158号 AUTUMN 目次を見る
目 次
- ≫ はじめに
- ≫ 症例1 上顎第一大臼歯口蓋根が原因の歯性上顎洞炎
- ≫ 症例2 正中過剰埋伏歯
- ≫ 症例3 インプラント周囲炎
- ≫ 症例4 右側下顎歯肉癌
- ≫ おわりに
はじめに
ジブリアニメ「崖の上のポニョ」やテレビドラマ「流星ワゴン」、映画「ウルヴァリン」「探偵ミタライの事件簿」の撮影に使われたのどかな観光地である「鞆の浦」に近い当院で、歯科用CT専用機3DX-FPD8(CBCT)を導入して2年になります。
口腔外科と顎骨再生をライフワークとして大学病院に在籍していたので医科用CTを診ることには慣れてはいたものの、各社から続々とCBCTが登場し、より身近に顎口腔領域の詳細な状態を歯科医師が確認することができるようになりました。大学の先輩で、私の研修医時代からの師匠である野阪泰弘先生のご指導1、2)と、CBCTの生みの親である新井嘉則先生が制作された3DXのプロトタイプを実験で使わせていただく3、4)という幸運に恵まれ、臨床・基礎研究の両面で世界最高水準と証明された5)その圧倒的な精度と情報量に大きな衝撃を受けて本機の導入を決めました。
導入時もこの3DXの配置は患者様に安心して撮影を受けていただけることを最優先に、X線室内のきめ細やかな配慮を行いました。
口腔外科専門医として手術主体の大学や病院に勤務していたときと違い、開業医は患者それぞれの要望に細かく応えていく必要があり、その中でも特に高齢者や有病者は低侵襲な治療を希望されることが多いと実感しています。
今回は一般診療においてCBCTによる診断・治療が有益であった4症例を提示させていただきます。
症例1 上顎第一大臼歯口蓋根が原因の歯性上顎洞炎
左頰部の違和感と鼻閉感を主訴に耳鼻咽喉科を受診。上顎洞炎の診断にて抗生剤、去痰薬等を長期間投与するも改善せず、原因検索依頼にて当院を紹介受診された。
パノラマX線写真では6根尖部に広範囲の類円形透過像が認められた(図1)。X線診査ではのう胞の存在が示唆され、6打診痛と自覚症状からも上顎洞底部との位置関係を明確にする必要があると考えたためCBCT撮影を行った。
CBCTでは6口蓋根周囲に骨吸収像を認め、同根尖部より上顎洞粘膜の肥厚を認め(図2a、b)、歯性上顎洞炎の原因となっているため6 の根管治療の必要性を説明したが、他院で補綴治療直後のため冠保存を強く希望された。
CBCTより口蓋根は予後不良、近心頰側根および遠心根は周囲骨および根尖部の状態から保存可能と判断しトライセクションを行った(図2c)。この際、CBCTで口蓋根の切断部位や大きさを計測することにより、歯冠形態を保持したまま、口蓋側粘膜の剥離および骨削除をすることなく抜去できた。抜歯窩は不良肉芽を十分に掻爬して抜歯創用保護材を挿入し、抜糸後に67は連冠として経過観察した。
術後9ヵ月に撮影したCTでは抜歯窩の新生骨の形成と上顎洞粘膜の肥厚が消失していることが確認できた(図3a、b)。現在症状なく経過良好である。上顎臼歯根尖性歯周炎と上顎洞炎の関係をパノラマX線写真で患者に説明し理解してもらうことは非常に難しい。
一方、CBCTがあれば図2cで示したモリタの画像処理ソフトi-VIEWで構築される3D画像(ボリュームレンダリング)を用いて説明することにより術前後の状態が患者や家族にも理解しやすい。
耳鼻咽喉科医院ではCTを導入していないところもあり、長期の抗生剤投与でも治癒不良である場合は歯性上顎洞炎を疑い、歯科医院を紹介する場合もある。
また耳鼻咽喉科ではサイナスリフトやソケットリフトについての認知度はまだ決して高くなく、歯科医師は上顎智歯抜歯による口腔上顎洞瘻、上顎洞炎、術後性上顎嚢胞、三叉神経痛、帯状疱疹などに対処することもあり、隣接医学領域である耳鼻咽喉科医との緊密な連携を取れる体制を持つことも重要であると考えている。
-

図1 初診時パノラマX線写真。6根尖部に類円形透過像を認める。 -

図2a 初診時CBCT矢状断像。口蓋根周囲の骨吸収は上顎洞底を超えて上顎洞粘膜の肥厚と連続している。 -

図2b 初診時CBCT水平断像。口蓋根周囲の骨吸収は口蓋側皮質骨まで及んでいる。頰側2根周囲は明らかな骨吸収は認めない。 -

図2c 術直後のボリュームレンダリング画像。口蓋根を切断・抜去した状態を患者に説明しやすい。 -

図3a 術後9ヵ月後のCBCT矢状断像。口蓋根抜歯窩は海面骨様のX線不透過性を呈する。上顎洞底部にも皮質骨様のX線不透過性を呈する。上顎洞粘膜の肥厚は消失している。 -

図3b 術後9ヵ月後のCBCT水平断像。口蓋根抜歯窩に新生骨と考えられるX線不透過像を呈する。頰側2根の状態も把握できる。
症例2 正中過剰埋伏歯
他院より抜歯依頼で受診した男児の正中過剰埋伏歯のデンタルX線写真(図4)。頰側歯肉粘膜や鼻腔底粘膜を剥離して抜歯する症例にも遭遇したことがあるため、当院では完全埋伏歯に関してはすべてCBCT撮影を行うようにしている。
本症例のCBCT所見では逆性埋伏であったが1口蓋側の浅い位置に確認できた(図5a、b)。CBCTで過剰歯と永久歯との位置関係を正確に把握できるため逆性でも1口蓋側粘膜弁をわずかに形成するのみで骨削除することなく抜歯することができた(図6a)。ボリュームレンダリングは患者や家族にも埋伏歯の状態や手術手技を理解しやすく、術者にとっても手術前後のイメージトレーニングには最適である(図6b)。ただし、診断のツールとしては参考程度にするべきである。その理由としてボリュームレンダリングは角度によってイメージが大きく異なり構築するレベルによって画像が変化するためで、スライス画像による最終診断が必要である。これにより術者は低出血・低侵襲で安心・安全な治療を行うことができる。
-

図4 初診時デンタルX線写真。逆性正中過剰埋伏歯を1付近に認めるが位置関係は明確でない。 -

図5a 初診時CBCT矢状断像。3DXはエナメル質も鮮明に判別できるため周囲骨の状態を確認できる。 -

図5b 初診時CBCT水平断像。切歯管や永久歯、鼻腔底との位置関係が容易に把握できる。 -

図6a 上:術中写真 CBCT所見とほぼ同じでピンポイントで過剰歯にアプローチできる。図6b 下:初診時ボリュームレンダリング。患者への過剰歯の位置関係の説明・理解に有効である。
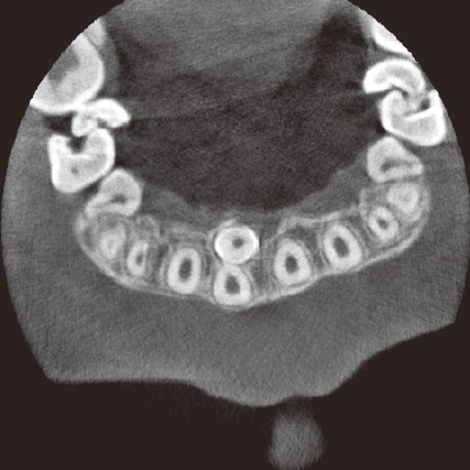
症例3 インプラント周囲炎
約30年前に他県で67部、765部に計5本のインプラント治療をされた男性。67部歯肉の腫脹と咬合痛を主訴に受診。パノラマX線では両側インプラント体周囲に不透過像を認めた(図7)。骨吸収の程度を調べるためCT撮影したところ67部ともに高度な骨吸収像を呈していた(図8a〜c)。インプラント周囲炎の主症状であるBOP、排膿、周囲骨欠損があり、動揺も認めた。CBCTおよび臨床所見から左は予後不良と判断し、インプラント周囲炎の状態について患者に説明し同意を得て抜去した(図9)。右についてはインプラント体周囲にクレーター状骨欠損を認めたが、これまでメンテナンスを受けておらず自覚症状もなかったが、CBCT所見からインプラント体周囲の歯石除去、デブリードメントおよびメンテナンスの必要性を説明し、患者に同意を得て現在治療中である(図10a〜d)。インプラント体撤去後の欠損部補綴について、患者は創部治癒後に義歯を選択され満足されている。
近年インプラント周囲炎が話題となっているが、その予防が最も大事であることは周知の事実である。歯周病と同様に、術後セルフケアや定期メンテナンスの重要性についてCBCT画像を用いて事前に説明することは、患者の理解と信頼度をより一層深めリスク回避につなげることができると考えられる。
-

図7 初診時パノラマX線写真。両側下顎臼歯部にインプラントが埋入されている。 -

図8a 初診時CBCT矢状断。67部は周囲骨の吸収を認める。 -

図8b 初診時CBCT前頭断。6部頰舌的に高度の骨吸収を認める。 -

図8c 初診時CBCT前頭断。7部同様に骨吸収を認める。 -

図9 摘出した67部インプラント体。 -

図10a 初診時CBCT矢状断。765部いずれも67部ほどではないがインプラント周囲の骨吸収を認める。 -

図10b CBCT前頭断。5部は周囲に他の2本ほどの骨吸収を認めない。 -

図10c CBCT前頭断。6部は5部に比べて周囲骨の吸収を認める。 -

図10d CBCT前頭断。7部は他の2本に比べて周囲骨の吸収が強い。
症例4 右側下顎歯肉癌
右下智歯の腫脹および開口障害が主訴の男性。これまで何度か腫脹を繰り返していたが放置していた。今回も同様の症状であったが、症状改善せず消炎のみを希望され当院を受診された。口腔内所見では7遠心部から臼後結節に及ぶ無痛性腫脹を認めた(図11)。また右顎下リンパ節の硬結も認めた。パノラマX線写真では8周囲の骨が高度に吸収され下顎管付近まで吸収されていた(図12)。骨吸収の詳細な進展具合を調べるため、CT撮影を行った(図13a〜c)。8は周囲骨がなくいわゆる浮遊歯(歯根の一部吸収も認める)の状態で、骨吸収は境界不明瞭で粗造であり、下顎管を超えて下顎枝内側後方まで進展しており腫瘍の可能性が示唆されたため病院歯科口腔外科へ紹介した。各種検査の結果、右側下顎歯肉扁平上皮癌頸部リンパ節転移(T4N1)と診断された。
このような症例に対して肉眼所見やパノラマX線写真だけでは智歯周囲炎と判断し、抜歯や掻爬をすることも十分に考えられる。これらの処置により癌の発見が遅れ、逆に進行を促進させる危険性があるためCBCTによる画像診断が非常に重要になる。本症例は内向性骨破壊で、肉眼所見では重度智歯周囲炎による蜂窩織炎との鑑別が必要であったが、CBCTでは明確に悪性腫瘍と判別できた。歯肉癌の微細な骨破壊の場合は医科用CTでは辺縁性歯周炎との鑑別が難しい場合が多いが、CBCTでは鑑別診断の材料に十分なりうる。このことから新規の口腔癌の診断方法とともに、CBCTは歯科医師による口腔癌の早期発見・診断に非常に有用であると考えられる。
-

図11 初診時口腔内写真。7遠心部の腫脹とアフタを認める。 -

図12 初診時パノラマX線写真。8水平埋伏歯周囲に広範囲の不透過像を認める。 -

図13a 初診時CBCT矢状断。骨破壊が下顎管を越えて進行している。8はいわゆる浮遊歯の像を呈している。 -

図13b 初診時CBCT水平断。骨破壊が下顎枝内下方へ進展している。 -

図13c 初診時ボリュームレンダリング。下顎管を描画することで腫瘍の進展度をより明確にさせることができる。
おわりに
いずれの症例も一般臨床でよく遭遇する症例ですが、CBCTなしではこのような診断ができない可能性があり、CBCTの有無で治療に大きな違いがでることを実感したものを提示させていただきました。もちろんインプラント、歯内治療、顎関節症、歯周病治療、外傷歯などの診断・治療のうえで、CBCTは私にとってなくてはならないツールとなっています。また、これまでX線や肉眼所見だけでは原因不明と診断された症例であっても、CBCTにより原因が明確になる可能性もあると考えられます。またサイナスリフトやGBRの必要なインプラント治療などで補綴物を取り外すことなく3DXの撮影により術前診断し説明ができることは術者・患者双方にとって利益が大きいと考えます。研修医時代から厳しく指導していただいた野阪先生から叩き込まれた「歯科医師は体の反応を支配することはできない。だからこそ、体の反応を正しく知るべきである」という言葉を胸に今後も3DXによる正確な診断と治療・基礎研究6)をさらに遂行していきたいと考えています。
- 1)野阪泰弘:CTで検証するサイナスフロアエレベーションの落とし穴 クインテッセンス出版2010.
- 2)Nosaka Y, Kitano S, Wada K, et al,: Endosseousimplants in horizontal alveolarridge distraction osteogenesis. Int J OralMaxillofac implants 17:846-853, 2002.
- 3)Wada K, Mizuno M, Tamura M et al,: Extracellularinorganic phosphate regulatesgibbon ape leukemia virus receptor-2/phosphate transporter mRNA expressionin rat bone marrow stromal cells. JCell Physiol 198:40-47, 2004.
- 4)和田圭之進、三宅実、田村和也、他:骨髄間質細胞培養系新規担体および培養骨膜を用いた骨再生法の開発に関する基礎的研究.日口外誌57:345, 2011.
- 5)Liang X, Jacobs R, et al,: A comparativeevaluation of Cone Beam Computed Tomography(CBCT) and Multi-Slice CT(MSCT) Part I. On subjective image quality.Eur J Radiol 75:265-269, 2010.
- 6)Aoki N, Kanayama T, Horii K, MiyamotoH, Wada K, et al,: Sinus augmentation byplatelet-rich fibrin alone:A report of twocases with histological examinations. CaseReports in Dentistry 2016 (in press).
同じ筆者の記事を探す【 和田 圭之進 】
モリタ友の会会員限定記事
同じテーマの記事を探す【 X線 】
モリタ友の会会員限定記事
- 180号 Contribution 【CT発売20周年記念 特別寄稿】院内ネットワークによるコミュニケーション戦略「データ管理」から「データ活用」へ
- 180号 Contribution 【CT発売20周年記念 特別寄稿】「Veraviewepocs 3Dfα」を用いた Digital Work Flow
- 180号 Contribution 【CT発売20周年記念 特別寄稿】CBCTのDICOMデータとTRIOSのスキャンデータを活用したフルデジタルでの抜歯即時埋入症例
- 179号 Contribution 【CT発売20周年記念 特別寄稿】インプラント治療におけるCBCTの有用性と未来
- 178号 Contribution 歯周治療へのCBCTの応用
目 次
モリタ友の会会員限定記事
他の記事を探す
モリタ友の会
セミナー情報
会員登録した方のみ、
限定コンテンツ・サービスが無料で利用可能
オンラインカタログでの製品の価格チェックやすべての記事の閲覧、臨床や経営に役立つメールマガジンを受け取ることができます。
商品のモニター参加や、新製品・優良品のご提供、セミナー優待割引のある、もっとお得な有料会員サービスもあります。























