159号 WINTER 目次を見る
「治療結果が少しでも長持ちして欲しい」。それが患者さん歯科医師双方の願いです。ただ、その実現は容易ではなく、治療後の継続的なメンテナンスはもちろん、それまでの治療においても、歯内・歯周・咬合・補綴のいずれの要素も欠かすことはできません。
須田英明教授らの調査(図1)によれば、既根充歯の約60%に根尖病変をみとめたと報告されており、世界の根管治療の成功率と比較しても国内の成功率は決して高いとは言えないのが現状です。
私は2016年2月まで師である歯周インプラント指導医の宮本泰和先生のもとで理想的な治療戦略の立案・実践を日々学ばせていただく傍ら、マイクロスコープを用いた精密治療の研鑽を積みました。
とくに日常臨床で最も頻度の高い根管治療においては、従来法では盲目的だった部分に対して明視下で精密に処置ができる点、静止画・動画記録によって患者さんにも正確に状況を伝達できる点はとてもメリットであると感じています。とりわけトラブルの多い再根管治療においてはモリタ社製歯科用CBCTを併用することで、デンタルX線写真では確認することができなかった病態を3次元的に正確に知ることができる点も成功率を上げるうえで非常に有効です。
症例を2つ供覧します。症例1(図2〜5)は、初診時に頰側分岐部に限局した歯肉腫脹、瘻孔形成がみられ、頰側中央に限局する6mmの歯周ポケットをみとめました。デンタルX線上は一見生活歯髄に見え、歯周疾患由来の分岐部病変を疑いました。しかし、周囲には歯周疾患をみとめないことや、根尖部の歯根膜腔がやや拡大している点等の理由から、歯内疾患由来の可能性を疑うようになりました。歯内療法開始後、2週目には頰側の瘻孔は消失し、歯周ポケットは正常値に改善。この時点で、歯内疾患原発型病変であると確定診断ができました。
マイクロ下で近心の頰舌根管の中央にMiddle Mesial根管をみとめ、根管拡大形成完了後約2ヵ月間の水酸化カルシウム貼薬を経てX線透過像の改善傾向を確認し根管充填、補綴処置へと移行しました。
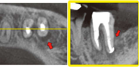
症例2(図6〜12)は初診時に頰側の歯肉腫脹、頰側〜遠心にかけて深い歯周ポケットをみとめました。デンタルX線から既根充歯であり、僅かに根尖部付近に透過像をみとめました。マイクロ下でも歯冠側からの破折ラインを確認できなかったため、根管治療を行うことにしました。CBCT画像では、根尖から遠心頰側隅角部に大きな透過像をみとめ、一見保存の可能性は低いと思われました。しかし、患者さんの保存に対する強い思いや、マイクロ下での根管治療を行うなかで垂直的な破折ラインをみとめなかったので保存を試みました。歯肉の腫脹は消退し、近遠心根管ともに根尖部まできれいなことがマイクロ下で視認できたため、早期に根管充填を行いました。
治療開始4ヵ月後にCBCT画像で歯根周囲の改善度を再評価したところ、大幅な改善をみとめましたが、遠心隅角部に6mmの歯周ポケットと垂直的な骨欠損が残存。3mm以上の骨の段差があり、次の段階として、歯周組織再生誘導材料を用いた再生療法を行いました。その後約10ヵ月待機した後、4〜5mmの歯周ポケットが残存、確定的外科処置として骨外科を伴う歯肉弁根尖側移動術を行い、4ヵ月後に最終補綴処置を行いました。最終補綴前のCBCT画像では骨レベルの平坦化、十分な付着歯肉、3mm以下の浅い歯肉溝を得ることができました。
症例2では、インプラントの方がシンプルで予後も予測しやすいかもしれません。患者さんの保存への強い希望があり、将来の破折リスクへの十分な理解が得られる場合には、CBCTによる3次元的な診断、マイクロスコープを用いた精密根管治療によって、抜歯・欠損補綴に移行する前に今一度、保存(延命)処置を成功裏に納める可能性があることも視野に入れ、慎重にジャッジする必要があると考えています。

図1 既根充歯の根尖病変発現率(歯種別)

図2 頰側分岐部の透過像。デンタルでは一見生活歯に見え、歯周疾患由来型と間違えやすい。

図3 上段:近心の中央にあるMiddle Mesial根管。下段: MM根管拡大終了後。

図4 術後のCT画像では分岐部透過像は改善し、原因はMM根管の側枝であることが分かる。

図5 最終補綴処置と補綴処置後14ヵ月のデンタルX線写真。

図6 初診時頰側中央〜遠心にかけて6〜8mmの深い歯周ポケットをみとめた。

図7 初診時デンタルX線写真。失活歯であり、歯根破折あるいは歯内−歯周複合病変の可能性が考えられた。

図8 メタルコア除去後のCBCT画像。デンタルX線写真では判断できない病変の拡がりを3次元的に確認できる。

図9 近心根には穿孔部をみとめた。破折ラインは根管壁にみとめなかった。

図10 根管治療開始後4ヵ月のCBCT画像。遠心隅角部に歯周疾患に起因する垂直性の骨欠損が残っている。

図11 遠心隅角部には縁下歯石をみとめ、歯周組織再生誘導材料と他家骨、吸収性コラーゲン膜を用いた歯周組織再生療法を行った。

図12 最終補綴処置時。透過像の改善、骨の平坦化が獲得できた。
同じ筆者の記事を探す【 重岡 修司 】
モリタ友の会会員限定記事
同じテーマの記事を探す【 マイクロスコープ 】
モリタ友の会会員限定記事
- 155号 Clinical Hint マイクロスコープ活用術Windows&Macの画像編集方法
- 154号 Interview 歯科用マイクロスコープ静止画・動画の撮影のヒントと活用方法
- 146号 Clinical Report 「ライカM320」によるデジタルコミュニケーションのすすめ ~「Eye-Fiカード」&「iPad」活用法~
- 146号 Clinical Report 「ライカM320」で見える歯科医療を ~患者さんと繋がる確かなコミュニケーションツールとして~
- 146号 特別座談会 輝く女性デンティストに聞く 使える!マイクロスコープ、ワタシ流マイクロスコープ活用法
同じテーマの記事を探す【 X線 】
モリタ友の会会員限定記事
- 180号 Contribution 【CT発売20周年記念 特別寄稿】院内ネットワークによるコミュニケーション戦略「データ管理」から「データ活用」へ
- 180号 Contribution 【CT発売20周年記念 特別寄稿】「Veraviewepocs 3Dfα」を用いた Digital Work Flow
- 180号 Contribution 【CT発売20周年記念 特別寄稿】CBCTのDICOMデータとTRIOSのスキャンデータを活用したフルデジタルでの抜歯即時埋入症例
- 179号 Contribution 【CT発売20周年記念 特別寄稿】インプラント治療におけるCBCTの有用性と未来
- 178号 Contribution 歯周治療へのCBCTの応用
目 次
モリタ友の会会員限定記事
- Dental Talk ノリタケスーパーポーセレンAAA 発売30周年特別連載 インターナル・ライブ・ステインテクニック誕生ヒストリー
- Clinical Report 審美補綴症例の何故を再考する −HOWを求めるのではなく、WHYを考えることの重要性− Part1
- Clinical Hint CBCT読影虎の巻Part1 読影しやすい画像にカスタマイズする方法
- Field Report CBCTとマイクロスコープの併用で根管治療の成功率を高め治療結果のLongevityを実現
- Clinical Report 歯間部のプラークコントロールを再考する! 後編
- Clinical Hint 口腔内光学印象の優れもの
- Technical Report セラビアンZR FCペーストステインを用いたフルジニコアクラウンの製作例
- Technical Report 強度と操作性を高めた硬質レジンジャケット冠の製作
- Trends Toraysee for CEの歯科診療室での活用
- Clinical Report 間接修復物のセットにおけるスーパーボンドの有用性を見直す
他の記事を探す
モリタ友の会
セミナー情報
会員登録した方のみ、
限定コンテンツ・サービスが無料で利用可能
オンラインカタログでの製品の価格チェックやすべての記事の閲覧、臨床や経営に役立つメールマガジンを受け取ることができます。
商品のモニター参加や、新製品・優良品のご提供、セミナー優待割引のある、もっとお得な有料会員サービスもあります。











