169号 SUMMER 目次を見る
目 次
2016年に開業した当院は、一般歯科医院の先生からご紹介いただいた患者さんの根管治療(歯内療法)を専門に行う医院です。もともと根管治療に興味を感じていましたが、あるスタディグループに参加して、開業医の先生方と患者さんの間に立って根管治療を行う歯内療法専門医の存在を知りました。そこで世界の根管治療を牽引するペンシルバニア大学歯学部歯内療法学科大学院に留学し、より専門的な知識とスキルを習得し、日本では数少ない米国歯内療法学会認定の米国歯内療法専門医として活動しています。
ちなみに米国の歯科医療において難易度の高い治療が求められる場合、各分野の専門医が連携を取り合いそれぞれの専門領域を診療し、1人の患者さんの治療に当たります。患者さんも症状に応じた専門医にかかるわけですが、歯科治療の中でも難易度が比較的高いとされる根管治療については、あるデータによると日本の治療の成功率が50%とされるのに対し、正しい教育を受けた歯内療法専門医が行えば、80~90%ともいわれています。
このような背景から、先のスタディグループでは、「日本人の根尖性歯周炎の有病率を下げる」ことを大きな指針に掲げています。そのためにも治療の成功率を最大限に上げることが重要で、技術の研鑽と経験の蓄積はもちろん、それをサポートする器具や機材のクオリティの追求が日々欠かせません。当院では「最新モデルに限らず、歯内療法の成功率を少しでもあげたい」との考えから、一つひとつこだわりをもって選んでいます。
例えば、根管治療に必須となるCBCTの場合、当院では「ベラビューエポックス3Df-40e」を導入しています。実は、ペンシルバニア大学歯学部大学院に在籍中に同じ機種を使っており、もともと使い慣れていたことと、読影がしやすい高い画質が決め手になりました。
ただ、どのような症例もCBCTで撮影すれば治療の成功率が劇的に上がるというものではありません。撮影を実施するかどうかは、ヨーロッパのガイドラインに「患者に被曝させることよりも撮影する利益が必ずうわまっていて、なおかつ最小の被曝量で撮影を行う」とあるように、医療人としての倫理観が問われます。当院では、おもに2つのケースに活用しています。一つは、外科手術を行う際の安全面に考慮した場合。下顎大臼歯部に歯根端切除手術を行う際、術野からオトガイ神経までの距離の測定などに役立てています。もう一つはご紹介をうけた患者さんの治療計画を立てる際、診断が複雑で三次元的な解析が必要な場合や、患歯の特定が困難な場合に用いています。
その点でコンパクトサイズの3Df-40eは、低被ばくで、診断に必要なピンポイントを高画質で撮影できる安心感があります。いざという時の撮影で適切な診断を下せる高画質は、歯内療法ではマストといえるでしょう。
これからも一層治療の成功率を上げて、根尖病変を治したいと願う患者さんと、根管治療後の慢性的な再発などにお悩みの歯科医院の先生、その両者のお手伝いができればと思っています。ただ、患者さんの有病率を下げるためには、個々の歯科医師の努力だけでは到底足りません。まずは、国民や歯科医院の先生に歯内療法について啓蒙活動を行い、私たちの想いを継いでくれる学生や研修医の指導・育成にも携りたいと考えています。
-

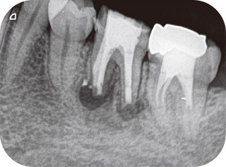
症例1-1 初診時X線写真。頰側歯肉の腫脹が消えないとのことで近医より紹介。歯髄の診断は歯髄処置済歯、根尖周囲組織の診断は症状のある根尖性歯周炎ならびに慢性根尖膿瘍と診断し、再根管治療の必要性を説明し、治療開始。 -

症例1-2 2回の治療で終了。根管充填時のX線写真。根管充填後も頰側歯肉の腫脹が消失しないため、根尖性歯周炎の問題解決には至っていないと判断し、歯根端切除術を行う。 -

症例1-3 根尖より3mmの位置での近心根の頰側から舌側までの厚みを測定。 -

症例1-4 オトガイ孔から近心根ならびに5までの距離の測定。 -

症例1-5 歯根端切除術直後。 -

症例1-6 歯根端切除術6ヵ月後。根尖部周囲の骨組織の回復が確認できる。 -

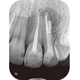
症例2-1 初診時X線写真。サイナストラクトが消えないとのことで近医より紹介。歯髄の診断は既根管治療歯、根尖周囲組織の診断は症状のある根尖性歯周炎ならびに慢性根尖膿瘍と診断し、2の再根管治療の必要性を説明し、治療開始。 -

症例2-2 サイナストラクトよりガッタパーチャポイントを挿入しX線撮影。 -

症例2-3 外傷の既往もあるとのことでCBCT撮影。頰側へのパーフォレーションも確認できる。 -

症例2-4 2回目の来院時にはサイナストラクトは消失、2回の治療で終了。根管充填時のX線写真。 -

症例2-5 再根管治療6ヵ月後のX線写真。骨組織の回復が確認できる。
同じテーマの記事を探す【 X線 】
モリタ友の会会員限定記事
- 180号 Contribution 【CT発売20周年記念 特別寄稿】院内ネットワークによるコミュニケーション戦略「データ管理」から「データ活用」へ
- 180号 Contribution 【CT発売20周年記念 特別寄稿】「Veraviewepocs 3Dfα」を用いた Digital Work Flow
- 180号 Contribution 【CT発売20周年記念 特別寄稿】CBCTのDICOMデータとTRIOSのスキャンデータを活用したフルデジタルでの抜歯即時埋入症例
- 179号 Contribution 【CT発売20周年記念 特別寄稿】インプラント治療におけるCBCTの有用性と未来
- 178号 Contribution 歯周治療へのCBCTの応用
目 次
モリタ友の会会員限定記事
- Trends 患者ニーズに対応するテーラーメイド型 電動歯ブラシ
- Trends パッと充填、サッと形態付与臼歯Ⅰ級窩洞のコンポジットレジン充填に新たな選択肢「クリアフィル®マジェスティIC」について
- Clinical Report 前歯部における隣接面歯冠形態回復へのアプローチ
- Field Report 高画質でピンポイント撮影根管治療の安全性と成功率を高めるコンパクトCBCT
- Trends 曲がりやすく、折れない「EX kodomo F 0-2 才用、3-5 才用 歯ブラシ」の開発と機能について
- Clinical Report ~新たな歯科分野を理解するために~口腔筋機能における“運動器”という概念
- Field Report 私たち歯科衛生士の付加価値を高めてくれるテーラーメイド型電動歯ブラシ
- Close Up 脳神経外科医や管理栄養士が所属する歯科医院~訪問診療の新しいスタイルを模索して~
他の記事を探す
モリタ友の会
セミナー情報
会員登録した方のみ、
限定コンテンツ・サービスが無料で利用可能
オンラインカタログでの製品の価格チェックやすべての記事の閲覧、臨床や経営に役立つメールマガジンを受け取ることができます。
商品のモニター参加や、新製品・優良品のご提供、セミナー優待割引のある、もっとお得な有料会員サービスもあります。










