194号 AUTUMN 目次を見る
目 次
岡山市南区 医療法人きむら歯科医院
-
![[写真] 院長 木村 正人](/academic/dentalmagazine/wp-content/uploads/sites/2/2025/09/194-6_staff01.jpg)
院長
木村 正人 -
![[写真] 歯科衛生士 清水 望美](/academic/dentalmagazine/wp-content/uploads/sites/2/2025/09/194-6_staff02.jpg)
歯科衛生士
清水 望美 -
![[写真] 歯科衛生士 清水 望美](/academic/dentalmagazine/wp-content/uploads/sites/2/2025/09/194-6_staff03.jpg)
歯科衛生士
石原 香菜
<院長 木村正人>
1919年の開業から百余年、患者さんと正直に向き合うことが歯科医師の正しい姿と考え、「わからない」をなくす丁寧なカウンセリングと新しい技術や機器、精度の高い治療で、患者さん一人ひとりの立場に立ったオーダーメイドの歯科医療を4代にわたって提供してきました。今回ご紹介する症例も、そうした姿勢で誠実に向き合ったケースの一つと言えるでしょう。
症例1は当時50代の女性で、健診とメインテナンスを希望し、2018年に来院。過去のコンポジットレジン(CR)充填箇所に二次う蝕を認めたため治療を行いました。その後、継続的なメインテナンスの中で、歯の色調や一部の歯が舌側に傾斜していることに対してコンプレックスを感じておられることに担当歯科衛生士が気付きました。そこで2023年に審美改善を目的とした新たな治療を開始しました。
下顎の矯正治療は患者さんが希望しなかったため、₂ ₂の矮小歯を唇側に傾斜移動させ、その後のラミネートベニア修復を想定し、必要な補綴スペースを残し矯正治療を終了しました。
次に、₃から順にクラウン(₃)、360°ベニア(₂)、180°ベニア(₁)、180°ベニア(₁)、360°ベニア(₂)、180°ベニア(₃)という補綴治療計画を立案。マテリアルには、クラウンにジルコニア、ベニアに二ケイ酸リチウムを選択しました。このように、クラウンとベニア修復の混在に加え、歯に変色が見られるなどの留意点はありましたが、ラボサイドでジルコニアフレームに二ケイ酸リチウムベニアを接着する際に使用するセメントと、チェアサイドで支台歯に二ケイ酸リチウムベニアを接着するセメントを同じ製品で揃えることを前提に、色調のコントロールを行うことで対応できると判断しました。
接着セメントには、色調の安定性、光重合型による十分な操作時間、接着力の高さから、「パナビア ベニアLC」(クラレノリタケデンタル)を選択。通常は基本色である「ユニバーサル」を使用するケースが多いのですが、本症例では支台歯由来の変色を抑えるため、明度の高い「ブリーチ」を採用しました。
接着手技で大切なことは、「歯面処理」・「補綴内面処理」・「防湿」の3つです。本症例においても、支台歯面には「パナビアV5 トゥース プライマー」、補綴装置には「クリアフィルセラミック プライマー プラス」を用いて通法通り丁寧に前処理を行い、ラバーダム防湿下で治療を行いました。その結果、支台歯色を極力抑えた自然な色調と高強度の接着を実現、患者さんにも満足していただくことができました。加えて、本症例では、歯科衛生士が継続したメインテナンスによってプラークコントロールを安定させ、カウンセリング時に潜在的な主訴を引き出し、歯科医師とうまく連携できたことで実現したケースであり、歯科衛生士には大いに感謝しています。
-
![[写真] 初診時50代女性](/academic/dentalmagazine/wp-content/uploads/sites/2/2025/09/194-6_photo01.jpg)
症例1-1 初診時50代女性。健診とメインテナンス希望。歯頸部CR部分の二次う蝕を認めるが、その他大きな問題はなし。全顎的に歯列不正と歯肉退縮が目立つ。 -
![[グラフ] PCR](/academic/dentalmagazine/wp-content/uploads/sites/2/2025/09/194-6_photo02.png)
症例1-2 初診時からPCRはかなり良好であった。ただ一方で、口腔内所見と照らし合わせると、オーバーブラッシングが原因と疑われる歯肉退縮が見られた。 -
![[写真] 初診時より5年経過後](/academic/dentalmagazine/wp-content/uploads/sites/2/2025/09/194-6_photo03.jpg)
症例1-3 初診時より5年経過後。担当歯科衛生士とのメインテナンスの際の会話をきっかけに、かねてよりコンプレックスを抱いていた歯列不正と色調の改善を希望する。 -
![[写真] 部分矯正治療](/academic/dentalmagazine/wp-content/uploads/sites/2/2025/09/194-6_photo04.jpg)
症例1-4 患者さんと相談した結果、全顎的な矯正は行わず、部分矯正治療を行った後、補綴的な改善で治療を進めることとした。 -
![[写真] 必要最低限の歯質切削量で支台歯形成を行う](/academic/dentalmagazine/wp-content/uploads/sites/2/2025/09/194-6_photo05.jpg)
症例1-5 ラミネートベニア部分はエナメル質の保存を最優先とするため、必要最低限の歯質切削量で支台歯形成を行う。₂ ₂の矮小歯のエナメル質は十分に残存している。 -
![[写真] ラミネートベニア修復](/academic/dentalmagazine/wp-content/uploads/sites/2/2025/09/194-6_photo06.jpg)
症例1-6 ジルコニアクラウンと二ケイ酸リチウムによるラミネートベニア修復を行う。ジルコニアフレーム、二ケイ酸リチウムともに、ラボサイドでも「パナビア ベニアLC」の「ブリーチ」を使用することで色調をコントロール。 -
![[写真] 補綴装置内面処理](/academic/dentalmagazine/wp-content/uploads/sites/2/2025/09/194-6_photo07.jpg)
症例1-7 接着修復は補綴装置内面処理が非常に重要である。本症例では、「セラミック プライマー プラス」と「パナビア ベニア LC」による接着を行うこととした。 -
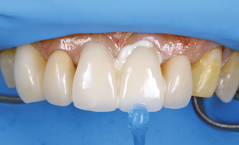
![[写真] ラバーダム防湿下において接着操作を行った](/academic/dentalmagazine/wp-content/uploads/sites/2/2025/09/194-6_photo08.jpg)
症例1-8 口腔内の水分を遮断し、接着効果を高めるため、ラバーダム防湿下において接着操作を行った。 -
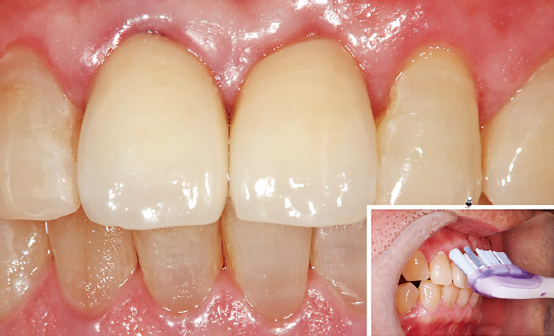
![[写真] 治療後](/academic/dentalmagazine/wp-content/uploads/sites/2/2025/09/194-6_photo09.jpg)
症例1-9 患者さんは審美的、機能的に満足し、現在も継続的なメインテナンスを行っている。
<歯科衛生士 清水望美/石原香菜>
患者さんの想いや口腔内に対するコンプレックスなど、コミュニケーションの中で患者さんが口にされたことはすべて歯科衛生士業務記録に記入しています。治療を終えた後も、「もっときれいにしたい」「もっと白くしたい」など、この先どうありたいのか、あらためてご要望をヒアリングし、継続したメインテナンスを通して新たな提案につなげていくことを心がけています。
症例の患者さんは、もともとプラークコントロール(PCR)の良い患者さんでしたが、オーバーブラッシングが原因と考えられる歯肉退縮が見られたため、過圧防止センサーがついた「ソニッケアー」を提案。ジルコニアや二ケイ酸リチウムなどの補綴装置にはプラークや着色が付着しにくい特徴がありますが、本症例では上顎前歯部のみの補綴治療であったため、主に下顎前歯のステイン除去を目的に、歯磨剤には「Brilliant more W」(ライオン歯科材)を提案しました。
「ソニッケアー」の場合、1歯あたり約2秒ずつ歯面に当てることで高い刷掃効果が期待できるため、その点は実際の製品を使って丁寧に指導しています。さらに、次回来院時には「ソニッケアー」を持参していただき、使用状況などを確認しながら継続的なサポートを行います。替ブラシの選択はプラークの付着具合を見て判断しますが、当たりのやわらかいものやコンパクトなタイプなど、選択肢が多いのも「ソニッケアー」の魅力です。「ジェントルプラスブラシ」や「プレミアムオールインワンブラシ」は毛先が最後臼歯の遠心面まで届くため、ワンタフトブラシのように歯間部や歯と歯肉の境目などに使用することも可能です。プラークコントロールが改善すれば、ケアタイムを減らして患者さんとの会話に時間を割けるようになります。そうすれば、患者さんの隠れた主訴も引き出しやすくなると感じています。
-
![[写真] 露出した歯根面](/academic/dentalmagazine/wp-content/uploads/sites/2/2025/09/194-6_photo10.jpg)
参考症例1 露出した歯根面のプラーク停滞と歯肉退縮を抑えるため、過圧防止センサーがついた「ソニッケアー」、替ブラシには適度にコシがあり歯肉にやさしい「プレミアム ガムケアブラシ」を選択。 -
![[写真] ブラケットの上下を含むさまざまな角度からアプローチ](/academic/dentalmagazine/wp-content/uploads/sites/2/2025/09/194-6_photo11.jpg)
参考症例2 矯正治療中はPCR不良になりやすいため、二次う蝕の予防を意識し、ブラケットの上下を含むさまざまな角度からアプローチできる「プレミアム オールインワン ブラシ」を選択。 -
![[写真] ブラシ全体に「Brilliant more W」をつける](/academic/dentalmagazine/wp-content/uploads/sites/2/2025/09/194-6_photo12.jpg)
参考症例3 ブラシ全体に「Brilliant more W」をつけるよう指導。替ブラシにはコンパクトヘッドでステイン除去に適した「ホワイトプラス ブラシ コンパクト」を用いるとより効果的である。
同じ筆者の記事を探す【 木村 正人 】
モリタ友の会会員限定記事
- 193号 Clinical Report ジルコニア審美修復における接着性レジンセメントの最適解とは?~光の届きにくい高湿度環境下での接着を再考する~
- 193号 Interview 日常臨床を変革する 可能性を秘めた 装置だと感じています
目 次
モリタ友の会会員限定記事
- Topics 追従性と折れにくさを実現したNiTiファイル「JIZAI」 世界一の品質を追求するマニーの開発現場に密着
- Clinical Report 複雑な根管形態と骨欠損形態を有するエンド・ペリオ病変への対応~トライオートZX2とJIZAI Pre020を用いて~
- Clinical Report 「メタシール®Softペースト」と「エンドノズル®#30(オレンジ)」を用いた簡単で封鎖性の高い新たな根管充填法
- Clinical Report 周術期ガムトレーニングは食道がん術後の舌圧低下を予防する~おいしく、楽しく、食道がん手術後の誤嚥・発熱を予防!~
- Close Up 求められる歯科医院による口腔機能低下症の早期介入とその重要性
- Field Report 切端咬耗、くさび状欠損に有用な接着性充填材料と、口腔内装置を衛生的に保つコーティングシステム
- Field Report アライナー矯正装置を用いた部分矯正治療と補綴治療の組み合わせがもたらす効果
- Field Report 審美補綴治療における材料の選択とセルフケアの重要性
- Clinical Report 進化を遂げたEr :YAGレーザー Adverl SH
- Interview 新術式「L-EPPT」はEr:YAGレーザーとも相性が良い治療法です
- Clinical Report 審美領域のインプラント治療においてTi ハニカムメンブレンを応用した連続インプラント症例
- Case Report 「超親水性インプラント」SPIイニセルインプラントを用いた症例
- YouTubeチャンネル 「X型水流」のお気に入りポイントや可能性について金子潤平先生に伺いました!
- Interview これからの予防歯科は、“チェアサイドではわからない生活時間帯”に対するアプローチが大切
- Lecture 連載:歯科衛生士に必要とされる医科の知識 <第1回>バイタルサイン
- Close Up 医療過疎地域における歯科医療をチームで支える巡回歯科診療
- Topics 「ケルン国際デンタルショー」(IDS 2025)レポート 海外で高い評価を受ける“Made in Japan”のクオリティ
他の記事を探す
モリタ友の会
セミナー情報
会員登録した方のみ、
限定コンテンツ・サービスが無料で利用可能
オンラインカタログでの製品の価格チェックやすべての記事の閲覧、臨床や経営に役立つメールマガジンを受け取ることができます。
商品のモニター参加や、新製品・優良品のご提供、セミナー優待割引のある、もっとお得な有料会員サービスもあります。