158号 AUTUMN 目次を見る
来院するすべての患者さんには、自分の家族にしたいと思える治療をしたい…。関わったすべての患者さんが幸福感を得られるよう毎日診療に向き合っています。
近年、より侵襲の少ないコンポジットレジンを用いた接着修復がさかんに取り入れられるようになってきましたが、レジン充填は修復処置のなかで歯科医師によってすべての治療が完結する唯一の方法ですから、失敗した場合の原因はすべて自分にあると同時に、逆に研鑽を積むほどスキルアップが望める治療法でもあります。私はその部分にとことんこだわり“どうすれば上手に詰めることができるか”に重きをおいてこれまでトライ&エラーを繰り返してきました。
今回のテーマとなる2級窩洞の場合も、レジン材料やボンディング材の進化の恩恵を受け、これまで一般的だった間接修復に代わり、コンポジットレジンを用いた直接修復が第一選択になりつつあります。
修復の際のポイントとして、まず窩洞外形(削除量)を最小にするということと、防湿を徹底して完全な乾燥下で治療を完結させること、さらに適切な隔壁の設置が挙げられるでしょう。この3つを押さえれば、あとの窩洞充填は1級窩洞と同じですから難しいテクニックは必要ありません。
最近、材料の進歩に伴ってステップをより簡略化する傾向が見られますが、私はできるだけ手順を端折ることなくステップバイステップで丁寧に治療することが最終的な成功の近道になると考えています。
また、近頃は一塊で充填できる材料も多く見られますが、程度の差こそあれレジンは必ず収縮するということを踏まえれば、一塊で充填するより部分的に充填していきながら少しでも重合収縮を緩和させる方が良いはずですから、そこにはこだわりを持って、より繊細で丁寧な手技を心がけています。
そうした状況のなか、治療の精度を高めながらステップを単純化できるツールとして重宝しているのがマトリックスシステムコンポジタイト3Dシリーズです。マトリックスは以前他の製品を使っていましたが、もともとインレーが入っていて窩洞が大きいケースなどの際、マトリックスが分厚くコンタクトが空いてしまうことがありました。
コンポジタイト3Dについては、たまたま雑誌を見ていて30ミクロンとマトリックスが非常に薄いことを知り、「これはいいな。使えそうだな」と感じたのが最初の出会いでした。その後、私の恩師の一人、脇宗弘先生がデンタルマガジン誌上で高く評価しておられるのを拝見し、私も試しに使い始めました。
使ってみるとマトリックスの設置こそ慣れが少し必要ですが、それさえうまくできれば、後はその通りに作っていけばいいのでとてもシンプルでスピーディ、治療時間を短縮しながら自然な豊隆を再現することが可能で、私は現在では臼歯ではほとんどこのコンポジタイト3Dを使っています。
マトリックスの設置に関しては、特にラバーダムと併用する場合、クランプとリング、マトリックスそしてウェッジをうまくセットしていくことが大変で、私もここで挫けそうになることがよくあります。
しかし、要は1回できれいに仕上げようとするから難しいのであって、設置がまずくて少しバリが出たとしても、不必要な部分を削って2回に分けて詰めれば意外と難しくありません。1回目は歯肉縁下からの立ち上がりだけを作るイメージで、コンタクトを含む上の部分はお椀状に薄く削っておいて、後でもう一度マトリックスを設置して埋めていけばいいと考えれば、ストレスも少なくて取り組みやすいのではないでしょうか。
私はリング、ウェッジを設置した際に隙間がないかどうかだけはチェックして、うまく埋まらない場合には綿球をコヨリみたいにして両サイドからキュキュッと入れて隙間を埋めるようにしています。
天然歯の形態は患者さんによって微妙に違いますから前述したような調整が必要なこともありますが、コンポジタイト3Dには製品コンセプトに術者の労力を減らそうという意図を感じますし、比較的多くの症例ケースをカバーできますので、私自身とても重宝しています。
また、結果に対しては患者さんの満足度も高く、費用に見合う効果もあるので医院の収益性の面からみてもとても有効なツールと感じています。

図1 6の不適合インレーをコンポジットレジンにて修復することとした。
図2 インレー、コンポジットレジンを除去。2次カリエス部分は慎重に除去。
図3 通法に従いラバーダム防湿下、修復歯にウェッジとスリックバンド、3Dリテーナーを設置。本症例のように近心頰側隅角近くまで窩洞がある場合、先端ゴム部分を調整して窩縁にフィットさせる。
図4 クリアフィルマジェスティESフローHighにて窩底、歯頸側窩縁部などにライニング。
図5 気泡の混入を防ぐためマジェスティESフローSuper Lowを隣接面マージン部に置き硬化させずにES-2 Premium A3 Eを充填(スノープラウテクニック)。
図6 解剖学的象牙質部分にクリアフィルマジェスティES-2 Premium A3デンティンペーストを充填。
図7 隣接面部の充填が完了したところでスリックバンドを除去し、充填部歯肉側を光重合。以降はこのまま咬合面形態を作っていく。
図8 1咬頭ずつエナメル色ペーストを充填。
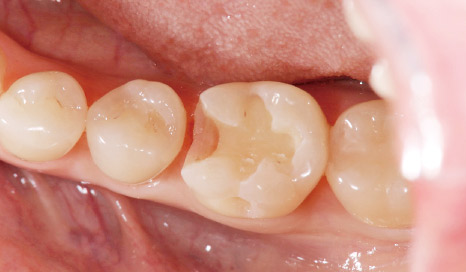
図9 初日の形態修正と研磨の終了時。
図10 隣接面歯頸部のカントゥア、コンタクトポイントなど理想的に回復できた。
図11 隣接面マージン部のステップがないためフロスもスムーズに使用可能。
図12 2回目来院時に最終研磨で終了。
同じ筆者の記事を探す【 江川 光治 】
モリタ友の会会員限定記事
同じテーマの記事を探す【 マトリックスシステム 】
モリタ友の会会員限定記事
- 174号 Clinical Report 歯肉縁下マージンの対応で変わる 光学印象の精度
- 171号 Clinical Report 大型2 級窩洞のコンポジットレジン修復を極める~実力につながる臨床解説編~
- 170号 Clinical Report 臼歯部2級窩洞コンポジットレジン充填修復のコツ~セクショナルマトリックスシステムを用いた隣接面へのアプローチ~
- 169号 Clinical Report 前歯部における隣接面歯冠形態回復へのアプローチ
- 168号 Clinical Report ストレス軽減に繋がるチェアサイドCAD/CAMの重要アイテム
目 次
モリタ友の会会員限定記事
他の記事を探す
モリタ友の会
セミナー情報
会員登録した方のみ、
限定コンテンツ・サービスが無料で利用可能
オンラインカタログでの製品の価格チェックやすべての記事の閲覧、臨床や経営に役立つメールマガジンを受け取ることができます。
商品のモニター参加や、新製品・優良品のご提供、セミナー優待割引のある、もっとお得な有料会員サービスもあります。











