195号 WINTER 目次を見る
キーワード:超親水性表面処理/抜歯即時埋入/デジタルプランニング
目 次
はじめに
イニセルインプラントは、チェアサイドで行う超親水性表面処理を特徴とする。埋入直前にAPLIQUIQカートリッジを用いて表面を活性化することで、血液やタンパク質との接触性が高まり、初期の骨結合を迅速に促進する。これにより治癒期間の短縮や早期荷重が可能となり、治療全体の期間短縮にも寄与する。さらに、本システムはスクリューリテイン方式でありながらアクセスホールが小さく設計されているため、補綴装置の審美性が非常に高く、特に前歯部のような審美領域において自然な色調再現が可能である。小さなホールは補綴装置の構造的強度を維持しやすく、修復材の脱落や変色リスクも低減されるため、長期的な補綴の安定性と患者の満足度向上にもつながる。
症例供覧
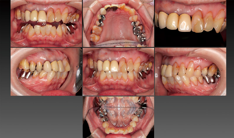
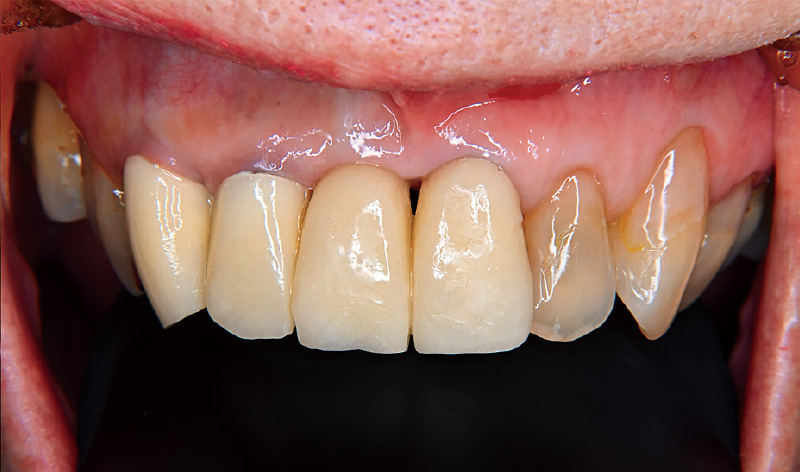
本症例は、76歳女性が前歯部の違 和感を主訴に来院したものである。 初診時の口腔内写真(図1)から、主訴 部位に加え、複数の不良補綴修復装置 が認められた。補綴装置を除去した結 果、不適合なメタルコア、進行した二 次カリエス、およびデンタルX線写真 上で複数の根尖病変が確認された(図 2)。なかでも₁ は骨縁下カリエスが 進行し、歯冠歯根比も不良であったた め、保存は困難と判断し、抜歯の方針 を立てた。
CBCTによる診査では、唇側骨の残 存が確認され、歯根部の骨量も十分で あることから、抜歯後即時インプラン ト埋入が適応と考えられた(図3)。患者 は主訴部位のみの治療を希望したため、 ₁のインプラント治療、₂, ₃, ₁の 補綴治療を行うこととなった。診断用 ワックスアップを作製し、歯科技工士 とのディスカッションを重ねながら最 終補綴形態を決定した(図4)。歯肉レベ ルは反対側の中切歯と比較してやや不 均等であったため、インプラント埋入 深度を適切に調整することで、左右対 称な歯肉ラインを獲得する計画とした。
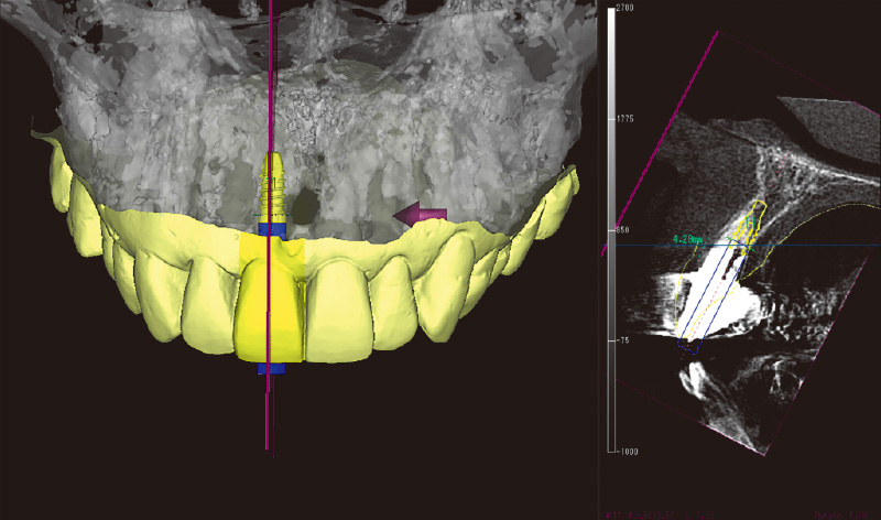
隣接する₂ および₃ には根尖病変 が認められたため、インプラント手術 に先立って根管治療を実施した。その 後、CTのDICOMデータとワックスアップのSTLデータを重ね合わせたデ ジタルプランニングを行い、補綴マー ジンから約4mm深部にインプラント を埋入する設計とした(図5)。
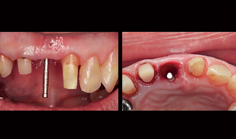
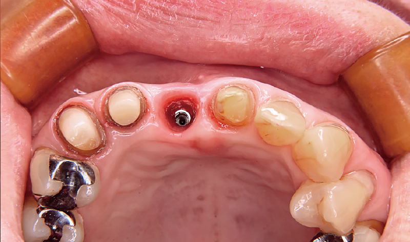
インプラント手術では、まず愛護的 な抜歯を行い、唇側骨や周囲の軟組織 を温存した状態で処置を進行した(図 6)。抜歯後、あらかじめ作製したサー ジカルガイドを用いてドリリングを 行った。インプラントのポジションは 補綴の成功を左右する重要な要素であ るため、アライメントピンを用いてガ イドの精度と位置関係を確認しながら、 慎重に埋入操作を行った(図7, 8)。
インプラント体埋入後、骨との間隙 には骨補填材を填入し、同時に結合組 織を移植して歯肉のボリューム維持と 審美性の向上を図った(図9)。術後に はプロビジョナルレストレーション (PVR)を装着し、手術を終了した(図 10)。
手術から4か月後、PVRでの咬合の 安定、形態の確認を経て最終補綴へ移 行した(図11, 12)。咬合面観からは、 唇側の軟組織も維持され、粘膜の形 態も自然な仕上がりとなっていた(図 13)。
しかしながら、中切歯間の歯間乳頭 が退縮していることが認められた。こ の点は隣在歯のアタッチメント、イン プラント周囲の軟組織構造の違いに起 因すると考えられ、補綴デザインや今 後の軟組織移植によって、さらなる改 善が可能と判断された。
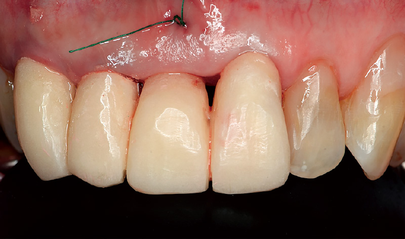
最終補綴装置装着時には、患者の満 足度・機能性ともに問題はなかった。 スクリューリテインにて上部構造を装 着しているので、万が一の補綴装置除 去も容易で、長期的なメインテナンス も担保されている(図14, 15)。
-
![[写真] 主訴部位には不良補綴装置が装着されている](/academic/dentalmagazine/wp-content/uploads/sites/2/2025/11/195-9_photo01.jpg)
図1 主訴部位には不良補綴装置が装着されている。全顎的に問題を認めるが、局所的な治療を希望された。 -
![[写真] 不適合なメタルコア、二次カリエスを認める](/academic/dentalmagazine/wp-content/uploads/sites/2/2025/11/195-9_photo02.jpg)
図2 不適合なメタルコア、二次カリエスを認める。 -
![[写真] CT画像](/academic/dentalmagazine/wp-content/uploads/sites/2/2025/11/195-9_photo03.jpg)
図3 ₁は保存不可能と判断した。CT上で唇側骨は残存し、根尖部の骨のボリュームも保たれている。(Veraview X800にて撮影) -
![[写真] 診断用ワックスアップにて最終歯冠形態を検討した](/academic/dentalmagazine/wp-content/uploads/sites/2/2025/11/195-9_photo04.jpg)
図4 診断用ワックスアップにて最終歯冠形態を検討した。 -
![[写真] デジタル上でインプラント埋入ポジションを決定した](/academic/dentalmagazine/wp-content/uploads/sites/2/2025/11/195-9_photo05.jpg)
図5 デジタル上でインプラント埋入ポジションを決定した。 -
![[写真] 周辺組織を傷つけないように愛護的に抜歯を行った](/academic/dentalmagazine/wp-content/uploads/sites/2/2025/11/195-9_photo06.jpg)
図6 周辺組織を傷つけないように愛護的に抜歯を行った。 -
![[写真] アライメントピンにてドリリングの方向と深度を確認](/academic/dentalmagazine/wp-content/uploads/sites/2/2025/11/195-9_photo07.jpg)
図7 アライメントピンにてドリリングの方向と深度を確認。 -
![[写真] 埋入を行った](/academic/dentalmagazine/wp-content/uploads/sites/2/2025/11/195-9_photo08.jpg)
図8 埋入を行った。 -
![[写真] インプラント埋入と同時に結合組織移植を行った](/academic/dentalmagazine/wp-content/uploads/sites/2/2025/11/195-9_photo09.jpg)
図9 インプラント埋入と同時に結合組織移植を行った。 -
![[写真] ホールディングスーチャー後PVRをセットして手術を終了した](/academic/dentalmagazine/wp-content/uploads/sites/2/2025/11/195-9_photo10.jpg)
図10 ホールディングスーチャー後PVRをセットして手術を終了した。 -
![[写真] 2nd PVRにて粘膜形態を調整した](/academic/dentalmagazine/wp-content/uploads/sites/2/2025/11/195-9_photo11.jpg)
図11 2nd PVRにて粘膜形態を調整した。 -
![[写真] 問題ないことを確認し、シリコン印象を行った](/academic/dentalmagazine/wp-content/uploads/sites/2/2025/11/195-9_photo12.jpg)
図12 問題ないことを確認し、シリコン印象を行った。 -
![[写真] インプラント唇側には軟組織の厚みが保たれている](/academic/dentalmagazine/wp-content/uploads/sites/2/2025/11/195-9_photo13.jpg)
図13 インプラント唇側には軟組織の厚みが保たれている。 -
![[写真] 最終補綴装着時](/academic/dentalmagazine/wp-content/uploads/sites/2/2025/11/195-9_photo14.jpg)
図14 最終補綴装着時(DT:インプレッション・デンタル株式会社 税所 秀揮) -
![[写真] CT上で唇側骨が維持されている](/academic/dentalmagazine/wp-content/uploads/sites/2/2025/11/195-9_photo15.jpg)
図15 CT上で唇側骨が維持されている。
最後に
本症例は、イニセルインプラントの特性を活かした抜歯即時埋入および補綴計画の一例であり、特に前歯部のように高い審美性が要求される部位において、表面性状と補綴設計の両面から優れた結果を得ることができた。
今後も歯間乳頭の形成や長期予後について経過観察を継続しながら、審美補綴におけるイニセルインプラントの応用可能性を探っていく必要がある。
最後に、本症例の治療にあたり常にご指導くださった先生方、日頃から温かく私の臨床を見守ってくださる当院の院長である吉田真一郎先生、今回の執筆にあたり協力いただいた第一助手の原口雅子様、および写真撮影に協力いただいた戸島佳奈子様に深く感謝申し上げます。
目 次
モリタ友の会会員限定記事
- Dental Talk 根管治療成功率アップへの近道~「Root ZX3」の高周波通電機能を応用した根管治療~
- Case Report 高周波歯内療法を活用した管間側枝・樋状根へのアプローチ
- Case Report 高周波根管治療を活用した難治性根尖性歯周炎と穿通不可能歯内歯周病変
- Case Report 高周波通電治療を活用した感染根管治療
- Topics 有機と無機の技術シナジー クラレノリタケデンタル、唯一無二の挑戦
- Case Report 抜歯後即時SPIインプラント埋入におけるEr:YAGレーザー使用の効果と予後への影響
- Case Report 上顎前歯部にSPIイニセルインプラントを用いて抜歯後即時埋入を行った1症例
- Case Report SPIインプラントシステムを八重洲歯科診療所において導入するにあたり
- Field Report 術者単独で動画撮影が可能 ライト一体型カメラがもたらす患者説明の広がり
- Dental Talk 「Veraview X800」はついに第二世代へ。高解像度CT撮影へのあくなき追求 進化を遂げた「Veraview X800+」の実力
- Clinical Report 現代の矯正治療における“とれない接着”と“歯に優しい接着”とは~「スーパーボンド®」と同じように使えるボンドフィルSB®Ⅱ」~
- Clinical Report 成人期における口腔機能管理-自覚のない「かくれ顎関節症」と成人期口腔機能障害-
- Close Up 従来法全部床義歯製作のポイントと デジタル義歯治療への期待
- Close Up アメリカに見る睡眠歯科のトレンドとウェルビーイング実現へのヒント
- Topics 医療MaaS車両が実現する「医療のデリバリー」被災地と過疎地、そして都市での新たな医療の形
- Interview デジタルデンチャーを足がかりに歯科技工の課題解決に力を注ぐ
- Field Report さまざまな歯科用合金に対応 簡便な鋳造を実現する高周波吸引加圧鋳造器
- YouTubeチャンネル 歯科衛生士と歯科技工士の資格を持つ丸山葉子さん「X型水流」を熱く語る!!
- Trends 18年ぶりにアップグレード 新型「ソニッケアー6100 プロフェッショナル」日本で発売
- Interview 片麻痺の当事者になって再認識した口腔ケアの重要性と清掃のポイント
- Field Report 患者さんと共に取り組む予防歯科 「ソニッケアー」を用いたセルフケアで普段から良好な口腔状態を維持
- Clinical Hint 「Check-Up歯ブラシ」臨床活用の幅広い可能性
- Lecture 連載:歯科衛生士に必要とされる医科の知識 <第2回> 血液検査データ①
他の記事を探す
モリタ友の会
セミナー情報
会員登録した方のみ、
限定コンテンツ・サービスが無料で利用可能
オンラインカタログでの製品の価格チェックやすべての記事の閲覧、臨床や経営に役立つメールマガジンを受け取ることができます。
商品のモニター参加や、新製品・優良品のご提供、セミナー優待割引のある、もっとお得な有料会員サービスもあります。