140号 SPRING 目次を見る
目 次
はじめに
ここ数年歯科医療は大きく様変わりしてきた。世の中のデジタル化に伴い、レントゲンはすべてデジタル化となり、CAD/CAMの進化によりラボ作業も鋳造からスキャナーを用いたミリングマシーンの削り出しとなり、今までの歯科の常識がどんどん変わってきている。
レントゲンも現像からデジタル化となり、近年は歯科用CTの普及により、より精度の高い診断が誰にでも可能となり、患者さんに安全で安心な治療の提供を行えるようになってきた。私自身も元々はインプラント処置のためにと導入をしたが、実際に使用してみると、それ以外への診断に大変有用であることが解ってきた。
今回はベラビューエポックス 3Dを用いて診査診断をした臨床例を提示し、CTの有用性について考えてみたい。
診査
今までのレントゲンでは想像の域だけで患者説明をしてきた骨の状況、歯牙の状況をCTでかつリアルタイムで説明ができ、結論が早くなり、患者さんへの信頼度もアップする。
先日も交通事故による歯牙脱臼、欠損症例をその場で患者治療ゴールを説明し、費用期間を含めた多くのことを即座に回答でき、かつ損保会社との交渉も多くの情報を提示し簡単に行うことができた。
-

18才高校生男子 事故後1ヵ月 中切歯2本が脱落し、2もあやしい。
-

2も歯根尖端が破折し、再植された様子がわかる。11 の2本インプラントではなく1と2にインプラントをすることを決定し、本人、保険会社に伝え、了解を得る。
歯内療法
根管数、湾曲の度合、根管口位置、根尖孔の確認など、今まででは見えなかった所がCTを用いることにより誰でも簡単にレントゲンを読むことができる。
このように明確に見えると診断もより確実になり、患者説明にも大いに役立つ。
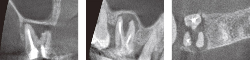
-

7の打診を主訴に来院された患者さんのレントゲン写真。
デンタルレントゲン写真やパノラマレントゲン写真で見分けのつきにくい7、根尖にぼんやりと透過像が見えるが…。 -

骨の厚みによってぼんやりとしか見えなかった透過像もCTでは明瞭になり、頰側に裂開しており、かつ樋状根であることもわかる。
-

6の根分岐部腫脹を主訴に来院された患者さん。デンタルレントゲン写真、パノラマレントゲン写真でもぼんやりとした透過像であるが…。
-

CTを見ると、根尖部の透過像が頰側にも広がっていることが一目瞭然である。遠心根の根管が2根を思わせる。
歯周治療
いままではデンタルレントゲン写真をもとにポケット測定をすることによってだいたいの骨レベルを把握していたが、分岐部状況なども簡単に見ることができ、歯周治療の方針も立てやすく、患者説明もしやすくなり、歯牙保存の限界も説明しやすくなる。

- 6動揺に伴い保存不可能と思われるが、デンタルレントゲン写真のみでは患者さんへの説得力に欠ける。
-

6口蓋根。まったく骨がないのがよくわかる。近心根、遠心根の分岐部、遠心根口蓋根の分岐部もかなりやられている。ここまで解れば抜歯の判断が誰でもつく。
難治性歯周病
根分岐部に大きな病変がある場合、ファーケーションプローベ等である程度の推測はできるが、実際の骨欠損の状況を理解し患者さんに説明するのは容易ではない。しかし、CTがあればいとも簡単にその説明ができる。
患者さんに現状を説明し、頰側、近心、舌側の骨が保存されている現状であれば抜歯をしても歯槽骨の高さを保存できることを説明し、抜歯を行い、半年後にインプラントによる修復補綴をする予定である。

6に違和感を訴える患者さんで、デンタルレントゲン写真を見ると骨吸収は大きく見えるが、動揺もわずかにある程度で、ポケットも遠心は8mmあるがそれ以外は3mm以下で問題ない。クラウンを除去し、ルートプレーニングを行う。その後CTによる確認を行う。-

頰側遠心根をみると遠心には骨がなく分岐部はかなり破壊されているのが見えるが、頰側には骨は残っている。 -

口蓋根を見ると、遠心、分岐部の骨はないが、舌側に骨はある。 -

近心頰側根も頰側、近心部に骨は残っているが根尖、分岐部に大きな骨欠損を伴う。
矯正後
矯正の術前術後評価に大いに役立つ。日本人の歯槽骨の厚みの少なさはCTを見れば一目瞭然で、見れば見るほど処置が怖くなるのが現実ではないだろうか。ただし、子供への被曝線量軽減のためにはCTをむやみに撮るのは避けたいものである。

-

矯正治療後の18歳男子の前歯部の状況。上顎は唇側にもわずかに骨があるが、下顎は頰舌側共に全く骨がないように見える。実際口腔内を触れてみると、歯根の形を触知できる。
埋伏智歯
勘と経験に頼っていた埋伏智歯抜歯が、CTにより事前に多くの情報を得ることができ、本当に楽になる。

-

歯根の方向、湾曲、骨の厚み、下歯槽管との関係など様々な情報を得ることにより、より安心、安全が高まり、患者さんにとっても有益なものとなる。
まとめ
歯科用CTを用いることにより、多くの情報がもたらされ、患者さんにとっても医療者側にとっても有利なことが多いが、まずはデンタルレントゲン写真、パノラマレントゲン写真の読影をしっかりと行った上で、より有利な情報をもたらすCTを利用すれば、より医療の質もあがり、不用意な被曝を与えることなしに良質な歯科医療の提供ができる。
元々はインプラント処置の術後経過の観察からスタートしたCT撮影だが、色々な症例を見ていくうちにインプラント以外の重要性が高まってきているのが実感ではないだろうか。
数年前にはCTは趣味の器械だと断言していた筆者も、訴訟や安心を買うためにCT導入された周りの先生方と同じように、CT無しでは正確な診断ができない状況になりつつある今日、決して安くはないがベラビューエポックス 3Dの導入は画像も綺麗で使用方法も簡単、値段以上の効果を発揮すること間違いないと思われる。
同じ筆者の記事を探す【 石川 清之 】
モリタ友の会会員限定記事
同じテーマの記事を探す【 X線 】
モリタ友の会会員限定記事
- 180号 Contribution 【CT発売20周年記念 特別寄稿】院内ネットワークによるコミュニケーション戦略「データ管理」から「データ活用」へ
- 180号 Contribution 【CT発売20周年記念 特別寄稿】「Veraviewepocs 3Dfα」を用いた Digital Work Flow
- 180号 Contribution 【CT発売20周年記念 特別寄稿】CBCTのDICOMデータとTRIOSのスキャンデータを活用したフルデジタルでの抜歯即時埋入症例
- 179号 Contribution 【CT発売20周年記念 特別寄稿】インプラント治療におけるCBCTの有用性と未来
- 178号 Contribution 歯周治療へのCBCTの応用
目 次
モリタ友の会会員限定記事
- 特集 ベラビューエポックス 3Dを用いた臨床
- 特集 新型歯科用CT「Veraviewepocs 3Df」の開発コンセプト“デジタル+匠の技”へ
- Trends ダイアグノデント ペン ペリオプローブの特長
- Trends マニーステンレスバー「歯周外科用根面バー」の紹介
- Clinical Report POs.Ca+Fガムの力
- Clinical Report 睡眠時無呼吸患者に対する口腔内装置の適応について - 改良版NKコネクターII -
- Risk Management 歯科における院内感染予防対策とシステム製品
- Technical Report 酒田市から全国へと波及する日吉歯科のチャレンジ!それをバックアップする院内ネットワークシステム“DOOR”の力歯肉色陶材(Tissue)を用いた築盛方法
- Technical Report 歯肉色陶材(Tissue)を用いた築盛方法
他の記事を探す
モリタ友の会
セミナー情報
会員登録した方のみ、
限定コンテンツ・サービスが無料で利用可能
オンラインカタログでの製品の価格チェックやすべての記事の閲覧、臨床や経営に役立つメールマガジンを受け取ることができます。
商品のモニター参加や、新製品・優良品のご提供、セミナー優待割引のある、もっとお得な有料会員サービスもあります。














