195号 WINTER 目次を見る
キーワード:4-META/MMA-TBB系レジンセメント/ブラケット脱離のリカバリー/デボンド時の対応法
目 次
1. はじめに
【接着技術の進化とボンドフィルの登場】
歯科矯正治療におけるブラケットの装着方法は、時代とともに大きく変化してきた。かつては、すべての歯にバンドを巻き、そのバンド上にブラケットを装着するのが一般的であった(図1)。これは強固な固定を実現できる反面、バンドを巻くために歯間にスペースを作る処置(セパレーション)が必要であり、患者への負担が大きいという問題があった。
その後、接着技術の進化によりブラケットを直接歯に接着するダイレクトボンドシステム(DBS)が提唱され、1982年には「オルソマイトスーパーボンド」が登場した。この材料はエナメル質に対する高い接着性と長期安定性を備えつつ、ブラケットの除去性にも優れており、多くの臨床家から支持を得た。また、リン酸エッチングによる歯面処理の重要性を再認識させ、矯正治療における大きな革新となった。これにより、ブラケットを直接歯面に接着できるようになり、治療効率と患者の快適性が大幅に向上した。
その後、歯質の侵襲を低減するよう設計されたセルフエッチングプライマー「ティースプライマー」と組み合わせ、「スーパーボンド」の技術を継承しつつ、有機質複合フィラーを配合することで耐摩耗性を高めた歯科充填用アクリル系レジンとして「ボンドフィルSB」が発売された(2011年)。さらに2017年には光重合性を加え操作性を向上させた「ボンドフィルSB プラス」が発売され、2024年にはX線造影性とマルチシェード粉材を追加した最新型の「ボンドフィルSBⅡ」(図2)が登場した。
「ボンドフィルSBⅡ」は、「スーパーボンド」と同等の優れた接着性を維持しつつ、光重合によって硬化待ち時間が5分から3分に短縮され、臨床上の利便性が飛躍的に向上している。また、コンポジットレジン充填で脱離を繰り返す症例や歯頸部など応力がかかる部位への使用が報告されており、矯正用途以外では保険適用製品としてのメリットもある。筆者自身もその特性を評価し、日常臨床に積極的に取り入れている。本稿では、この「ボンドフィルSBⅡ」の特性や臨床的利点を詳しく解説し、矯正治療分野での具体的な応用例を示す。
【矯正における接着の方向性】
近年の歯科矯正治療では、ミドルエイジの患者の増加や修復材料の多様化に伴い、エナメル質だけでなく、ジルコニア冠や二ケイ酸リチウム冠などのセラミックス、CAD/CAMレジン冠やPEEK冠などの新素材、レジン、金属などの被着面への接着が求められるケースが増えている(図3)。これらの被着面に対して安定した接着を確保することは極めて重要である。4-META/MMA-TBB系レジンセメントである「スーパーボンド」は様々な修復材料に対しCR系レジンセメントよりも高い接着強度を示す1)との報告もある。
筆者は歯冠修復物や高応力部位のブラケット接着には4-META/MMATBB系レジンセメントを用い、CR系光重合型矯正用接着材と使い分けている。
また、動的治療終了後のブラケット除去(デボンド)時には、歯面に傷やマイクロクラックを生じさせないように注意が必要である(図4)。特に審美的要求が高い前歯部においては、筆者は歯質の前処理に「ティースプライマー」を選択している。「ティースプライマー」処理は従来のリン酸エッチング処理よりも脱灰が浅く微細であるため、レジンが脱灰間隙に緊密に浸透し2)、接着性を確保する。臨床感覚ではあるが、デボンド時のエナメル質へのダメージを軽減することができると考えている。次に被着面ごとの最適な前処理方法を図5に示す。
-
![[写真] 全歯バンド装着法](/academic/dentalmagazine/wp-content/uploads/sites/2/2025/11/195-13_photo01.jpg)
図1 従来の矯正治療における全歯バンド装着法。(提供:日本大学松戸歯学部 五関たけみ先生) -
![[図] 「ボンドフィルSBⅡ」の主な使用用途](/academic/dentalmagazine/wp-content/uploads/sites/2/2025/11/195-13_photo02.jpg)
図2 2024年2月に発売された「ボンドフィルSBⅡ」の主な使用用途(提供:サンメディカル株式会社) -
![[写真] 多様な修復材料に対するブラケット接着例:47歳女性](/academic/dentalmagazine/wp-content/uploads/sites/2/2025/11/195-13_photo03.jpg)
図3 多様な修復材料に対するブラケット接着例:47歳女性。65にFMC、4にCAD/CAM冠、3にはCR修復がされていた。 -
![[写真] デボンド時の指による歯牙動揺の抑制法:筆者のデボンド時の様子](/academic/dentalmagazine/wp-content/uploads/sites/2/2025/11/195-13_photo04.jpg)
図4 デボンド時の指による歯牙動揺の抑制法:筆者のデボンド時の様子。切縁に指をあてて歯牙の動揺を抑えることで疼痛を軽減できる。 -
![[図] 「ボンドフィルSBⅡ」のブラケット装着における前処理診断](/academic/dentalmagazine/wp-content/uploads/sites/2/2025/11/195-13_photo05.jpg)
図5 「ボンドフィルSBⅡ」のブラケット装着における前処理診断
2.「 ボンドフィルSB®Ⅱ」の基本構成と使い方
「ボンドフィルSBⅡ」は「スーパーボンド」の技術を基に開発された材料で、重合開始剤である「キャタリストV」(TBB)は同じ成分を採用している。液材には「スーパーボンド」のモノマー液に多官能メタクリレートを配合し、充填材としての物性と重合速度を高めている。また、粉材はポリマー粉末の主成分であるPMMAに適量の有機・無機複合フィラーを添加することで、耐摩耗性およびX線造影性が向上し、さらに重合収縮も抑えられている3)ため、矯正治療において有利である。
基本構成が「スーパーボンド」と非常に近いため、前処理材も「スーパーボンド」と同様である。エナメル質にはセルフエッチングプライマーである「ティースプライマー」(図6)や従来のリン酸エッチング材も使用可能である。ブラケット装着の場合、必要部位にのみ最小限の酸処理をしたいため、筆者はジェル状のリン酸エッチング材である「表面処理材 高粘度レッド」を選択している(図7)。セラミックス、ハイブリッドレジン、金属などの歯質以外の被着体には、全ての修復材料に適用できる「M&Cプライマー」を使用する。
使用方法は「スーパーボンド」と同様であるが、「ボンドフィルSBⅡ」の特徴的な点は粉液比にあり、「キャタリストV」1滴に対し液材3滴の割合で使用する(図8)。被着体ごとの適切な前処理を行った後、筆積法を用いてブラケットを被着面に圧接し、はみ出した余剰レジンを除去する。次に光照射を行い、最低3分以上経過後に十分な重合を確認してからワイヤーを装着する(図9~12)。ただし、「スーパーボンド」および「ボンドフィルSBⅡ」は最終的な硬化が完了するまでに24時間を要するとされている。特にジルコニア冠やCAD/CAMレジン冠などはブラケット脱離が多いことが報告されているため、接着強さおよび重合率が最大になる24時間経過後にワイヤーを装着することで、ブラケット脱離のリスクを軽減できると考えている。
-
![[写真] 歯面への「ティースプライマー」の塗布](/academic/dentalmagazine/wp-content/uploads/sites/2/2025/11/195-13_photo06.jpg)
図6 歯面への「ティースプライマー」の塗布。たっぷりと20秒間塗布を行い、その後エアーブローを行う。(水洗不要) -
![[図] エナメル質の表面処理材の違いについて](/academic/dentalmagazine/wp-content/uploads/sites/2/2025/11/195-13_photo07.jpg)
図7 エナメル質の表面処理材の違いについて(提供:サンメディカル株式会社) -
下のエリアは横スクロールできます
![[図] 「ボンドフィルSBⅡ」によるブラケット装着の手順](/academic/dentalmagazine/wp-content/uploads/sites/2/2025/11/195-13_photo08.jpg)
図8 「ボンドフィルSBⅡ」によるブラケット装着の手順(提供:サンメディカル株式会社) -
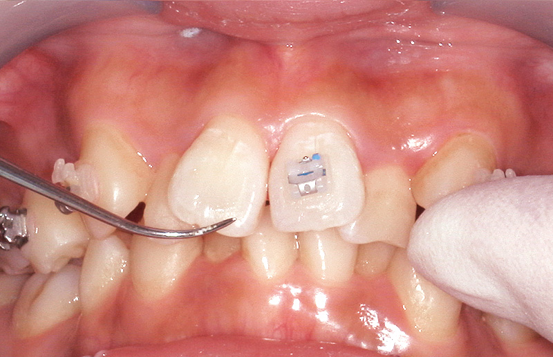
![[写真] 慎重にブラケットを歯のFAポイントに位置付ける](/academic/dentalmagazine/wp-content/uploads/sites/2/2025/11/195-13_photo09.jpg)
図9 慎重にブラケットを歯のFAポイントに位置付ける。 -
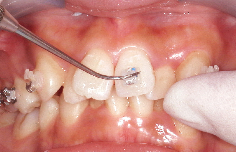
![[写真] 探針で位置を微調整後、圧接](/academic/dentalmagazine/wp-content/uploads/sites/2/2025/11/195-13_photo10.jpg)
図10 探針で位置を微調整後、圧接 -
![[写真] 探針で余剰レジンを除去](/academic/dentalmagazine/wp-content/uploads/sites/2/2025/11/195-13_photo11.jpg)
図11 探針で余剰レジンを除去 -
![[写真] 硬化完了](/academic/dentalmagazine/wp-content/uploads/sites/2/2025/11/195-13_photo12.jpg)
図12 光照射後3分で硬化完了
3. ブラケット脱離の実際とトラブルリカバリー
動的治療中のブラケット脱離は、矯正医にとって避けたい問題の一つである。ブラケット脱離は治療の進行を妨げ、再接着によるチェアタイムの増加や患者との信頼関係に影響を与える可能性がある。そのため脱離が発生した場合、原因究明と迅速かつ適切な対処が求められる。また、歯面処理材に「ティースプライマー」を使用して接着した前歯部のブラケット脱離が発生した場合、より強固な接着を確保するために「表面処理材 高粘度レッド」へ変更することも有効である。さらに、リン酸エッチング後に「ティースプライマー」を併用することで、接着強さは約1.3倍高くなるという報告もある2)ため、筆者はこの方法を活用している。また、近年では治療の正確性の向上と治療期間の短縮を目的にカスタムされたインダイレクトボンディングシステムを使用するケースが増えており、レジンベース面をカスタムしている特性から、再度同じブラケットを装着せざるを得ない場面もある。このような場合には、以下の手順で適切な接着環境を整えることが重要である。
【ブラケットが脱離した際の再装着手順】(図13)
1) 脱離したブラケットのプラークや接着阻害因子の除去のため、超音波洗浄を行った後、レジンベース面にサンドブラスト処理を行う。
2) アルミナの粉末を除去するため、再び超音波洗浄を行い、十分エアーブローを行う。
3) レジンベース面にシラン処理(「M&Cプライマー」塗布)を行う。
4) 歯面は残存レジンの除去後、歯面清掃と「表面処理材 高粘度レッド」によるリン酸エッチング処理を行う。
5) レジンベース面に「ボンドフィルSBⅡ」を築盛しブラケット接着を行う。
6) 光照射し、3分経過後にインダイレクトコアの除去を行う。
※ブラケットの再接着では、接着環境を最適化することが脱離の再発を防ぎ、治療の安定性を高める鍵となる。
-
![[図] インダイレクトボンディングシステムのブラケットが脱離した際の再装着手順](/academic/dentalmagazine/wp-content/uploads/sites/2/2025/11/195-13_photo13.jpg)
図13 インダイレクトボンディングシステムのブラケットが脱離した際の再装着手順
4. デボンド時の考察歯にやさしい接着と効率性
動的治療終了時のブラケット除去について考察する。矯正治療において、接着材の選択は『装置を確実に接着すること』だけでなく、『デボンド時の歯面への負担を最小限に抑えること』も重要である。筆者の臨床では、CR系矯正用接着材と4-META/MMA-TBB系レジン接着材を部位や状況に応じて使い分けている。具体的には、補綴装置へのブラケット接着、一度ブラケットが脱離した部位、大臼歯など防湿管理が難しい部位では、エッチング処理後に「ボンドフィルSBⅡ」を選択している。また、前歯部など審美的要求が高く脱離リスクが比較的低い部位に対しては、「ティースプライマー」処理後に同じく「ボンドフィルSBⅡ」を使用する。一方で、接着難易度が低い下顎前歯部やブラケットのポジショニングに時間を要する小臼歯部では、操作性に優れるCR系矯正用接着材を選択している。筆者の臨床経験から、エナメル質の歯面処理材に「ティースプライマー」を用い、「ボンドフィルSBⅡ」で接着した場合、ブラケット除去時にはレジンの多くがブラケット側に残り、歯面に残るレジン量は比較的少ない(図14A, B)。そのため、歯面に残存するレジン除去の時間を短縮でき、回転切削器具の使用を最小限に抑えることが可能となる。一方、CR系矯正用接着材を用いてブラケットを接着した場合には、デボンド時にレジンが歯面に残るため、その切削除去に多くの時間と慎重な作業を要する。また、「スーパーボンド」や「ボンドフィルSBⅡ」は熱で軟化する性質があるため、弱い圧で効率的に除去が可能であり、レジンリムービングプライヤーによる除去も容易である。
「ボンドフィルSBⅡ」の除去には、CA用カーバイドバーを使用し、その後シリコンポイントで研磨を行う(図15A, B)。バーの形状上エナメル質が削れにくいため、ルーペ視野下で操作を行えば歯質の切削量を最小限に抑えられる。一方、CR系矯正用接着材の場合はレジンが硬いため、ダイヤモンドバーやカーボランダムポイントなどを用いた削合が必要となる。その際には健全なエナメル質を損傷しないようルーペを用いて細心の注意を払った操作が求められる。このように、接着材それぞれの特性を正しく理解し適切に活用することで、デボンド時の患者への負担を軽減しつつ、治療効率や患者満足度の向上にもつながると考える。
-
![[写真] デボンド直後のレジン残留状況比較](/academic/dentalmagazine/wp-content/uploads/sites/2/2025/11/195-13_photo14.jpg)
図14A, B デボンド直後のレジン残留状況比較
(上顎:「ティースプライマー」+「ボンドフィルSBⅡ」で接着。下顎:CR系光重合型矯正用接着材で接着)
A:ブラケット除去直後の口腔内写真。上顎前歯は「ティースプライマー」使用
B:下顎は光重合系レジンセメントを使用しており、ブルーライト下で発光している状態。ほとんどのレジンが歯面に残存していることがわかる。 -
![[写真] 「ボンドフィルSBⅡ」除去の流れ](/academic/dentalmagazine/wp-content/uploads/sites/2/2025/11/195-13_photo15.jpg)
図15A, B 「ボンドフィルSBⅡ」除去の流れ
A:「スーパーボンド」や「ボンドフィルSBⅡ」は熱で軟化する性質があるため、弱い圧で効率的に除去可能である。
B:シリコンポイント(茶)で研磨
5. おわりに
「ボンドフィルSBⅡ」は、高い接着性と操作性の向上に加え、硬化待ち時間の短縮という臨床的なメリットを兼ね備えており、矯正治療において極めて有効な選択肢となる。さらに「歯にやさしい接着」の実現には、「ティースプライマー」の活用や丁寧なデボンド処理によるエナメル質の保護が不可欠であると筆者は確信している。今後も接着技術がさらなる進化を遂げることが期待される。臨床家として常に最新かつ最適な接着技術を追求し、患者の歯の健康を守りながら、より安全で確実な矯正治療を提供し続けていくことを目指したい。
- 1) 駒形裕也ほか, さまざまな歯冠修復材料に対するメチルメタクリレートとコンポジット系レジンセメントの接着特性, 第83回日本歯科理工学会p39, 2025.
- 2) 野川博史ほか, セルフエッチングプライマー処理したエナメル質に対する4-META/MMATBBレジンの接着メカニズム, 接着歯学Vol.35 No.12017.
- 3) Nakamura M, Koizumi H, Nishimaki M, Matsumura H. Clinical application of a tri-n-butylborane initiated adhesive resin filled with pre-polymerized composite particles. Asian Pacific Journal of Dentistry. 2011;11:61-65.
目 次
モリタ友の会会員限定記事
- Dental Talk 根管治療成功率アップへの近道~「Root ZX3」の高周波通電機能を応用した根管治療~
- Case Report 高周波歯内療法を活用した管間側枝・樋状根へのアプローチ
- Case Report 高周波根管治療を活用した難治性根尖性歯周炎と穿通不可能歯内歯周病変
- Case Report 高周波通電治療を活用した感染根管治療
- Topics 有機と無機の技術シナジー クラレノリタケデンタル、唯一無二の挑戦
- Case Report 抜歯後即時SPIインプラント埋入におけるEr:YAGレーザー使用の効果と予後への影響
- Case Report 上顎前歯部にSPIイニセルインプラントを用いて抜歯後即時埋入を行った1症例
- Case Report SPIインプラントシステムを八重洲歯科診療所において導入するにあたり
- Field Report 術者単独で動画撮影が可能 ライト一体型カメラがもたらす患者説明の広がり
- Dental Talk 「Veraview X800」はついに第二世代へ。高解像度CT撮影へのあくなき追求 進化を遂げた「Veraview X800+」の実力
- Clinical Report 現代の矯正治療における“とれない接着”と“歯に優しい接着”とは~「スーパーボンド®」と同じように使えるボンドフィルSB®Ⅱ」~
- Clinical Report 成人期における口腔機能管理-自覚のない「かくれ顎関節症」と成人期口腔機能障害-
- Close Up 従来法全部床義歯製作のポイントと デジタル義歯治療への期待
- Close Up アメリカに見る睡眠歯科のトレンドとウェルビーイング実現へのヒント
- Topics 医療MaaS車両が実現する「医療のデリバリー」被災地と過疎地、そして都市での新たな医療の形
- Interview デジタルデンチャーを足がかりに歯科技工の課題解決に力を注ぐ
- Field Report さまざまな歯科用合金に対応 簡便な鋳造を実現する高周波吸引加圧鋳造器
- YouTubeチャンネル 歯科衛生士と歯科技工士の資格を持つ丸山葉子さん「X型水流」を熱く語る!!
- Trends 18年ぶりにアップグレード 新型「ソニッケアー6100 プロフェッショナル」日本で発売
- Interview 片麻痺の当事者になって再認識した口腔ケアの重要性と清掃のポイント
- Field Report 患者さんと共に取り組む予防歯科 「ソニッケアー」を用いたセルフケアで普段から良好な口腔状態を維持
- Clinical Hint 「Check-Up歯ブラシ」臨床活用の幅広い可能性
- Lecture 連載:歯科衛生士に必要とされる医科の知識 <第2回> 血液検査データ①
他の記事を探す
モリタ友の会
セミナー情報
会員登録した方のみ、
限定コンテンツ・サービスが無料で利用可能
オンラインカタログでの製品の価格チェックやすべての記事の閲覧、臨床や経営に役立つメールマガジンを受け取ることができます。
商品のモニター参加や、新製品・優良品のご提供、セミナー優待割引のある、もっとお得な有料会員サービスもあります。