195号 WINTER 目次を見る
キーワード:患者・術者ファーストのインプラントシステム/IOS活用による相乗効果
目 次
はじめに
筆者が初めてインプラント治療に接したのは、かれこれ20数年前である。当時は、何を始めて良いか分からず取り敢えず出身大学で使用されていたインプラントシステムについて学んだことを覚えている。感想は、「手順も多いし印象採得も煩雑だし難しい、自分にできるのであろうか」であり、それなりに“凹んだ”と記憶している。当時の自分には、インプラント治療が非常にハードルの高いものと感じられた。
八重洲歯科診療所におけるインプラント治療とCERECシステム
八重洲歯科診療所では、CERECシステム(以下CEREC)の存在が非常に大きい。CERECは即日処置を中心に稼働しない日は無いと言って過言ではない。少数歯から多数歯までの修復・補綴処置、矯正治療や睡眠時無呼吸へも応用している。当然インプラント治療にも、カウンセリング・診査診断・サージカルガイド作製から印象採得、上部構造の作製まで使用している。よって使用するインプラントシステムは、CERECをはじめとしたデジタル技術との相性を重要視している。
SPIインプラントシステムを使用するにあたり
筆者はシンプルで、容易なインプラントシステムを選択したいと考えている。このように言うと、軽々しく感じるかもしれないが、そうは考えていない。安全性と確実性を確保するために適切な診査診断を行った後、手術が開始されれば速やかに迷いなく施術を行うことが重要であろう。インプラントの埋入手術は、術者の練度が重要であるものの、初心者であっても安心安全に行えなければならない。インプラントシステムにおけるシンプル・容易とは、テクニカルエラーの減少と再現性の向上を確保するため、即ち安心安全を確保するための重要なポイントである。
以上を鑑みた時にSPIインプラントシステム(以下SPI)は、埋入開始から終了までを4から5のドリルステップで完了でき、その条件を満たしている。これは、エラーの排除のみならず、処置時間の短縮に寄与している。処置時間の短さは露出した硬・軟組織に対するダメージや、患者に対する負担も少なく患者ファーストのインプラントシステムと言える。さらにSPIの使用を決定した理由の1つは、ドリルの先端に付与されているガイド機能である。現在サージカルガイドが発展し、埋入位置に関するエラーはかなり減少したとされている。しかしながら、サージカルガイドを用いたとしても術者の手技と判断がやはり重要である。このガイド機能は実際にドリリングを進めて行く過程で正確性を担保しており、ちょっとしたことではあるが非常に有効であると感じている。
現在デジタル技術は、インプラント治療へかなり浸透してきており、多方面へ目を向けても見ないことは稀である。アナログ技術が無くなりはしないとは思うが、今後デジタル技術はさらにインプラント治療と密接な関係を構築して行くと推察できよう。当院でも、CERECと併用しSPIの使用を開始した。CERECを使用する理由としてはスピードである。CEREC Primescanが正確なことは、周知の事実であり、基本性能の1つとして使用するにあたり当然である。スピードは、IOSを日常的に使用する上で重要で、臨床においてストレスなくエラーを抑制しスムーズな治療を実行するために必要な事項である。あとはインプラントシステムとCERECの適合性である。実際にSPIをCERECと併用し、その有用性を実感している。上部構造はSPIインプラントの正確性とCERECの正確性の相乗効果により、かなり良好な適合性を有していると実感している。また以上をバーチャルモデルのみにて速やかにオーダーでき、精度が高く高品位の上部構造としてデリバリーされる。
*以上のステップを症例写真として、解説させていただく(図1~14)。
-
![[写真] 症例① 術直前](/academic/dentalmagazine/wp-content/uploads/sites/2/2025/11/195-10_photo01.jpg)
図1 症例① 術直前
術直前、浸潤麻酔後の写真を示す。#15, 16, 17歯欠損へのインプラント治療を希望された患者である。インプラント埋入に先立ち大学病院へ依頼してサイナスリフトを行った。八重洲歯科診療所における初めてSPIインプラントを用いて欠損部の修復治療を行った症例である。 -
![[写真] 2次手術前](/academic/dentalmagazine/wp-content/uploads/sites/2/2025/11/195-10_photo02.jpg)
図2 2次手術前
SPIインプラントの埋入後、ヒーリングキャップが装着されている写真を示す。術後6か月が経過しており、2次手術の前の状態である。#24, 25にはCERECを用いて行った。即日処置のシリカ系セラミックス製修復・補綴装置が接着してある。 -
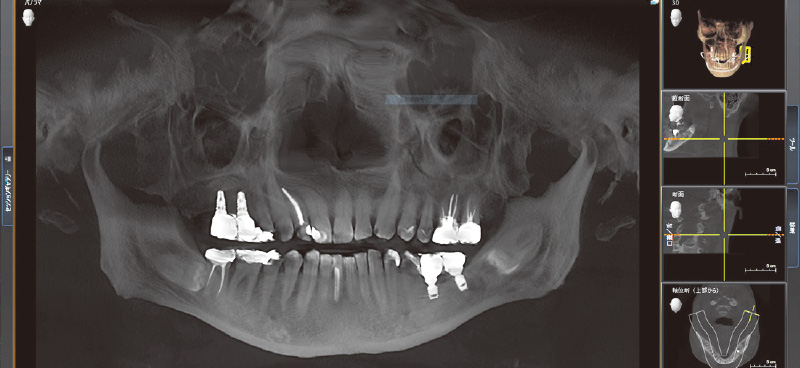
![[写真] CT画像よりサイナスリフト後、インプラント埋入を行うに十分な骨量が確保されている状態を確認できる](/academic/dentalmagazine/wp-content/uploads/sites/2/2025/11/195-10_photo03.jpg)
図3 CT画像よりサイナスリフト後、インプラント埋入を行うに十分な骨量が確保されている状態を確認できる。SPIインプラントシステムの特徴的なドリルは、シンプルで正確な埋入手術を可能としている。(デンツプライシロナ社製CTにて撮影) -
![[写真] デジタル印象採得](/academic/dentalmagazine/wp-content/uploads/sites/2/2025/11/195-10_photo04.jpg)
図4 デジタル印象採得
スキャンポスト装着後、デジタル印象を採得した像を示す。今回使用したCEREC PrimescanやPrimescan 2は数あるIOSの中でも高い精度を誇る優れたIOSである。 -
![[写真] デジタルデータ](/academic/dentalmagazine/wp-content/uploads/sites/2/2025/11/195-10_photo05.jpg)
図5 デジタルデータ
スキャンポストを植立し、インプラントの位置関係を確認している。リアルでは、この状態で咬合させるとスキャンポストが破損してしまうが、バーチャルでは、この状態でも確認が可能である。 -
![[写真] ジルコニア製上部構造](/academic/dentalmagazine/wp-content/uploads/sites/2/2025/11/195-10_photo06.jpg)
図6 ジルコニア製上部構造
上部構造は物性に優れたジルコニア製とし、石膏模型を用いずクラウドを介してデジタルデータを歯科技工所へ送り、作製した。 -
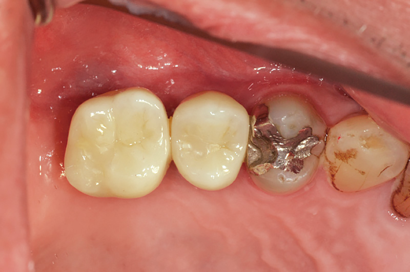
![[写真] 試適と咬合調整](/academic/dentalmagazine/wp-content/uploads/sites/2/2025/11/195-10_photo07.jpg)
図7 試適と咬合調整
上部構造は、SPIインプラントシステムとCERECの精度の良さが相まって、無調整もしくは最小限の調整にて装着することが可能である。SPIインプラントシステムは、スクリューのアクセスホールが小さく咬合関係の構築において有利である。 -
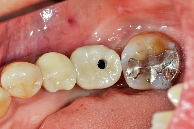
![[写真] 術後](/academic/dentalmagazine/wp-content/uploads/sites/2/2025/11/195-10_photo08.jpg)
図8 術後
アクセスホールをCRにて封鎖し治療を完了した。 -
![[写真] X-Ray画像](/academic/dentalmagazine/wp-content/uploads/sites/2/2025/11/195-10_photo09.jpg)
図9 X-Ray画像(デンツプライシロナ社製X線にて撮影)
全てが完了した術後の状態を示す。 -
![[写真] 症例② 2次手術前](/academic/dentalmagazine/wp-content/uploads/sites/2/2025/11/195-10_photo10.jpg)
図10 症例② 2次手術前
当院にて2症例目のSPIインプラントシステムを用いた症例である。症例①と同様にインプラント埋入後、待機期間を経て2次手術前の状態を示す。 -
![[写真] デジタル印象採得](/academic/dentalmagazine/wp-content/uploads/sites/2/2025/11/195-10_photo11.jpg)
図11 デジタル印象採得
スキャンアバットメントを装着後にデジタル印象採得を行った。 -
![[写真] 二ケイ酸リチウム製上部構造](/academic/dentalmagazine/wp-content/uploads/sites/2/2025/11/195-10_photo12.jpg)
図12 二ケイ酸リチウム製上部構造
デジタルデータのみにて上部構造を作製した。2次手術前に精度の高い上部構造を作製することで、2次手術における患者や術者の負担を軽減可能としている。 -
![[写真] 装着](/academic/dentalmagazine/wp-content/uploads/sites/2/2025/11/195-10_photo13.jpg)
図13 装着
今回二ケイ酸リチウムを使用し上部構造を作製することで、前方歯とも色調的に調和のとれた口腔内を再現可能としている。CERECをはじめとしたデジタル機器との相性の良さは、二ケイ酸リチウムやジルコニアなど高品位なマシナブルセラミック材料との相性の良さを示している。 -
![[写真] 術後](/academic/dentalmagazine/wp-content/uploads/sites/2/2025/11/195-10_photo14.jpg)
図14 術後とまとめ
SPIインプラントシステムはシンプルかつCERECとも相性が良く、結果的に患者ファーストであり術者ファーストでもある有用なインプラントシステムである。
まとめ
筆者はインプラント治療を始めて20年以上で、それなりに経験を積んでいると思うものの、施術にあたりいまだに緊張する。そこで重視しているのは、成功も大切であるが失敗しないことである。使用するインプラントシステムが、シンプルで術者を補ってくれる機能を有しているのであれば非常に幸甚であり、またデジタル技術との併用が容易かつ正確に行えるのであれば選択する重要なポイントとなり得る。以上を兼ね備えているSPIを今後使用し、研鑽を積み多様な症例へ多く応用していこうと考えている。
目 次
モリタ友の会会員限定記事
- Dental Talk 根管治療成功率アップへの近道~「Root ZX3」の高周波通電機能を応用した根管治療~
- Case Report 高周波歯内療法を活用した管間側枝・樋状根へのアプローチ
- Case Report 高周波根管治療を活用した難治性根尖性歯周炎と穿通不可能歯内歯周病変
- Case Report 高周波通電治療を活用した感染根管治療
- Topics 有機と無機の技術シナジー クラレノリタケデンタル、唯一無二の挑戦
- Case Report 抜歯後即時SPIインプラント埋入におけるEr:YAGレーザー使用の効果と予後への影響
- Case Report 上顎前歯部にSPIイニセルインプラントを用いて抜歯後即時埋入を行った1症例
- Case Report SPIインプラントシステムを八重洲歯科診療所において導入するにあたり
- Field Report 術者単独で動画撮影が可能 ライト一体型カメラがもたらす患者説明の広がり
- Dental Talk 「Veraview X800」はついに第二世代へ。高解像度CT撮影へのあくなき追求 進化を遂げた「Veraview X800+」の実力
- Clinical Report 現代の矯正治療における“とれない接着”と“歯に優しい接着”とは~「スーパーボンド®」と同じように使えるボンドフィルSB®Ⅱ」~
- Clinical Report 成人期における口腔機能管理-自覚のない「かくれ顎関節症」と成人期口腔機能障害-
- Close Up 従来法全部床義歯製作のポイントと デジタル義歯治療への期待
- Close Up アメリカに見る睡眠歯科のトレンドとウェルビーイング実現へのヒント
- Topics 医療MaaS車両が実現する「医療のデリバリー」被災地と過疎地、そして都市での新たな医療の形
- Interview デジタルデンチャーを足がかりに歯科技工の課題解決に力を注ぐ
- Field Report さまざまな歯科用合金に対応 簡便な鋳造を実現する高周波吸引加圧鋳造器
- YouTubeチャンネル 歯科衛生士と歯科技工士の資格を持つ丸山葉子さん「X型水流」を熱く語る!!
- Trends 18年ぶりにアップグレード 新型「ソニッケアー6100 プロフェッショナル」日本で発売
- Interview 片麻痺の当事者になって再認識した口腔ケアの重要性と清掃のポイント
- Field Report 患者さんと共に取り組む予防歯科 「ソニッケアー」を用いたセルフケアで普段から良好な口腔状態を維持
- Clinical Hint 「Check-Up歯ブラシ」臨床活用の幅広い可能性
- Lecture 連載:歯科衛生士に必要とされる医科の知識 <第2回> 血液検査データ①
他の記事を探す
モリタ友の会
セミナー情報
会員登録した方のみ、
限定コンテンツ・サービスが無料で利用可能
オンラインカタログでの製品の価格チェックやすべての記事の閲覧、臨床や経営に役立つメールマガジンを受け取ることができます。
商品のモニター参加や、新製品・優良品のご提供、セミナー優待割引のある、もっとお得な有料会員サービスもあります。