195号 WINTER 目次を見る
目 次
- ≫ 「ルートZX3」の基本的な使い方について
- ≫ 効果を実感しやすい症例
- ≫ 発熱の判断基準
- ≫ 通電に関する恐怖感
- ≫ 使用上の注意点
- ≫ 読者の先生方へのメッセージ

「ルートZX3」の基本的な使い方について
![[写真] 徳島県鳴門市 医療法人とみなが歯科医院 理事長 富永 敏彦](/academic/dentalmagazine/wp-content/uploads/sites/2/2025/11/195-3_staff01.jpg)
菅谷 抜髄後に痛みが続いたり、感染根管で根尖に穿通できたのに瘻孔がなかなか消えない原因として、様々な要因が考えられますが、要因が特定できなくても治癒を期待できるのが「ルートZX3」を活用する最大の利点です。
富永 根管内に通電させると2つのパターンで発熱が起こります。1つは、通電の際に電極周囲に接触抵抗が起こって発熱する場合。もう1つは、根尖狭窄部など根管が細くなっている部分に電流密度が集中して熱が発生する場合です。「ルートZX3」では、この2つの発熱を利用しますが、その機序をいかにバランス良く使うか、それがこの治療法のポイントと言えるでしょう。
菅谷 加藤先生はどのような経緯で「ルートZX3」を導入されたのですか。
加藤 勤務医の先生方に今後積極的に根管治療に介入してほしいという希望がありました。その過程で、高い治療精度と短い治療時間という要望を満たすためのツールとして「ルートZX3」の存在を知りました。「ルートZX3」を使うことで、来院のたびに穿通にトライしなければならない状況を減らしたい。そのために、まずは自分で使ってみようというのが最初の導入の目的でした。
富永 実際に「ルートZX3」を導入されていかがでしたか。
加藤 想定以上に幅広いケースに活用できることに驚きました。最初にトライしたのは、穿通できない石灰化根管のケースです。時間がない中での処置でしたので焼灼だけ行い、洗浄、仮封してお帰りいただきましたが、次の来院時にはサイナストラクト(瘻孔)は消失していて、「これは使えるな」と、使用頻度がますます上がっていきました。
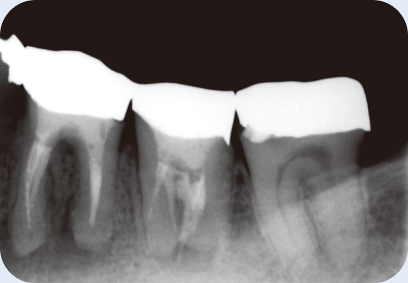
症例紹介① アクセスできない根管 富永 敏彦先生
-
![[写真] 術前](/academic/dentalmagazine/wp-content/uploads/sites/2/2025/11/195-3_photo02.jpg)
術前(Veraviewepocs 3Dにて撮影) -
![[写真] 高周波通電(HFC)後、根管充填](/academic/dentalmagazine/wp-content/uploads/sites/2/2025/11/195-3_photo03.jpg)
高周波通電(HFC)後、根管充填 -
![[写真] HFCから5か月経過](/academic/dentalmagazine/wp-content/uploads/sites/2/2025/11/195-3_photo04.jpg)
HFCから5か月経過 -
![[写真] HFCから1年経過](/academic/dentalmagazine/wp-content/uploads/sites/2/2025/11/195-3_photo05.jpg)
HFCから1年経過
効果を実感しやすい症例
![[写真] 北海道大学 大学院歯学研究院 難治性歯内・歯周疾患治療学分野 特任教授 菅谷 勉](/academic/dentalmagazine/wp-content/uploads/sites/2/2025/11/195-3_staff02.jpg)
菅谷 「ルートZX3」の効果を実感しやすいのは、抜髄根管です。根尖孔を穿通できない場合や根管長が曖昧なケースでは、「ルートZX3」を使うことで術後に症状が出にくくなります。次回来院時に症状が発現する確率が大幅に減りますから、とても分かりやすいです。さらに、感染根管で瘻孔や腫脹が消えない場合に通電させると、次回には消失することが多いので、そうしたケースでも効果が実感できると思います。
加藤 「ルートZX3」を使用すると術後痛が発現しにくいのは、「歯髄を残さず焼灼できるから」という理由で正しいでしょうか。
菅谷 歯髄を残さず焼灼できるのではなく、根尖狭窄部で発熱することで歯髄が切断されるからです。電気メスで例えると、電極に近い部分では電流密度が最も高く、その部分の組織内の水分が一気に蒸発して瞬間的に組織を切断します。「ルートZX3」による高周波通電でも根尖狭窄部に同じ現象が起こって蒸散します。つまり、通電することによって狭窄している部位の組織が瞬間的に蒸散して消滅した結果、切断されるわけです。その処置をファイルが通らない細い側枝などでも行うことができて、歯根膜に障害が出ないんですよ。それを根尖狭窄部や根尖孔までファイルで形成しようとすると、歯根膜まで損傷してしまい、打診痛などが出やすくなります。
富永 皆さん根尖をいじめすぎているんですよ。その結果、歯髄を取っているのか根尖を破壊しているのか、分からない状態になってしまいます。本来はアピカルデルタを触らずに処置することが最も好ましいと思います。
菅谷 歯髄を残さず焼灼できるのではなく、根尖狭窄部で発熱することで歯髄が切断されるからです。電気メスで例えると、電極に近い部分では電流密度が最も高く、その部分の組織内の水分が一気に蒸発して瞬間的に組織を切断します。「ルートZX3」による高周波通電でも根尖狭窄部に同じ現象が起こって蒸散します。つまり、通電することによって狭窄している部位の組織が瞬間的に蒸散して消滅した結果、切断されるわけです。その処置をファイルが通らない細い側枝などでも行うことができて、歯根膜に障害が出ないんですよ。それを根尖狭窄部や根尖孔までファイルで形成しようとすると、歯根膜まで損傷してしまい、打診痛などが出やすくなります。
富永 皆さん根尖をいじめすぎているんですよ。その結果、歯髄を取っているのか根尖を破壊しているのか、分からない状態になってしまいます。本来はアピカルデルタを触らずに処置することが最も好ましいと思います。
発熱の判断基準
![[写真] 大阪府大阪市 医療法人湧光会 アスヒカル歯科 理事長 加藤 真悟](/academic/dentalmagazine/wp-content/uploads/sites/2/2025/11/195-3_staff03.jpg)
富永 ファイル未到達部で十分な熱が発生したかの判断基準として、突沸は目安にはなりますが、目に見えない突沸もあるので注意が必要です。その際に留意していただきたいのは、モニター左下のメッセージインジケーターの表示を基準にして、その上で突沸の有無を確認していただければと思います。
加藤 私は普段マイクロスコープを使っているので、モニター表示はほとんど見ていませんでした。モニターのどの部分を注視すれば良いのでしょう。
富永 モニターの左下にある表示に注目してください。この表示が「UNDR」であれば、微小な電流は流れていますが、既定の電流値に達していない状態です。この場合、「ピピッ」と警告音が鳴ります。
菅谷 私はマイクロスコープを使用する際は、通電させた後にEMRのメータ数値が下がっているかを確認しています。
![[写真] モニター左下のメッセージインジケーターの表示](/academic/dentalmagazine/wp-content/uploads/sites/2/2025/11/195-3_photo07.jpg)
モニター左下のメッセージインジケーターの表示を基準に通電の状態を確認する。
加藤 その時はEMRのメータを使って電極の位置を確認しているということですね?マイクロスコープから一度目を離してEMRのメータで電極位置を確認し、意図した通りに進められている場合はメータの表示値が下がる、すなわち根尖方向に進んでいるという認識でよろしいでしょうか。
菅谷 はい。メータの確認は焼灼が終わってからでかまいません。感染根管で根尖に穿通できない症例で通電すると薬液がピクリともしないときには、EMRメータの数値も動かないので、見ていれば分かります。ファイル位置はそのままでEMR指示値が下がると、ファイルが届いていない根管の電気抵抗が下がったことになるので、根管内容物が除去できたことの指標になると考えています。微小な突沸が発生してもメータの指示値が全く下がらない場合は、高周波電流がさほど功を奏していない可能性もあるので、通電回数を増やすなどの手段を講じることもあります。
通電に関する恐怖感
富永 皆さんが不安に思われている理由は電流と熱だと思います。電流については、300kHz以上になると人体への電気ショックは起こらないとされています。「ルートZX3」は500kHzの高周波通電ですから、影響はほぼありません。熱に関しても、電流は根尖孔外に出ると拡散するため熱は発生しません。電極の周囲が発熱するため歯根は多少熱を持ちますが、カタログに記載されている通電制限(2~3回)で耐熱限界を超えることはありません。ですから、電流も熱も影響がないことは強調しておきたいところです。
加藤 根管洗浄を行って再度通電させるのであれば、問題ありませんか?
菅谷 いったん温度が下がれば大丈夫です。根尖まで穿通できず通電できていない場合は発熱しませんから、何度通電させてもかまいませんが、激しく沸騰したら一度薬液を入れ替えることをお勧めします。また、根尖や根管内で放電するため電気的な刺激を心配されるかもしれませんが、ヒトが痛みを感じる放電の1/10程度の電圧しか出力していないので、痛みや痺れを感じることはまずありません。
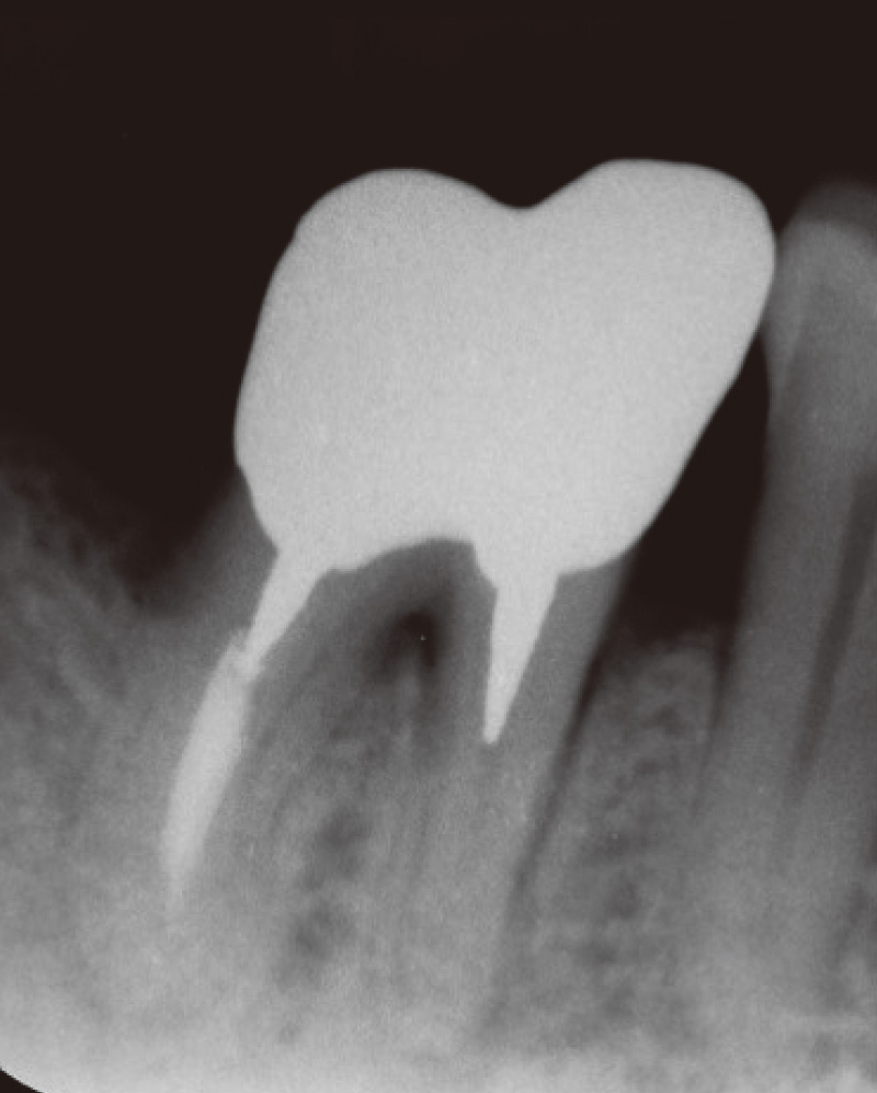
症例紹介② 根尖が開大した難治性根尖性歯周炎 菅谷 勉先生
-
![[写真] CT](/academic/dentalmagazine/wp-content/uploads/sites/2/2025/11/195-3_photo08.jpg)
CTで見ると、近心頰側根も遠心頰側根にも根尖部病変があり、口蓋根は吸収していて、根尖孔が拡大している。この状態になると、根管洗浄を行っても十分細菌が取り切れず、治癒が難しくなる。(Veraviewepocs 3Dfにて撮影) -
![[写真] 浮腫性の炎症が続き、触るとすぐに出血する](/academic/dentalmagazine/wp-content/uploads/sites/2/2025/11/195-3_photo09.jpg)
浮腫性の炎症が続き、触るとすぐに出血する。少量の次亜塩素酸ナトリウムを入れ、通電させると発熱が起こり、根尖孔の組織を蒸散できる。 -
使用上の注意点
菅谷 抜髄に関して、特に若年の患者さんで根管が太い場合、側枝などのことを考えてアンダー部分から通電させた方が側枝に流れやすいと思います。その後に-1mmまで入れて通電させたほうが良いでしょう。逆に高齢の患者さんの場合、いきなり-1mmまで入れて通電させても良いと思います。当日は通電だけでそのまま終了しても痛みは出ないので、後日ゆっくり拡大形成されれば良いでしょう。感染根管の場合には、根管充填材を全て取ってしまうのではなく、根尖から2mmを残した状態で通電させるのは一つの方法です。そうすると、側枝やガッタパーチャと根管壁の間に電流が流れて、隙間にたまった細菌を減らすことができます。ガッタパーチャを取っている間に、内容物が根尖から押し出されてしまう危険を考えると、先にきれいにしておいた方が良いでしょう。ただ、バクテリアが根管を埋めているような状態のときは、根管の上部は超音波などで洗浄して、下の部分だけ通電させる方が良いでしょう。
富永 ガッタパーチャを大量に残してしまうと電流が流れませんから、根尖側のガッタパーチャ以外を除去し、残ったガッタパーチャの直上から通電して、ガッタパーチャを変性させ、除去する方が良いと思います。抜髄も感染根管処置も、とにかく根尖に手を付ける前に、まず通電させることをお勧めしたいですね。
菅谷 特に抜髄のケースでは壊死した歯髄は超音波洗浄などで簡単に除去できますから、ファイルは根管充填できるサイズがあれば良いことになります。ですから、根管が太くて、ファイルサイズ #30以上が-1mm程度まで入る場合には、高周波通電をしっかり行えば、追加の拡大形成は必要ありません。
加藤 樋状根ではいかがでしょうか。
菅谷 私は根尖孔サイズの小さい方にファイルを入れて通電したり、イスムスの真ん中あたりで通電させています。通電させることでイスムスも焼灼できていることを期待しますが、根尖狭窄部に比べて焼灼効果は低いですから、現状では超音波などを使って切削せざるを得ないと感じています。ただし、ある程度まで切削して、下の残った部分を通電させる方法でも効果はあると思います。
加藤 例えば、今日穿通できなかったら根管充填しようと思って、2回目の通電を行った後、細いファイルを入れると穿通できることがあるのですが、あれはなぜなのでしょう。
菅谷 まず根管内の詰まりが取れてファイルが入りやすくなることが考えられます。さらに、電流を流すことによって細い根管の根管壁が焼灼される。それで有機質はもちろん全てなくなりますし、象牙質が少し溶けて固まることで若干根管が広がって、ファイルが入りやすくなることはありますね。
加藤 ありがとうございます。高周波通電を行うようになってから諦めてしまうケースがとても減ったと感じます。
富永 ファイルが折れたり、レッジができる危険性はゼロではないため、先に通電させておくのは、そうしたリスクを減らす意味合いがあるのです。根管が少し広がった段階で、次亜塩素酸を入れて通電できるようにしておいて、なるべく根尖側で通電する。特に高齢の方は、それで病変が治ることもあります。
読者の先生方へのメッセージ
富永 「ルートZX3」を活用した根管治療は、従来の根管治療の概念とは全く違うことがお分かりになると思います。先生方にはぜひこのハードルを乗り越えてもらいたいですね。また、外科処置に進める前に、まずは高周波通電をトライされることをお勧めします。それによって、最終的に天然歯が残る可能性が少しでも高まるならチャレンジしない手はありません。
菅谷 「ルートZX3」の効果を実感していただくために、まずは抜髄根管に使用する、または瘻孔があって根尖が開かない症例に使ってみる。恐らく3回も使うと効果が実感できますから、その後は手放せないツールになると思います。
加藤 ルールを守って使用すれば、プラスはあってもマイナスはないと言えるでしょう。さらに、治療の質も上がり、処置時間も短くなるなど、良いことしかありません。さらにそれがひいては、クリニックの評判にも繋がっていくと思いますので、まずは効果を実感され、最終的にクリニックの評判を上げていただければと思います。
『DENTAL PLAZA』では、デンタルマガジンで載せられなかったディスカッションの模様を掲載しています。
ぜひそちらもご覧ください。
症例紹介③ 根尖孔外ガッタパーチャを除去した症例 加藤 真悟先生
-
![[写真] 46歳男性 ンタルX線にてオーバー根充を認める](/academic/dentalmagazine/wp-content/uploads/sites/2/2025/11/195-3_photo13.jpg)
46歳男性。主訴は₇の咬合痛であった。デンタルX線にてオーバー根充を認める。 -
![[写真] 治療前のCBCT画像](/academic/dentalmagazine/wp-content/uploads/sites/2/2025/11/195-3_photo14.jpg)
治療前のCBCT画像。根尖孔外に突き出した根管充填材を認める樋状根であった。(Veraviewepocs 3Dfにて撮影) -
![[写真] 根管内から一塊で取り出したガッタパーチャ](/academic/dentalmagazine/wp-content/uploads/sites/2/2025/11/195-3_photo15.jpg)
根管内から一塊で取り出したガッタパーチャ -
![[写真] 根尖孔外に残遺したガッタパーチャ](/academic/dentalmagazine/wp-content/uploads/sites/2/2025/11/195-3_photo16.jpg)
根尖孔外に残遺したガッタパーチャ。「ルートZX3」にてガッタパーチャを取り囲んでいる肉芽を焼灼した。 -
![[写真] 根尖孔外から取り除いたガッタパーチャ](/academic/dentalmagazine/wp-content/uploads/sites/2/2025/11/195-3_photo17.jpg)
根尖孔外から取り除いたガッタパーチャ -
![[写真] MTAにて根管充填後のCBCT画像](/academic/dentalmagazine/wp-content/uploads/sites/2/2025/11/195-3_photo18.jpg)
MTAにて根管充填後のCBCT画像
同じ筆者の記事を探す【 加藤 真悟 】
モリタ友の会会員限定記事
同じ筆者の記事を探す【 富永 敏彦 】
モリタ友の会会員限定記事
- 195号 Case Report 高周波歯内療法を活用した管間側枝・樋状根へのアプローチ
- 138号 Clinical Report EndoWave Express version
- 128号 CLINICAL REPORT EndoWave All-ranges version 医療法人とみなが歯科医院(徳島県鳴門市)
同じ筆者の記事を探す【 菅谷 勉 】
モリタ友の会会員限定記事
- 195号 Case Report 高周波根管治療を活用した難治性根尖性歯周炎と穿通不可能歯内歯周病変
- 194号 Clinical Report 「メタシール®Softペースト」と「エンドノズル®#30(オレンジ)」を用いた簡単で封鎖性の高い新たな根管充填法
- 154号 Clinical Report フィジックスフォーセップスを活用した意図的再植の臨床
- 145号 Clinical Report 多目的超音波治療器ソルフィーFの臨床応用
目 次
モリタ友の会会員限定記事
- Dental Talk 根管治療成功率アップへの近道~「Root ZX3」の高周波通電機能を応用した根管治療~
- Case Report 高周波歯内療法を活用した管間側枝・樋状根へのアプローチ
- Case Report 高周波根管治療を活用した難治性根尖性歯周炎と穿通不可能歯内歯周病変
- Case Report 高周波通電治療を活用した感染根管治療
- Topics 有機と無機の技術シナジー クラレノリタケデンタル、唯一無二の挑戦
- Case Report 抜歯後即時SPIインプラント埋入におけるEr:YAGレーザー使用の効果と予後への影響
- Case Report 上顎前歯部にSPIイニセルインプラントを用いて抜歯後即時埋入を行った1症例
- Case Report SPIインプラントシステムを八重洲歯科診療所において導入するにあたり
- Field Report 術者単独で動画撮影が可能 ライト一体型カメラがもたらす患者説明の広がり
- Dental Talk 「Veraview X800」はついに第二世代へ。高解像度CT撮影へのあくなき追求 進化を遂げた「Veraview X800+」の実力
- Clinical Report 現代の矯正治療における“とれない接着”と“歯に優しい接着”とは~「スーパーボンド®」と同じように使えるボンドフィルSB®Ⅱ」~
- Clinical Report 成人期における口腔機能管理-自覚のない「かくれ顎関節症」と成人期口腔機能障害-
- Close Up 従来法全部床義歯製作のポイントと デジタル義歯治療への期待
- Close Up アメリカに見る睡眠歯科のトレンドとウェルビーイング実現へのヒント
- Topics 医療MaaS車両が実現する「医療のデリバリー」被災地と過疎地、そして都市での新たな医療の形
- Interview デジタルデンチャーを足がかりに歯科技工の課題解決に力を注ぐ
- Field Report さまざまな歯科用合金に対応 簡便な鋳造を実現する高周波吸引加圧鋳造器
- YouTubeチャンネル 歯科衛生士と歯科技工士の資格を持つ丸山葉子さん「X型水流」を熱く語る!!
- Trends 18年ぶりにアップグレード 新型「ソニッケアー6100 プロフェッショナル」日本で発売
- Interview 片麻痺の当事者になって再認識した口腔ケアの重要性と清掃のポイント
- Field Report 患者さんと共に取り組む予防歯科 「ソニッケアー」を用いたセルフケアで普段から良好な口腔状態を維持
- Clinical Hint 「Check-Up歯ブラシ」臨床活用の幅広い可能性
- Lecture 連載:歯科衛生士に必要とされる医科の知識 <第2回> 血液検査データ①
他の記事を探す
モリタ友の会
セミナー情報
会員登録した方のみ、
限定コンテンツ・サービスが無料で利用可能
オンラインカタログでの製品の価格チェックやすべての記事の閲覧、臨床や経営に役立つメールマガジンを受け取ることができます。
商品のモニター参加や、新製品・優良品のご提供、セミナー優待割引のある、もっとお得な有料会員サービスもあります。
![[写真] 初診時](/academic/dentalmagazine/wp-content/uploads/sites/2/2025/11/195-3_photo10.jpg)
![[写真] 通電後2か月](/academic/dentalmagazine/wp-content/uploads/sites/2/2025/11/195-3_photo11.jpg)
![[写真] 通電後6か月](/academic/dentalmagazine/wp-content/uploads/sites/2/2025/11/195-3_photo12.jpg)