの可能性について探ってみたい。
APペーストのメカニズム
クラレノリタケデンタル(株)が開発したAPペーストは、組成としてTMDと同じ2種類のリン酸カルシウム(塩基性のリン酸四カルシウム:TTCP、酸性の無水リン酸水素カルシウム:DCPA)に加えて、歯磨剤に一般的なグリセリン、ポリエチレングリコール、フッ化ナトリウム(950 ppm)、メントールが含まれている。なお、このフッ化ナトリウムは、著者らが実験にて明らかにした報告1、2)から、封鎖物の耐酸性を向上させることを目的に配合している。
リン酸カルシウムを使ったオリジナル技術は、米国ADAF(American DentalAssociation Foundation)にて骨補填材用に開発されたものである。二種類のリン酸カルシウムと水を反応させることでHApに転化させるが、レジンの様なラジカル反応ではないために収縮せず、発熱もしない非常にマイルドに反応が進行することが特徴である。
このメカニズムに、クラレノリタケデンタル社の独自技術(無機系流動性改質剤、リン酸カルシウムの微細化技術等)を加えて知覚過敏抑制材として臨床応用したものがTMDであり、さらに今回、前述の成分を配合してペースト化したものがAPペーストである。APペースト/TMD両者ともHApに転化するため安定で長期的な効果が期待できるとともに、生体親和性が高い(図3)。
APペースト/TMDの知覚過敏抑制の作用機序は、患部に擦り塗ることで無機成分が開口した象牙細管、あるいはエナメルクラック内に入り込んで封鎖(蓋)して即効性を示すとともに、HApに転化していくことによって効果が発現する3、4)。
封鎖のメカニズムが非常に単純であることから、過敏症状が強いケースでは塗布前に患部を完全に乾燥させなくても湿潤状態での塗布が可能である。ただし歯面上の汚染物質は可及的に除去するようにする。歯肉に対しては為害作用がなく、歯周ポケット内に入った余剰ペーストも簡単に水洗できることから、炎症を起こす心配もない。塗布後は水洗するため、患部の審美性にも影響を与えることはない。
また、本剤は弱アルカリ性であることから、歯を侵襲しないでエナメルクラック・細管封鎖することが可能である。したがって、シュウ酸系知覚過敏抑制材で懸念されているような封鎖物脱落時の象牙細管の拡大開口や、レジン系知覚過敏抑制材で懸念されているコーティング面へのプラーク付着あるいは短期間での剥離等の心配がない。

図1 ティースメイトAPペースト
図2 ティースメイトディセンシタイザー
図3
臨床用途と使い分け
(1)象牙質知覚過敏症(APペースト/TMD)
APペースト/TMDの本来の用途であり、露出した象牙質表層の開口した象牙細管を封鎖することで知覚過敏抑制効果を発揮する(図4、5)。筆者の医院での臨床評価では、既に発症している比較的強い知覚過敏の抑制効果はTMDの方がAPペーストよりも若干効果が高い結果であった。
(2)ステイン沈着抑制効果(APペースト)
ステイン抑制効果は、リン酸カルシウムがエナメル質・象牙質の粗造面にも入り込んでHApとして安定化し、表面粗さが減少、徐々になめらかな歯面を獲得することができるためである。APペーストはほとんど研磨力がなく、フッ素徐放性があり、修復された歯面の再石灰化にも寄与しているものと考えられる(図6、7)。
(3)ホワイトニング、ディボンディング後のエナメルケア(APペースト)
ホワイトニングやディボンディング後の研磨したエナメル質に対して歯面修復効果や歯質強化を期待する用途に最適である。APペーストはTMD同様に知覚過敏やステイン沈着の原因となるエナメルクラックも封鎖することができる(図8、9)ほか、塗布後の歯面の光沢感が優れている。
(4)PMTC、SPT後の軽度の知覚過敏抑制および根面う蝕予防(APペースト/TMD)
象牙細管開口部は直径1〜3μmともいわれており、コラーゲンに富んだ象牙細管は細菌の侵入を容易にしてしまう。そこでPMTCやSPTの仕上げとして根面う蝕リスクの高い部位に塗布して象牙細管を封鎖することでう蝕予防効果が期待できる。
(5)修復治療時の形成面の保護および外来刺激抑制(TMD)
形成後や合着前の窩洞および支台歯には従来通りTMDを使用する必要がある。APペーストはグリセリン/ポリエチレングリコールが残留すると接着阻害が懸念されるため、形成面には使用できない(表1)。

図4 APペースト処理前
図5 APペースト処理後
図6 APペースト処理前
<表面粗さRa:0.624μm>
図7 APペースト処理後
<表面粗さRa:0.464μm>
エナメル質表面の凹凸が埋め立てられた状態
図8 APペースト処理前
図9 APペースト処理後


◎:推奨 ○:使用可 △:可能だが使用しにくい ×:適用不可
APペーストの使用法および臨床例
APペーストの基本的な使用方法は非常にシンプルである。歯面清掃後にペーストを採取、ラバーカップ(低速20秒)やスポンジフロスなどでこすり塗りし、水洗にて余剰ペーストを除去後、効果の確認をする。この際、ペーストは十分に歯面に付着するように塗布すること、症状に応じて塗布時間を延長する。
ケース1:ホワイトニング後のエナメル質のケア
図10〜16はホワイトニング症例にAPペーストを使用した例である。エナメル質表面の微細な凹凸やエナメルクラックの間隙に入り込んで封鎖効果を発揮し、色素浸透抑制、エナメルクラックからの知覚過敏抑制、光沢の回復等を目的に処置を行った。ケース2:PMTC、SPT後の露出根面象牙質のケア
図17〜23は歯周治療後のSPT期の症例にAPペーストを適用した例である。歯根象牙質が露出し軽度の知覚過敏症をともなう上顎歯頸部および、下顎歯頸部に発生した根面う蝕に対する注意が必要となった症例である。デリケートな歯頸部から根面にかけては非侵襲的な清掃をおこない、歯面に沿う小さめのラバーカップや、隣接面にはスポンジ状のフロスを用いて擦り込むと効果的である。

図10 ラバーカップでAPペーストを採取
図11 上顎前歯部平滑面にはP・CSプロフィーカップソフトがフィットしやすい。
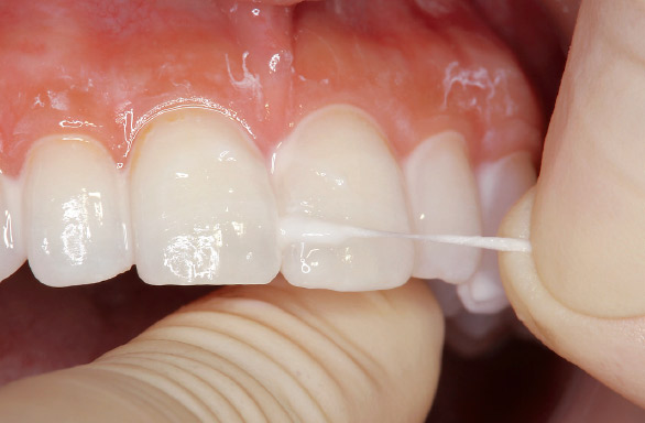
図12 隣接面には、スポンジ状のフロス(ライオン歯科材:DENT.e-floss使用)を用いて塗布する。
図13 水洗。
図14 術後。
図15 術前クラック:トランスイルミネーターを口蓋側より当て、透過光で確認。
図16 術後クラック:クラックが封鎖されていることがわかる。
図17 知覚過敏:プラスチック製のチップを用いて非侵襲的な清掃をする。
図18 ポリッシング後、APペーストを塗布。小臼歯は湾曲が強いため、P・CSプロフィーカップスリムがフィットしやすい。
図19 隣接面には、スポンジ状のフロス(ライオン歯科材:DENT.e-floss使用)を用いて塗布する。
図20 根面う蝕:プラスチック製のチップを用いて非侵襲的な清掃をする。
図21 上顎同様にP・CSプロフィーカップスリムにてAPペーストを塗布。
図22 水洗。
図23 術後。
- 1)加藤正治ら、フッ化物配合ジェルによるリン酸カルシウム系知覚過敏抑制材の耐酸性向上に関する研究;日本歯科保存学会平成25年度秋季学術大会(第139回),演題番号C22
- 2)今村光志ら、低濃度フッ化物の作用方法がリン酸カルシウム系知覚過敏抑制材の耐酸性に及ぼす影響;日本歯科保存学会平成26年度春季学術大会(第140回),演題番号A13
- 3)NOMURAら(2013),Effect of VariousMaterials on Dentin Permeability for theTreatment of Dentin Hypersensitivity,日歯保存誌56:516〜525.
- 4)D Mehta, V S Gowda, A Santosh, W JFinger, Keiichi Sasaki. Randomized controlledclinical trial on the efficacy of dentindesensitizing agents, Acta OdontologicaScandinavica 2014, 72 (8) : 936-41.
目 次
モリタ友の会会員限定記事
- Clinical Report パナビアV5の臨床
- Field Report 高い象牙質接着性と経年劣化による変色の抑制新しいセメントシステムへの期待
- Field Report 高接着・シンプルな操作性・高い除去性どんな症例にも対応できるオールラウンドなレジンセメント
- Trends 知覚過敏抑制材料の発展型「ティースメイトAPペースト」の可能性を探る
- Field Report 予防処置、クラック修復にも有用なペースト型知覚過敏抑制材
- Clinical Report フィジックスフォーセップスを活用した意図的再植の臨床
- Field Report 共振周波数解析装置を用いた骨結合の客観的な評価によるインプラント治療
- Field Report インプラント治療をはじめ根管治療にも有用な高画質の歯科用CT
- Clinical Report さらなる進化を遂げるi-TFCシステムの支台築造
- Field Report CR充填法の適応症を拡大し予後の確実性を高めるマトリックスシステム
- Interview 歯科用マイクロスコープ静止画・動画の撮影のヒントと活用方法
- Close Up 自然でストレスがない診療を実現するpd(自然な診療姿勢)診療システムの発信基地として東京表参道に“道場”を開設
他の記事を探す
モリタ友の会
セミナー情報
会員登録した方のみ、
限定コンテンツ・サービスが無料で利用可能
オンラインカタログでの製品の価格チェックやすべての記事の閲覧、臨床や経営に役立つメールマガジンを受け取ることができます。
商品のモニター参加や、新製品・優良品のご提供、セミナー優待割引のある、もっとお得な有料会員サービスもあります。