136号 SPRING 目次を見る
■目 次
■はじめに
クラレ社によりレジンボンディング材が開発され、故総山孝雄、東京医科歯科大学名誉教授、日本学士院会員の臨床応用指導によって、クリアフィル ボンドシステムFという製品がモリタ社により発売されて以来、はや30年が過ぎようとしている。
初期の製品ではフェニールPという機能性モノマーが用いられていたが、その後の改良により、現在では、より分子量の大きなMDPが導入されている。また既に初期の製品よりリン酸水溶液によるトータルエッチング法と相俟って本邦における臨床家の圧倒的支持を得て、レジン修復に広く用いられてきた。その臨床性能は、機械的保持形態無しに高い口腔内保持率を示し、それまでのレジン修復の窩洞形態をも根本的に一新する画期的なものであり、現在広く臨床で唱えられているMI(ミニマムインターベンション)の先駆をなすものであった。
その後、可視光線重合システムの採用により、クリアフィル フォトボンドが開発され、さらに広く臨床家に用いられることとなった。また一時期、コンポジットレジンペーストの窩洞粘着性を向上させるため、低粘性のレジンペーストを加えて、3ステップとしたクリアフィル ライナーボンドが開発市販された。次いでその後、セルフエッチング機能を持たせ、窩洞処理の後に水洗を必要としない、世界初となる2ステップのクリアフィル ライナーボンドⅡが開発市販された。この時も先のトータルエッチング法のクリアフィル ボンドシステムFと同様、東京医科歯科大学の保存修復学教室を除いて、他の歯科大学の教職にある臨床家からはエナメル質壁のエッチング効果が小さいなどの大きな非難が起こったが、今回も同様に本邦における臨床家の圧倒的支持を受け、広く臨床に用いられるようになった。
さらに本邦を含め、世界の歯科材料会社から、類似のセルフエッチング レジンボンディングシステムが開発市販され、最近ではレジンボンディング材といえば、セルフエッチング レジンボンディングのことを指すまでになっている。
クラレ社は、ライナーボンドⅡ、ライナーボンドⅡΣを同じく2ステップのクリアフィル メガボンド(国外ではクリアフィル SEボンド)に発展させ、その後さらに改良を加えて、1ステップのクリアフィル トライエスボンドを開発するに至った。これらのセルフエッチング レジンボンディングシステムの歯質接着性能は、従来の引張り接着強さで20MPaを越え、世界の基礎、臨床を問わず研究者の間では、メガボンドの性能がディファクトスタンダード(ゴールドスタンダード)として、いまだに認められている。
最近、クリアフィル トライエスボンドの臨床上のさらに有利な特徴を、一段と強めたクリアフィル トライエスボンドNDが開発市販された。本論では、このクリアフィル トライエスボンドNDの特徴と、臨床応用について概説した。
■クリアフィル トライエスボンドNDの特徴
1)クリアフィル トライエスボンドNDは、セルフエッチングプライマーとボンドの機能を併せもつ1ステップの1液型レジンボンディング材であり、窩洞形成終了後、水洗乾燥した窩洞壁面に十分塗布し20秒間処理する。
次いで強めのエアーブローを5秒間行い薄く延ばす。光照射は従来のハロゲンランプで10秒間、プラズマアークでは5秒間行う。
2)クリアフィル トライエスボンドNDの硬化したボンド層の厚さは5~10ミクロンとなっており、均一な膜層を形成することができる。
3)クリアフィル トライエスボンドNDは、ボンドを採取後、遮光下で7分まで使用可能であり、1回の採取で3~4窩洞の修復処置を同時に行うことができる。
これは特殊なクラレ社の分散技術により、親水性成分と疎水性成分の相分離を起こさないように設定しているからである。
4)クリアフィル トライエスボンドNDは、ポーセレンボンドアクチベーターとの混和によりポーセレン修復物の補修修復に用いることができる。すなわち、シランカップリング処理とボンディング操作を同時に行うことができる。
■クリアフィル トライエスボンドNDを用いた接着性審美修復の臨床
最初にクリアフィル トライエスボンドNDとクリアフィル マジェスティLVを用いた前歯部露出根面のう蝕の複数歯同時修復の実際について図1~11に示す。
1回のボンド採取で十分に3歯の修復が問題なく行われた。
図12~18に前歯部メタルボンド修復歯の歯頸部根面露出に伴う複数歯の補修修復の症例を示す。
本症例では、トライエスボンドNDとポーセレンボンドアクチベーターの混和物がボンディング材として用いられた。
図19~21には前歯部3級窩洞の症例が、図22~25、図26~28にそれぞれ臼歯部2級と1級の審美修復の症例を示す。

図1 左側前歯部3歯の露出根面のう蝕の術前。
図2 通法に従ってMIダイヤモンドポイントによって窩洞形成。
図3 窩洞完成。
図4 クリアフィル トライエスボンドNDの塗布。3窩洞同時処理。
図5 20秒処理後、比較的強めのエアーブローの後、10秒光照射。
図6 クリアフィル マジェスティLVの充塡(A3.5)。
図7 光照射20秒。
図8 光照射終了。
図9 仕上げ。
図10 研磨。
図11 修復完了。極めて自然で審美的な修復が短時間のうちに完了した。
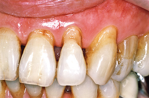
図12 右側前歯のメタルボンド修復歯の歯頸部根面露出とう蝕の症例。
図13 通法に従って窩洞形成。
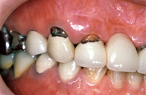
図14 K‑エッチャントにより2、3秒処理の後、トライエスボンドNDとポーセレンボンドアクチベーターの混和物によりボンディング処理。
図15 オペーカーの塗布と光照射。オペーカーは重合深度が浅いので十分に光照射。
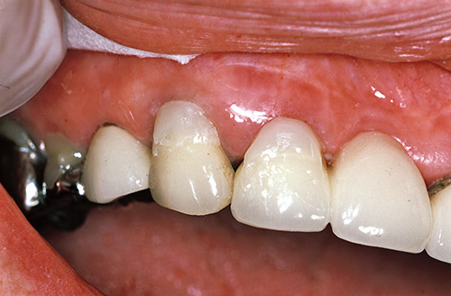
図16 クリアフィル マジェスティの充塡(OA2)。
図17 仕上げ後。
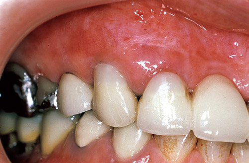
図18 研磨後。
図19 前歯部3級の症例の術前。
図20 窩洞完成。
図21 修復終了(マジェスティA3)。
図22 下顎小臼歯部2級の症例の術前。
図23 窩洞完成。
図24 コンポジタイト3Dによるマトリックスの挿入。
図25 修復終了(マジェスティA3)。極めて審美的な修復が完成された。
図26 下顎大臼歯部1級の症例の術前。
図27 窩洞完成。
図28 修復終了(マジェスティA3)。極めて審美的で自然な修復が完成された。
■まとめ
歯頸部の楔状欠損、臼歯部咬合面など、日々の臨床では往々にして複数歯の窩洞を同時に修復処置を行うケースに遭遇することが多い。このような場合、トライエスボンドNDは非常に有効に用いることができる。
一般的にセルフエッチング レジンボンディング材は、溶液採取後、比較的早期に使用しない場合には相分離を起こし易いなど欠点が認められたが、本材はこのような欠点を有せず、まさに理想的なシステムと言える。
クリアフィル トライエスボンドNDが、本邦の歯科臨床で益々多用され、国民の口腔健康の増進に役立つことを願って稿を閉じる。
- 1) 編集代表 山田敏元:接着性コンポジットレジン修復の基礎と臨床. ヒョーロン・パブリッシャーズ, 東京, 2007.
同じ筆者の記事を探す【 山田 敏元 】
モリタ友の会会員限定記事
- 132号 CLINICAL REPORT ハイブリッドコートⅡ
- 121号 CLINICAL REPORT 無機フィラー含有量81wt%のフロアブルレジン 「クリアフィルマジェスティLV」の登場 ~マジェスティLVを用いた臨床~
- 117号 CLINICAL REPORT 「クリアフィルマジェスティ」の理工学的特性と臨床応用
- 114号 CLINICAL REPORT クリアフィルトライエスボンドの理工学的特性と臨床応用
- 111号 CLINICAL REPORT 高いX線造影性を有する新規フロアブルコンポジット“クリアフィルフローFX”を用いた臨床
同じ筆者の記事を探す【 杉崎 順平 】
モリタ友の会会員限定記事
- 132号 CLINICAL REPORT ハイブリッドコートⅡ
- 117号 CLINICAL REPORT 「クリアフィルマジェスティ」の理工学的特性と臨床応用
- 114号 CLINICAL REPORT クリアフィルトライエスボンドの理工学的特性と臨床応用
- 100号 TRENDS 新しい前歯部審美修復用コンポジットレジン“クリアフィルST”について
目 次
モリタ友の会会員限定記事
- Trends ノリタケデンタルスキャナーSC-3について
- 私の臨床 ノリタケカタナ&セラビアンZR「色の調和」と「天然歯らしさ」のバ「色の調和」と「天然歯らしさ」のバランス・カタナジルコニアフレーム臨床上の優位ポカタナジルコニアフレーム臨床上の優位ポイント
- Clinical Report クリアフィルR SAセメント オートミックス
- Clinical Report クリアフィル トライエスボンド NDを用いた接着性審美修復
- Clinical Report 既製乳歯冠による歯冠修復 -キッズクラウンを適応した症例-
- CLINICAL REPORT TBB系接着充填材「ボンドフィルSB」の臨床応用
- Trends 「ボンドフィルSB」について
- Clinical Hint 水流圧洗浄を利用した口腔バイオフィルムの除去効果
他の記事を探す
モリタ友の会
セミナー情報
会員登録した方のみ、
限定コンテンツ・サービスが無料で利用可能
オンラインカタログでの製品の価格チェックやすべての記事の閲覧、臨床や経営に役立つメールマガジンを受け取ることができます。
商品のモニター参加や、新製品・優良品のご提供、セミナー優待割引のある、もっとお得な有料会員サービスもあります。



























