194号 AUTUMN 目次を見る
Case Report
「超親水性インプラント」SPIイニセルインプラントを用いた症例
キーワード:ティッシュレベルインプラント/患者満足度が高いインプラント
目 次
- ≫ はじめに
- ≫ 症例供覧
- ≫ SPIインプラントの利点は
- ≫ 最後に
はじめに
SPIインプラントは純チタン製で、表面性状がSLA形状のティッシュレベルインプラントである。インプラント表面に超親水性加工が施されており血液浸潤性が高く、タンパク質を均一に吸着するため、埋入直後から活性化した血小板がフィブリンネットワークを形成する。その結果、治癒期間早期の段階においてインプラント体へのオッセオインテグレーションのスピードが速く、埋入から3~4週間で骨結合が得られる。すなわち、早期に補綴装置を入れることができるため患者満足度が高いインプラントである。
私はモリタから話を聞き、2022年からSPIインプラントを導入し使用していたが、キットの簡便さとドリルの使いやすさ以外の良さが分かっていなかった。それはSPIインプラントの歴史も利点もそこまで理解できていなかったからであろう。
しかし、2024年にスイスに渡航しトーメンメディカル本社でSPIインプラントの歴史から製造工程、そしてグルンダー先生による講義を受けて、SPIインプラントの良さをあらためて知った(図1, 2)。
そこで今回、このような執筆の機会をいただいたので、SPIインプラントについての症例を提示していきたい。
-
![[写真] グルンダー先生による講義](/academic/dentalmagazine/wp-content/uploads/sites/2/2025/09/194-8_photo01.jpg)
図1 -
![[写真] グルンダー先生による講義](/academic/dentalmagazine/wp-content/uploads/sites/2/2025/09/194-8_photo02.jpg)
図2
症例供覧
<症例1>
29歳男性、主訴:左下の奥歯が痛い。
₆の歯根破折による痛みがあり抜歯即時埋入を行った。φ6.0長さ8.0mmのSPIイニセルインプラント エレメントRCを選択(図3, 4)。埋入後3か月目で印象を行い補綴装置をセットした。抜歯即時埋入治療でも使いやすいインプラントだと実感した(図5)。
-
![[写真] 初診時のパノラマX線写真](/academic/dentalmagazine/wp-content/uploads/sites/2/2025/09/194-8_photo03.jpg)
図3 初診時のパノラマX線写真 -
![[写真] 抜歯即時埋入後のパノラマX線写真](/academic/dentalmagazine/wp-content/uploads/sites/2/2025/09/194-8_photo04.jpg)
図4 抜歯即時埋入後のパノラマX線写真 -
![[写真] 補綴装置セット後のパノラマX線写真](/academic/dentalmagazine/wp-content/uploads/sites/2/2025/09/194-8_photo05.jpg)
図5 補綴装置セット後のパノラマX線写真
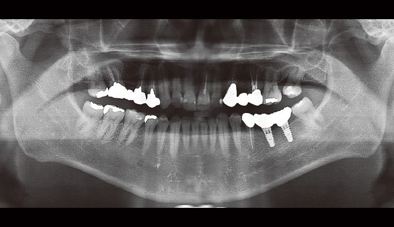
<症例2>
48歳男性、初診:2024年9月12日
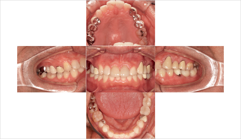
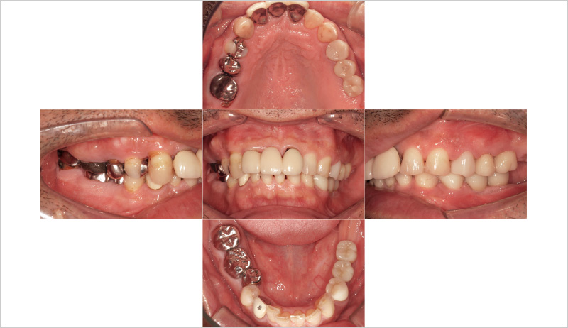
主訴:左下の奥歯で噛めるようになりたい(図6, 7)。
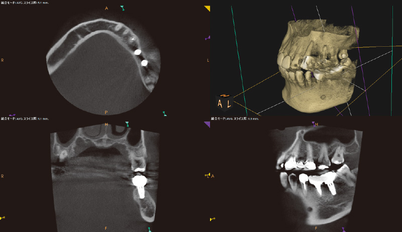
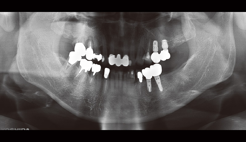
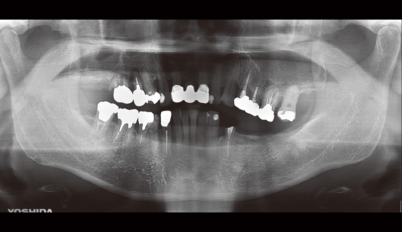
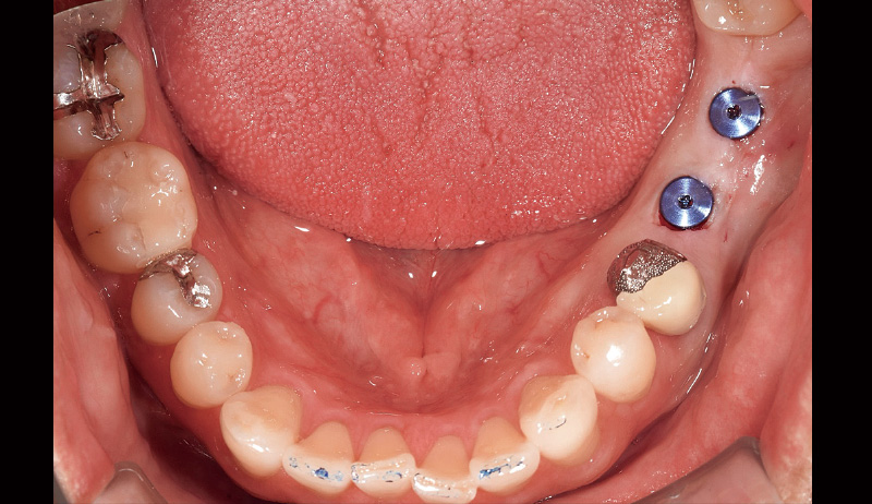
₆、₇にインプラントを埋入し左側の咬合を得る治療計画を立案。φ4.5長さ9.5mmのSPIイニセルインプラント エレメントRCを埋入した(図8)。まずはここで初期固定を得られたのでヒーリングキャップにて封鎖した(図9)。今回は勤務医たちへの指導の意味もあり、ガイデッドサージェリーにて行った。そして4週目でクローズドトレーにてシリコン印象を行い補綴装置をセットした(図10,11)。CBCT撮影を行い骨レベルの状態を確認し、機能的審美的にも問題ないことがわかっている(図12, 13)。
インプラント体とアバットメントは精密なインターナルヘックスとエクスターナル補強リングを付与したダブルロックコネクションになっていることで、応力を受け止めやすくなっている。そのためアバットメントスクリューが小さく設計されている。その結果、インプラント体とアバットメントの側壁を肉厚にすることが可能になる。また、アクセスホールが小さくなり、審美性と強度の高い上部構造の製作が可能なこともSPIインプラントの良さである。
-
![[写真] 初診時の口腔内写真](/academic/dentalmagazine/wp-content/uploads/sites/2/2025/09/194-8_photo06.jpg)
図6 初診時の口腔内写真 -
![[写真] 初診時のパノラマX線写真(2024年9月12日)](/academic/dentalmagazine/wp-content/uploads/sites/2/2025/09/194-8_photo07.jpg)
図7 初診時のパノラマX線写真(2024年9月12日) -
![[写真] インプラント埋入後のパノラマX線写真(2024年9月28日)](/academic/dentalmagazine/wp-content/uploads/sites/2/2025/09/194-8_photo08.jpg)
図8 インプラント埋入後のパノラマX線写真(2024年9月28日) -
![[写真] オペ後の口腔内写真](/academic/dentalmagazine/wp-content/uploads/sites/2/2025/09/194-8_photo09.jpg)
図9 オペ後の口腔内写真 -
![[写真] 補綴装置セット後のパノラマX線写真(2024年11月4日)](/academic/dentalmagazine/wp-content/uploads/sites/2/2025/09/194-8_photo10.jpg)
図10 補綴装置セット後のパノラマX線写真(2024年11月4日) -
![[写真] 補綴装置セット後の口腔内写真](/academic/dentalmagazine/wp-content/uploads/sites/2/2025/09/194-8_photo11.jpg)
図11 補綴装置セット後の口腔内写真 -
((株)吉田製作所 XeraSmartにて撮影)
<症例3>
51歳男性、主訴:左下の奥歯で噛めるようになりたい(図14, 15)。
この症例が私にとって初めてのSPIインプラント症例だった。ドリルキットがとても簡便で操作性も良く感じた。こちらの症例は初心者でもできる症例を挙げているので参考にしていただけたらと思う(図16~19)。
まずフラップを開く前にヨード染色を行い、付着歯肉の幅を確認する。その後、フラップを全層弁で開く(私の場合はそこまで大きくは開けないことが多い)。床形成を行い平行指示ピンを入れ平行性を確認。SPIイニセルインプラントをコンディショニングした状態で埋入の準備を行う。₅:φ4.0長さ11mm、 ₆:φ4.5長さ11mmのSPIイニセルインプラント エレメントRCを埋入。付着歯肉を減らさないように縫合を行った。
-
![[写真] 初診時の口腔内写真](/academic/dentalmagazine/wp-content/uploads/sites/2/2025/09/194-8_photo14.jpg)
図14 初診時の口腔内写真 -
![[写真] 初診時のパノラマX線写真](/academic/dentalmagazine/wp-content/uploads/sites/2/2025/09/194-8_photo15.jpg)
図15 初診時のパノラマX線写真 -
![[写真] オペ中の写真](/academic/dentalmagazine/wp-content/uploads/sites/2/2025/09/194-8_photo16.jpg)
図16 オペ中の写真。本症例が初めてのSPIインプラント症例だった。 -
![[写真] インプラント埋入後のパノラマX線写真](/academic/dentalmagazine/wp-content/uploads/sites/2/2025/09/194-8_photo17.jpg)
図17 インプラント埋入後のパノラマX線写真(₅のヒーリングキャップが甘く締められていることを確認したので再度締め直しを行った)。 -
![[写真] 完成後のパノラマX線写真](/academic/dentalmagazine/wp-content/uploads/sites/2/2025/09/194-8_photo18.jpg)
図18 完成後のパノラマX線写真 -
![[写真] 補綴装置セット後の口腔内写真](/academic/dentalmagazine/wp-content/uploads/sites/2/2025/09/194-8_photo19.jpg)
図19 補綴装置セット後の口腔内写真
この記事はモリタ友の会会員限定です。登録すると続きをお読みいただけます。
残り 667 文字
目 次
モリタ友の会会員限定記事
- Topics 追従性と折れにくさを実現したNiTiファイル「JIZAI」 世界一の品質を追求するマニーの開発現場に密着
- Clinical Report 複雑な根管形態と骨欠損形態を有するエンド・ペリオ病変への対応~トライオートZX2とJIZAI Pre020を用いて~
- Clinical Report 「メタシール®Softペースト」と「エンドノズル®#30(オレンジ)」を用いた簡単で封鎖性の高い新たな根管充填法
- Clinical Report 周術期ガムトレーニングは食道がん術後の舌圧低下を予防する~おいしく、楽しく、食道がん手術後の誤嚥・発熱を予防!~
- Close Up 求められる歯科医院による口腔機能低下症の早期介入とその重要性
- Field Report 切端咬耗、くさび状欠損に有用な接着性充填材料と、口腔内装置を衛生的に保つコーティングシステム
- Field Report アライナー矯正装置を用いた部分矯正治療と補綴治療の組み合わせがもたらす効果
- Field Report 審美補綴治療における材料の選択とセルフケアの重要性
- Clinical Report 進化を遂げたEr :YAGレーザー Adverl SH
- Interview 新術式「L-EPPT」はEr:YAGレーザーとも相性が良い治療法です
- Clinical Report 審美領域のインプラント治療においてTi ハニカムメンブレンを応用した連続インプラント症例
- Case Report 「超親水性インプラント」SPIイニセルインプラントを用いた症例
- YouTubeチャンネル 「X型水流」のお気に入りポイントや可能性について金子潤平先生に伺いました!
- Interview これからの予防歯科は、“チェアサイドではわからない生活時間帯”に対するアプローチが大切
- Lecture 連載:歯科衛生士に必要とされる医科の知識 <第1回>バイタルサイン
- Close Up 医療過疎地域における歯科医療をチームで支える巡回歯科診療
- Topics 「ケルン国際デンタルショー」(IDS 2025)レポート 海外で高い評価を受ける“Made in Japan”のクオリティ
他の記事を探す
モリタ友の会
セミナー情報
会員登録した方のみ、
限定コンテンツ・サービスが無料で利用可能
オンラインカタログでの製品の価格チェックやすべての記事の閲覧、臨床や経営に役立つメールマガジンを受け取ることができます。
商品のモニター参加や、新製品・優良品のご提供、セミナー優待割引のある、もっとお得な有料会員サービスもあります。
![[写真] 骨レベルの状態確認のためCBCT撮影](/academic/dentalmagazine/wp-content/uploads/sites/2/2025/09/194-8_photo12.jpg)
![[写真] 骨レベルの状態確認のためCBCT撮影](/academic/dentalmagazine/wp-content/uploads/sites/2/2025/09/194-8_photo13.jpg)