147号 WINTER 目次を見る
■目 次
■はじめに
近年、審美修復治療の分野においてコンポジットレジン修復が多く用いられるようになって久しいが、昨今では、より手軽に形態や色調を回復できる材料が発売されるようになってきている。これまで、臨床において歯牙の色調回復を行う際に、天然歯の性質と類似させながら積層することにより、色調だけでなく歯牙の持つ質感を表現するように努力してきていた。たとえば、天然歯では透過率において、エナメル質は正透過性による高い透過率があり、象牙質には拡散性による低い透過率がある。また、蛍光性もエナメル質においては低く、象牙質においては強くなる。
これまでクラレノリタケデンタルでは、これらの歯牙の特性をできるだけ少ない種類のコンポジットレジンで、できれば1ペーストで再現できるように開発を進めてきた経緯がある。また、形態付与においては、インスツルメントや筆による賦形性の良さはもとより、賦形後の形態安定性をも兼ね備えたコンポジットレジンの開発が行われてきた。
一方で、物性においては、窩洞内側における物性と充填最外側面における物性には求められているものに相違がある。窩壁内側のコンポジットレジンには接着向上のために流れがよくヌレ効果を高める物性が求められ、それと同時に曲げ弾性率や熱膨張率の違う歯質とコンポジットレジンの“ズレ”を緩衝できるような物性、すなわち窩洞内のコンポジットレジンが外力に対して破損してしまうことがないように様々なショックを緩衝できるような物性が求められ、また、表層では研磨性の良さ、耐摩耗性などが求められる。
そして、少し前までは「シリンジタイプ」のコンポジットレジンが主流であったが、最近ではコンポジットレジンの開発の向上により、フィラーが高充填され高強度となり、流動性をコントロールされたハイフロー、ミディアムフロー、スーパーローフローなどのコンポジットレジンが多く開発されている。本稿では、これらを使用して、実際に充填する際に気をつけておくべき便利なテクニックを、手順なども含めて窩洞別に紹介する。
■臨床例
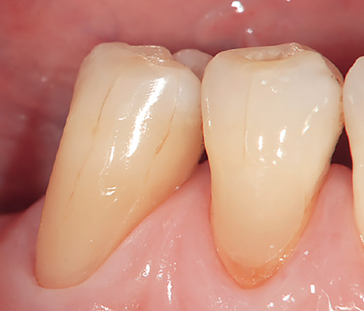
【3級窩洞】
窩洞辺縁部のエナメル質にストレスをかけないようにしながら、窩洞形成を行う(図1)。その後、MIの概念に則り色調回復に必要な最低限の幅のベベルをスーパーファインバーを用いて形成する。次いで、エッチング操作(図2)、ボンディング操作を行う(図3)。
接着力を向上させるためのヌレ効果およびボンディング材の接着力を向上させ、かつコンポジットレジンと歯質の界面にかかる応力を緩衝する役割を期待して、マジェスティ ESフロー Highを充填する(図4、5)。
3級、5級、2級窩洞で光が通過するような“突き抜け窩洞”には、マジェスティ ESフロー Lowのデンティン色(A3D)を併用しながら充填操作を進めていく(図6、7)。
プラスティックマトリックスを併用しながらマジェスティ ESフロー LowのA3を用いて充填する(図8〜10)。
その後研磨を経て充填操作を完了する。
【5級窩洞】
一見すると“突き抜け窩洞”のように見えないが、深い窩洞の場合には、観察する方向によって “突き抜け窩洞”としてしまうために光のコントロールが必要である(図11〜13)。
充填操作の基本は3級窩洞時に記載した方法に準じるが、5級窩洞の充填に際しては下部2/3と上部2/3を別々に重合しながら、重ね合わせるように充填していき、充填時の収縮力によるストレスが窩洞辺縁部にかからないように工夫しながら行う。
【1級窩洞】
咬合面形態に配慮しながら充填操作を行うときに咬合面の幾何学的特徴を捉えるようにすると、より簡便に審美的でかつ機能的な咬合形態を付与することが可能となる(図14〜18)。その際、咬頭頂→小窩→主裂溝→副溝→副咬頭(咬合点部の)→咬頭隆線の順序で行うようにすると形態がとらえやすい。
また、フロアブルレジンを使用する場合には、各咬頭や隆線などを築盛するときに、シリンジノズルから吐出したフロアブルレジンを探針で切り取りながら使用すると形態付与をより簡便に行うことが可能となる(図19、20)。
【2級窩洞】
隣接面のボックス窩洞部の充填を先行し、1級窩洞に変化させて充填を行うことが充填操作を容易なものにする。また、2級窩洞で充填後の予後を低くする原因としてボックス窩洞窩底部の2次カリエスがあげられる。これらを考慮して窩洞窩底部にメタルマトリックスが密着するように隔壁させて充填操作を行う(図21、22)。
充填操作の基本は3級窩洞の記載に準じるが、ボックス窩洞窩底部にフロアブルレジンがきちんと充填されるように配慮しながら行い、辺縁隆線が適度な厚さと高さになるように充填する(図23)。
上顎の6番の咬合面の形態を例にとってステップごとに下記に記述する。

図1 可能な限り直径の小さいレギュラータイプのダイヤモンドバーを用いて窩洞形成を行う。
図2 エナメル質部分に限局してエッチング操作を行う。
図3 メーカーの指示に従ってボンディング操作を行う。
図4 歯質によくなじみ曲げ弾性率が象牙質に近く、強度も確保されているハイフローフロアブルレジン。
図5 窩洞内にライニングするように充填。
図6 “突き抜け窩洞”には、光の通過性をコントロールするために、充填時に“角”が立たないミディアムタイプのデンティン色フロアブルレジンを併用する。
図7 ミディアムタイプESフロー(Low)のフロアブルレジンによる充填操作。
図8 ESフロー(Low)のA3を用いて充填。
図9 ウェッジとプレカーブが付与されたプラスティックマトリックスを併用。
図10 充填完了後。
図11 術前。
図12 形成後。
図13 充填後。
図14 術前。
図15 術後。
図16 上顎大臼歯。
図17 下顎大臼歯。
図18 下顎小臼歯。
図19 “Super Low”(超低流動型)のフロアブルレジン。
図20 フロアブルレジンを探針で切り取っている様子。
図21 術前。
図22 マトリックスバンド、ウェッジ、リングを用いて、ボックス窩洞窩底部にメタルマトリックスが密着するように隔壁。
図23 隔壁部充填終了。
- ①:各咬頭頂をマーキングする。
- ②:近心咬頭同士を結ぶラインを描記する。
- ③:②の中間点もしくは少し内側に近心小窩を策定する。
- ④:遠心咬頭同士を結ぶラインを描記する。
- ⑤:④の中間点もしくは少し内側に遠心小窩を策定する。
- ⑥:近心頰側咬頭頂と遠心舌側咬頭頂を結ぶラインを策定する。
- ⑦:頰側咬頭頂同士を結ぶラインの中間点より垂線を描記する。
- ⑧:⑥と⑦のクロスポイントに中心窩を策定する。(チョッパー系の咬合様式の患者については、⑥と遠心頰側咬頭頂と近心舌側咬頭頂を結ぶラインのクロスポイントに中心窩を策定する。)
- ⑨:中心窩から頰側咬頭同士を結ぶラインと平行なラインを描記する。
- ⑩:④のラインとのクロスポイントより少し外側に遠心補助窩を策定する。
- ⑪:中心窩と近心小窩を結ぶ延長ラインを描記する。
- ⑫:⑪のライン上で中心窩と近心小窩の距離と等距離の場所に近心補助窩を策定する。
- ⑬:各小窩を結ぶように中心溝を策定する。
- ⑭:近遠心のコンタクトポイントを策定する。
- ⑮:遠心窩より遠心のコンタクトポイントを避けるように裂溝(辺縁溝)を策定する。
- ⑯:近心小窩および近心補助窩より近心のコンタクトポイントを避けるように裂溝(辺縁溝)を策定する。
- ⑰:付与する咬合点部位を意識しながら副咬頭の策定部位を決定する。
- ⑱:各裂溝を策定する。
- ⑲:咬頭隆線を形成する。上記を行う際に、対合歯の咬頭頂がはまり込む位置、対合歯・隣在歯の咬耗度合いを見ながら築盛を行うことで、より咬合調整の少ない築盛が可能となる。
■おわりに
フロアブルレジンの物性が飛躍的に向上されてきており、その物性を活かしながら使用することにより、効率的にかつ審美的に充填操作を行うことが可能となってきている。
筆者は各種の「クリアフィル マジェスティ ESフロー」を使用するときに下記の法則を用いながら使用している。
・“High”(高流動型)…ボンディング終了後の窩洞内面に薄くライニングするように使用する。
・“Low”(低流動型)…レジン築盛後の表面が自然と球面状になる特性をもつので、3級窩洞、5級窩洞に主に使用するようにしている。
・“Super Low”(超低流動型)…レジン築盛後に形態を維持することができる特性を活かして、咬頭や隆線の形態を作製する1級窩洞、2級窩洞などの臼歯部咬合面に主に使用するようにしている。
同じ筆者の記事を探す【 松本 勝利 】
モリタ友の会会員限定記事
- 172号 Trends コンセプト優先型支台歯形成用 バーセット「SELF CREATOR」 ~臼歯編~
- 171号 Trends コンセプト優先型支台歯形成用バーセット「SELF CREATOR」~前歯編~
- 131号 私の臨床 義歯治療にかかるストレスを軽減させる硬質裏装材
目 次
モリタ友の会会員限定記事
- Dental Talk フルジルコニアの実用性と将来展望
- Trend ノリタケカタナジルコニア ML/HT
- 私の臨床 天然歯の色に近似した4層グラデーション(ML)生活歯症例に適した高い透光性(HT)
- Technical Hint ノリタケカタナジルコニア MLフルジルコニアクラウン 研磨とグレーズドジルコニアクラウン製作のポイント
- 私の臨床 ハイトランス&マルチレイヤーフルクラウンに適した歯冠色の再現性
- 特集 CR充填 天然歯が持つ特性とCRが持つ特性を近づけるための、正確で確実そして容易な臨床術式の追求
- 特集 CR充填 フロアブルレジンを活用したCR修復治療
- Clinical Report ダイアペン・ダイアガンを用いた根管充填法
- Trend 歯科裏層用高分子材料「バルクベース」について
- Clinical Report フロアブルタイプの低重合収縮型充填裏層材「バルクベース」について
- Clinical Report 根管充填用接着性レジンシーラーの必要性 ―メタシールSoftの活用―
- Trend 歯科におけるウォッシャー・ディスインフェクターとクラスBオートクレーブの有用性
- Clinical Report Systema SP-Tシリーズの特長とその臨床活用法について
- スペースライン50周年特別企画 すべての「スペースライン」はここから生まれる。
- INTERVIEW 「チームワーク」「スタッフの笑顔」「可搬式歯科用ユニット」
他の記事を探す
モリタ友の会
セミナー情報
会員登録した方のみ、
限定コンテンツ・サービスが無料で利用可能
オンラインカタログでの製品の価格チェックやすべての記事の閲覧、臨床や経営に役立つメールマガジンを受け取ることができます。
商品のモニター参加や、新製品・優良品のご提供、セミナー優待割引のある、もっとお得な有料会員サービスもあります。






















