195号 WINTER 目次を見る
Case Report
高周波根管治療を活用した難治性根尖性歯周炎と穿通不可能歯内歯周病変
キーワード:高周波通電/難治性根尖性歯周炎/歯内-歯周病変
目 次
症例1:根尖孔が開大した難治性根尖性歯周炎
【症状と画像所見】
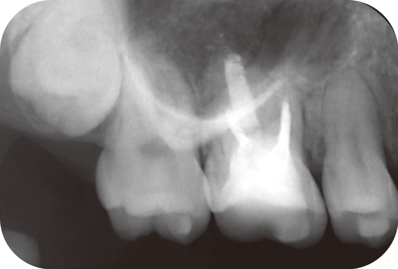
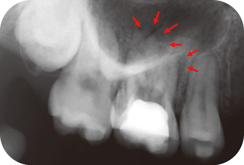
患者は27歳女性。矯正歯科から根尖病変を指摘され当科を受診した。自覚症状はなかったが、近心頰側根および口蓋根の根尖部に骨欠損を認めた(症例1-1)。CBCTでは両根尖孔の開大と、口蓋根には歯根外部吸収を疑わせる歯質欠損が確認された(症例1-2)。
【根管内所見】
根管形成・洗浄・貼薬を行ったが、3回目の治療でもマイクロスコープで口蓋根根尖部に浮腫性肉芽組織を認めた(症例1-3A)。根管壁には感染源が見られず、根尖病変内への異物の迷入や肉芽組織が根管内に増殖して、根管壁が根尖孔まで見えていないことや、歯根表面セメント質へのバイオフィルム形成などが疑われた。歯根表面のバイオフィルム形成が原因の場合、抜歯や意図的再植術を検討しなければならないため、まずは肉芽組織の除去を優先した。高周波電流で肉芽組織を蒸散、変性させて異物を周囲組織と分離できると除去しやすくなり、さらに除去しきれない微小な異物が残存したとしても、異物表面の細菌は死滅可能となる。
【高周波通電】 根管内に10%次亜塩素酸ナトリウム溶液を3mm程度注入し(症例1-3B)、電極を液面に接触させて「ルートZX3」のメモリM4で1秒通電すると薬液の突沸がみられた(症例1-3C)。これを4回繰り返して薬液を吸引除去すると、まだ炎症性の肉芽組織がみられたので、さらに5回の通電を行ったところ、肉芽組織が白濁化して変性した(症例1-3D)。これは、薬液と肉芽組織の界面で電気抵抗が生じるため、界面で発熱し熱変性をおこしたものである。
この症例のように、電極と根尖部組織との間のインピーダンスが小さく、薬液に電極が触れた瞬間に根管長測定バーがAPEXに振り切れ、そのまま通電しようとしても過剰な通電を抑制するための安全システムが働き電流が遮断される。これを防止するためには、薬液と電極の接触を最小限にしてEMRが振り切れない位置までの挿入に留めて通電する。また、100℃になった薬液を長く根管内に入れておくと、セメント質や歯根膜に熱が伝わり障害を起こす危険性があるので、数回通電したら薬液を交換して歯根を冷却した方が良い。
変性した組織に触れると、仮封材を思わせる顆粒状の硬固物を蝕知できたのでマイクロ用インスツルメントで除去し、水酸化カルシウム製剤を貼薬、仮封した。
【根管充填】 次回来院時(通電2か月後)には根尖孔部に炎症所見はなく、「メタシールSoft ペースト」をエンドノズル#30(オレンジ)で充填した。「メタシールSoft ペースト」は流動性がきわめて高く、ノズルで注入するだけで根尖孔が開大した外開き根管でも根管壁に接着し、加圧も不要なので根尖孔から押し出す危険性が低い。MTAを充填する方法もあるが、水の量を多めにして圧を加えないように根尖孔に広げ、さらに余剰な水分を除去する必要がある。それに比べてノズルで「メタシールSoft ペースト」を送り込むのは、簡単かつ数秒の作業である。通電6か月後には根尖部骨欠損は消失した(症例1-4)。
<症例1>
-
![[写真] 初診時デンタルX線画像](/academic/dentalmagazine/wp-content/uploads/sites/2/2025/11/195-5_photo01.jpg)
症例1-1 初診時デンタルX線画像。根尖部骨欠損(矢印) -
![[写真] 初診時CBCT画像](/academic/dentalmagazine/wp-content/uploads/sites/2/2025/11/195-5_photo02.jpg)
症例1-2 初診時CBCT画像。口蓋根に外部吸収(矢印)
(Veraviewepocs 3Dfにて撮影) -
![[写真] 口蓋根への通電時](/academic/dentalmagazine/wp-content/uploads/sites/2/2025/11/195-5_photo03.jpg)
症例1-3 口蓋根への通電時
A:通電前。根尖孔の肉芽組織は赤く浮腫性で易出血性(矢印)
B:次亜塩素酸ナトリウム溶液を根管内に滴下後(矢印)
C:通電時。根管内の薬液が突沸(矢印)
D:5回通電後の根尖孔。肉芽組織は変性し白濁(矢印) -
![[写真] 通電6か月後(根管充填4か月後)](/academic/dentalmagazine/wp-content/uploads/sites/2/2025/11/195-5_photo04.jpg)
症例1-4 通電6か月後(根管充填4か月後)。根尖部骨欠損は消失
症例2:根尖孔への穿通が不可能な歯内-歯周病変
【症状と画像所見】
37歳男性。₇の咬合痛を主訴に来院した。デンタルX線画像(症例2-1)では根尖から遠心歯頸部に骨欠損がみられ、咬合接触時に動揺を示した。遠心歯周ポケットは6mmであったが、遠心の歯冠豊隆が大きいため、ポケット底部までポケットプローブが挿入できていない可能性を否定できず、ポケット底部の位置を推測することは困難であった。コーンビームCT(症例2-2A)では骨欠損が明確で、歯内-歯周病変の様相であった。また、MB根とP根は癒合しており(症例2-2B)、根管も途中で癒合していた(症例2-2C)。歯内-歯周病変と咬合性外傷の併発が疑われたので、歯冠補綴物を除去して感染根管治療を開始した。
【高周波通電】
3根管とも根尖には穿通できず、「ルートZX3」による高周波通電を行った。根管内に次亜塩素酸ナトリウム溶液を3mm程度注入し( 症例2-3A)、#10Kファイルを挿入可能なところまで入れ、メモリM4で通電した。1秒以内に根管内溶液は突沸し(症例2-3B)、さらに大きな気泡が発生した(症例2-3C)。このことから、ファイルが穿通できないのはレッジが原因で、根管は根尖病変に交通していると考えられた。さらに4回の通電を行ったが、途中で薬液の交換を行って歯根の過熱を防止した。
また、次亜塩素酸ナトリウムは100℃になると著しく分解が進み、高周波通電時の根管壁有機質の除去効果も低下するので、通電して突沸を2~3回繰り返したら、根管内の次亜塩素酸ナトリウム溶液を入れ替えている。DB根にも同様の通電を行い、水酸化カルシウム製剤を貼薬し、仮封して根尖部骨欠損の改善を4か月待った。
この記事はモリタ友の会会員限定です。登録すると続きをお読みいただけます。
残り 1267 文字
目 次
モリタ友の会会員限定記事
- Dental Talk 根管治療成功率アップへの近道~「Root ZX3」の高周波通電機能を応用した根管治療~
- Case Report 高周波歯内療法を活用した管間側枝・樋状根へのアプローチ
- Case Report 高周波根管治療を活用した難治性根尖性歯周炎と穿通不可能歯内歯周病変
- Case Report 高周波通電治療を活用した感染根管治療
- Topics 有機と無機の技術シナジー クラレノリタケデンタル、唯一無二の挑戦
- Case Report 抜歯後即時SPIインプラント埋入におけるEr:YAGレーザー使用の効果と予後への影響
- Case Report 上顎前歯部にSPIイニセルインプラントを用いて抜歯後即時埋入を行った1症例
- Case Report SPIインプラントシステムを八重洲歯科診療所において導入するにあたり
- Field Report 術者単独で動画撮影が可能 ライト一体型カメラがもたらす患者説明の広がり
- Dental Talk 「Veraview X800」はついに第二世代へ。高解像度CT撮影へのあくなき追求 進化を遂げた「Veraview X800+」の実力
- Clinical Report 現代の矯正治療における“とれない接着”と“歯に優しい接着”とは~「スーパーボンド®」と同じように使えるボンドフィルSB®Ⅱ」~
- Clinical Report 成人期における口腔機能管理-自覚のない「かくれ顎関節症」と成人期口腔機能障害-
- Close Up 従来法全部床義歯製作のポイントと デジタル義歯治療への期待
- Close Up アメリカに見る睡眠歯科のトレンドとウェルビーイング実現へのヒント
- Topics 医療MaaS車両が実現する「医療のデリバリー」被災地と過疎地、そして都市での新たな医療の形
- Interview デジタルデンチャーを足がかりに歯科技工の課題解決に力を注ぐ
- Field Report さまざまな歯科用合金に対応 簡便な鋳造を実現する高周波吸引加圧鋳造器
- YouTubeチャンネル 歯科衛生士と歯科技工士の資格を持つ丸山葉子さん「X型水流」を熱く語る!!
- Trends 18年ぶりにアップグレード 新型「ソニッケアー6100 プロフェッショナル」日本で発売
- Interview 片麻痺の当事者になって再認識した口腔ケアの重要性と清掃のポイント
- Field Report 患者さんと共に取り組む予防歯科 「ソニッケアー」を用いたセルフケアで普段から良好な口腔状態を維持
- Clinical Hint 「Check-Up歯ブラシ」臨床活用の幅広い可能性
- Lecture 連載:歯科衛生士に必要とされる医科の知識 <第2回> 血液検査データ①
他の記事を探す
モリタ友の会
セミナー情報
会員登録した方のみ、
限定コンテンツ・サービスが無料で利用可能
オンラインカタログでの製品の価格チェックやすべての記事の閲覧、臨床や経営に役立つメールマガジンを受け取ることができます。
商品のモニター参加や、新製品・優良品のご提供、セミナー優待割引のある、もっとお得な有料会員サービスもあります。