195号 WINTER 目次を見る
Case Report
高周波歯内療法を活用した管間側枝・樋状根へのアプローチ
キーワード:高周波通電(HFC)/ジュール熱/側枝/イスマス
目 次
症例1【管間側枝を有する5根管性下顎第一大臼歯】
患者: 26歳男性主訴:下顎右側臼歯部の自発痛、冷水痛、軽度の咀嚼時痛
現病歴: 1か月前より下顎右側臼歯部に冷水痛を自覚していたが放置。3日前より軽度の自発痛および咀嚼時痛が出現し、来院。
現症:断続的な鈍痛、咬合痛
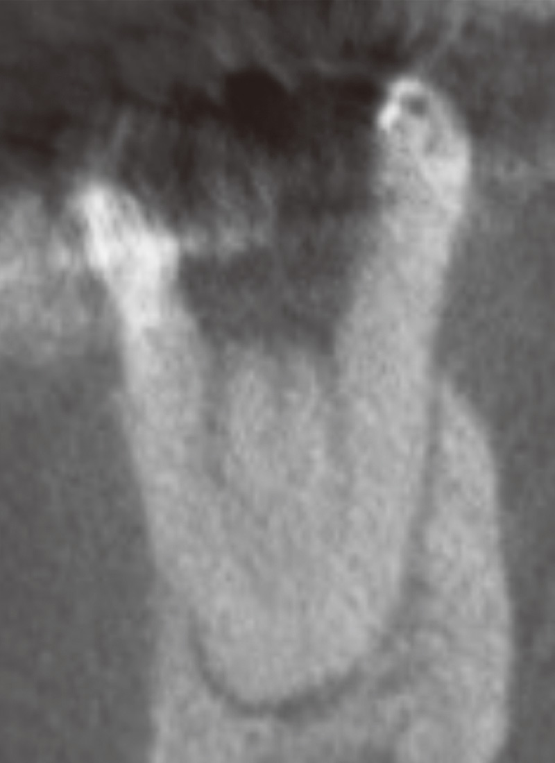
X線所見: 3根を有し、近心根に3根管を認め、根尖側に向かって分岐・癒合を繰り返す複雑な根管形態を呈していた(症例1-1)。
臨床診断:下顎右側第一大臼歯 歯髄壊死
治療および考察:
初回: CBCT画像を参考に、管間側枝および管外側枝内の歯髄組織や感染物質の焼灼を目的として、主根管の拡大前に高周波通電(HFC)を施行した。側枝の開口部が存在すると推定される部位より歯冠側、すなわち根尖から約6mm歯冠側に電極を配置し、1回目のHFCを2回行った(症例1-2)。根管内は空洞であったため、電流の通電効率を考慮して次亜塩素酸ナトリウムを注入した状態でHFCを実施した。HFC時には、電極を挿入していない別の根管からも突沸が認められ、管間側枝の存在が示唆された(症例1-3)。続いて、根尖から約3mm歯冠側の位置において、同様に2回目のHFCを追加した。その後、根尖孔を穿通して歯根長を測定し、主根管内の焼灼を目的に、根尖孔より1mm歯冠側で3回目のHFCを施行した。2回目のHFC時には他の根管からの突沸がみられたが、3回目の通電時には突沸は不明であった。他の2根管に関しても、同様の手順でHFCを行い、水酸化カルシウムを貼薬し、仮封を行った。2回目(2週間後):作業長を根尖孔より1mm歯冠側に設定して根管形成を行い、「メタシールSoftペースト」とガッタパーチャを用いて根管充填を実施した。充填後のCBCT画像では、近心根に複数の側枝と3つの独立した根尖孔が確認できた(症例1-4)。術後経過は良好である。
<症例1-1 術前CBCT画像(Veraviewepocs 3Dにて撮影)>
-
![[写真] 矢状断](/academic/dentalmagazine/wp-content/uploads/sites/2/2025/11/195-4_photo01.jpg)
A:矢状断 -
![[写真] 前頭断(近心根)](/academic/dentalmagazine/wp-content/uploads/sites/2/2025/11/195-4_photo02.jpg)
B:前頭断(近心根) -
![[写真] 前頭断(遠心根)](/academic/dentalmagazine/wp-content/uploads/sites/2/2025/11/195-4_photo03.jpg)
C:前頭断(遠心根)
<症例1-2 HFCプラン(近心根)>
-
![[写真] 前頭断](/academic/dentalmagazine/wp-content/uploads/sites/2/2025/11/195-4_photo04.jpg)
A:前頭断(●:電極挿入順序と位置) -
![[写真] 水平断](/academic/dentalmagazine/wp-content/uploads/sites/2/2025/11/195-4_photo05.jpg)
B:水平断(a:根管口直下、b,c,d:根尖からそれぞれ5mm,3mm,1mm歯冠側)
<症例1-3 近心根におけるHFC>
-
![[写真] HFC前](/academic/dentalmagazine/wp-content/uploads/sites/2/2025/11/195-4_photo06.jpg)
A:HFC前 -
![[写真] 電極挿入時](/academic/dentalmagazine/wp-content/uploads/sites/2/2025/11/195-4_photo07.jpg)
B:電極挿入時 -
![[写真] HFC時](/academic/dentalmagazine/wp-content/uploads/sites/2/2025/11/195-4_photo08.jpg)
C:HFC時: 近心頰側根管内のHFCにより、他の2根管内にも突沸
<症例1-4 根管充填>
-
![[写真] 根管充填前](/academic/dentalmagazine/wp-content/uploads/sites/2/2025/11/195-4_photo09.jpg)
A:根管充填前 -
![[写真] ガッタパーチャポイント試適時](/academic/dentalmagazine/wp-content/uploads/sites/2/2025/11/195-4_photo10.jpg)
B:ガッタパーチャポイント試適時 -
![[写真] 根管充填後](/academic/dentalmagazine/wp-content/uploads/sites/2/2025/11/195-4_photo11.jpg)
C:根管充填後:シーラーの管間側枝内への顕著な流入
症例2【樋状根を呈する下顎第二大臼歯】
患者: 67歳男性
主訴:下顎左側臼歯部の自発痛、咀嚼時痛
現病歴:数か月前より軽度の咀嚼時痛を自覚していたが放置。約1週間前より咀嚼時痛が増悪し、自発痛が発症したため、来院。
現症:咬合痛、歯周ポケット4~5 mm、動揺度2度
X線所見:樋状根を呈しており、イスマス内湾側の歯質は菲薄化していた(症例2-1)。
臨床診断:下顎左側第二大臼歯 急性歯髄炎
治療および考察:
初回:イスマス内の歯髄の蒸散を目的に、根管口の遠心側から電極を挿入し、根尖より約7, 5, 3mm歯冠側の各位置でHFCを2回ずつ施行した。さらに近心舌側に移動させ、計4方向からHFCを同様に行った(症例2-2)。HFC後、イスマス部の歯髄は蒸散し、一部に炭化した歯髄組織が認められた(症例2-3)。その後、超音波洗浄を行い、水酸化カルシウムを貼薬した。
2回目(3週間後): HFC後の有害事象は認められず、根管内は乾燥状態を呈していた。症例1と同様に穿通を図り、根管形成、充填を行った。CBCT画像所見では、HFCのみによって、イスマス部のわずかな拡大が認められ(症例2-4A, B)、緊密な根管充填が確認できた(症例2-4C)。
この記事はモリタ友の会会員限定です。登録すると続きをお読みいただけます。
残り 1024 文字
目 次
モリタ友の会会員限定記事
- Dental Talk 根管治療成功率アップへの近道~「Root ZX3」の高周波通電機能を応用した根管治療~
- Case Report 高周波歯内療法を活用した管間側枝・樋状根へのアプローチ
- Case Report 高周波根管治療を活用した難治性根尖性歯周炎と穿通不可能歯内歯周病変
- Case Report 高周波通電治療を活用した感染根管治療
- Topics 有機と無機の技術シナジー クラレノリタケデンタル、唯一無二の挑戦
- Case Report 抜歯後即時SPIインプラント埋入におけるEr:YAGレーザー使用の効果と予後への影響
- Case Report 上顎前歯部にSPIイニセルインプラントを用いて抜歯後即時埋入を行った1症例
- Case Report SPIインプラントシステムを八重洲歯科診療所において導入するにあたり
- Field Report 術者単独で動画撮影が可能 ライト一体型カメラがもたらす患者説明の広がり
- Dental Talk 「Veraview X800」はついに第二世代へ。高解像度CT撮影へのあくなき追求 進化を遂げた「Veraview X800+」の実力
- Clinical Report 現代の矯正治療における“とれない接着”と“歯に優しい接着”とは~「スーパーボンド®」と同じように使えるボンドフィルSB®Ⅱ」~
- Clinical Report 成人期における口腔機能管理-自覚のない「かくれ顎関節症」と成人期口腔機能障害-
- Close Up 従来法全部床義歯製作のポイントと デジタル義歯治療への期待
- Close Up アメリカに見る睡眠歯科のトレンドとウェルビーイング実現へのヒント
- Topics 医療MaaS車両が実現する「医療のデリバリー」被災地と過疎地、そして都市での新たな医療の形
- Interview デジタルデンチャーを足がかりに歯科技工の課題解決に力を注ぐ
- Field Report さまざまな歯科用合金に対応 簡便な鋳造を実現する高周波吸引加圧鋳造器
- YouTubeチャンネル 歯科衛生士と歯科技工士の資格を持つ丸山葉子さん「X型水流」を熱く語る!!
- Trends 18年ぶりにアップグレード 新型「ソニッケアー6100 プロフェッショナル」日本で発売
- Interview 片麻痺の当事者になって再認識した口腔ケアの重要性と清掃のポイント
- Field Report 患者さんと共に取り組む予防歯科 「ソニッケアー」を用いたセルフケアで普段から良好な口腔状態を維持
- Clinical Hint 「Check-Up歯ブラシ」臨床活用の幅広い可能性
- Lecture 連載:歯科衛生士に必要とされる医科の知識 <第2回> 血液検査データ①
他の記事を探す
モリタ友の会
セミナー情報
会員登録した方のみ、
限定コンテンツ・サービスが無料で利用可能
オンラインカタログでの製品の価格チェックやすべての記事の閲覧、臨床や経営に役立つメールマガジンを受け取ることができます。
商品のモニター参加や、新製品・優良品のご提供、セミナー優待割引のある、もっとお得な有料会員サービスもあります。