194号 AUTUMN 目次を見る
目 次
-
![[写真] 徳島県徳島市 医療法人 ひかり歯科クリニック 理事長・院長 富永 知穂](/academic/dentalmagazine/wp-content/uploads/sites/2/2025/09/194-5_staff01.jpg)
徳島県徳島市
医療法人
ひかり歯科クリニック
理事長・院長
富永 知穂
2018年の開業当初から「インビザラインGo」(以下:iGo)を導入。2021年には、患者さんの負担軽減と飛沫感染を防ぐため、口腔内スキャナー「iTero」を追加導入しました。当院では初診の際に、歯周検査、パノラマ撮影、口腔内写真撮影、位相差顕微鏡による細菌チェックに加えて、「iTero」による口腔内スキャンを行い、う蝕、歯肉、歯並び、咬合などの現状を確認。口腔内のリスク要因を満遍なく説明し、次回来院時に今後必要な治療についてお話しします。その後、「iGo」による矯正治療に至った場合は、「クリンチェック治療計画」上で細かい調整を行いながら治療のゴールを決めていきます。さらにそこに補綴治療を組み合わせる際には、矯正治療と補綴治療の両方を同時に視覚化する「スマイルアーキテクト」にて治療計画を立て、一連の治療が終了するまでのプロセスをご説明します。
う蝕治療や歯周治療の場合、先に咬合を改善した上で治療を行うことが良好な予後につながると考えています。ですから、例えばインレーが脱離した場合も、“外れたから治療する”のではなく、“なぜ外れたのか”を考えるべきで、その原因はたいてい咬合の問題に帰結します。その原因を取り除く手段として矯正治療が必要になるわけです。ただ、細かい要望を矯正専門医に伝えるのは難しく、だからこそ一般開業医が単独で対応できる「iGo」が有効だと感じています。修復補綴を長期的に維持するための条件は、患者さんの咬合を安定させることです。そのため私は「iGo」を単なる矯正ツールとしてではなく、咬合改善のための“補綴の一環”という感覚で使用しています。
症例1:ラミネートベニアによる症例
開業当初からメインテナンスを継続してきた30代女性。安定した口腔内を保っていましたが、₂ ₂が矮小歯で舌側に傾斜していることが気になるとのことで、「iGo」による矯正治療とラミネートベニアによる審美修復治療を提案。「スマイルアーキテクト」で作成した矯正・補綴の治療計画に基づき、矮小歯をベニアに必要な1mmの厚さを維持できる位置まで誘導し、歯列弓をアーチ状に整えて咬合の安定を図りました。「スマイルアーキテクト」はミリ単位で移動範囲を決めることが可能です。本症例でも、その恩恵によって2本とも意図した位置に誘導することができ、必要以上に切削することなくラミネートベニア装着が完了しました。デジタル技術を用いて1dayで自院製作するのも一つの方法ですが、本症例では患者さんがスピードよりクオリティを求められたため、信頼できるラボに依頼。デジタル一辺倒ではなく、ニーズによっては歯科技工士が培った長年の技術というアナログを活かすことも一つの選択肢だと考えています。
-
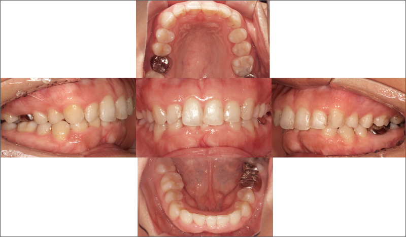
![[写真] 当院にてメインテナンスを行っていた30代女性](/academic/dentalmagazine/wp-content/uploads/sites/2/2025/09/194-5_photo01.jpg)
症例1-1 当院にてメインテナンスを行っていた30代女性。口腔内は安定期に入っているが、₂ ₂における審美障害の改善を希望されたため、「iGo」による部分矯正治療を補綴治療前に行い、その後ラミネートべニア修復を行うこととした。 -
![[写真] 治療計画を単一のプラットフォームで視覚化](/academic/dentalmagazine/wp-content/uploads/sites/2/2025/09/194-5_photo02.jpg)
症例1-2 「iGo」の「スマイルアーキテクト」を活用することで、矯正治療と補綴治療それぞれの治療計画を単一のプラットフォームで視覚化することができる。 -
![[写真] カウンセリングと治療計画の立案](/academic/dentalmagazine/wp-content/uploads/sites/2/2025/09/194-5_photo03.jpg)
症例1-3 ラミネートベニアの厚み1mmが確保できるよう「スマイルアーキテクト」を用いてカウンセリングと治療計画の立案を行った。 -
![[写真] ラミネートベニアの厚み(1mm)を確保できる位置への歯牙移動を行った](/academic/dentalmagazine/wp-content/uploads/sites/2/2025/09/194-5_photo04.jpg)
症例1-4 15週の治療計画で「iGo」による矯正治療を開始。ラミネートベニアの厚み(1mm)を確保できる位置への歯牙移動を行った。 -
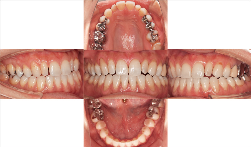
![[写真] 補綴前矯正治療を終え、ラミネートベニアを装着](/academic/dentalmagazine/wp-content/uploads/sites/2/2025/09/194-5_photo05.jpg)
症例1-5 補綴前矯正治療を終え、ラミネートベニアを装着。クオリティを求める患者さんの意向を踏まえ、ラミネートベニア製作は信頼できるラボに依頼した。 -
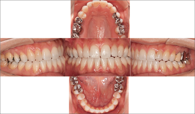
![[写真] 術前と術後の比較](/academic/dentalmagazine/wp-content/uploads/sites/2/2025/09/194-5_photo06.jpg)
症例1-6 補綴前矯正治療を行ったことで、患者満足度の高い審美回復を得ることができた。現在もメインテナンスを継続している。
症例2:ジルコニアフルクラウンの症例
₂の審美障害で来院した30代女性。 下顎の前歯に叢生、上顎にも歯列不正 が認められたことから、咬合の安定 を目指して全顎矯正治療を提案しま した。しかし患者さんは時間的な問題 から「iGo」を希望されたため、₁を抜歯し前歯部を矯正する治療計画を再提 案し、同意を得ました。₁の抜歯後、 矯正治療を開始し、上顎のアーチを改 善したところで₂をフルクラウンによ る修復治療を行い、治療を終えまし た。患者さん自身が「iGo」による部分 矯正治療を選択されたということを踏 まえ、₆の舌側傾斜が原因で前歯にト ラブルが起こる可能性が残っているこ とは本人に伝えました。歯科衛生士に は、下顎前歯が上顎前歯に当たってい ないか、咬合紙の色の付き方やガイド が維持できているかを確認するよう共 有しています。
-
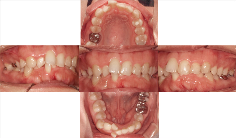
![[写真] ₂の形態異常を主訴に来院した30代女性](/academic/dentalmagazine/wp-content/uploads/sites/2/2025/09/194-5_photo07.jpg)
症例2-1 ₂の形態異常を主訴に来院した30代女性。審美回復には矯正治療が必要と説明したが、全顎的な矯正は希望されなかった。半年以内に終了する「iGo」による部分矯正治療には同意が得られたため、₁抜歯後に治療を開始した。 -
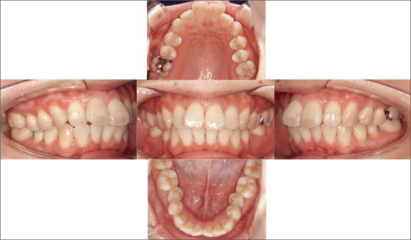
![[写真] 20週という短期間で歯列不正を改善](/academic/dentalmagazine/wp-content/uploads/sites/2/2025/09/194-5_photo08.jpg)
症例2-2 20週という短期間で歯列不正を改善。「クリンチェック治療計画」を再現性高く実行できた。「iGo」は矯正の範囲などに制約はあるが、歯牙移動について非常に再現性が高いことがわかる。 -
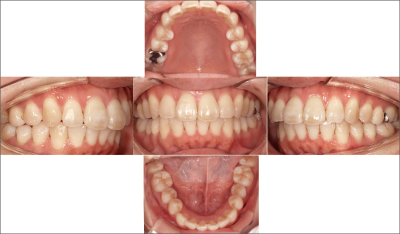
![[写真] 矯正治療後、₂にジルコニアフルクラウンを装着](/academic/dentalmagazine/wp-content/uploads/sites/2/2025/09/194-5_photo09.jpg)
症例2-3 矯正治療後、₂にジルコニアフルクラウンを装着。患者さんの主訴である審美回復を得ることができた。 -
![[写真] 術前と術後の比較](/academic/dentalmagazine/wp-content/uploads/sites/2/2025/09/194-5_photo10.jpg)
症例2-4 咬合における懸念点があり、今後も継続的なメインテナンスが必要と考える。本治療後に「インビザラインGo Plus」がリリースされ、第一大臼歯までの矯正治療が可能となったことは喜ばしいことと考える。
症例3:メインテナンスから部分矯正治療に進展した症例
安定した口腔内を保つ30代女性。前歯の叢生と左右非対称であることが気になり、「iGo」での治療を希望。₅ ₅が舌側傾斜する鞍状歯列弓で、₆₅ ₅₆の咬頭嵌合位での咬合が確立されておらず、将来的に咬合が理由で前歯にトラブルが起こる可能性があることから、咬合再構成を提案しました。歯科における一般開業医の役割は、患者さんの口腔内が安定し、10年後、20年後も歯を失わずにいられる方法を考えることです。主訴だけでなく、口腔内の長期安定のため咬合までしっかりと診て適切なコンサルテーションを行い、治療につなげていくことが重要です。
「iGo」を導入するメリットは、歯列を補正し、咬合を改善することで、手間と費用をかけて装着した補綴装置が長く維持できるようになること。そうした治療の価値を発信することで患者さんのデンタルIQを高め、「そうした治療を受けたい」と自発的に人が集まってくるようなクリニックになれば、自費診療の提案も行いやすく、経営の安定化も図れますし、それがひいては日本の歯科レベルの底上げにもつながるではないかと考えています。
-
![[写真] 前歯の叢生と左右非対称であることを主訴に来院した30代女性](/academic/dentalmagazine/wp-content/uploads/sites/2/2025/09/194-5_photo11.jpg)
症例3-1 前歯の叢生と左右非対称であることを主訴に来院した30代女性。「iGo」による前歯部矯正治療に加えて、₅ ₅を立ち上げて、咬合再構成を行うことを提案した。 -
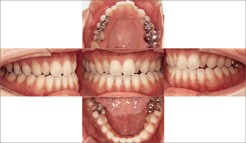
![[写真] 叢生の改善に加え、咬合の安定を得ることができた](/academic/dentalmagazine/wp-content/uploads/sites/2/2025/09/194-5_photo12.jpg)
症例3-2 叢生の改善に加え、咬合の安定を得ることができた。表層だけでなく、深層までしっかり診て判断し、対応することが大切である。
目 次
モリタ友の会会員限定記事
- Topics 追従性と折れにくさを実現したNiTiファイル「JIZAI」 世界一の品質を追求するマニーの開発現場に密着
- Clinical Report 複雑な根管形態と骨欠損形態を有するエンド・ペリオ病変への対応~トライオートZX2とJIZAI Pre020を用いて~
- Clinical Report 「メタシール®Softペースト」と「エンドノズル®#30(オレンジ)」を用いた簡単で封鎖性の高い新たな根管充填法
- Clinical Report 周術期ガムトレーニングは食道がん術後の舌圧低下を予防する~おいしく、楽しく、食道がん手術後の誤嚥・発熱を予防!~
- Close Up 求められる歯科医院による口腔機能低下症の早期介入とその重要性
- Field Report 切端咬耗、くさび状欠損に有用な接着性充填材料と、口腔内装置を衛生的に保つコーティングシステム
- Field Report アライナー矯正装置を用いた部分矯正治療と補綴治療の組み合わせがもたらす効果
- Field Report 審美補綴治療における材料の選択とセルフケアの重要性
- Clinical Report 進化を遂げたEr :YAGレーザー Adverl SH
- Interview 新術式「L-EPPT」はEr:YAGレーザーとも相性が良い治療法です
- Clinical Report 審美領域のインプラント治療においてTi ハニカムメンブレンを応用した連続インプラント症例
- Case Report 「超親水性インプラント」SPIイニセルインプラントを用いた症例
- YouTubeチャンネル 「X型水流」のお気に入りポイントや可能性について金子潤平先生に伺いました!
- Interview これからの予防歯科は、“チェアサイドではわからない生活時間帯”に対するアプローチが大切
- Lecture 連載:歯科衛生士に必要とされる医科の知識 <第1回>バイタルサイン
- Close Up 医療過疎地域における歯科医療をチームで支える巡回歯科診療
- Topics 「ケルン国際デンタルショー」(IDS 2025)レポート 海外で高い評価を受ける“Made in Japan”のクオリティ
他の記事を探す
モリタ友の会
セミナー情報
会員登録した方のみ、
限定コンテンツ・サービスが無料で利用可能
オンラインカタログでの製品の価格チェックやすべての記事の閲覧、臨床や経営に役立つメールマガジンを受け取ることができます。
商品のモニター参加や、新製品・優良品のご提供、セミナー優待割引のある、もっとお得な有料会員サービスもあります。