194号 AUTUMN 目次を見る
Clinical Report
審美領域のインプラント治療においてTi ハニカムメンブレンを応用した連続インプラント症例
キーワード:前歯部審美領域のインプラント症例/Tiハニカムメンブレンの有用性
目 次
はじめに
前歯部インプラント治療において、機能だけでなく審美的な回復も求められる。しかし、歯牙の喪失に伴い、三次元的に喪失した硬軟組織に対して、乳頭を含めた審美的な再建を達成することは、容易なことではない。また、その欠損が広範囲に広がれば広がるほど、その再建は難易度がさらに増していく。
今回、感染を長期に放置していたことによる重度の骨欠損が生じた前歯部に対して、Tiハニカムメンブレンを応用し、審美性の回復を行うことができた症例を供覧したい。
症例概要
80歳の女性の患者で、主訴は前歯にインプラントを入れて欲しい、とのことで来院された。21は自然排膿を生じながらも強い痛みがないため長年放置していたが、腫脹や疼痛を繰り返すようになったため、治療介入することとした。
治療計画
前歯は、②① ①2のロングスパンブリッジが装着されている。デンタルにて₁が歯根を取り囲むような透過像が確認された(図1)。
エンドペリオ病変を併発しており、抜歯適応と判断した。11, 12は、太くて長いダウエルコアが装着されていた。12の根尖部に13の埋伏歯を認め、それにより12の歯根が吸収している。保存の可否を判断するために、ロングスパンブリッジを撤去しようとしたこところ、容易に撤去でき、21に関しては歯根ごと抜去された。11, 12は残存歯質が乏しく歯肉縁下だったため、保存不可と判断した。患者の強い希望もあり、インプラントによる補綴設計を計画した(図2)。
-
![[写真] 21には、歯根を取り囲むような感染像を認める](/academic/dentalmagazine/wp-content/uploads/sites/2/2025/09/194-7_photo01.jpg)
図1 21には、歯根を取り囲むような感染像を認める。22の根尖相当部にはGP様異物が確認できる。 -
![[写真] 11は残存歯質が少なく、唇側は縁下に及んでいる](/academic/dentalmagazine/wp-content/uploads/sites/2/2025/09/194-7_photo02.jpg)
図2 11は残存歯質が少なく、唇側は縁下に及んでおり、再介入を考慮し抜歯とした。
補綴設計・治療順序
最終的な補綴設計は、11, 21にインプラントを埋入し、12, 22への遠心カンチレバーとすることとした。21, 22どちらも骨欠損が大きいが、根尖側にインプラントの初期固定が取れるであろう21への埋入とした。治療順序としては、21, 22に骨造成をまず行い、6か月の治癒期間を経たのちにインプラント埋入を行うこととした。
実際の治療
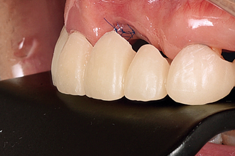
21の抜歯後、2か月の期間を経たのちに、Tiハニカムメンブレンによる骨造成処置を行った。オペ用ステントを装着し、顔貌や口腔内での調和を確認後、欠損顎堤の評価・増大量の確認を行った(図3)。長期間の感染を放置していたことにより、感染の程度は大きく重度の骨欠損を認めた。ステントから目標とすべき造成量を確認したところ、垂直・水平的に約7mmとなった。6mm以上の骨の造成が必要なため、非吸収性のTiハニカムメンブレンを選択した1)。Tiハニカムメンブレンは、形態の付与が行いやすく、術中の操作が行いやすいため、大きな硬軟組織造成の際には重宝している。
13, 23の遠心隅角に縦切開を行い、₁₂欠損部に対しては、唇側寄りの歯槽頂切開を行った。フラップを剥離・翻転後、骨に付着している軟組織を除去し骨欠損形態を明示した。欠損部顎堤は、鼻腔底に近い部分までの骨の喪失を認め、頰舌的に1層の薄い骨が確認でき、また口蓋側の骨壁も喪失している(図4, 5)。下顎右側頰棚よりボーンスクレーパーにて自家骨を採取し、骨移植材として填入した。
ステントにて最終の歯冠概形を参考にし、骨造成量を決定していく。具体的には、インプラントプラットフォームの唇側に最低1.8mm以上、できれば4mm以上の水平的な骨造成が達成できるように骨材を填入し、垂直的には、最終歯頸ラインの直下まで再建するように骨材の填入を行った2, 3)。
また、Tiハニカムメンブレンは、両隣在歯より1mm以上離すように調整した(図6)。通常、メンブレンをスクリューやピンにて口蓋側に固定する際に苦慮することが多い。その原因として、欠損が大きく固定する場所がないなどの欠損形態の問題、口蓋側が見えづらいなどの視野の問題、そしてスクリューやピンの打つ角度が口蓋側の骨形態に対して斜面への埋入となりやすいなどの手技的な問題がその要因として考えられる。
対応策としては、欠損が大きければ、単独歯の欠損だったとしてもLサイズのTiハニカムメンブレンを使用し、固定のとりやすい1歯離れたところにスクリューを埋入する。また、視野の確保や器具の確実な操作のために、口蓋側歯肉溝切開の隣在歯まで追加切開や、必要であれば口蓋側3番遠心に縦切開を行い、十分に口蓋側フラップを翻転する。Tiハニカムメンブレンは、素材として比較的顎堤形態に馴染みやすいため、口蓋側の骨形態によってはスクリューやピン固定が必要ない症例もあるが、私はできるかぎり口蓋側でのメンブレンの固定を行うことを心がけている。
今回の症例では、口蓋側をスクリューにて固定を行ったのちに、頰側はピンにて固定を行った。
その後、マイクロスコープを用いながら、慎重に骨膜減張切開を行った。骨膜部分に0.5mmほどの深度で切開し、ペリオスチールにて鈍的にフラップを伸展していく。フラップ内面で繊維組織が強く伸展が難しい部分のみマイクロスコープで確認しながら、選択的にメスにてその部分を切開し、再度ペリオスチールにて剥離を行った。
頰舌側のフラップにテンションがかかることなく4mm程度重なることを確認し、縫合へと移った。欠損側歯槽頂にePTFE製の非吸収性モノフィラメント縫合糸にて水平マットレスを2本行い、7-0の縫合糸にて単純縫合を行った。一次創傷治癒を達成するために、raw to rawで縫合できるように努めた。造成量が大きいため、術後大きな腫脹や疼痛はあったものの裂開等もなく、2週間後に抜糸を行った。
-
-
![[写真] 21, 22相当部](/academic/dentalmagazine/wp-content/uploads/sites/2/2025/09/194-7_photo04.jpg)
図4 21, 22相当部は、根尖付近まで骨の喪失を認める。 -
![[写真] 欠損部顎堤](/academic/dentalmagazine/wp-content/uploads/sites/2/2025/09/194-7_photo05.jpg)
図5 欠損部顎堤は、著しい骨の喪失が確認できる。 -
![[写真] 骨移植材を填入して、Tiハニカムメンブレンを設置](/academic/dentalmagazine/wp-content/uploads/sites/2/2025/09/194-7_photo06.jpg)
図6 骨移植材を填入して、Tiハニカムメンブレンを設置。 -
![[写真] 顎堤の形態を再現するようにアーチ状にTiハニカムメンブレンを賦形する](/academic/dentalmagazine/wp-content/uploads/sites/2/2025/09/194-7_photo07.jpg)
図7 顎堤の形態を再現するようにアーチ状にTiハニカムメンブレンを賦形する。
この記事はモリタ友の会会員限定です。登録すると続きをお読みいただけます。
残り 1876 文字
目 次
モリタ友の会会員限定記事
- Topics 追従性と折れにくさを実現したNiTiファイル「JIZAI」 世界一の品質を追求するマニーの開発現場に密着
- Clinical Report 複雑な根管形態と骨欠損形態を有するエンド・ペリオ病変への対応~トライオートZX2とJIZAI Pre020を用いて~
- Clinical Report 「メタシール®Softペースト」と「エンドノズル®#30(オレンジ)」を用いた簡単で封鎖性の高い新たな根管充填法
- Clinical Report 周術期ガムトレーニングは食道がん術後の舌圧低下を予防する~おいしく、楽しく、食道がん手術後の誤嚥・発熱を予防!~
- Close Up 求められる歯科医院による口腔機能低下症の早期介入とその重要性
- Interview MCIと認知症の兆候を見逃さないために~歯科で気づける、その変化~
- Field Report 切端咬耗、くさび状欠損に有用な接着性充填材料と、口腔内装置を衛生的に保つコーティングシステム
- Field Report アライナー矯正装置を用いた部分矯正治療と補綴治療の組み合わせがもたらす効果
- Field Report 審美補綴治療における材料の選択とセルフケアの重要性
- Clinical Report 進化を遂げたEr :YAGレーザー Adverl SH
- Interview 新術式「L-EPPT」はEr:YAGレーザーとも相性が良い治療法です
- Clinical Report 審美領域のインプラント治療においてTi ハニカムメンブレンを応用した連続インプラント症例
- Case Report 「超親水性インプラント」SPIイニセルインプラントを用いた症例
- YouTubeチャンネル 「X型水流」のお気に入りポイントや可能性について金子潤平先生に伺いました!
- Interview これからの予防歯科は、“チェアサイドではわからない生活時間帯”に対するアプローチが大切
- Lecture 連載:歯科衛生士に必要とされる医科の知識 <第1回>バイタルサイン
- Close Up 医療過疎地域における歯科医療をチームで支える巡回歯科診療
- Topics 「ケルン国際デンタルショー」(IDS 2025)レポート 海外で高い評価を受ける“Made in Japan”のクオリティ
他の記事を探す
モリタ友の会
セミナー情報
会員登録した方のみ、
限定コンテンツ・サービスが無料で利用可能
オンラインカタログでの製品の価格チェックやすべての記事の閲覧、臨床や経営に役立つメールマガジンを受け取ることができます。
商品のモニター参加や、新製品・優良品のご提供、セミナー優待割引のある、もっとお得な有料会員サービスもあります。
![[写真] ステント試適時](/academic/dentalmagazine/wp-content/uploads/sites/2/2025/09/194-7_photo03-1.jpg)
![[写真] ステント試適時](/academic/dentalmagazine/wp-content/uploads/sites/2/2025/09/194-7_photo03-2.jpg)