194号 AUTUMN 目次を見る
Clinical Report
複雑な根管形態と骨欠損形態を有するエンド・ペリオ病変への対応~トライオートZX2とJIZAI Pre020を用いて~
キーワード:エンド・ペリオ病変/トライオートZX2/JIZAI Pre013, Pre020, JIZAI Ⅰ~Ⅲ
目 次
はじめに
近年、マイクロスコープや歯科用コーンビームCT、口腔内スキャナーやCAD/CAMなど歯科における技術革新は急速に発展し、診断や治療成績の向上に大きく貢献してきた。
歯内療法はそれに加えてNiTi ロータリーファイルの登場により、レボリューションとも言える大きな変化が起きている1)。
根管系が複雑な解剖学的形態を有していても、以前までの手探りで盲目的な根管治療から、三次元的なイメージを把握し、明視野で根管内を直視して、適切な器具を使用することで根管内の細菌数をできる限り減少させる「治療の見える化」が可能になった。しかし、いくら機器や診断が進化を遂げたとしても、我々臨床医はそれを使いこなす知識と技術を習得し、診療におけるスピード・精確性・予知性が求められることに変わりはない。また、この十数年で歯内療法の考え方が大きく様変わりし、AAE(米国歯内療法学会)は歯髄と根尖周囲組織の診断に分けて臨床指針を決定することを提唱している2) (図1, 2)。
歯内療法はとりわけ熟練とスキルが求められる領域で、ファイル操作のミスやテクニカルエラーにより難症例化することは周知の事実であり、エビデンスに基づいた、規格化されたシーケンスと適切なファイル操作が良好な結果を導くと考えている。当院でも次世代のNiTi ファイル「JIZAI」を導入し、歯内療法のスピード・精確性につながったケースを供覧したい。
-
![[図] 歯髄の診断](/academic/dentalmagazine/wp-content/uploads/sites/2/2025/09/194-17_photo01.png)
図1 歯髄の診断(文献1)より引用改変) -
![[図] 根尖周囲組織の診断](/academic/dentalmagazine/wp-content/uploads/sites/2/2025/09/194-17_photo02.png)
図2 根尖周囲組織の診断(文献1)より引用改変)
JIZAIによる根管治療の実際 ~治療の単純化とスピードの向上~
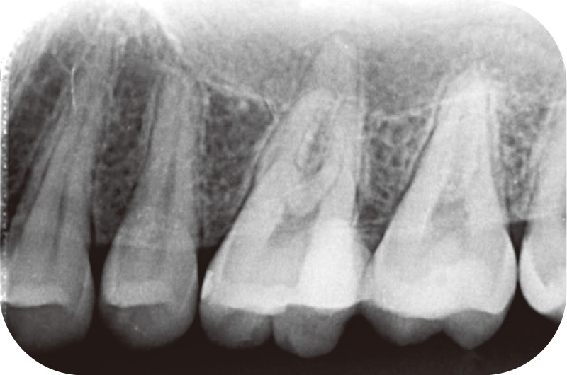
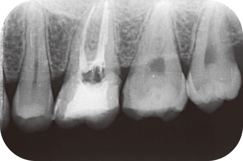
患者は20歳男性、左上臼歯部の違和感を主訴に来院した。26は以前から度々自発痛を呈していたが、しばらくすると落ち着いたため、放置していた。初診時のデンタルX線写真を示す(図3)。26に歯髄に近接する明らかなカリエスを認めた。26の診査結果は軽度の打診痛、EPT(+)、冷温刺激にてやや疼痛を認め、持続時間は30秒程度であったため、歯髄は可逆性歯髄炎、根尖周囲組織は正常と診断し、生活歯髄療法(VPT)を行った。カリエスを丁寧に除去したが、一部露髄が認められたため、直接覆髄を試みた。NaClOにて露髄面の止血を行い、止血確認後にMTAセメントにてVPTを行った。その際、マイクロスコープにて露髄面の出血を確認し、やや血流は悪いと感じたが、若年者の生活歯髄に期待し、歯髄保存を選択した(図4)。その後、しばらくは経過良好であったが、半年後に突然強度の自発痛を自覚し、EPT(-)を示したため、歯髄壊死、症状のある根尖性歯周炎と診断し、感染根管治療に踏み切った。
歯内療法の考え方として、筆者は感染の除去と感染の防止のフェーズでは機械的洗浄と化学的洗浄、根管貼薬、予防フェーズでは根管充填、支台築造、歯冠修復に分け、補綴治療までが一連の流れと考えている。根管治療の具体的なステップは、1)アクセスキャビティー、2)ストレートラインアクセス、3)ネゴシエーション(根尖までの道筋の確保)から穿通、4)グライドパス(予備拡大)、5)根管形成、6)根管充填とし、5)根管形成ではFull length法を採用し、6)根管充填では側方加圧充填法を行っている。特に1)~3)に時間をかけることで、その後の処置がスムーズに行えると考えている。また根管拡大形成の前に4)グライドパスが済んでいることも重要で、ファイルの破折を防ぎ、トランスポーテーション(根管の直線化)を防止し、ステップやジップなどの偶発症を防ぐ3)役割がある。
2020年に次世代のNiTi ファイル「JIZAI」が発売され、当院でも導入して、少ない本数で治療を終えることで歯内療法の規格化、スピード向上に貢献している。「JIZAI」の特徴として、ラジアルランドと呼ばれる根管壁と接触して刃面をサポートする部分があり、これにより長期にわたり切れ味が落ちず、微小クラックの発生を遅らせる4)。また、高い柔軟性で滑らかな根管拡大が可能となり、破折リスクの軽減にもつながる(図5)。
実際の流れは、まずは「オリフィスオープナー」を「トライオートZX2」のモードm2にて根管上部の拡大(図6)を行い、その後のファイルをアクセスしやすくする。ついで、「Dファインダー」#10にて根管のネゴシエーションから穿通(図7)を行い、作業長を測定する。従来はここから「エンドウェーブ」や「スーパーファイルMGP」を用いたグライドパス(OGPモードm3)を推奨していたが、2022年に発売された「JIZAI」Pre013の登場により、一貫性を持ったNiTi ファイル操作が可能になった。
特に「JIZAI」Pre013は手用ファイルのようにプレカーブを付与することや、#10のファイルのように湾曲した根管に追従することができる。NiTiファイルでも湾曲した根管壁の60~80%しかファイルが触れないとの報告5)もあるため、プレカーブを付与できる「JIZAI」Pre013を使用することで複雑な根管系に少しでもアクセスすることが治癒に導くものと考えている。また、2024年にJIZAI シリーズに新たなグライドパス用NiTi ファイル「JIZAI」Pre020も登場した。このファイルは柔軟性が高いため、狭窄根管や湾曲根管にも追従し、その後の拡大形成で使用するファイルの負荷を軽減する。
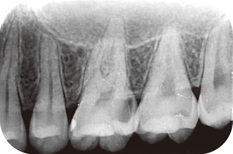
ついで通法通りに、「JIZAI」Ⅰ~Ⅲを用いて根管拡大(OTRモードm4 図8)を行い、初回処置を終了する。診療時間によっては初回処置を「JIZAI」ⅠやⅡに留めて、次回来院時に次のステップから始めるなど柔軟な対応が可能である。実際の症例では、処置後数回で疼痛の改善を認め、デンタルX線でも明らかな根尖病変は認められないため、根管充填を行い、感染根管治療を終了した(図9)。
-
![[写真] 20歳男性左上初診時デンタルX線](/academic/dentalmagazine/wp-content/uploads/sites/2/2025/09/194-17_photo03.jpg)
図3 20歳男性左上初診時デンタルX線。26に歯髄に近接するカリエスを認める。 -
![[写真] 生活歯髄療法(VPT)後のデンタルX線](/academic/dentalmagazine/wp-content/uploads/sites/2/2025/09/194-17_photo04.jpg)
図4 生活歯髄療法(VPT)後のデンタルX線。MTA併用 -
![[写真] 左からJIZAI Pre013, Pre020](/academic/dentalmagazine/wp-content/uploads/sites/2/2025/09/194-17_photo05.jpg)
図5 左からJIZAI Pre013, Pre020, Ⅰ(025 04)。高い柔軟性が分かる。 -
![[写真] オリフィスオープナーを用いた根管上部拡大形成](/academic/dentalmagazine/wp-content/uploads/sites/2/2025/09/194-17_photo06.jpg)
図6 オリフィスオープナーを用いた根管上部拡大形成 -
![[写真] Dファインダー#10を用いたネゴシエーション~穿通](/academic/dentalmagazine/wp-content/uploads/sites/2/2025/09/194-17_photo07.jpg)
図7 Dファインダー#10を用いたネゴシエーション~穿通 -
![[写真] JIZAI Pre013、Pre020 JIZAI Ⅰ~Ⅲを用いたグライドパス~根管拡大](/academic/dentalmagazine/wp-content/uploads/sites/2/2025/09/194-17_photo08.jpg)
図8 JIZAI Pre013、Pre020 JIZAI Ⅰ~Ⅲを用いたグライドパス~根管拡大 -
![[写真] 根管充填後](/academic/dentalmagazine/wp-content/uploads/sites/2/2025/09/194-17_photo09.jpg)
図9 根管充填後。臨床症状は消失した。
この記事はモリタ友の会会員限定です。登録すると続きをお読みいただけます。
残り 2799 文字
目 次
モリタ友の会会員限定記事
- Topics 追従性と折れにくさを実現したNiTiファイル「JIZAI」 世界一の品質を追求するマニーの開発現場に密着
- Clinical Report 複雑な根管形態と骨欠損形態を有するエンド・ペリオ病変への対応~トライオートZX2とJIZAI Pre020を用いて~
- Clinical Report 「メタシール®Softペースト」と「エンドノズル®#30(オレンジ)」を用いた簡単で封鎖性の高い新たな根管充填法
- Clinical Report 周術期ガムトレーニングは食道がん術後の舌圧低下を予防する~おいしく、楽しく、食道がん手術後の誤嚥・発熱を予防!~
- Close Up 求められる歯科医院による口腔機能低下症の早期介入とその重要性
- Field Report 切端咬耗、くさび状欠損に有用な接着性充填材料と、口腔内装置を衛生的に保つコーティングシステム
- Field Report アライナー矯正装置を用いた部分矯正治療と補綴治療の組み合わせがもたらす効果
- Field Report 審美補綴治療における材料の選択とセルフケアの重要性
- Clinical Report 進化を遂げたEr :YAGレーザー Adverl SH
- Interview 新術式「L-EPPT」はEr:YAGレーザーとも相性が良い治療法です
- Clinical Report 審美領域のインプラント治療においてTi ハニカムメンブレンを応用した連続インプラント症例
- Case Report 「超親水性インプラント」SPIイニセルインプラントを用いた症例
- YouTubeチャンネル 「X型水流」のお気に入りポイントや可能性について金子潤平先生に伺いました!
- Interview これからの予防歯科は、“チェアサイドではわからない生活時間帯”に対するアプローチが大切
- Lecture 連載:歯科衛生士に必要とされる医科の知識 <第1回>バイタルサイン
- Close Up 医療過疎地域における歯科医療をチームで支える巡回歯科診療
- Topics 「ケルン国際デンタルショー」(IDS 2025)レポート 海外で高い評価を受ける“Made in Japan”のクオリティ
他の記事を探す
モリタ友の会
セミナー情報
会員登録した方のみ、
限定コンテンツ・サービスが無料で利用可能
オンラインカタログでの製品の価格チェックやすべての記事の閲覧、臨床や経営に役立つメールマガジンを受け取ることができます。
商品のモニター参加や、新製品・優良品のご提供、セミナー優待割引のある、もっとお得な有料会員サービスもあります。