195号 WINTER 目次を見る
-
![[写真] 福岡県北九州市 津田歯科医院 院長 津田 尚吾](/academic/dentalmagazine/wp-content/uploads/sites/2/2025/12/195-22_staff01.jpg)
福岡県北九州市
津田歯科医院
院長 津田 尚吾
以前、勤務医をしていた頃、転居を理由に転院してこられた患者さんがいらっしゃいました。抜歯寸前のう蝕を認めたので、そのことを患者さんにお伝えしたところ、「治療後5年ほど定期的にメインテナンスに通っていたのになぜこうなったのか」と問われ、非常に考えさせられたことがあります。その経験から予防歯科の重要性に気付き、「一度治療した歯は、可能な限り治療しない状態を維持する」をポリシーに、予防歯科(セルフケア)を重視した取り組みを行ってきました。
まず初診の方には45分×2回のカウンセリングを行い、セルフケアの重要性を説明しながら治療方針を決めていきます。言葉だけで伝わりづらい部分は、位相差顕微鏡による細菌結果をご覧いただきます。その際には、良い例や悪い例の細菌の動きや数値を提示することで、ご自身の口腔状態についてより深く理解していただきます。こうして時間をかけ、視覚的な要素も取り入れた取り組みを行う理由は、患者さん本人の意識を変えることが大切と考えているからです。普段から良好な口腔状態を保つために、セルフケアは不可欠であるという意識をお互いに持ちながら、予防歯科に取り組んでいます。
セルフケアのアイテムとして、当院で勧めているのが「ソニッケアー」です。注目すべきは、手磨きに比べて高い歯垢除去力を持つところにあります。高速振動で歯垢を叩き浮かせ、ブラシヘッドの幅広い振幅で発生させた音波水流によって、ブラシの毛先が届きにくい歯間や臼歯遠心部などの歯垢を効果的に除去。2分で手磨き10分相当のブラッシングが終了するので、時間に余裕がない時にとても重宝します。1日1回使用するだけでも口腔状態の改善につながると考えています。
-
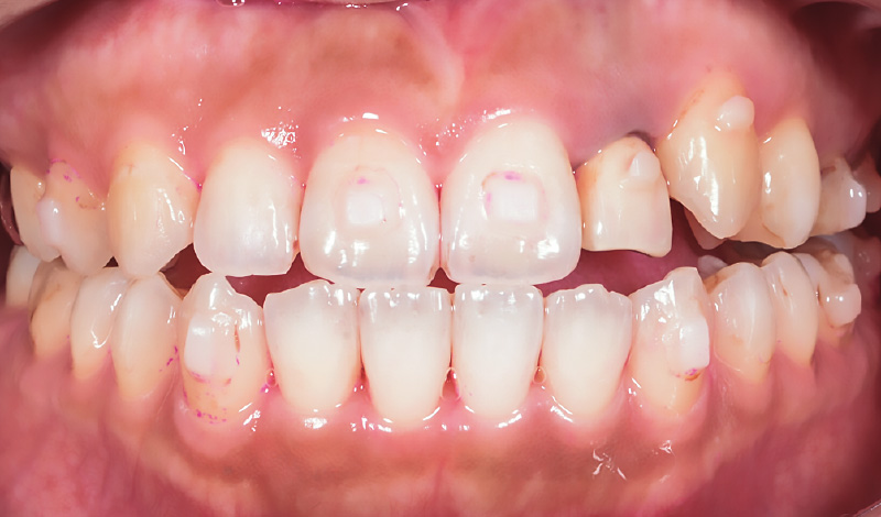
![[写真] インビザライン矯正中の30代女性](/academic/dentalmagazine/wp-content/uploads/sites/2/2025/12/195-22_photo01.jpg)
症例1-1 インビザライン矯正中の30代女性。アタッチメントを装着していることもあり、プラークコントロールに苦戦していた。 -
![[写真] 「ソニッケアー」導入後の歯面のプラークの付着状態(「ソニッケアー」によるブラッシング前)](/academic/dentalmagazine/wp-content/uploads/sites/2/2025/12/195-22_photo02.jpg)
症例1-2 「ソニッケアー」導入後の歯面のプラークの付着状態(「ソニッケアー」によるブラッシング前)。導入前よりもプラークの付着量が減少。 -
![[写真] 「ソニッケアー」によるブラッシング直後(替ブラシは「プレミアムオールインワンブラシ」を使用)](/academic/dentalmagazine/wp-content/uploads/sites/2/2025/12/195-22_photo03.jpg)
症例1-3 「ソニッケアー」によるブラッシング直後(替ブラシは「プレミアムオールインワンブラシ」を使用)。プラークの付着はほぼ見られない。 -
![[写真] プレミアムオールインワンブラシを使用する様子](/academic/dentalmagazine/wp-content/uploads/sites/2/2025/12/195-22_photo04.jpg)
症例1-4 「プレミアムオールインワンブラシ」は隣接面にも当てやすく、「ソニッケアー」導入前と比べてプラークコントロールはかなり改善された。
-
![[写真] 様々なセルフケア製品](/academic/dentalmagazine/wp-content/uploads/sites/2/2025/12/195-22_photo07.jpg)
患者さんの口腔状態に合わせて様々なセルフケア製品を取り揃えている。 -
![[写真] チェアサイドのモニター](/academic/dentalmagazine/wp-content/uploads/sites/2/2025/12/195-22_photo08.jpg)
チェアサイドのモニターには、セルフケアに関する情報や歯科衛生士による歯磨きアドバイスを流している。
替ブラシの種類が豊富で、歯肉や口腔の状態に合った替ブラシを選べる点も評価できるポイントです。当院で多くの患者さんが使用しているのは、歯垢除去・歯肉ケア・ホワイトニングにまでアプローチできる「プレミアムオールインワンブラシ」です。また、歯肉に炎症を起こしている方には、3,000本以上の毛でやさしく磨き上げる「ジェントルプラスブラシ」を使っていただくことが多いです。炎症が改善したら以前使用していた替ブラシに戻すなど、状況に応じた使い方ができます。
さらに、矯正治療中の患者さんには、「ソニッケアー コードレスパワーフロッサー3000」(以下:パワーフロッサー)を使用していただいています。特にワイヤー矯正中の場合、ブラケットの溝部分に食物残渣(以下:食渣)が残りやすく、歯ブラシだけで取り除くことは難しいため、う蝕リスクが高まります。水の力を利用した「パワーフロッサー」なら、強い水流が歯間の汚れや食渣を洗い流してくれるので、矯正器具の間に挟まった食渣を手磨きよりも簡便に除去することができます。提示した症例に示すように、近年増加傾向のアライナー矯正や従来のブラケットを使用した矯正治療において役立つセルフケアアイテムと言えるでしょう。
当院では、こうした歯磨き指導と同時に歯磨剤の選び方にもアドバイスを行います。口腔内の細菌の状態を見ながら原因を検証し、歯周病リスクの高い方には、歯肉の防御力を高めるホストケア成分(ビタミンE)と殺菌成分(IPMP)を配合した「Systema SP-Tジェル」。お子様には「Check-Up kodomo」というように、一人ひとりの口腔状態に応じた歯磨剤を用いることで、より効果的なプラークコントロールができるというわけです。
購入いただいた製品はその場で開封して、正しい使用方法を指導しています。私は視覚的な情報がもっとも理解を深めると考えていますので、チェアサイドで動画を流しながら、患者さんご自身で実際に試していただくことで、使用感を確認。患者さんへのカウンセリングや歯磨き指導は歯科衛生士が担当しますが、事前の指導や状況共有はしっかりと行っています。月に一度のペースで共有するカンファレンスは、初診と1年経過した患者さんを対象に実施。年に一度は画像診断を含む全ての患者情報を洗い出し、様々な症例を振り返ることで、今後のケアや指導に活かしています。これからも歯科衛生士との連携を深め、患者さんに寄り添いながら、予防歯科に取り組んでいきたいと考えています。
-
![[写真] ワイヤー矯正中の10代女性](/academic/dentalmagazine/wp-content/uploads/sites/2/2025/12/195-22_photo05.jpg)
症例2-1 ワイヤー矯正中の10代女性。「ソニッケアー」導入前。プラークの付着量も多く、ブラッシングに苦慮していた。 -
![[写真] 「ソニッケアー」導入後のブラッシング前(正面観)](/academic/dentalmagazine/wp-content/uploads/sites/2/2025/12/195-22_photo06.jpg)
症例2-2 「ソニッケアー」導入後のブラッシング前(正面観)。プラークの付着はブラケット周辺に集中している。 -
![[写真] 同側面観](/academic/dentalmagazine/wp-content/uploads/sites/2/2025/12/195-22_photo09.jpg)
症例2-3 同側面観 -
![[写真] 「パワーフロッサー」によるプラーク除去後](/academic/dentalmagazine/wp-content/uploads/sites/2/2025/12/195-22_photo10.jpg)
症例2-4 「パワーフロッサー」によるプラーク除去後。ブラケット周囲にもプラークの付着はほぼ見られない。 -
![[写真] 同側面観](/academic/dentalmagazine/wp-content/uploads/sites/2/2025/12/195-22_photo11.jpg)
症例2-5 同側面観。「パワーフロッサー」のみでもかなりプラークコントロールができている。 -
![[写真] ブラケット周辺のプラークはさらに除去されている](/academic/dentalmagazine/wp-content/uploads/sites/2/2025/12/195-22_photo12.jpg)
症例2-6 「パワーフロッサー」使用後に、「ソニッケアー」でブラッシング。ブラケット周辺のプラークはさらに除去されている。 -
![[写真] 同側面観](/academic/dentalmagazine/wp-content/uploads/sites/2/2025/12/195-22_photo11.jpg)
症例2-7 同側面観。当てる角度によって除去率は異なるが、正しい指導でしっかりとプラークコントロールができている。 -
![[写真] 歯科衛生士が中心になってカウンセリングを実施](/academic/dentalmagazine/wp-content/uploads/sites/2/2025/12/195-22_photo12.jpg)
歯科衛生士が中心になってカウンセリングを実施。口腔内のプラークコントロール状況を説明し、口腔環境に合わせたセルフケア製品を紹介。
目 次
モリタ友の会会員限定記事
- Dental Talk 根管治療成功率アップへの近道~「Root ZX3」の高周波通電機能を応用した根管治療~
- Case Report 高周波歯内療法を活用した管間側枝・樋状根へのアプローチ
- Case Report 高周波根管治療を活用した難治性根尖性歯周炎と穿通不可能歯内歯周病変
- Case Report 高周波通電治療を活用した感染根管治療
- Topics 有機と無機の技術シナジー クラレノリタケデンタル、唯一無二の挑戦
- Case Report 抜歯後即時SPIインプラント埋入におけるEr:YAGレーザー使用の効果と予後への影響
- Case Report 上顎前歯部にSPIイニセルインプラントを用いて抜歯後即時埋入を行った1症例
- Case Report SPIインプラントシステムを八重洲歯科診療所において導入するにあたり
- Field Report 術者単独で動画撮影が可能 ライト一体型カメラがもたらす患者説明の広がり
- Dental Talk 「Veraview X800」はついに第二世代へ。高解像度CT撮影へのあくなき追求 進化を遂げた「Veraview X800+」の実力
- Clinical Report 現代の矯正治療における“とれない接着”と“歯に優しい接着”とは~「スーパーボンド®」と同じように使えるボンドフィルSB®Ⅱ」~
- Clinical Report 成人期における口腔機能管理-自覚のない「かくれ顎関節症」と成人期口腔機能障害-
- Close Up 従来法全部床義歯製作のポイントと デジタル義歯治療への期待
- Close Up アメリカに見る睡眠歯科のトレンドとウェルビーイング実現へのヒント
- Topics 医療MaaS車両が実現する「医療のデリバリー」被災地と過疎地、そして都市での新たな医療の形
- Interview デジタルデンチャーを足がかりに歯科技工の課題解決に力を注ぐ
- Field Report さまざまな歯科用合金に対応 簡便な鋳造を実現する高周波吸引加圧鋳造器
- YouTubeチャンネル 歯科衛生士と歯科技工士の資格を持つ丸山葉子さん「X型水流」を熱く語る!!
- Trends 18年ぶりにアップグレード 新型「ソニッケアー6100 プロフェッショナル」日本で発売
- Interview 片麻痺の当事者になって再認識した口腔ケアの重要性と清掃のポイント
- Field Report 患者さんと共に取り組む予防歯科 「ソニッケアー」を用いたセルフケアで普段から良好な口腔状態を維持
- Clinical Hint 「Check-Up歯ブラシ」臨床活用の幅広い可能性
- Lecture 連載:歯科衛生士に必要とされる医科の知識 <第2回> 血液検査データ①
他の記事を探す
モリタ友の会
セミナー情報
会員登録した方のみ、
限定コンテンツ・サービスが無料で利用可能
オンラインカタログでの製品の価格チェックやすべての記事の閲覧、臨床や経営に役立つメールマガジンを受け取ることができます。
商品のモニター参加や、新製品・優良品のご提供、セミナー優待割引のある、もっとお得な有料会員サービスもあります。