
インレーに!透明性が高いOE
※透明度、彩度は各色度板のシェードに準じます。
測定条件:
測定装置:分光測色計
試験片厚み(彩度)1.20 ± 0.01mm(C*)
(透明度)1.20 ± 0.01mm ※白および 黒背景のL*値の差(ΔL*(W/B)) クラレノリタケデンタル(株)測定:条件などにより数値は異なります。
幅広い色調に馴染みやすいから、在庫管理がシンプルに!



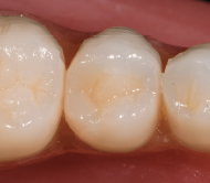
※人工歯を用いたシミュレーションであり、天然歯の色調とは異なります。模型製作:カナレテクニカルセンター
シームレスなマルチレイヤ―(MLのみ)独自の製造技術により、各層の移行部が滑らかなグラデーションを有しています。

「カタナ® アベンシア® ブロック2」の単層と同様に超微粒子フィラー※の高密度配合により、技工操作及び咬合調整後の研磨性に優れています。
※超微粒子フィラー(アルミナフィラー(酸化アルミニウム):20nm、シリカフィラー(軽質無水ケイ酸):40nm)

研磨後の表面状態(A3 ML)
研磨方法:カーボランダムポイントにて形態修正後、シリコンポイント、研磨ペーストを用いて研磨



