158号 AUTUMN 目次を見る
目 次
- ≫ はじめに
- ≫ 画像症例
- ≫ デンタルX線写真の弱点
はじめに
一般歯科診療においては歯や顎骨の画像検査手段として、通常はデンタルX線写真やパノラマX線写真が利用されており、少しずつCBCTの利用も広がりつつある。X線写真は被写体がすべて重複して写る2次元画像であるので、その利点や欠点が生じる。利点はどんどん利用して診断につなげることができる。しかし、欠点は何故不鮮明な画像となったか、あるいは何故不可解な画像が生じたのかなどを解明したり、あるいは原理的に推測することが必要になってくる。
この虎の巻シリーズの最終巻では、日常臨床におけるデンタルX線写真上に現れた不明、不可解、異常な画像を取り上げ、その真相を追求したい。
その多くは原理的に理解できる場合と、CBCTにおける正しい所見を反映することで解明できる場合がある。すなわち、CBCT所見はGolden Standardとしての役割を有しているので、CBCTの所見をフィードバックして、2次元画像の理解に役立てることができる。
画像症例
症例1:画像からは歯根破折と診断されたが歯周病だった症例
図1は下顎左側第二大臼歯の痛みを訴えた56歳女性のデンタルX線写真である。
近心根および遠心根に根尖まで至る歯周ポケットがあり、デンタルX線写真では分岐部に透過像が見られた。
患歯は1年半前に抜髄処置を受けていた。患歯のCBCT冠状断面像(図2)でも歯根舌側に沿って骨吸収像を認めた。
垂直性歯根破折の診断で抜歯を行った。抜去歯を観察すると舌側分岐部および歯根遠心面に歯石の付着が見られた(図3)。
破折線は認められず、垂直性歯根破折ではなかった。
この症例では歯周病としては極めて非定型的な画像所見を呈した。
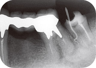
症例2:瘻孔の原因歯をデンタルから判定できなかった症例
46歳女性で、他院で下顎左側第二大臼歯の根管治療を開始したが、瘻孔が消えないために紹介で来院した。
瘻孔は患歯近心歯頸部に見られた(図4)。デンタルX線写真では患歯根尖に透過像が認められたが、瘻孔から挿入したガッタパーチャは近心根の途中で止まっていた(図5)。
また、下顎左側第一大臼歯遠心根の根尖部透過像とは独立しているように見えた。
根管治療を継続しても瘻孔が消失しなかったためにCBCTを撮影した(図6)。
第一大臼歯の遠心根管は未処置で遠心根の根尖病変に開口しており、その病変は第二大臼歯の病変と交通している。骨欠損像は歯冠側に向かっており、瘻孔の原因は第一大臼歯遠心根である可能性が明らかとなった。
第一大臼歯の根管治療を行うと瘻孔は消失した(図7)。
根管充填後のデンタルを図8に示す。
この症例のデンタルX線写真では、#36遠心根および#37近心根の根尖病変の関係が明確でなかった。
また廔孔の原因を#37と思い込んだことにより、#36の根管治療を後回しにしたことで#37の根管治療が長引いてしまった。
早い段階でのCBCT画像検索を行っていたらデンタルX線写真の所見を補うことができただろう。
症例3:画像診断では根尖孔外の感染(歯石)の存在を推定できなかった症例
33歳女性、上顎右側中切歯部の瘻孔を主訴に来院した(図9)。
デンタルX線写真では歯根周囲に特に異常像を認めなかった(図10)。
よく見ると歯根中央部のやや遠心寄りに透過像(矢印)が見られた。CBCT(図11)ではその部分は側枝(矢印)のようである。
なお、唇側の歯槽骨は消失していることが確認できた。この部位の側枝に対する処置は外科的歯内療法である。フラップを形成して患部にアクセスすると、CBCT所見通り唇側の歯槽骨はなく、側枝も認められた(図12)。
しかし側枝周囲の歯根象牙質は黒変しており、さらに歯石の付着が見られた。患歯の歯周ポケットは全周2mm程度と正常であり、歯周病ではないので、歯石は側枝の感染に由来したものと考えられた。
側枝は非外科的根管治療でも処置できる可能性もあるが、このような側枝周囲のバイオフィルムに対しては外科的に対応せざるを得ない。
本症例はこの側枝を処置して3年経過しているが再発はない。
この症例のデンタルX線写真で歯根中レベルに側枝らしき所見に気付き、CBCTで確認できた。デンタルX線写真の画質が低レベルであったら、この側枝の所見は分からなかっただろう。また歯根に付着した歯石の所見が得られなかった。
-

図1 #37のデンタルX線写真。
-

図2 #37のCBCT冠状断面像。
-

図3 #37抜去後に確認できた舌側分岐部の歯石。
-

図4 #37近心歯頸部の瘻孔。
-

図5 #37瘻孔からガッタパーチャポイントを挿入して撮影したデンタルX線写真
-

図6 #36・37のCBCT矢状断像。
-

図7 #36の根管治療後、瘻孔は消失した。
-

図8 #36・37根管充填後のデンタルX線写真。
-

図9 #11付近の歯肉に見られる瘻孔。
-

図10 #11のデンタルX線写真。矢印は側枝と思われる透過線像。
-

図11 #11のCBCT矢状断像。矢印は側枝。
-

図12 #11の外科的歯内療法時の写真。
症例4:デンタルでは歯根嚢胞と根尖孔外の感染を推定できなかった症例
図13は上顎右側中切歯根尖部の歯肉腫脹を訴えた49歳女性のデンタルX線写真である。根尖部に透過像は認められるが境界明瞭ではない。
CBCT(図14)では根尖部に円形の骨欠損像が認められる。この骨欠損は球状に広がっていた。歯根嚢胞の可能性が高い。
外科的歯内療法を行うと病変から排膿があり、緑色の塊が出てきた(図15)。摘出した病変を病理検査したところ、嚢胞腔はあっても上皮は認められない非上皮性歯根嚢胞と診断された(図16)。切片から緑膿菌感染の所見は確定できなかったが、嚢胞内には根尖孔外の感染として菌塊が存在した可能性があった。
この症例では、#11のデンタルX線写真では根尖病変の範囲をほとんど掴めなかったが、CBCTで明瞭に描出された。この理由は次の章で説明したい。
症例5:根管充填がデンタルではオーバーに見えた症例
図17、18は37歳女性の下顎左側第二大臼歯のデンタルX線写真である。他院での治療後の痛みのために来院した。
遠心根管のみ根管充填されていたが、歯根膜腔を追跡して確認できる根尖孔から根管充填材はオーバーしているように見えた。
CBCTでは矢状断像(図19)でも冠状断像(図20)でも根管充填材の先端と根尖は一致している。歯根の根尖側1/3あたりで骨の形態が陥凹しており、歯根も頰側に湾曲している。
デンタルでは矢印の方向からX線が照射されるが、この陥凹部が根尖のように見えたと考えられる。本来の根尖はデンタルでは明瞭でないために根管充填材のみが写り、オーバーしているように見えた。
電気的根管長測定の方が正確に作業長を決定できるが、デンタルで作業長を決めるとアンダーになってしまうような例である。
このような症例ではCBCT上で長さを確認することが望ましい。
デンタルX線写真の弱点
顎骨とくに歯槽骨のデンタルX線写真において、骨の病変や異常所見の中で、不透過像を呈する骨硬化症や骨増生変化は、比較的その存在や範囲を掴みやすい。ところが、骨(海綿骨)が吸収されたり、脱灰(骨塩減少)されたり、破壊されたりしても、周囲の健常骨よりも透過性が高く、すなわち黒く鮮明に描出されないことがある。これはデンタルX線写真を含むX線写真(重複画像撮影)の宿命であり欠点とも言える。
具体的には、全体として鮮明に撮影されたデンタルX線写真でも、根尖病変が歯根の周囲に限局し、頰側や舌側の皮質を吸収しておらず海綿骨のみに限局している場合は、その根尖病変は鮮明な透過像として描出されない(図13、21)。根尖病変は比較的歯根から頰側や唇側に腫大していることが多く、そのために頰側の海綿骨は消失し、皮質も腫脹して薄くなったり消失しやすい。しかし、歯根よりも舌側・口蓋側の海綿骨や皮質は残っていることが多い(図14、22)。このような状態では、X線が透過しても骨によるX線減弱が弱く、相対的に周囲の健常骨と差があまりつかない。一方、図23のように根尖病変が皮質を吸収するほど腫大すると、デンタルX線写真でも境界明瞭な嚢胞様透過像を呈する。特に口蓋側の皮質は厚いので、それが吸収消失すると透過性が増し、明瞭な境界を呈する。
一方、三次元断面像であるCBCTでは、ある断面だけを表示するのでそのような病変周囲の条件により左右されることはない。したがって、デンタルX線写真において、不鮮明な透過性病変がみられた場合は、撮影手技を再検討する必要もあるが、CBCTによる3次元断面画像が正解を示してくれる。
図24、25も同様に歯根に接して発生した嚢胞(原始嚢胞か)だが、デンタルX線写真では不鮮明で見逃しやすい(患者は無症状で気づいていない)。しかし、CBCTでは鮮明な嚢胞様像として描出された。
- 1)Bender IB, Seltzer S.: Roentgenographic and direct observation of experimental lesions in bone: I. JADA, 62: 152-160, 1961.
- 2)López FU, Kopper PMP, Cucco C, Bona AD, de Figueiredo JAP, Vier-Pelisser FV.: Accuracy of Cone-beam Computed Tomography and Periapical Radiography in Apical Periodontitis Diagnosis.
同じ筆者の記事を探す【 神田 重信 】
モリタ友の会会員限定記事
- 162号 Clinical Hint CBCT読影虎の巻Part4 歯槽骨・顎骨の微細構造を読む
- 161号 Clinical Hint CBCT読影虎の巻Part3 歯の微細構造を読む
- 160号 Clinical Hint CBCT読影虎の巻Part2 CBCTのアーチファクトとその画像障害
- 159号 Clinical Hint CBCT読影虎の巻Part1 読影しやすい画像にカスタマイズする方法
- 157号 Clinical Hint X線画像読影虎の巻Part3 歯周病の読み方
同じ筆者の記事を探す【 吉岡 隆知 】
モリタ友の会会員限定記事
- 162号 Clinical Hint CBCT読影虎の巻Part4 歯槽骨・顎骨の微細構造を読む
- 161号 Clinical Hint CBCT読影虎の巻Part3 歯の微細構造を読む
- 155号 Clinical Hint X線画像読影虎の巻Part1 歯根周囲感染病巣の読み方
- 149号 Clinical Report ソルフィーFを用いた歯内療法
同じテーマの記事を探す【 X線 】
モリタ友の会会員限定記事
- 180号 Contribution 【CT発売20周年記念 特別寄稿】院内ネットワークによるコミュニケーション戦略「データ管理」から「データ活用」へ
- 180号 Contribution 【CT発売20周年記念 特別寄稿】「Veraviewepocs 3Dfα」を用いた Digital Work Flow
- 180号 Contribution 【CT発売20周年記念 特別寄稿】CBCTのDICOMデータとTRIOSのスキャンデータを活用したフルデジタルでの抜歯即時埋入症例
- 179号 Contribution 【CT発売20周年記念 特別寄稿】インプラント治療におけるCBCTの有用性と未来
- 178号 Contribution 歯周治療へのCBCTの応用
目 次
モリタ友の会会員限定記事
他の記事を探す
モリタ友の会
セミナー情報
会員登録した方のみ、
限定コンテンツ・サービスが無料で利用可能
オンラインカタログでの製品の価格チェックやすべての記事の閲覧、臨床や経営に役立つメールマガジンを受け取ることができます。
商品のモニター参加や、新製品・優良品のご提供、セミナー優待割引のある、もっとお得な有料会員サービスもあります。
























